诡异的小儿髋关节一过性滑膜炎
小儿髋关节一过性滑膜炎又叫暂时性髋关节滑膜炎,是小儿髋关节疼痛最常见的病因之一,多见于年幼的男童,好发年龄3-8岁,通常急性起病。
小儿髋关节特点:股骨头发育不成熟,关节囊较松弛。下肢一旦过度外展、拉伸、挤压、或由高处向下跳跃,髋关节滑膜容易受刺激。
病因:存在多种可能原因,如剧烈运动、病毒或细菌感染后引起的变态反应、外伤等。
临床表现:疼痛、活动受限、痛性跛行、行走困难、部分患儿骨盆会向患侧倾斜,患侧下肢稍长,少数体温轻度升高。
说其诡异,是因为有相当一部分患儿症状不典型,别说超声大夫,即使临床大夫也容易被迷惑:
比如疼痛,除部分痛点在腹股沟外,还有相当一部分在内收肌处、髋关节外侧、后方梨状肌处、大腿中部甚至膝关节等。
有些症状不典型,如轻度跛行;甚至个别患儿不痛仅有姿势异常;小儿表达能力差,或表现为烦躁、夜啼等,给诊断造成一定困难。临床不乏有患儿一周以后才确诊。
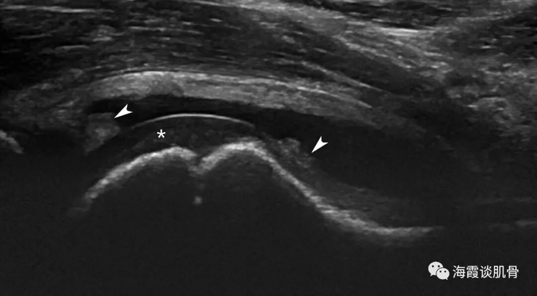
髋关节囊正常声像图:
(1)小儿髋关节前隐窝可有积液,但是一般<2mm。
(2)关节囊厚度<6mm。
(3)关节囊形态与股骨颈走形一致,向内微凹,。
图一:正常声像图,粗线为关节囊厚度,细线为积液深度,箭:关节囊形态,与深方股骨颈形态一致,向内微凹。
病变时声像图:
(1)关节囊形态外凸或扩张。
(2)关节囊厚度>6mm。
(3)内探及>2mm液性暗区,患儿大部分表现为积液,少数或复发者可伴有少量滑膜增生。
另外注意双侧对比观察关节周围的肌肉,特别股四头肌及疼痛部位的肌肉,有时候会有阳性发现。
病例1 男,5岁,左侧大腿中部疼痛两天,不敢走路,家长以为生长痛,今病情加重就诊。
图二:左髋关节囊扩张(箭),前隐窝可探及较多液性暗区(箭头),内未见滑膜增生。
图三: 左侧股直肌增厚(15.1mm),形态饱满,回声减低,束状结构模糊,右侧厚约13.0mm,形态回声可。
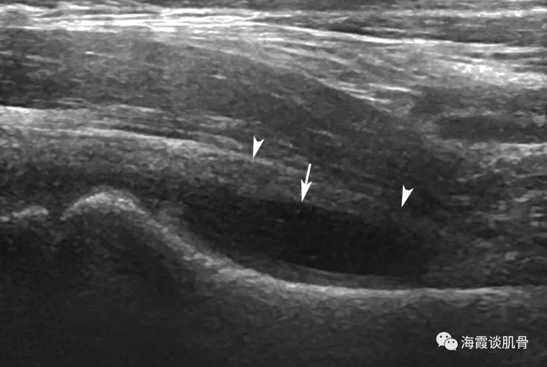
病例2 女,6岁,突发右膝关节疼痛,并跛行,扫查右膝关节未发现异常声像,随检查右髋关节。
图四: 右髋关节关节囊扩张,除积液外可探及少许滑膜增生(箭),*为关节软骨
治疗:越早诊断早治疗效果越好,早期对症治疗,短期即可缓解,一般采用卧床休息、保守治疗,一般1-2周内可自愈,恢复后要教育孩子不要过度运动,特别是不要随意从高处向下蹦跳,注意保暖、避免风寒。若反复发作,可能进展为股骨头缺血坏死。
小结:本病诊断不难,主要是知道其临床症状的隐匿性,想到才能扫查到,另外除了双侧对比观察积液外还要对比关节囊的形态和厚度,早期声像图改变可能就在毫发之间,如果不很确定可以报现象及短期随访。
本病症状虽然诡异,然而高频超声对积液及滑膜增生敏感,依然使其无处遁形。
附:
就部分表现为膝关节痛,笔者查阅一些资料及与临床专家沟通,一种认为影响到闭孔神经累及膝关节,还有一种认为可能与肌肉筋膜有关,特别是股直肌,股直肌直头起于髂前下棘,距离髋关节囊很近,反折头直接起于关节囊,股直肌容易累及引起炎症或紧张,通过肌筋膜链影响到膝关节。
往期精彩内容:
