反复发热1周,奥司他韦、阿奇霉素治疗后病情却加重,考虑什么?
感谢丁香园社区消化内科版版主、皮肤性病版版主、丁香达人@小壮兵爱学习分享的病例:
患者:女,1 岁,因「反复发热 3 天」入院。
简要病史:患儿 3 天前无明显诱因反复出现发热,最高体温达 38.4℃,无咳嗽、咳痰,无恶心、呕吐等不适。
体格检查:咽部无充血,双侧扁桃体无明显肿大,双肺呼吸音清,双肺未闻及湿性啰音。
辅助检查:
治疗经过:考虑病毒感染,予奥司他韦颗粒治疗,治疗 3 天后仍反复发热,最高达 39℃,偶有咳嗽,夜间明显,查体:双肺呼吸音粗,未闻及湿性啰音。
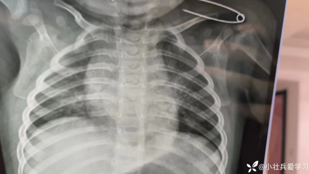
复查胸片
考虑支原体感染引起,予阿奇霉素治疗,口服 3 天后仍反复发热伴咳嗽,无咳痰,最高体温达 39.2℃,查体:双肺呼吸音粗,未闻及湿性啰音。
复查血常规如下:
▲上下滑动查看
根据上述病史、检查结果,你认为患儿最终该考虑是什么感染?病毒感染还是支原体肺炎?阿奇霉素治疗 3 天效果不佳,是否可以考虑阿奇霉素耐药?
楼主已在评论区公布答案,评论区站友讨论激烈,欢迎来丁香园社区参与讨论并发表你的观点。
文内素材及图片来源:丁香园社区消化内科版版主、皮肤性病版版主、丁香达人 @小壮兵爱学习
👇点击「阅读原文」查看完整病例和站友精彩分析。
