膝关节滑膜炎的分类及治疗
膝关节滑膜炎是指膝关节受到急性创伤或者慢性劳损时,造成膝关节滑膜层损伤,组织水肿,充血,渗出液增多,关节腔内大量积液,积血为主的一种无菌性炎症反应疾患。临床上一般分为急性创伤型和慢性劳损型两种。可发生于任何年龄。急性创伤性多见于青年人;慢性劳损多见于中老年人,因不良的生活习惯,近几年有低龄化趋势,肥胖者大个子更多见。今天早读就为大家详解膝关节滑膜炎的诊治策略,值得大家学习参考!
一
概述——解剖
膝关节侧面观
解剖特点
在全身187个滑膜关节中,膝关节滑膜是面积最广、最复杂的滑膜,滑膜腔也最大。膝关节滑膜有以下特点:
①滑膜面积最大,分泌滑液最多;
②脂肪垫及绒毛数量最多,也最大;
③与周围结构,特别是肌腱明显分开;
④滑膜形成许多囊状隐窝,其中5个位于关节腔前面,4个位于关节腔后面,从而使滑膜腔容积大大增加,成为人体关节腔最大的关节;
⑤滑膜面积是全身最大者,并且形成皱襞以适应膝关节的各种运动。
膝关节伸直时可容纳60ml液体,轻度屈曲可容纳88ml。
正常情况下膝关节内仅有0.13~3.5ml的滑液。滑液以液膜状态敷布在关节面上,关节腔内处于负压状态,为–8~–12 cm水柱,故不易抽出液体。
因膝关节负重大,运动多,最益受到损伤,且关节滑膜位置表浅,脂肪覆盖少,再加受凉、劳累易引起无菌性炎症,所以临床中膝关节滑膜炎最为常见。尤以老年人多见。
构成滑膜表层的两种细胞:
1、巨噬细胞样细胞,这种细胞主要功能是吞噬进入关节腔的内源性或外来的异物,
2、纤维母细胞样细胞,主要作用是合成及分泌滑液内的组成物质。滑膜细胞层与滑膜下层之间没有基底膜,滑膜下组织可以是疏松性,脂肪性和纤维脂肪性,滑膜是平滑的,一般没有绒毛状突起。
二
功能
滑膜功能:润滑作用、营养作用、吞噬作用;
滑膜有着丰富血管,滑膜细胞分泌滑液,营养无血管的关节软骨,使关节面润滑,减少摩擦,散发关节活动时所产生的热。
滑液为粘蛋白碱性液体,可防止酸性代谢产物的有害作用。
三
滑膜液形成原理
滑膜液位于关节腔内,也称关节液或滑液,是由滑膜下毛细血管内的血浆滤过,经过滑膜进入关节腔,同时滑膜衬里细胞也分泌许多透明质酸,共同形成滑膜液,以润滑关节,营养软骨。在正常情况下,关节腔的滑液量很少,不宜抽取,即使大关节如膝关节最多也不超过4ml,各种原因所致的关节疾病,均可使滑膜和毛细血管的通透性增加,引起关节炎性反应,使滑膜液的量和成分发生变化,通过关节穿刺抽取滑膜液进行分析,对关节病的诊断具有重要意义。
四
滑膜液特点
正常滑膜液呈淡黄色或无色,清晰透明,粘稠性高,但不能自行形成凝集块,粘蛋白凝集试验所形成的凝块良好,白细胞数<0.2×109/L,中性粒细胞<25%,葡萄糖含量(空腹)略低于血糖水平,细菌培养为阴性。
正常参考值
粘蛋白定性:阳性+++;
总蛋白定量:10.7-21.3g/L;
