头晕1月多,竟是吃这种“消炎药”惹的祸
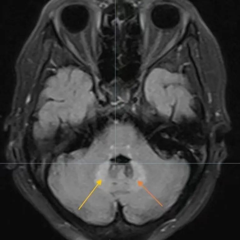
67岁张女士,1月余前无明显诱因出现头晕,症状呈持续性,感行走不稳,视物模糊、恶心。一直未予在意,直到多次出现跌倒才引起重视,遂前往我院神经内四科门诊就诊,并收住院治疗。住院后抽血完善各项化验指标均未见明显异常。完善颈部血管彩超、双下肢血管彩超均无特殊表现。查头部磁共振平扫提示脑内多发缺血及腔隙性梗死灶(慢性期);桥脑及小脑齿状核变性灶;头颈部血管均未明显狭窄。初步考虑是桥脑、小脑病变所致,但仍不能明确是什么原因导致了桥脑、小脑病变。
再次完善脑部磁共振强化,未见肿瘤等疾病,故病因仍不明确。经验丰富的杨立军主任查房时在仔细查阅患者病历资料后,感觉患者脑磁共振图像有些熟悉,似乎在哪儿见过,再次询问患者病史并了解到:患者最近半年因为牙痛,经常服用一种叫甲硝唑的消炎药,立即咨询科内神经内专家高向东主任医师,并调动神内四团队,查阅相关文献资料,最终确定,患者所患疾病为甲硝唑脑病。诊断确立后给予规范化治疗,经过一个疗程治疗,患者头晕、站立不稳症状大部分好转,出院后继续口服药物并进行前庭康复训练后可逐渐康复。
消炎药是机体伴有细菌感染时,进行杀灭细菌的一种有效药物,如果经常吃消炎药,会有以下危害:一、菌群失调。正常人体内存在较多的有益细菌,帮助人体消化食物,吸收营养。一旦进食消炎药过多,会影响正常细菌的生长繁殖,患者可出现腹泻、腹痛、腹胀等消化不良表现,如果进食消炎药时间过久,甚至会出现真菌感染。二、肝肾功能损伤。由于消炎药都要通过肝脏、肾脏代谢,经常服用会加重肝肾功能的负担,引起肝肾功能不全。三、药物耐药。经常吃消炎药会出现耐药的现象,一旦患者真正需要抗感染治疗时,选用普通的消炎药不能产生较好的疗效,需要级别更高的消炎药,造成了药物的浪费,加重身体损伤。四、有些特殊消炎药,比如甲硝唑,可引起周围神经、中枢神经损伤,产生头痛、眩晕、肢体麻木、共计失调、多发神经炎等表现。
济南市章丘区人民医院神经内四团队提醒广大患者,病宜早治,切勿隐忍及乱用药物,以防小病拖成大病。
科普小链接
一、 什么是甲硝唑脑病?
甲硝唑说明书提示,本品可引起神经系统症状,如头痛、眩晕、肢体麻木、共济失调、多发性神经炎等,大剂量可致抽搐。尽管如此,甲硝唑引起的中毒性脑病却鲜为人知。甲硝唑引起的脑病,是由于长期使用甲硝唑引起的不良影响,60%左右是小脑功能障碍,23%左右是精神状态的改变。典型的临床表现如恶心、呕吐、头痛、动作不协调、构音障碍,步态不稳,四肢感觉异常等,MRI常提示脑部出现多个病变信号。停止用药多数是可以好转的,但确切发病原因还尚不明确。
二、 该如何预防甲硝唑脑病?
从大量数据来看,基本可以确定甲硝唑脑病与长期、高累积剂量使用甲硝唑治疗有密切的关系。甲硝唑引起脑病的平均时间是68天,平均日剂量为1480mg。停止服用甲硝唑后,大部分患者会好转或症状完全消失。因此,我们不建议长期大剂量的口服甲硝唑,特别是对于肝损害的患者存在较高风险,在临床使用过程中应更加注意其脑病的发生。
三、 使用甲硝唑期间会遇到
哪些问题及注意事项?
1.服用方法
由于口服甲硝唑易对消化系统产生不良影响,应尽量选择饭后服用。
2.不良反应
对伴有慢性胃炎、消化溃疡等患者更应谨慎使用。少数患者会感觉味觉改变,如口中有金属味、口干等,这属于正常现象,不影响治疗效果,可继续使用。
3.相互作用
甲硝唑还可抑制酒精代谢,用药期间饮酒可能会出现腹痛、呕吐、头痛等症状,建议用药期间及停药后3日内,避免接触含酒精的饮品和药品。
4.对神经系统影响
甲硝唑能透过血脑屏障,可引起神经方面的毒性反应。当发生运动不协调、共济失调、惊厥和脑病时,应立即停药,严重者应及时就医治疗。如果发生四肢麻木或感觉异常也应停药。
5.禁忌症
具有过敏性体质、妊娠期3个月以内及哺乳期禁止使用甲硝唑。
/////
