毛囊炎总是长,让人真是烦人“不用在被毛囊炎困扰了”治疗毛囊炎的办法来了
毛囊炎总是长,让人真是烦人不用在被毛囊炎困扰了治疗毛囊炎的办法来了
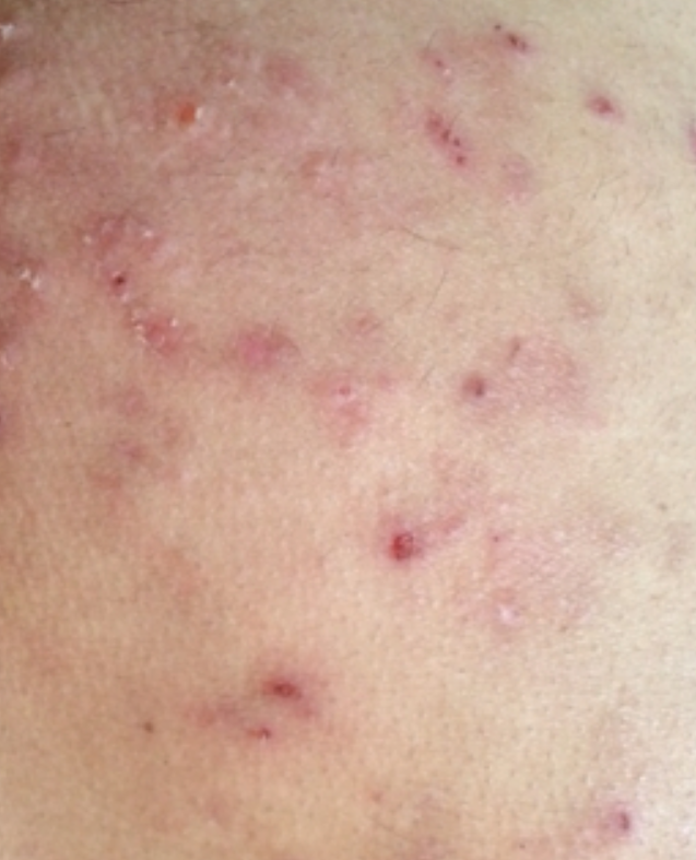
毛囊炎是一种常见的皮肤病,通常表现为红肿、疼痛、瘙痒等症状,严重时还可能出现脓疱和化脓。虽然毛囊炎并不是什么严重的疾病,但它的症状却会给人们的生活带来不少困扰。
毛囊炎到底是什么呢?毛囊炎是一种由细菌或真菌感染引起的皮肤疾病,通常发生在毛囊附近。毛囊是皮肤上的小囊,负责生长汗毛和皮脂。当毛囊受到感染时,就会引起毛囊炎。
如何治疗毛囊炎呢?下面是一些常见的治疗方法:
1.局部治疗:使用抗生素或抗真菌药膏或乳膏,直接涂抹在患处。这些药物可以杀死感染毛囊的细菌或真菌,缓解症状。
2.口服药物治疗:如果局部治疗效果不佳,可以采用口服抗生素或抗真菌药物治疗。不过,这种治疗方法需要在医生的指导下进行。
3.保持皮肤清洁:保持患处皮肤的清洁和干燥,避免摩擦和刺激。勤洗澡,换洗衣物,避免使用刺激性肥皂或洗面奶。
4.饮食调整:避免食用辛辣、油腻、甜食等刺激性食物,多吃新鲜蔬菜和水果,保持饮食清淡。
5.避免抓挠:抓挠会加重症状,甚至可能导致感染。如果感到瘙痒,可以使用冷敷或润肤露来缓解症状。
毛囊炎是一种常见的皮肤病,虽然不会对身体健康造成太大的影响,但它的症状却会给人们的生活带来不少困扰。通过以上的治疗方法,相信大家能够有效地治疗毛囊炎,告别毛囊炎的困扰。