白蛋白/球蛋白:20:1。
临床意义
1.粘蛋白定性+++以下为异常,见于各种炎症,如化脓性、痛风性以及类风湿性关节炎。
2.炎症性关节炎总蛋白多为20-30g/L,类风湿性关节炎或结晶性滑膜炎总蛋白多为40-70g/L。
3、关节液葡萄糖测定<正常参考值> 3.89-6.11mmol/l。非炎症关节炎时两者糖差约为0.56mmol/L,炎症性关节炎时两者糖差为>1.4mmol/L,或关节液糖明显减少为<2.24mmol/L。
4.白细胞总数增加:
(1)白细胞数>50×109/L,中性粒细胞常>0.90,见于感染性炎症疾病,如急性细菌性感染、结核、Reiter综合征、病毒感染等。
(2)白细胞数为(3-5)×109/L,中性粒细胞常<0.30,见于轻度非感染性炎症疾病,如系统性红斑狼疮(SLE)、硬皮病、绒毛结节状滑膜炎等。
(3)白细胞数为(12-50)×109/L,中性粒细胞常>0.50,见于重度非感染性炎症疾病,如类风湿性关节炎、风湿性关节炎、痛风性关节炎。
(4)白细胞数为(1-2)×109/L,中性粒细胞<0.30,见于非炎症性疾病,如创伤性关节炎、退变性关节炎、肿瘤等。
5.晶体及有核细胞
尿酸盐结晶 → 痛风
焦磷酸钙结晶→假性痛风
类风湿细胞→RA
红斑狼疮细胞→SLE
多核软骨细胞→骨关节炎
抗酸杆菌→结核性
化脓菌→化脓性
常见关节疾病关节腔液鉴别
五
滑膜炎定义
滑膜炎(synovitis):是滑膜受到刺激产生炎症,造成分泌液失调形成积液的一种关节病变。膝关节是全身关节中滑膜最多的关节,故滑膜炎以膝为多见。
外在因素:以急性损伤或慢性劳损(包括手术损伤)等机械性损伤为主要形式,它是创伤性滑膜炎的重要发病因素 。
内在因素:感染、代谢异常、免疫…
六
膝关节滑膜炎分类
创伤性:急性滑膜炎、慢性滑膜炎
免疫性:类风湿性关节炎
代谢性:痛风性关节炎、假性痛风
出血性:色素绒毛结节性滑膜炎;血友病性关节炎
感染性:滑膜结核;化脓性关节炎
一、创伤性滑膜炎
膝关节创伤性滑膜炎,是指膝关节损伤后引起的滑膜非感染性炎症反应。临床上分为创伤性炎症和慢性劳损性炎症两种,后者肥胖女性居多。
二、急性滑膜炎
急性损伤后膝关节血肿。关节血肿一般是在伤后即时或之后1~2小时内发生,膝及小腿部有广泛的瘀血斑。触诊时皮肤或肿胀处有紧张感,浮险试验阳性。常有全身症状,如瘀血引起的发热,局部较热。本病常是其他损伤的合并症。临床时要仔细检查,以防漏诊。
三、慢性滑膜炎
1)急性滑膜炎如果处理不当,就会变成慢性滑膜炎
2)髌韧带两侧隆起、饱满,触诊该处松软
3)多见于老年患者,常伴有膝部畸形
鉴别诊断
膝关节受损后,出现关节肿痛、活动受限,浮髌试验阳性,应与关节腔积血鉴别。
积血 → 伤后立即出现;滑膜炎→数小时后
积血→疼痛明显 ;滑膜炎→疼痛较轻
另外关节腔积血常提示膝关节存在其它损伤,比如骨折,半月板、韧带损伤。
