“人活一张脸,树活一张皮”,关注HIV感染者的皮肤健康
前 言
俗话说人活一张脸,树活一张皮,对于HIV感染者来说皮肤健康也是尤其重要。在我们日常生活中遇到的许多常见皮肤病问题,在HIV感染者中发生率更高,且更为严重,甚至更难治疗。皮肤是人体面积最大的免疫器官,受HIV、免疫、药物等影响会表现出各种各样的状况。艾滋病是因为HIV感染导致的免疫缺陷性疾病,与之相关的皮肤状况可能是HIV感染的最早症状之一,也可能提示着疾病的进展,比如感染性皮肤病和皮肤肿瘤。
大约90%的HIV感染者在疾病过程中会出现皮肤病,而在HIV急性感染期和艾滋病期更容易罹患皮肤病。已经明确的与HIV感染相关的皮肤病多达22种,此外还有很多并未明确病因。这些皮肤疾病通常分为3类,即炎症性皮炎或皮疹、感染性皮炎、皮肤肿瘤。
HIV感染的不同阶段具有不同的皮肤病发病特点。感染性皮肤病,特别是真菌感染往往发生在艾滋病期,成为机会性感染之一。有效的抗逆转录病毒治疗(ART)可以改善由HIV直接引起的皮肤病。而在免疫功能发生急速变化的时候,则更容易出现炎症性皮炎。
本文旨在与全国同道一起聊聊这些让患者寝食难安的切肤之痛。
炎症性皮肤病
这是HIV感染者最常见的皮肤病。
1.皮肤干燥症
皮肤干燥症是一种以皮肤干燥为特征的皮肤病。其症状主要为皮肤干燥、糠状脱屑,伴全身瘙痒,常于干燥季节加重。即使在非HIV感染者中,这种情况也非常普遍。但HIV感染者由于维生素缺乏等原因,更容易出现,且与季节的相关性小。
治疗包括外用保湿剂和改变生活方式,例如避免长时间的热水淋浴或使用沐浴液。更严重的情况则需要外用皮肤处方药。
2.特应性皮炎
特应性皮炎是一种慢性炎症性疾病,通常引起双侧对称的丘疹、斑疹、斑块等多种皮损,特点是瘙痒明显。它可以出现在身体的许多部位,包括四肢、眼皮和躯干。往往反复发作,在ART后的1~2年内多见,与免疫功能的变化直接相关。
治疗可以外用皮质类固醇乳膏、局部钙调神经磷酸酶抑制剂皮肤修复乳膏或止痒药物。
3.脂溢性皮炎
在一般人群中,约有5%的人患有脂溢性皮炎。但是,脂溢性皮炎会影响85%~95%的HIV感染者,通常在其CD4+T淋巴细胞计数降至450~550/μl范围时开始。脂溢性皮炎主要影响面部和头皮,导致丘疹、发红和油腻性鳞屑。脂溢性皮炎与人体免疫功能的迅速降低直接相关。如果任何患者出现严重或弥漫性脂溢性皮炎,临床医生也应高度怀疑HIV感染。
4.光敏性皮炎
光敏性皮炎即皮肤暴露在紫外线后,出现丘疹、水疱等改变。在ART期间、免疫系统过度活跃时以及严重的免疫缺陷期间,这种情况非常常见。
5.嗜酸性毛囊炎
好发于四肢、面部和胸背部。表现为群集的毛囊性丘疹,最常见于艾滋病晚期的患者。原因不明,可反复发作,部分患者抗真菌治疗有效。
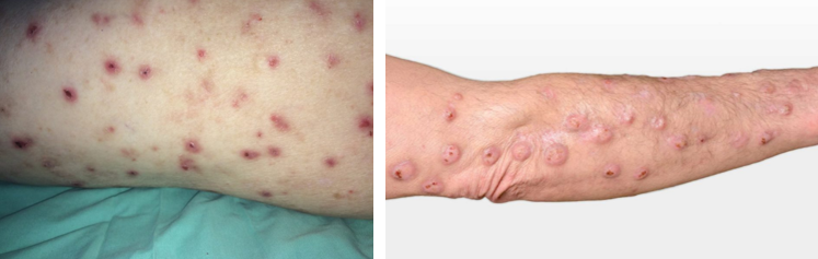
6.结节性痒症
结节性瘙痒症典型表现是散在孤立的丘疹与结节,少则数个,多则数十个以上,表面粗糙,触之有坚实感。瘙痒剧烈,它主要出现在腿和手臂上。多见于免疫系统严重受损的患者。慢性经过,可长期不愈。
