马拉色菌毛囊炎的治疗:皮肤红肿的解决之道
引言
马拉色菌毛囊炎是一种常见的皮肤病,由马拉色菌感染引起。这种疾病常常导致皮肤红肿、瘙痒、疼痛等症状,对患者的生活质量及美观产生一定影响。
▷
马拉色菌毛囊炎:症状与诊断
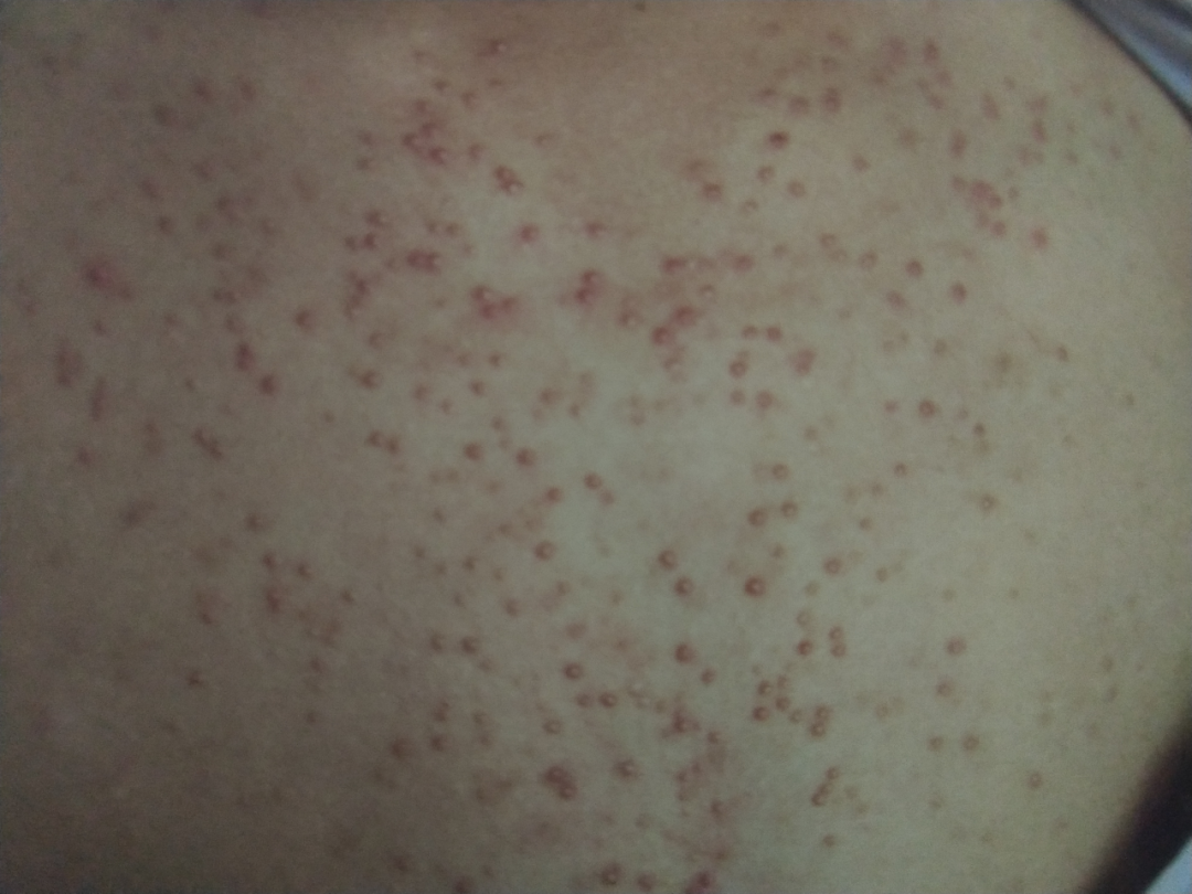
马拉色菌毛囊炎的症状主要包括皮肤红肿、瘙痒、疼痛等。在红肿的皮肤上,有时可以观察到毛囊性丘疹或脓疱。这种疾病通常发生在皮脂腺发达的部位,如胸部、背部、面部及颈部等。诊断马拉色菌毛囊炎的方法主要包括皮肤真菌镜检查和真菌培养。
▷
马拉色菌毛囊炎的治疗方法
治疗马拉色菌毛囊炎的方法包括外用药物、内用药物和物理治疗等。
1. 外用药物:外用药物是治疗马拉色菌毛囊炎的主要方法之一。常用的外用药物包括抗真菌药膏、洗剂等。需要注意使用方法和剂量,避免药物过量或使用不当导致过敏反应。
2. 内用药物:对于严重的马拉色菌毛囊炎患者,选择内服,如抗真菌药物伊曲康唑等。医生的指导下进行,需要注意药物的副作用等问题。
3. 物理治疗:物理治疗可以辅助治疗马拉色菌毛囊炎,如红蓝光照射治疗等。
▷
皮肤红肿的解决之道
皮肤红肿是马拉色菌毛囊炎的常见症状之一,给患者带来一定程度的困扰。以下是一些可以缓解皮肤红肿的方法:
1. 冷敷:使用冷敷面膜对红肿部位进行冷敷,可以减轻皮肤红肿和瘙痒症状。需要注意冷敷时间不宜过长,以免造成皮肤冻伤。
2. 使用抗炎药物:抗炎药物可以减轻炎症反应,缓解皮肤红肿症状。需在医生的指导下使用,需要注意药物的副作用等问题。
3. 避免过度清洁:过度清洁会破坏皮肤的自我保护机制,加重皮肤红肿症状。因此,需要避免过度清洁和使用刺激性强的清洁用品。
4. 保持良好生活习惯:保持充足的睡眠、饮食均衡、适当锻炼等良好的生活习惯可以增强身体免疫力,有助于缓解皮肤红肿症状。
5. 家庭护理:家庭成员可以学习相关知识,协助患者进行日常护理,如保持皮肤清洁干燥、正确使用护肤品等,以提高治疗效果。同时需要注意观察患者的病情变化,如有异常情况及时就医。
最后,特殊人群在面对马拉色菌毛囊炎时需要更加关注个人卫生和健康习惯,遵循医生的建议进行治疗和护理,并注意控制相关风险因素。
结语
马拉色菌毛囊炎是一种常见的皮肤病,对患者的生活质量及美观产生一定影响。了解这种疾病,可帮助患者掌握日常护理和预防措施,更好地管理皮肤健康,缓解症状、减轻皮肤刺激和预防疾病复发。如症状持续加重或出现其他不适,应及时到皮肤科就医,以便得到专业的诊断和治疗。
·END·
作者:黄乃检
编辑:温雯程
审核:张 鹏
温馨提示
各位市民朋友:
防城区皮肤病防治院上班时间如下:
1、门诊上班时间:周一至周四8:00至21:00;周五8:00至17:30;周六(日)上午8:00至12:00,下午14:30至17:00。
2、医疗美容科上班时间:每天8:00至22:00。
3、节假日另行通知。
详情请关注我院公众号→自助服务→出诊信息→防城港市防城区皮肤病防治院门诊、医疗美容科医师排班一览表。
联系及咨询电话:
门诊部:0770-3261628
医疗美容科:0770-3274343
关注健康
了解更多资讯
请扫描二维码关注我们