中医药疗法
中医以膏药为载体含量高、析出速度缓慢、作用长期持久、局部疗效切实等一系列优点。起到修复骨病组织的作用,直接外敷可实现调气通血、散瘀止痛、驱邪扶正等功效。
关节积液较多、张力大时,可进行关节穿刺,将积液和积血完全抽净,并向关节腔注射透明质酸钠,它是关节滑液的主要成分。研究表明,关节炎中的各种病理改变与它的减少和理化性质改变有密切关系。注射透明质酸钠有以下作用:覆盖关节软骨表面,可以保护关节软骨,防止或延缓进一步退变;保护关节滑膜、清除致痛物质,有明显减轻疼痛的作用;改善关节的挛缩状态,增加关节的活动度;对退变关节的滑液有改善作用。
针灸治疗
体针:常用穴:肾俞、白环俞、环跳、承扶、殷门、委中、阳陵泉,阴陵泉,足三里,梁丘,血海等。方法:每次选用3~5个穴位,用泻法。选穴以常用穴为主,根据其疼痛可加夹脊穴、阿是穴及循经取穴。针灸具有调和阴阳、疏通经络、扶正祛邪的作用。
物理因子疗法
超短波疗法,超声波疗法,磁疗,低中频脉冲电疗法等。
膝关节功能训练
适当的制动休息当然是对的,但是这并不能从根本解决下一次不再出现滑膜炎的问题,想要不惧各种大运动量的话,还是得练~,训练力度要量力而行,不要过度。
1.等长与等张收缩训练
膝盖尽量伸直,踝关节处垫高5cm左右,股四头肌收缩,踝关节来回背伸与跖屈;膝关节尽量伸直,大腿前方的股四头肌收缩, 踝关节尽量背伸,,缓慢抬起整个下肢大约15CM, 保持5秒钟,再保持同样姿势,缓慢直腿放下。
2.股四头肌力量训练
靠球静蹲动作要求两脚分开与肩同宽,膝关节约呈90°,股骨、胫骨与脚尖在一条直线上,膝关节不要内扣,开始时用力向后顶球。40s为一组,每次做三组 。
3.腘绳肌力量练习
练习者仰卧位,双脚搭在瑞士球上作支撑,腰背挺直,注意挺髋,使髋膝踝肩在一条直线上,保持60秒,每次做三组。
4.臀大肌力量
练习调整适宜阻力,做单腿卧推,注意骨盆不要动,髋、膝、踝在一条直线上,每组15个,每次三组。
5.臀中肌力量练习
弹力带抗阻进行侧滑步,弹力带位置在膝盖上下,注意臀肌发力,减少阔筋膜张肌的代偿,侧滑走10米。
6.动作控制练习
双脚打开,与墙壁保持较短距离,背部保持直立延墙壁下移,腹部、臀部收紧,有控制的缓慢下蹲,膝盖不要内扣。每次2分钟为一组,每天3-5组。
动作进阶为不靠墙壁,躯干依然保持直立缓慢下蹲。
药物疗法
1.西医一般采取抽积液,局部注射,加压包扎,抗生素来控制病情。若炎症没有彻底消除,积液会越抽越多,病情逐渐转为慢性,滑膜肥厚,纤维钙化、关节粘连,功能受限。
2.中药治疗: 急性期滑膜损伤,瘀血积滞,治以散瘀生新消肿为主,三七粉等口服。慢性水湿稽留,肌筋弛弱,治以祛风燥湿、强壮肌筋,内服羌活胜湿汤加减,外贴中药膏;若寒邪较盛,亦可散寒祛风除湿,方用乌头汤。
手术治疗
滑膜切除术治疗,适用于
①经6个月药物治疗无效者。