可用类固醇乳膏或抗组胺药治疗,严重者可以冷冻治疗。
7.药物性皮炎
几乎所有的药物都可能导致药物性皮炎,包括ART药物、抗生素、解热镇痛药等等。常见的有非核苷类逆转录酶抑制剂(NNRTIs),例如依非韦伦、奈韦拉平、利匹韦林;核苷逆转录酶抑制剂(NRTIs),例如阿巴卡韦;蛋白酶抑制剂(PIs),如利托那韦和阿扎那韦;磺胺类药物等。及时发现并尽快去除致敏药物非常重要。
感染性皮肤疾病
由于免疫力低下,HIV/AIDS患者更容易出现细菌、真菌、病毒和寄生虫等病原微生物等感染。
1.细菌感染
大约有10%的HIV/AIDS患者会出现皮肤和软组织细菌感染,包括毛囊炎、疖、皮肤结核和脓肿。除此之外,生殖器的细菌感染如淋病、软下疳也很常见,需要采用组织病理学检查、皮肤试验等相关微生物学方法对皮肤病进行诊断。
2.真菌感染
对于真菌性皮肤病的治疗,重要的一点是要尽快取得微生物学依据,如有条件,参考药敏结果针对性用药更佳。
念珠菌病:鹅口疮是艾滋病晚期患者最常见的真菌感染之一,表现为口腔黏膜上的奶酪状、不易拭去的白斑。需要注意念珠菌也可发生在湿润的皮肤皱褶处(例如腹股沟或腋窝)以及阴道、龟头等生殖器官,表现为红斑、糜烂等。
丝状真菌病:丝状真菌是一组寄生于皮肤角蛋白组织的浅部真菌。根据感染皮肤部位的不同,该类疾病又可分别称为体癣、股癣、手足癣和面癣;感染毛发称为头癣;感染指(趾)甲称为甲癣。
糠秕孢子菌感染:糠秕孢子菌是角质层真菌病中最常见的真菌,主要侵犯皮肤角质层。主要引起花斑癣,也可引起糠秕孢子菌毛囊炎或皮肤垢着病。
马尔尼菲篮状菌感染:马尔尼菲篮状菌可导致局限性或侵袭性病变,致死率较高,在我国南方地区非常常见。典型的皮肤表现为坏死性丘疹,丘疹中心坏死,修复后中心凹陷,形似小火山或脐窝状。常伴有发热、肝脾肿大或其他系统受侵犯的表现。遇到典型的皮疹应该引起临床医生的重视。
3.带状疱疹
带状疱疹在HIV感染者中较普遍且严重。根据典型的沿神经分布的带状红斑、簇集性小水疱不难诊断。但是在HIV感染者中它可以反复发作,有时表现为双侧对称的皮疹,这两点在非HIV感染者中极其少见。而且,其导致的后遗神经痛可能在病变愈合后持续很长时间。早期抗疱疹病毒治疗以及激素的使用可降低后遗神经痛的发生率。
4.单纯疱疹病毒(HSV)感染
单纯疱疹病毒感染在HIV感染者中容易转化为慢性或持续性,它的持续存在往往表明一个人已经达到了艾滋病晚期。该病毒会引起口腔和面部唇疱疹以及生殖器病变。皮肤病变在晚期未经治疗的HIV患者中更为严重且持续时间长。对于反复或持续发作的疱疹病毒感染需要至少3个月的抗疱疹病毒治疗。
5.传染性软疣
该病以顶端凹陷如脐窝、有蜡样光泽、能挤出乳酪样物质的皮疹为特点。通常是无痛的,可存在于HIV的任何阶段,但疣体的快速生长和扩散是疾病进展的标志,预示着CD4+T淋巴细胞计数降至200/μl以下。
治疗选择包括用液氮冷冻肿块、局部涂抹软膏和激光去除。
6.口腔毛状白斑
