静脉溶栓联合中药改善脑部循环,中西医结合让脑梗死患者神经功能恢复
点击上方蓝字↑>右上角···>设为星标
365医学网 分享
2023年5月27日下午,由天士力主办的脑病诊疗进展学术研讨会顺利举办。本次会议由河北医科大学第二医院神经内科高长玉教授和吉林大学第一医院神经内科冯加纯教授共同担任大会主席,会上对注射用丹参多酚酸产品全过程进行了精彩讲解。大理市第一人民医院李海雁主任分享典型病例《静脉溶栓联合中药改善脑部循环,中西医结合让脑梗死患者神经功能恢复》。
天士力系列活动
急性脑梗死是指脑血供突然中断后导致的脑组织坏死,主要是由于供应脑部血液的动脉出现粥样硬化和血栓形成,使管腔狭窄甚至闭塞,导致局灶性急性脑供血不足。脑梗死是脑血管病中最常见的一种类型,约占全部急性脑血管病的70%,其发病率、致残率、致死率较高,预后较差,严重影响患者生活质量。脑梗死病因病理及临床表现复杂多样,西药一般以化学单体为有效成分,其成分明确, 作用靶点单一, 而中药多种成分,多靶点发挥作用,注重多效性和整体性。中西药联合应用具有协同治疗、减轻不良反应、增加作用靶点及延长作用时间等特点, 从而达到增强疗效的目的。
入院病情
患者男,63岁,左利手,因左侧肢体无力、言语不清2小时10分入院。患者于入院当晚21:30左右突发左侧肢体无力伴言语含糊,23:40来院急诊就医。家人诉既往高血压病史,入院NIHSS评分:9分(上肢3+下肢3+言语2+面瘫1)。
体格检查:体重64kg,BP:右156/96左148/92mmHg,动态血压显示高血压3级,呼吸心率正常。
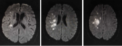
辅助检查:血常规、凝血功能、急诊生化均正常,免疫全项、甲功、血管炎抗体谱(-),心电图:正常窦性心律;心脏彩超:左室舒张功能稍减。头部MRI显示:右侧内分水岭区伴散在点状病灶。脑血管造影:右侧大脑中动脉(RMCA)狭窄、RMCA深穿支稀疏,右大脑半球的大部分由右大脑前动脉的软脑膜支反流供血。
临床诊断:1.大脑动脉血栓性脑梗死-基底节(动脉粥样硬化性);2.高血压病3级极高危。
图1. 入院急诊头部MRI
图2. 入院脑血管造影
解析:
根据患者症状和起病情况,患者以偏瘫和运动性失语为主要症状,不存在颅内高压的呕吐、昏迷、高热症状,可以初步排除出血性卒中的可能。该病例患者为左利手,通常其优势半球位于右侧,结合其失语症状,可以初步判断为优势侧(右侧)半球语言功能区的缺血性卒中。目前国际公认的缺血性卒中分类是TOAST病因分型,即缺血性卒中可以分为5型,包括大动脉粥样硬化型、心源性栓塞型、小血管闭塞型、其他病因确定型和病因不明型。患者明显存在高血压、高龄的高危因素,有较高的可能是大动脉粥样硬化型脑卒中。通过心电图、心超等手段,加上患者未诉房颤等心脏病史可以基本排除心源性卒中的可能。结合头部MRI和血管造影结果可以确诊为基底节动脉粥样硬化性脑梗死。
图3.缺血性的卒中的分型
治疗方案:
溶栓:00:23对患者进行rt-PA静脉溶栓治疗,总剂量57.6mg 推注剂5.76mg(体重64kg),溶栓1h后NIHSS评分:4分(面瘫1,左上下肢2,言语1);清除自由基、脑保护:依达拉奉右坎醇;抗血小板:阿司匹林100mg+氯吡格雷75mg;抗炎、稳定斑块:瑞舒伐他汀20mg;开放侧支:丁苯酞;改善脑部循环:丹参多酚酸。采取实时监测患者意识、瞳孔及生命体征变化,连续NIHSS评分、言语、肢体、认知功能评定,以及留置胃管、预防深静脉血栓形成等多种措施。
预后:
溶栓后患者在院观察2周后出院,出院时患者神志清、精神好,NIHSS评分:2分。1月后随访NIHSS评分1分。
解析:
1.早期溶栓是最理想的治疗手段
急性脑梗死的根本治疗方法是溶解血栓,尽快通过闭塞的脑血管,恢复或改善缺血区的灌注。虽然在急性脑梗死的早期,坏死很快就会发生在病变的中心。如果及时恢复血流,改善脑组织代谢,可以避免缺血半暗带组织坏死。因此对于脑梗死治疗来说,早期溶栓实现血管再通至关重要,对于患者来说,时间就是大脑。本例患者从发病到静脉溶栓治疗仅2h53min,入院相对及时,医护准备充分,入院后完善相关检查后立即采取溶栓措施,收获了良好的治疗效果,患者出院时状态良好,1个月后随访卒中症状基本消失,基本恢复正常。
2.建立侧支循环,保证血流再通