②病变仅侵犯滑膜组织,未累及骨或软骨组织,在X线片中关节间隙无变窄。
③屈曲畸形不超过20°。
平时我们可以这样预防
(1)避免膝关节过度活动及劳损,特别是双下肢剧烈运动者( 如舞蹈演员、运动员、搬运工等)更要注意劳逸结合,防止因过度用力造成组织损伤,否则,随着年龄的增长,很容易出现骨质增生现象。
(2) 膝关节出现骨折时,要及时去医院诊治,尽可能使骨折端达到解剖 复位的要求。如果复位不满意,应及时采取手术治疗。
(3)过于肥胖者,要适当控制饮食,注意调整饮食结构,减少热量的摄入,将体重控制在适当的范围之内,减轻关节上的压力和磨损程度。
(4)老年人可以适当补充钙质、维生素D等与骨代谢关节密切的药物,同时从事适度的体育锻炼,晒太阳,以减慢骨组织的衰老和退行性改变进程。
饮食注意
要少食牛奶、羊奶等奶类和花生、巧克力、小米、干酪、奶糖等含酪氨酸、苯丙氨酸和色氨酸的食物,因其能产生致关节炎的介质前列腺素、白三烯、酪氨酸激酶自身抗体及抗牛奶IgE抗体等,易致过敏而引起关节炎加重、复发或恶化。
少食肥肉、高动物脂肪和高胆固醇食物,因其产生的酮体、酸类、花生四烯酸代谢产物和炎症介质等,可抑制T淋巴细胞功能,易引起和加重关节疼痛、肿胀、骨质脱钙疏松与关节破坏。
少食甜食少食甜食,因其糖类易致过敏,可加重关节滑膜炎的发展,易引起关节肿胀和疼痛加重。
少饮酒和咖啡、茶等饮料,注意避免被动吸烟,因其都可加剧关节炎恶化。
可适量多食动物血、蛋、鱼、虾、豆类制品、土豆、牛肉、鸡肉及牛腱子肉等富含组氨酸、精氨酸、核酸和胶原的食物等。
在滑膜炎的急性期,如果疼痛特别严重,可以口服一些非甾体抗炎药物进行镇痛治疗,如阿司匹林,布洛芬,尼美舒利,萘普酮,罗非昔布等。但吃药只是临时缓解症状,并不能完全解决问题。
四、类风湿性关节炎
全身性自身免疫性疾病,病因不明
特点:多数关节对称性关节滑膜炎
早期:滑膜炎为主,关节积液肿胀,表现为关节疼痛、肿胀,大量积液,浮髌阳性
晚期:软骨严重破坏,软组织破坏,骨缺损,重度屈曲挛缩
依据病理过程和影像学征象分为4期
急性炎症
增生性滑膜炎
关节破坏
关节僵直
诊断标准
晨僵,持续至少1小时
关节炎至少3组关节(双侧近端指间关节、掌指关节、腕关节、肘关节、跖趾关节、踝关节、膝关节共14组)肿胀或积液
手指关节炎,关节肿胀累及近端指间关节或掌指关节或腕关节
对称性关节炎,同时出现左右两侧的对称性关节炎(近端指间关节、掌指关节和跖趾关节不要求对称)
皮下结节
类风湿因子阳性
手和腕关节X线片显示骨侵蚀或骨质疏松
上述前4项必须持续超过6周,符合上述7项中至少4项可诊断;适用于慢性、活动性病例,早期、不典型、非活动性病例易漏诊
诊断要点
1、女>男、病程缓慢、反复发作、青年
2、关节(多为手指关节)痛、肿、积 液、 僵硬
3、全身低热、不适、消瘦
4、ESR快、RF(+)、IgG/A/M增高