该病是与EB病毒相关的感染。如果某人感染EB病毒,它将一生保留在体内。该病毒通常处于休眠状态,但当免疫系统功能减弱时,它可以重新激活。发病特征是舌头上有浓厚的白色病变,通常不痛。有效的ART可以改善人体的免疫系统,也有助于EB病毒休眠。
7.疣
疣是由人类乳头瘤病毒(HPV)引起的。常见于手背、鼻子以及生殖器,也出现在大腿、口腔、咽喉。HIV感染者其肛门和宫颈HPV感染的风险增加,而且由于HIV感染所致的免疫功能降低导致其更难消除疣。HIV/AIDS患者都可以通过接种HPV疫苗来降低生殖器疣的发病风险。
8.梅毒
由于梅毒和艾滋病具有相同的危险因素和传播途径,二者常常相伴而行。一期梅毒表现为黏膜的无痛性溃疡,并可自愈;二期梅毒疹的皮肤表现多样,结合梅毒血清学检测,诊断不难。需要注意的是HIV合并梅毒的患者均需要排查神经梅毒的可能。
皮肤肿瘤
HIV会增加人患某些类型肿瘤的风险,其中包括某些皮肤肿瘤。
1.皮肤癌
与普通人群相比,HIV感染者更可能患基底细胞癌(BCC)和鳞状细胞癌(SCC)。BCC和SCC是美国最常见的皮肤癌类型。但是,它们很少威胁生命。这两种皮肤癌都与日晒有关,并倾向于影响头部、颈部和手臂。丹麦的一项研究显示,男男性行为(MSM)的HIV感染者的BCC发病率增加。在CD4+T淋巴细胞计数低的HIV感染者中也观察到SCC发病率增加。治疗可通过手术切除癌组织,也可以进行冷冻手术。
2.黑色素瘤
黑色素瘤是一种罕见但可能致命的皮肤癌。它通常会导致不对称或相对较大的痣。这些痣的外观可能会随着时间而改变。黑色素瘤也可能导致指甲下方出现色素沉着带。黑色素瘤在HIV感染者中可能更具侵略性,尤其是白种人。
3.卡波西肉瘤(KS)
卡波西肉瘤是一种影响血管壁的肿瘤。它表现为深棕色、紫色或暗红色的皮肤病变。这种癌症会影响肺部、消化道和肝脏,可能会导致呼吸困难、皮肤肿胀以及消化道出血。这些病变通常在淋巴细胞数量急剧下降时出现,它们的出现通常表明免疫系统已受到严重损害。治疗方法包括化疗法、放疗和手术。少数病人通过ART也能获得好的转归。
一位HIV感染者很可能会经历一种或多种皮肤病,有时多种皮肤病会同时发生。皮肤病的病种和严重程度与免疫状态直接相关,因此皮肤表现可以作为诊断HIV感染的重要线索及反映患者免疫状态的观察指标。掌握与HIV感染相关的皮肤病谱有助于AIDS的早期诊断及感染分期,并有助于准确分析治疗效果和患者的免疫状况。
感谢云南省大理二院张建波教授为本文提供部分图片。
文章来源:关艾汇
作者:深圳三院张路坤
张路坤
版权声明
关艾汇倡导尊重和保护知识产权,我们所提供的网络服务中包含的标识、版面设计、文本、图片等均受版权、商标及其他法律保护,未经授权,上述内容均不得在任何平台直接或间接发布或使用。凡欲转载或引用关艾汇内容须与我们取得联系获得授权后方可使用。如您对文章内容版权存在疑问,请发送邮件至pmphgah@163.com,我们会于24小时之内及时沟通处理。本站内容仅供参考,不作为诊断及医疗根据。
