为什么脑垂体瘤要做MRI(核磁共振)检查
人脑内有一种组织叫脑垂体,其主要功能是分泌激素,调节人体的激素水平,促进人体的生长发育等。当脑垂体发生病变,产生肿瘤时机体便会产生激素水平的变化,如男性乳房发育,女性长胡须,年轻女性乳房分泌乳汁,发生肥胖等。也可产生视力的变化,如复视,视野缺失等。
由于脑垂体比较小,垂体窝内头颅平片无法显示病变的情况,CT有时能显示大的垂体瘤,但提供的信息量不够多。MRI密度分辨率比较高,能多方面地进行扫描,从不同的角度如冠状位,矢状位显示病灶,尤其是注射对比剂后的增强扫描,能显示小于1厘米的微腺瘤及在正常强化的组织内显示没有强化的病灶。做到早期诊断,及时手术或保守治疗达到治愈的目的。
下面是我院的部分检查病例:
患者做头CT时未见明显异常
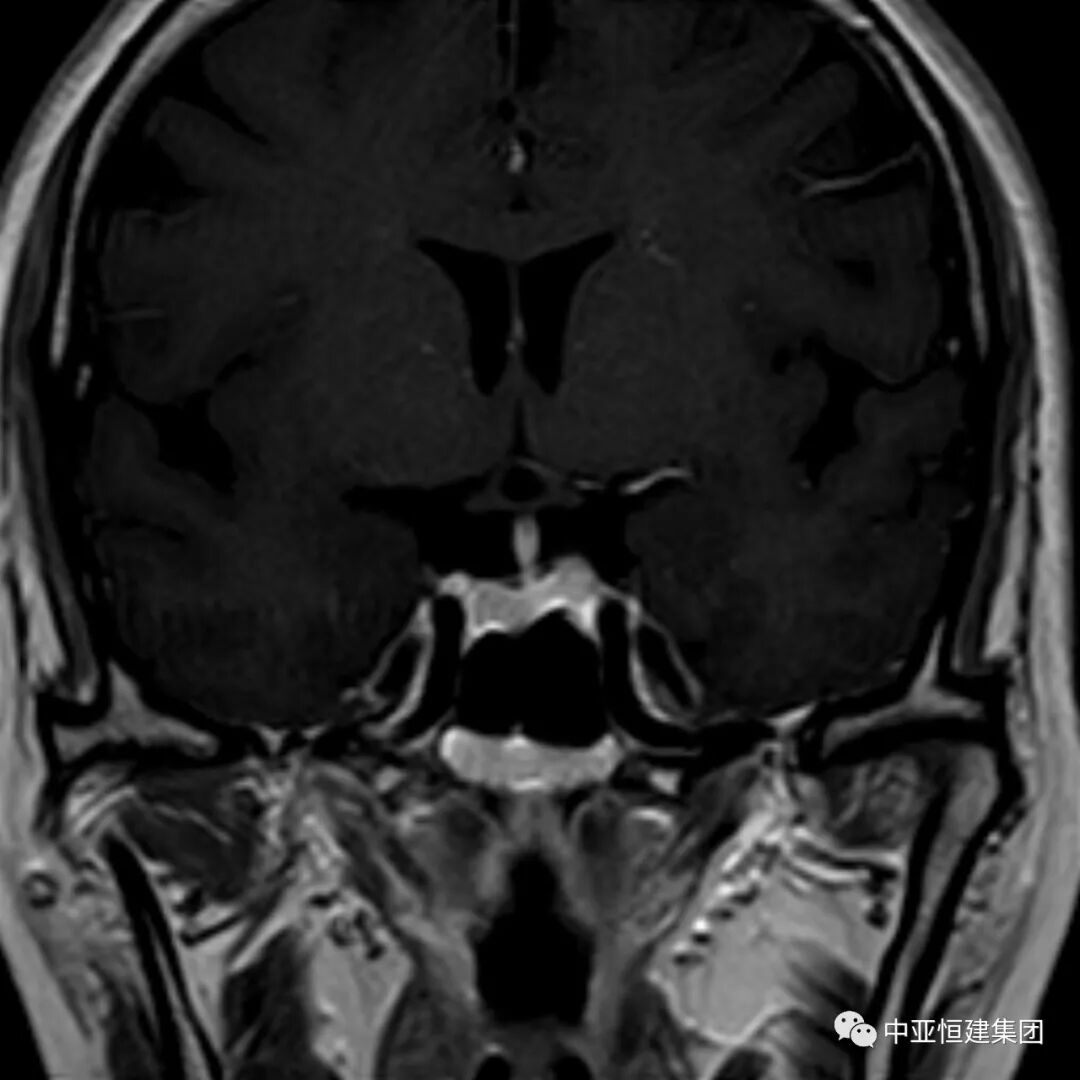
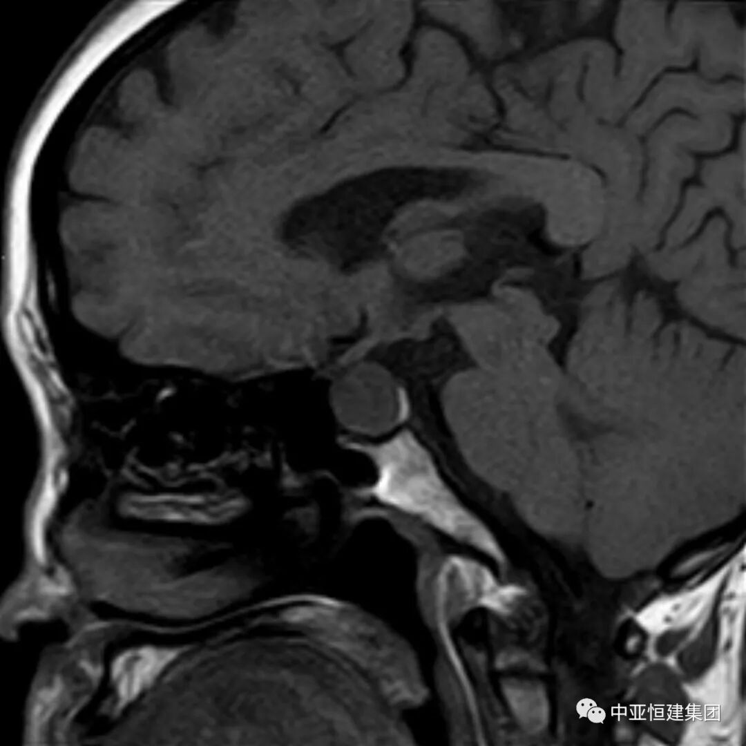
同一患者患者做MRI发现垂体瘤
MRI增强目前是垂体瘤诊断主要检查方式之一,垂体微腺瘤一般用冠状面和矢状面薄层,包括 T1 和 T2 图像。
T1 微腺瘤呈低信号,多位于垂体一侧,T2微腺瘤呈高信号或等信号。动态增强扫描,肿瘤信号早期低于垂体,后期高于垂体。
垂体大腺瘤肿瘤呈圆形,也可呈分叶或不规则形,腺瘤实质部分呈等信号,当合并囊变坏死、出血或钙化时呈混杂信号,增强扫描实质部分强化明显,囊变坏死、出血或钙化不强化。
