跌打损伤有必要吃“消炎药”吗?
生活中总免不了有些磕磕碰碰、跌打扭伤,这也是骨科急诊患者最主要的就诊原因。
对此类患者,通常医生会建议先拍片(X线或者CT)。在影像学检查无异常,医生说骨头没啥问题后,很多人大概都会长舒一口气,默念一句骨头没事就好。只是伤筋了,那贴贴膏药吃点消炎药就好了。可事实真是如此吗?
今天我们就来聊一聊,伤筋真的等于没事吗?跌打损伤有必要吃消炎药吗?
Part.1
小伤筋,可能引起大麻烦
首先,我们要了解,当大家说筋的时候,说的是什么?伤筋到底是伤了哪?
以四肢为例,肢体由骨性结构和软组织结构组成,骨性结构即骨,构成肢体的主要支撑和维持大体形态,作为肌腱、韧带附着点保证牵拉后肢体产生活动;软组织结构包括肌肉肌腱、韧带、神经血管等围绕在骨周围的结构,即人们所谓的筋。
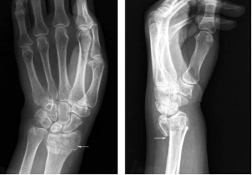
X线能清楚地拍出骨性结构(下图中白色轮廓清晰部分)但却不能清晰地分辨出软组织结构(边缘白色模糊部分)。因此,在常规摄片排除骨折表现后,患者通常会把受伤局部的肿胀、疼痛及运动障碍等不适,统称为伤筋,医学上则称为软组织损伤。
图1 手部X线片(白色部位为骨骼,边缘白色模糊部分为软组织)
图片来源:X线读片指南——王书轩、范国光主编
那么,伤筋真的没事吗?还得分以下两种情况。
第一种情况是,多数不涉及骨折的软组织损伤,经过休息后症状可以自行缓解,并不会遗留任何后遗症状。这种情况通常表现在四肢中段(大腿外侧、小腿后侧等)、腰部、臀部等肌肉比较丰富的部位,在这些部位包含有肥厚的肌肉覆盖,对肌肉和皮下组织的挫伤通常不会损伤重要的神经血管、肌腱等结构,局部的小血管破裂形成的血肿也可以通过急性期的冷敷和后期的局部循环改善而吸收,不会遗留明显后遗症。
图2 大腿外侧肌肉示意图
图片来源:奈特人体解剖学图谱
但是,第二种涉及关节部位扭伤的情况,需要谨慎!为了保持关节活动与稳定性之间的平衡,各大关节均有诸多韧带环绕以维持关节稳定,尤其是下肢负重的膝关节和踝关节。膝、踝关节的扭伤应当极其重视合并的韧带、关节囊和肌腱的损伤。
以踝关节为例,对合并踝关节韧带损伤的不合理治疗,可能会引起如下问题:
踝关节不稳定,容易反复扭伤,形成扭伤-关节不稳-扭伤的恶性循环;
踝关节不稳定及过度活动导致滑膜炎、距骨骨软骨损伤、关节炎等,表现为持续的踝关节疼痛肿胀,行走时加重。
所以我们对于踝关节扭伤的患者,无论有无骨折,都建议先行用石膏或支具固定,待完善踝关节MR检查评估韧带损伤后决定后续治疗。
而对于膝关节,相比韧带损伤,半月板损伤更严重。
半月板是位于膝关节里的两个软性垫片样结构,对缓冲膝关节活动时的压力和协助膝关节活动有着重要作用。
如果从膝关节内侧或外侧直接撞击膝关节(常见于电动车直接撞击),导致关节过度内外翻,在骨性结构没有破坏的情况下,骨对半月板的过度顶撞、挤压极容易导致半月板损伤。
半月板靠近关节边缘部分有血供,远离关节囊的大部分半月板血供差,损伤后自我修复能力差,大多数半月板损伤患者存在膝关节长时间行走或者上下楼梯时候的疼痛,这个时候往往口服或局部外用药物治疗已经基本无效了,通常需要通过关节腔内封闭治疗(注射激素、局部麻醉药等药物)控制疼痛,若无缓解则考虑微创手术治疗(关节镜)。
图3 膝关节骨与韧带示意图
图片来源:奈特人体解剖学图谱
图4 踝关节骨与韧带示意图
图片来源:奈特人体解剖学图谱
总之,伤筋绝对不等同于简单的没事,而是需要根据受伤的部分和局部症状区分,千万不可轻视,否则容易导致持续的慢性损伤。
Part.2
跌打损伤,需要吃消炎药吗?
