儿童急性髋关节滑膜炎
老朋友:点击右上角按钮选择分享到朋友圈
新朋友:点击上方的儿骨守护人或长按页面底部二维码关注我们
(发稿单位:罗湖区中医院平乐郭氏正骨传承工作站,罗湖医院集团骨伤中心)
小儿骨科门诊常可听到患儿家长反映,宝宝前一天还活蹦乱跳,突然不愿意走路甚至不愿下地,或诉髋部疼痛,此时应该警惕急性髋关节滑膜炎。
什么是髋关节滑膜炎?
儿童急性关髋节滑膜炎( acute transient synovitis of the hip, TSH )又称急性髋关节一过性滑膜炎、暂时性滑膜炎、毒性滑膜炎、过敏性髋,是儿童时期常见的急性髋关节疾病,多为单侧,双侧少见,男多于女,比例为4-5:1.8。
什么原因引起髋关节滑膜炎?
1982年Lovett和Morse首先报道此病,确切病因未明。一般认为感染、外伤或过度疲劳可能与本病的发生有关。病前1~ 4周可有上呼吸道感染病史。
1.与儿童股骨头发育尚未成熟、关节囊松弛、髋关节活动度大、运动量大或损伤等有关;
2.与消化道及上呼吸道感染后,变态反应引起髋关节滑膜充血、水肿、渗出,关节囊积液、关节腔内压力升高导致关节局部疼痛、活动受限。
急性髋关节滑膜炎哪些表现?
1.起病急,好发于2~ 12岁儿童。
2.髋部或膝部疼痛,或表现为不愿行走,跛行。
3.髋区肿胀、压痛,髋关节活动(屈曲、内收、旋转)受限, 4字试验阳性,患肢假性变长在2 cm以内或骨盆倾斜。
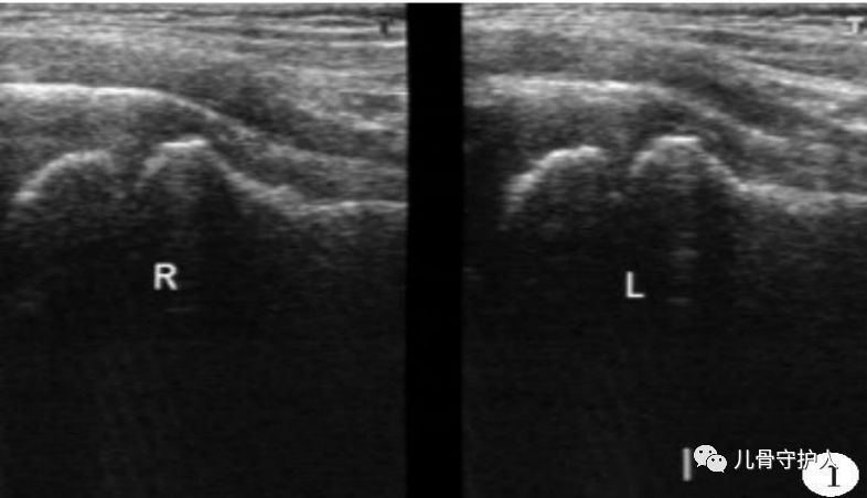
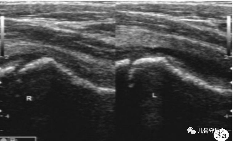
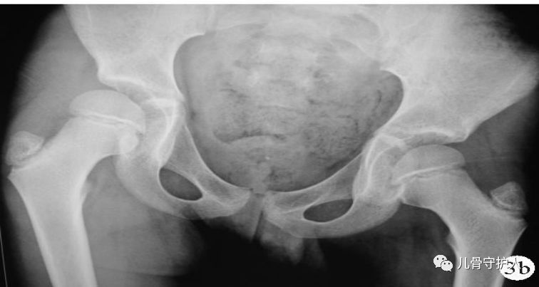
4.X:骨盆轻度倾斜,髋关节囊肿胀,关节间隙增宽,无骨质破坏。B超:患髋股骨颈颈前间隙增宽,双侧差值大于1mm。滑膜增厚,关节积液。
TSH分几型?