5、X片 关节骨侵蚀、骨质疏松
6、关节腔液检查
治疗目的:减轻疼痛,缓解症状,控制病情发展防止不可逆的骨质破坏,尽可能保护关节肌肉功能,改善生活质量
保守治疗
药物治疗
体疗康复
应用支具
关节穿刺和封闭
手术治疗
滑膜切除术
软组织松解术
关节清理术
切除成形术
截骨术
关节融合术
人工全膝关节置换术
关节镜手术指征
前3期的单关节病变:第1期通过活检明确诊断,确定治疗计划;第2、3期关节镜下滑膜切除
引起症状的伴有碎裂的局部滑膜增生
保守治疗失败是关节镜手术的很好指征
最后期关节多已僵直,手术改善不大
五、痛风性关节炎
遗传性和(或)获得性引起的尿酸排泄减少和(或)嘌呤代谢障碍
以高尿酸血症为主要特点
诱因:寒冷、劳累、饥饿、饮酒、暴饮暴食、进食高嘌呤食物等
表现:反复发作关节炎、痛风石形成、关节畸形
多发生于中老年男性,男女比例20:1
多侵犯第一跖趾关节,膝关节次之,较少发生于其他关节
诊断
病史
血尿酸:男性>420μmol/L;女性>350μmol/L
X线片:急性期见非特异性软组织肿胀;慢性期见软骨破坏,关节面不规则,痛风石沉积
关节液:镜检见棒状尿酸盐结晶
关节镜检查可见尿酸盐结晶附着
治疗
饮食:忌酒,禁食含嘌呤量高、高热量食物,多饮水,多食碱性食物
急性期卧床休息,冰敷,应用痛风药物秋水仙碱、非甾体抗炎药
慢性期可选用苯溴马隆促进尿酸排泄
关节镜清理,低浓度碱性液体关节冲洗
六、色素沉着绒毛结节性滑膜炎(PVNS)
由于其起病隐匿,症状不典型,缺乏特异性辅助检查手段,临床常常漏诊甚至误诊,有必要提高大家对此病的认识
概述
PVNS是发生于关节、腱鞘或滑囊的一种临床少见的慢性滑膜疾病,发病率约为1. 8/ 100万;1941年由Jaffe等命名为色素沉着绒毛结节性滑膜炎( PVNS)并沿用至今
本病多发于青壮年,80 %以上发生在 20~40 岁 ,男性多于女性 ,发病缓慢 ,病期以1~4年者居多,最长可达 10 余年 ,膝关节为多发部位,髋关节可被累及
病因及发病机制
PVNS病因不明,存在很大的争议,目前主要存在的理论如下:
1.1损伤与出血
1.2局部类脂质代谢紊乱
1.3遗传因素
1.4炎症
1.5肿瘤样变性
一些学者认为PVNS有潜在的复发及恶变、转移倾向,支持其肿瘤起源的病因理论;虽然随着治疗水平的提高,其复发率已有所下降,但时常出现的复发还是引起医生的困惑;
无论是发生在滑膜或腱鞘的 PVNS ,都有恶变的报道,也有发生肺转移死亡的报道;
这从临床角度支持了病变的肿瘤起源
临床表现
当病变累及关节时,由于滑膜受累程度和范围的不同,临床上分为:①局限型和②弥漫型两种。
①弥漫型