如果医生检查评估后确定软组织损伤,局部红肿、疼痛,需要吃消炎药消炎吗?
在回答这个问题之前,我们需要了解消炎药到底是什么?
在医学上,其实并没有消炎药这一说法,只有解热镇痛抗炎药和抗菌药物的称谓。
而炎症本身,并非是某一种疾病的称呼,而是多种疾病的共同表现,通常具有红(局部皮肤发红)、肿(局部肿胀)、热(局部皮肤温度增高)、痛(触痛或活动时疼痛)四大表现。
炎症可由很多因素引起,包括细菌、病毒、真菌等明确病原体引起的感染,创伤、机体退形性变等引起的无菌性炎症(骨关节炎、手部腱鞘炎等),以及自身免疫的炎症(类风湿性关节炎、强直性脊柱炎等)。
对于创伤引起的无菌性炎症,我们可以使用解热镇痛药物,这些药物可以减轻局部的炎症反应,缓解肿胀和减轻疼痛,包括我们常用的扶他林、西乐葆等药物。而头孢、青霉素等抗菌药物,对于无菌性炎症是没有任何作用,也是不需要使用的,除非皮肤有比较严重的擦伤时候预防感染才会考虑使用。
图5 常用解热镇痛消炎药分类
图片来源:八年制药理学(第3版)
在软组织的损伤中,比药物使用更重要的是,损伤急性期24小时——48小时内需要冷敷治疗!冷敷!冷敷!重要的事说三遍。
对磕碰后局部的肿胀,急性期勿热敷!勿揉搓!勿使用活血化瘀涂剂或喷剂!对于损伤急性期,小血管的破裂和组织内的渗出较多,采用上述不当方式及药物势必加重局部的出血和渗出,导致肿胀和疼痛加重。
对踝关节扭伤,我们可以采用标准的RICE原则进行处理,即:
R(Rest):休息。损伤关节的制动,使用支具或者绷带、石膏等固定。
I(Ice):冷敷。伤后24小时——48小时内冰敷,可以起到消肿止痛、减轻炎症反应的作用,冷敷每次持续15分钟——20分钟,间隔2小时——3小时。注意切忌长时间冰敷,避免冻伤局部皮肤。
C(Compression):加压包扎。可采用弹力绷带加压包扎以减轻肿胀。
E(Elevation):将受伤的关节抬高,并高过心脏,有助于促进局部血液回流,减轻肿胀。
图6 局部冷敷、制动治疗
图片来源:国家体育总局官网
该原则不仅适用于踝关节扭伤,对任何部位的软组织损伤均适用。减少患处活动,冷敷消肿,抬高患肢促进血液回流,都是最佳的治疗策略。
总结来说,对于软组织损伤,做好急性期的冷敷和制动,辅以解热镇痛消炎药物,在较多数情况下症状可以自行缓解,但应注意关节周围合并的韧带损伤,若局部疼痛不适长时间(>1周)不缓解,应完善局部磁共振检查以评估肌腱韧带损伤,避免耽误诊疗。
出品:科普中国
制作:骨科青年
监制:中国科学院计算机网络信息中心
(本文中标明来源的图片已获得授权)
文章仅代表作者观点,不代表中国科普博览立场
本文来源于中国科普博览公众号(kepubolan),转载请注明公众号出处
转载注明出处 未经授权不得转载
转载授权、合作、投稿事宜,联系webmaster@kepu.net.cn
中国科普博览是中科院科普云平台,由中科院计算机网络信息中心主办,依托中科院高端科学资源,致力于传播前沿科学知识,提供趣味科教服务。
点这里告诉我你在看
