马拉色菌毛囊炎是什么?
马拉色菌毛囊炎
在临床上有时我们会遇到一些患者前胸后背出现密集的红色丘疹,伴有瘙痒,这时候我们会建议他进行真菌检查,如果真菌检查阳性,就需要考虑是马拉色菌毛囊炎了。
马拉色菌毛囊炎的病因
球形马拉色菌是本病的主要病原菌,马拉色菌是人体正常寄生菌,在长期使用糖皮质激素、光谱抗生素或免疫抑制剂的诱因下,可在毛囊内大量繁殖。
马拉色菌的脂肪分解酶可将毛囊处的甘油三酯分解为游离脂肪酸,后者可刺激毛囊口产生较多脱屑并造成毛囊口阻塞,使皮脂潴留在毛囊内无法及时排出,加之游离脂肪酸的刺激致使毛囊扩张破裂,导致毛囊内容物释放入周围组织,引发炎症反应。
诱发因素:
1.炎热潮湿的季节:皮脂腺分泌旺盛
2.个人卫生未做好
3.长期使用糖皮质激素、广谱抗生素或免疫抑制剂
4.免疫功能缺陷
马拉色菌毛囊炎的临床表现
好发于胸背、肩颈部等皮脂腺丰富的部位,典型的皮损表现为半球形毛囊性丘疹、有光泽、周围有红晕,间杂小脓疱,皮损数十个至上百个。中央可见黄白色紧密堆积的角蛋白,可挤出粉状物质,伴有不同程度的瘙痒,炎热多汗时瘙痒加重。
马拉色菌毛囊炎需要做哪些检查?
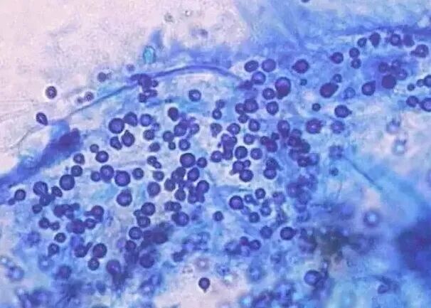
1、真菌镜检
可见到圆形至卵形、厚壁、单极出芽、成簇分布的孢子。真菌镜检阳性提示本病。
2、Wood灯
呈现黄绿色荧光
3、组织病理学检查
对于不典型的皮损,必要时可选择做活检。在毛囊角栓内、毛囊口、毛囊皮脂腺漏斗部可见真菌孢子。PAS染色呈红色。
马拉色菌毛囊炎该如何治疗?
马拉色菌毛囊炎的治疗以抗真菌药物治疗为主。包括局部外用药和口服用药。局部外用药可选择酮康唑、联苯苄唑、特比萘芬、环吡酮胺等药物。口服抗真菌药可选择氟康唑、伊曲康唑。这些药物使用需检测肝功能、肾功能,需在医生指导下进行用药。
治疗期间需将贴身衣物彻底清洗消毒,以防再次感染。
作者:崔勇教授科普团队
本篇执笔排版:杨俊刚
图片来源:网络
微信公众号
中日医院皮肤健康驿站
中日友好医院皮肤科合作研发
护肤品牌娇本线上商城
上线了~