常表现为受累关节呈周期性、慢性疼痛、肿胀,局部皮温增高但不红,肌肉萎缩,触之有如海绵样或面包样弹性感觉,并有弥漫性压痛,有时在关节周围亦可触及大小不等、基底稍有移动的硬韧结节。在膝关节病例中,有时病变能穿透较薄的关节后侧囊壁,进入腘窝,或沿腘绳肌、小腿肌及股骨与胫骨间的空隙向上下扩展,使膝关节呈弥漫性肿胀。关节积液可抽出黄褐色或血性关节液
②局限型
由于病变以结节状为主,或绒毛结节状,其结节多数有蒂相连,所以常使关节活动受限,甚至出现交锁或弹响,为此常伴有急性疼痛,然而压痛较局限,肿胀不明显,因此此型膝关节病变,在临床上很难与半月板损伤、膝关节内游离体、髌骨软化症相鉴别。
辅助检查
超声
X线
CT表现
MRI表现
关节穿刺液检查
关节镜检查
超 声
(1)关节积液:尤其是髌上囊及左右侧囊
(2)关节内病变:滑膜弥慢性增生、肥厚,可见大小不等形状不规则的实性团块状回声,呈低、中等或高回声,分布不均匀;半月板及交叉韧带边缘模糊不清,股骨或胫骨边界不光滑或局部呈锯齿状改变
(3)关节外病变:周围软组织内有结节状或分叶状不均质回声区
髌上囊多个等回声结节,可见绒毛状突起
髌上囊内液性暗区,滑膜不同程度增厚,呈结节状
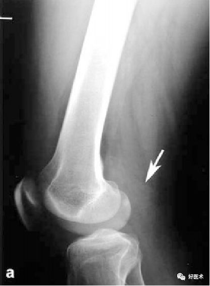
X线
第一期:早期病变,无任何X线表现;
第二期:滑膜炎表现,髌上囊肿胀,因关节积液为血性,故密度稍高;接着出现骨腐蚀和囊性变——实际上是结节在骨软骨上的压迹,以发生在髋关节最为多见;
第三期:进展期,滑膜上有多个软组织结节形成,虽未钙化,但含铁血黄素的密度高,在X线片往往可以显示出结节上轮廓,具有诊断价值。
CT表现
CT可清楚显示病变的范围,对于显示关节软组织肿块、关节囊肥厚、关节积液及微小的骨侵蚀方面较 X线平片敏感
关节周围可见卵圆形软组织肿块,股骨髁及胫骨见骨质破坏
MRI表现
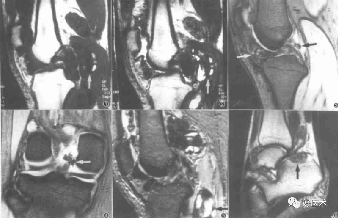
MRI对膝关节PVS具有定性诊断意义,它可以清楚显示病变的范围、关节软骨及骨质破坏的程度,其特征性表现为T1、T2加权像时低密度信号区。故MRI已成为X线片检查后首选的影像学检查方法。术前MRI检查不仅有助于明确关节内、外病变程度和范围,同时,术后MRI检查也是检查病变复发与否的最敏感手段。
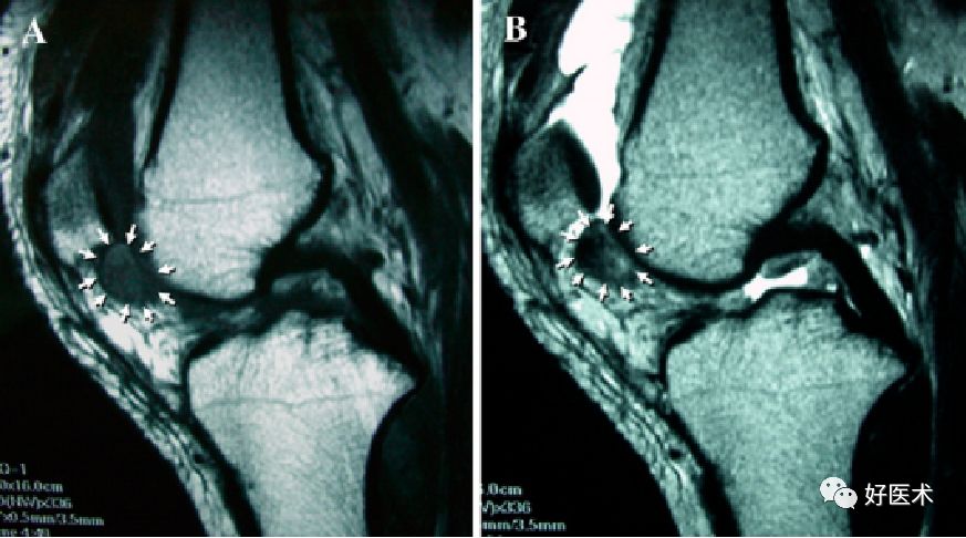
髌下脂肪囊及关节腔滑膜呈绒毛、结节样隆起,并可见形态不规则T1、T2双低信号含铁血黄素沉着,关节积液
滑膜弥漫增厚,髌上囊、髌下脂肪囊及关节腔滑膜呈绒毛、结节样隆起,并可见形态不规则T1、T2双低信号含铁血黄素沉着,关节积液
关节穿刺液检查
对本病的诊断极为重要。关节抽出液多呈黄褐色或暗红色,稀薄而有黏性,含红细胞,结核菌及细菌培养阴性;当然关节液的色泽与滑膜的病理类型及病变发展阶段有关,如滑膜病变为局限型结节状,其关节液颜色可正常或淡黄色
关节镜检查