急性髋关节滑膜炎治疗
1.合并有上呼吸道感染或肠道感染的患儿予抗生素、抗病毒及维生素C治疗;
2.患肢制动,水平外展30度皮牵引。牵引重量1/ 6~ 1/ 8体重,每日20 h以上。缓解髋周肌肉紧张痉挛,减轻关节腔压力,促进水肿吸收,减轻疼痛,减轻对股骨头血液的影响;
3.电磁波治疗器( TDP)或者远红外线治疗。改善组织营养代谢、局部血液循环,使炎症疼痛得到减轻。
I期以卧床、避免负重为主,时间1周。
II期减低关节内压力,患肢制动、持续皮牵引、TDP灯照射治疗,时间1~ 2周。
III期患肢制动、持续皮肤牵引、TDP治疗2~ 4周。4周后复查X线、B超。预防性补充钙剂。
IV期临床症状、体征、影像学表现上均与股骨头缺血性坏死I期表现极为相似。常规治疗的治疗1~ 3个月同时,需密切随访, MRI检查除外儿童股骨头缺血性坏死。,补充钙剂。髋关节内积液长时间得不到吸收,关节内压持续增大,股骨头局部血流量减少,予改善微循环药物治疗。
需要与哪些疾病区别
早期化脓性关节炎、结核性关节炎、类风湿关节炎、股骨头早期缺血性坏死;这些鉴别都需经过专业医生排除。
TSH应早期、正规治疗,误诊误治可引起股骨头血运障碍引发髋关节发育异常,需重视。
END
关于罗湖区中医院(上海中医药大学深圳医院)小儿骨科
罗湖区中医院(上海中医药大学深圳医院)小儿骨科全体医务人员秉承中医正骨之传统,运用现代医学之精华,对各类骨伤患者采取中西医结合的治疗方法,辅以配制的中草药制剂,以最好的方法,最短的时间治愈患儿的骨折和疾病。我们总的治疗原则是:能简单、不复杂;能保守、不开刀;创伤小、痛苦小、花费少,疗效好。
我们的特色是治疗小儿骨折创伤,采取的手法整复经皮钢针内固定方法,我们坚持能闭合复位决不开刀手术的理念,痛苦小,花费少,疗效好,在深圳地区经过20多年的临床实践,受到了广大患儿及家长的盛誉称赞,也是我们小儿骨科前辈一代人甚至用生命总结、创新出的一种符合现代科学理念的微创治疗方法,在国内具有领先水平,多次在全国小儿骨科专业学术会议上分享交流特色的治疗方法,受到了专家同行的高度好评。我们的优势在小儿畸形骨科方面,擅长对小儿各种先天性畸形、生长发育畸形的矫正,具备国内先进水平,据近20年统计,小儿骨科已完成多种高难度疾病的治疗,如:发育性髋关节脱位、先天性马蹄内翻足、先天性脊柱侧弯及青少年特发性脊柱侧凸畸形、先天性肌性斜颈、儿童股骨头坏死及扁平髋、大脑性瘫痪后遗症、先天性成骨不全(脆骨病)畸形,多指(趾)并指畸形,儿童常见的膝内外翻畸形(X型O型腿)等。
欢迎关注下方公众号
本公众号为罗湖区中医院小儿骨科医师信息发布平台,旨在分享诊疗经验,传播小儿骨科健康知识,同时通过平台为患者提供信息咨询。
关于罗湖区中医院(上海中医药大学深圳医院)骨伤中心
我院骨伤中心下设老年骨科,小儿骨科,脊柱骨科,关节运动医学科,创伤骨科,正骨科,疼痛科7个亚专业。均致力于治疗精准微创化,能保守不手术,能微创不开放,痛苦小,恢复快。能满足任何年龄段的患者的需要。
