牙痛是因为上火么?吃消炎药有用么?
去年国庆前,母亲来了城里。有一天忽然听她说牙痛。我说过几天带你去医院看看吧。我妈说没事,就是有点上火,吃点消炎药就行。然后就一边吃甲硝唑一边自己用姜片、白菜叶子、味精、冷水之类的东西冷敷。
我知道问题可能没有那么简单。但发现情况比我想象的还要糟糕是看了牙医之后。触目惊心:嘴里至少有四分之一的牙齿坏的只剩下牙根了、左边智齿严重龋齿而且发炎(这次疼痛的原因)、右边磨牙严重龋齿。
医生给出的治疗意见:1、左边智齿拔掉。2、右边磨牙根管治疗+牙套治疗。3、坏掉的牙根全部拔掉,然后装活动假牙。这是个耗时耗力的系统工程,而且一次性拔掉那么多牙齿和牙根,母亲未必立马接受得了。
思来想去,母亲选择了最保守的做法:先甲硝唑控制炎症,然后右边磨牙根管治疗+牙套,其他的暂时不管――这颗还能挽救的牙齿先挽救一下,其他的以后再说。即便就这样只治疗一颗牙齿,也前前后后跑了5、6趟医院。花费不少钱。
龋齿,又叫蛀牙,我们来看看蛀牙是怎么破坏我们牙齿的:图1,以下是一张正常牙齿,牙龈以上/长在外面的是牙冠,牙龈以下/埋在肉里面看不见的是牙根。
图2,蛀牙的发展过程。下图几个牙齿中间的黑点和缺口就是牙齿坏掉的部分,从左到右是一步步进展的。可以看到蛀牙是从表面一点一点往里面烂的:
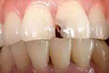
图3~5,实物图。以下3张图的牙齿都可以清晰的看到有洞洞:
这种洞洞一旦产生,是不会自己好的,只会越烂越深,最后整个牙齿都坏掉。坏的只剩下压根的意思是看得到的部分—牙冠全没了,只剩下埋在牙龈里面的牙根。见下图:
如果以上这个过程中发生牙痛,吃消炎药是没有用的,最多治标而不可能治本。
怎么办呢?
最最重要的,我们要提高认识:第一,俗话说,牙痛不是病~。错!牙痛是病。而且有时候是非常复杂的病。医学院专门有个专业叫口腔医学,口腔医学本科要学5年,读完本科还可以继续读研究生和博士。社会上稍微大一点的综合性医院都有口腔科,很多大城市还有专门的口腔医院。以下是复旦大学医院研究所发布的2016年全国口腔科声誉排行榜:
看完这个榜单,你还会觉得牙痛不是病么?这么多牛气轰轰的大学教授、博士、硕士、医学奇才、全国劳模天天在口腔医院、口腔科全心全意为人民服务,你还说牙痛不是病,难道他们不是在看病,而是在看相和算命不成?
很显然,牙痛是病,而且得治。
然而遗憾的是,我们村乃至我们镇上,都没有口腔科,也没有牙医。牙齿和口腔如果有毛病很难获得及时有效的医疗。看牙齿得去70公里之外的县城才行,而且是盘山公路,交通极为不便。
还有别的办法么?办法是有的,那就是——
第二,要学会预防。请记住一句话:假牙,不管是金牙还是银牙,不管是1千块一颗的还是1万块一颗的,都比不上自己原装的那颗好用。
有人可能会说,我牙齿都已经坏了那么多了,预防还有什么用?我想说:亡羊补牢的故事告诉我们,羊是丢了一些,但是你羊圈里面羊没有跑光啊。这时候羊圈该补还是不该补?
还有人可能会说,我年纪那么大,都土埋半截的人了无所谓。我想说:愚公移山的故事告诉我们,你死了还有儿子,儿子后面还有孙子……就算你无所谓,你是不是有必要学些知识,好教教你孙子如何预防蛀牙?
有了以上这些基本的意识,我们才能再往下谈如何保护我们的牙齿。保护牙齿总结起来两句话:第一、预防为主;第二、早发现早治疗。
如果大家有兴趣,以后我们再慢慢的聊。