受累关节均滑膜肥厚、充血、水肿、部分滑膜破裂在关节内呈纵形裂开、 肥厚 ,并有绒毛和皱襞形成;绒毛呈暗红色或棕黄色,长者如珊瑚状,短者增殖融合呈结节样变,直径1~3cm不等,亦呈红棕色或黄褐色,中老年人伴有不同程度软骨退变
关节镜下检查同时可以取滑膜组织进行病理检查
鉴别诊断
①滑膜软骨瘤病:无相邻关节面的骨质破坏,滑膜增厚一般不明显,关节内外可见游离体伴钙化,无特征性的含铁血黄素低T2 信号;
②类风湿性关节炎:好发于手足小关节,女性多见,具有明确的病史,类风湿因子阳性,骨质普遍疏松,关节内无软组织肿块及含铁血黄素沉着;
③血友病性关节病:是一组与性别有关的凝血障碍性疾病。关节内出血可刺激滑膜引起炎性反应, 但非结节性改变,可见含铁血黄素均匀地沉着于关节囊滑膜内壁。结合血液实验室检查、全身多脏器出血的临床表现,可与PVNS鉴别;
④关节结核:Bravo 等认为关节间隙保持正常,无骨质疏松,骨质缺损边缘有硬化环及病变内无钙化等特点有助于与结核、滑膜骨软骨瘤病相鉴别。
治疗
4.1滑膜切除术
4.2放射治疗
4.3手术联合放射治疗
4.4关节置换
手术联合放射治疗
彻底清除病变的滑膜组织是治疗 PVNS的关键!
局限型病例较易做到彻底切除,极少复发;
对于弥漫型病例,由于膝关节结构的特殊性,无论采取何种手术方式,都难以达到真正意义上的滑膜全切,所以在术后常常辅以局部放疗,对病变的滑膜细胞及毛细血管进行抑制。但放疗的效果与疾病发展的阶段有关,当 PVNS病变处于早期,富含大量血管及细胞时疗效显著,若处晚期,由于纤维素含量较多,则疗效差.
七、化脓性膝关节炎
由细菌引起,多为金黄葡萄球菌
常见原因:败血症、手术感染、关节外伤性感染、关节内注射
临床表现
急骤发病,寒颤、高热
白细胞计数增高,血培养可阳性
红、肿、热、痛,关节固定于屈曲位
X线
早期:关节肿胀、积液、关节间隙增宽
晚期:关节间隙变窄、骨质疏松破坏,增生、硬化,纤维性或骨性强直。
关节穿刺关节液检查是重要依据
关节镜下:滑膜明显充血,有脓性坏死组织
传统治疗方法
全身静脉抗感染治疗
对症支持处理
穿刺抽液、冲洗
置管冲洗(套管针)
切开引流
运用关节镜下清理、关节腔内置管持续大流量短程灌洗疗法,取得满意疗效
八、滑膜结核
慢性关节炎应考虑到结核的可能性
可单独累及滑膜,但绝大多数病例同时有骨和滑膜的病变
常继发于其他部位的结核
临床表现
低热、盗汗、食欲不振、消瘦、贫血
疼痛
肿胀、包块
关节畸形
窦道
实验室检查
ESR
Tb-Ab
WBC
抗酸染色
结核杆菌-PCR
细菌培养
结核菌素试验
关节镜下表现
关节液混浊
滑膜的增生、水肿,表面苍白,血供较差,触之松软,易脱落
深层呈暗红色,血供较丰富
少数关节在滑膜深层可见干酪样坏死
软骨失去正常的光泽,质地松软
关节镜下表现
全身治疗
营养、支持
抗结核药物(原则:早期,联合,足量,全程)
局部治疗
制动
关节穿刺、注药
手术治疗
