髋关节滑膜炎超声诊断及引导下的介入治疗
什么是髋关节滑膜炎?
髋关节除了股骨头、髋臼、软骨外,关节腔内的肌腱和韧带均被滑膜所包裹。滑膜分泌滑液是在关节活动里起着极重要作用的。当滑膜出现了一些炎症反应,不管是无菌性的炎症或者有细菌性的炎症,甚至是创伤、肿瘤造成的炎症,都会造成髋关节产生相应的炎症。
髋关节滑膜炎是导致儿童髋、膝关节疼痛最常见的原因之一,发病年龄以2-8岁多见,男孩多于女孩,多为单侧髋关节发病,且右侧多于左侧,双侧髋关节发病的占5%。其发病机制至今尚未明确,是一种自限性疾病,且一般不留后遗症。儿童髋关节滑膜炎,多为儿童髋关节一过性滑膜炎,又称为暂时性髋关节滑膜炎。主要病理改变是患侧髋关节囊滑膜充血、水肿及炎性细胞浸润,渗出增多时关节间隙增宽,前隐窝处积液尤为明显,关节软骨与骨结构未见异常。
髋关节滑膜炎是怎么引起的?
因素一、外力影响首先是外力,主要是当我们人体受到了由外力的引起的撞击,比如车祸、跌倒等,这种情况会导致我们的髋关节滑膜遭受一定程度的损伤,进而引发出血,此时如果处理不好,就会引起炎性的刺激形成了我们所说的髋关节滑膜炎。
因素二、慢性劳损其次就是慢性劳损,长期的劳作或者站立都会增加我们髋关节的压力,使得关节部位磨损严重,而往往也就是这些慢性的刺激才会使得我们关节处的滑膜充血甚至水肿,最终导致了髋关节滑膜炎的出现。
因素三、关节感染细菌性感染、结核菌感染和病毒感染等都可能累及髋关节,引起感染性的髋关节滑膜炎。
因素四、非感染性炎症类风湿关节炎、强直性脊柱炎等自身免疫性疾病可能导致髋关节滑膜的慢性炎症、增生,痛风也可累及髋关节及其滑膜,引起髋关节滑膜炎。
【临床症状】
急性起病,突发髋关节疼痛伴痛性跛行或伴大腿、膝前内侧疼痛。
患髋关节轻度屈曲,无肌挛缩表现。
骨盆向患侧倾斜,患肢假长,假长在2㎝以内,Allis征阳性。
患髋关节前方可有压痛。
患髋关节各方向活动均受限,以内旋外展明显受限。
患者Thomas征可为阳性,4字试验可为阳性。
如何诊断髋关节滑膜炎
临床医生通过病史询问,体格检查,一般只能初步判断小孩得了髋关节滑膜炎,但是确诊还需要实验室和影像学检查。既往主要依据X线,但诊断价值有限,随着高频超声的发展,彩超已经成为髋关节滑膜炎的首选检查方式。彩超能够清晰显示髋关节囊厚度、髋关节前隐窝有无积液、有无滑膜增生等,且价格便宜、操作性及重复性强,利于常规使用及随访。
X线检查
正常髋关节超声表现
彩超诊断髋关节滑膜炎可分为关节囊肿胀型和关节腔积液型。
关节囊肿胀型:患侧股骨颈颈前间隙较健侧增宽大于1mm,或者整个关节囊(箭头所示)厚度大于5-7mm,内回声欠均匀,关节囊与髂腰肌之间的界面凸面向前(正常为凹面向前)。
关节腔积液型:患侧股骨颈颈前间隙较健侧明显增宽大于1mm(儿童2mm有病理意义),关节腔前隐窝内有积液(红色箭头),伴或不伴滑膜增厚。
髋关节滑膜炎应该怎么治疗呢?
一般治疗:如果患者的髋关节滑膜炎症状比较轻的话,可以采用一般性的治疗,也就是通过休息、热敷理疗以及牵引或者按摩等方法,都可以实现不同程度髋关节滑膜炎症状的缓解。
超声介入治疗:对髋关节进行积液抽吸及或者注射。
手术治疗:如果患者的髋关节滑膜炎症状比较严重的话,医生就要建议患者采取手术的方式进行治疗。
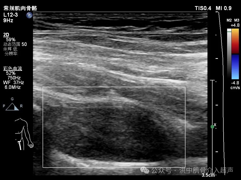
病例:23岁女性患者,左侧髋关节疼痛不适一月余,行走困难就诊。既往有过髋关节滑膜炎及治疗病史。
超声显示:股骨颈前间隙滑膜增生并少许积液。CDFI:少许点状血流信号。
结合临床症状及超声表现,考虑髋关节滑膜炎并积液。经与患者沟通同意后行超声引导下抽吸、注射治疗。
后期回访患者改善好转。