虽然静脉溶栓是脑梗死患者最理想的治疗手段,但静脉溶栓治疗时间窗口较短,研究显示随着溶栓治疗的推迟,其治疗获益率显著下降,一般认为急性脑梗死发生3小时内应采用积极的静脉溶栓治疗(rt-PA),而超过6小时则极易发生再灌注损伤和出血,不建议使用溶栓治疗。中国急性缺血性脑卒中病人是以综合治疗为主。同时保护血管结构的完整性、增加动脉血流速度和侧支循环开放数量对预防栓塞的再次发作改善缺血灶的恢复情况均有重要价值。本例患者已经采取了及时的静脉溶栓治疗,同时给予丁苯酞建立侧支循环、丹参多酚酸改善脑部循环,增加脑部供血量。
3.丹参多酚酸帮助脑梗患者重构微循环,增加缺血区灌注
丹参多酚酸是从传统中药丹参中提取的有效物质,现代药理研究表明,丹参具有保护血管内皮细胞、抗心律失常、抗动脉粥样硬化,以及保护神经、呼吸系统等作用。注射用丹参多酚酸具有抗血小板聚集、抗炎、抗氧化、抗凋亡、保护神经单元等作用。凭借其在脑梗死急性期和恢复期的良好疗效,注射用丹参多酚酸已入选《中国脑梗死中西医结合诊治指南》,并得到明确推荐。
图4.丹参多酚酸在缺血性卒中的治疗中具有重要作用
专家点评
在急性脑梗死发病3-4.5小时,rt-PA能有效激活纤溶酶原,并能快速溶解血栓,迅速挽救缺血半暗带,是一种能迅速疏通闭塞血管的药物治疗方式,但该药有严格时间依赖性,且不能减轻缺血再灌注损伤,难以达到临床预期。早期应用丹参多酚酸有利于对急性脑梗死溶栓后患者进行神经保护。本例患者得到及时溶栓治疗,恢复脑组织血流灌注,溶栓后早期使用注射用丹参多酚酸减轻缺血再灌注损伤,促进脑神经修复,使患者神经损害症状显著好转,无明显不良反应。注射用丹参多酚酸联合阿替普酶静脉溶栓治疗急性脑梗死可有效改善脑血流动力学及血液流变学,调节神经保护因子水平,提高血管再通率。本病例中西医结合治疗,取得了良好的预后,是临床药物配合治疗的绝好案例。
参考文献(向上滑动阅览)
[1]中华医学会, 中华医学会杂志社, 中华医学会全科医学分会,等. 缺血性卒中基层诊疗指南(实践版·2021)[J]. 中华全科医师杂志, 2021, 20(09):947-958.
[2]徐蕾, 龚涛. 缺血性脑卒中和短暂性脑缺血发作的诊断[J]. 中华全科医师杂志, 2012, 11(4):2.
[3]中国中西医结合学会神经科专业委员会. 中国脑梗死中西医结合诊治指南(2017)[J]. 中国中西医结合杂志, 2018.
[4]吴蓉,王晓莉,刘才英,等.丁苯酞联合依达拉奉治疗急性脑梗死临床研究[J].中国药业,2020,29(16):82-84.
[5]韩臻臻,童燕娜,段洪连,等.阿替普酶静脉溶栓治疗急性脑梗死患者的临床疗效及预后的影响因素[J].西部医学,2019,31(4):526-530.
[6]李芳芳.注射用丹参多酚酸治疗脑梗死急性期疗效及对Hcy、D二聚体和 hs-CRP 水平的影响[J].药物评价研究,2020,43(3):490- 493.
[7]杨俊林.注射用丹参多酚酸联合阿替普酶对急性脑梗死患者疗效及血管内皮功能和炎症因子的影响[J].药物评价研究,2019,42(11): 2257-2260
[8]李耀磊,刘丽娜,王莹,等.丹参多酚酸对照提取物在丹参药材及注射用丹参多酚酸质量控制中的应用研究[J].中国中药杂志,2019,44 (24):5446-5450
[9]张娟,赵路清,胡风云,等.注射用丹参多酚酸对大面积脑梗死患者血管新生促进作用及对脑灌注改善作用的观察研究[J].中风与神经疾病杂志,2021,38(7):617-622.
病例专家简介
扫描二维码进入专家学术空间
李海雁,副主任医师,大理市第一人民医院神经内科主任。
云南省帕金森协会大理州分会常委,中华中医药学会心病大理州分会副主委,云南省医学会神经内科管理专业委员会委员,云南省医学会神经调控委员会委员,云南省抗癫痫学会理事,云南省抗癫痫协会大理州分会常委,云南省康复医学会脑血管分会委员,大理州医学会神经内科分会常委。
点评专家简介
扫描二维码进入专家学术空间
陈桂生,宁夏医科大学总医院神经内科主任医师,教授,硕导。
国家卫健委脑卒中筛查与防治工程委员会专家,国家卫健委脑卒中筛查与防治工程委员会专家房颤卒中防治专业委员会委员,国家卫健委脑卒中筛查与防治工程委员会专家卒中临床合理用药专业委员会委员。中国老年医学会脑血管病分会常委。中国微循环学会神经变性病专业委员会基因与精准医学学组第一届委员会常务委员,中国康复医学会吞咽障碍康复专业委员会第一届委员会委员。中华医学会科学普及分会第十一届委员,中国医师协会科学普及分会委员,中国医师协会神经内科分会委员。
更多快讯>>
1.唤醒沉睡的大脑——急性重症脑出血昏迷患者促醒治疗2.重症脑出血后陷入昏迷患者,外科手术联合中药化险为夷
系列活动
扫码精彩内容
END
未经授权不得转载
转载请注明365医学网
