“恐龙蛋化石”:修炼成精的滑膜炎
滑膜炎是指关节滑膜受到外在性或内在性因素刺激产生炎症,引起充血、水肿、渗出液体而形成积液的一种病变。滑膜炎以膝关节最为多见,髋关节次之,表现为关节疼痛、关节腔积液、活动受限等。如不及时治疗,会影响关节正常活动,甚至造成关节的破坏或病废。
许多髋关节疾病常常被误诊为所谓的滑膜炎,如股骨头坏死关节积液、髋关节发育不良、髋关节盂唇损伤、风湿类风湿性关节炎、强直性脊柱炎累及髋关节等,其共同的特点都是关节内积液增加,但其病因、发展、治疗、转归均截然不同。
今天,我们介绍一种特殊的滑膜炎,诊断极其困难,分享如下:
一般情况:女,42岁,右髋关节疼痛、穿鞋袜困难4年,曾被诊断为滑膜炎,经药物熏洗、口服药(各种止痛药、活血化瘀药)及各种理疗治疗4年均不凑效,前来我科诊治,以滑膜炎待查收入院。
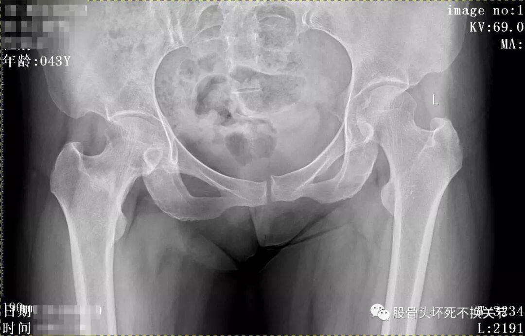
先看一下X光片:
骨盆正位片
骨盆蛙位片
右髋特写
从这些歪斜的X线片子可以看到,双髋关节并无特殊表现,双侧骶髂关节似乎轻微硬化(对于42岁生过孩子的女性来讲,不首先考虑病理原因);仔细研判放大了的右髋关节正位、蛙位片,可发现股骨头边缘轮廓并不是特别光整,与对侧相比右侧股骨近端整体骨密度低于对侧,对于一个长期患病、缺乏活动的关节来讲,不足为道,很常见。
诊断线索往哪个方向考虑?
核磁共振是诊断疑难疾病的必备检查,更是诊断滑膜炎最直观、生动的手段。
点击放大观看双侧髋关节核磁共振片:
核磁共振检查显示右侧股骨头周围一圈亮度均匀的白色信号,就是平常所说的关节积液。
讨论:诊断所谓的滑膜炎,需要找到病因才好对症下药,下一步如何确诊呢?
化验?
不错,这个病人所有的化验结果除了血沉为25mm/H略高外,其余如C反应蛋白、风湿免疫类、感染等检查全部正常![]()
如何诊断?
真的不太好找线索,活血化瘀、健脾利水中药口服,中药熏蒸、射频等各种理疗都试过,不见效果,真是特别顽固的滑膜炎!
又过了半年,再次复查X线片:
股骨头除了骨密度更低之外,看不出来有特殊变化
和病人充分沟通后,我们采取了切开探查、滑膜切除术。
术中照片如下:
这是一大块关节囊滑膜,肉眼看特别粗糙,仔细看表面有很多大小不一的颗粒状物。当时笔者特别兴奋,终于找到了答案:太像滑膜软骨瘤了!
彼时的心情,仿佛在河边捡石头,突然就发现了一大堆恐龙蛋化石!
恐龙蛋化石
病理检查所示:
病理检查显示:符合滑膜软骨瘤表现
术中除了发现滑膜软骨瘤之外,还发现股骨颈骨质特别松软,本应该非常坚硬的骨质,用止血钳轻轻一顶就是一个洞!
当时就惊出一身冷汗!也难怪,制动、休息,反复折腾好几年,这骨头松软的像面包一样,术后叮嘱患者一定要使用双拐保护,抗骨质疏松治疗3个月后逐渐丢拐,预防股骨颈骨折发生!
术后复查:
还好,没有骨折,术后观察一周,病人疼痛感一天天减轻,功能活动也是越来越方便,顺利出院。
疾病千变万化,什么稀罕的情况都有,这个"好好的滑膜炎"历经多年的修炼,终成恐龙蛋化石!
点滴感悟
1.滑膜炎是多种疾病的一个表现,如同咳嗽只是一个症状而不是一个病,感冒、肺炎、喝水呛了都会发生,只要关节内积液增加并产生疼痛、活动受限等症状,即可称为滑膜炎,找到发病的原因才能快速有效的治疗。
2.经一系列保守治疗无效,可考虑手术治疗,真相大白之日也是解决问题之日。
3.类似病例报道:
延伸阅读