冠状扫描显示肿瘤呈哑铃状,这是由于肿瘤伸于鞍上,中部受鞍隔束缚之故。肿瘤向上使鞍上池闭塞,视交叉上抬,向旁侧压迫海绵窦延伸至颅中窝,向后可压迫脑干,向下可扩大蝶鞍、突入蝶窦。肿瘤向鞍旁生长,可将明显强化的颈内动脉向外推移甚至包裹,偶尔可引起颈内动脉闭塞。
MRI 诊断垂体肿瘤可靠,95% 以上的垂体肿瘤可做出诊断,但难于做出组织学诊断。大的垂体肿瘤常见蝶鞍增大和鞍内及向鞍外延伸、边界清楚的肿块,CT 上为略高密度;MRI 上,T1WI 为等信号,T2WI 为高信号,有明显均匀强化。依上述表现多可做出诊断。垂体微腺瘤的诊断主要靠 MRI,直接征象是 T1WI 上垂体内的低信号病灶,增强检查更为明确。
×
我院引进的飞利浦1.5T超导核磁共振设备,具有检查无创伤、无痛苦,无放射源损害的特点。可对颅脑病变、眼、鼻喉部病变、脊柱、关节病变、纵隔病变、腹部病变、盆腔内病变、软组织、血管病变等进行成像检查。特别对脱位、软组织损伤、关节损伤、骨病、椎间盘突出、肿瘤、脊髓疾病、颅脑脊柱等神经系统及骨关节的软骨、韧带等的检查更优于其他影像检查方法。安全、无电离辐射损害,可反复检查。
极高的分辨力,对肌肉、脂肪、骨、软骨、韧带、关节囊、实性及液性显示都极为清晰。
可获得大量的病变信息,从而提高病变的定位、定量及定性诊断,无需造影剂,即可进行血管造影及水成像,如MRA、MRCP、MRV、MRM等。
免责声明:本平台所发布资讯,如非特别注明,均来源于互联网,并不意味着本网赞同其观点或证实其内容的真实性,请广大网友认真鉴别。如转载稿涉及版权等问题,请立即联系管理员,我们会予以更改或删除相关文章,保证您的权利。对使用本平台信息和服务所引起的后果,本平台不负任何责任。
