鸟类的常用药物
鸟医G最常在公众号后台被问到的问题是,鸟病了需要用什么药物?/我的鸟现在**了,可以用**吗?。今天和大家聊聊鸟类的用药。
开始分享前来一波广告:欢迎大家访问:鸟医日记淘宝店
鸟类用药和其他动物类似,主要分为以下几大类(引自异宠药物处方手册):
1抗生素类药物
2抗真菌类药物
3抗病毒类药物
4驱虫类药物
5麻醉/镇静/镇痛类药物
6非甾体抗炎类药物
7激素及类固醇类药物
8雾化类药物
9治疗中毒药物
10精神类及抗癫痫类药物
11营养/矿物质补充添加剂
12眼科药物
13肿瘤治疗药物
14抗菌缓释PMMA珠
15治疗油污鸟类药物
16鸟类急救类药物
18其他类药物
这其中仅抗生素一项在《异宠药物处方手册》中就列出了87种,这其中很多已经在不同的鸟类物种中进行了药物代谢(PK)及药物动力学(PD)研究。
抗生素
鸟类的体温远高于哺乳动物(37℃左右),而细菌的最适生长温度就是37℃左右,因此鸟类通常原发细菌感染并不多见。仅有确定存在细菌性感染时才会考虑使用抗生素,且最好进行细菌培养及药敏试验后再选择最有效的药物进行治疗。关于抗生素的使用,鸟医G 在6年前写过一篇文章,点此阅读。抗生素的使用需要尤其谨慎,这一点兽医的责任甚至远超过人医。lancet上个月刚发表的文章,通过对全球204个国家和地区的数据统计,仅2019年AMR抗生素耐药性造成的死亡直接导致127万人死亡,间接导致495万人死亡。
因为抗生素的滥用,AMR在全球都是研究的热点。不是做手机芯片的那个ARM。
鸟类治疗药物
再次回到鸟类用药,实际上这是一个伪命题。在人及动物的诊疗中,其流程大致相似,基于SOAP准则(Subjective-Objective-Assessment-Plan)。S表示主观信息,如主诉、临床症状等。O表示客观信息,通过检查而获得的信息,如体征、影像学、血液学检查结果等。A表示诊断,评估,即通过前面的S+O而诊断出的疾病。P表示诊疗计划,如药物治疗或手术等。SOAP形式是大多数国家病历书写的程序。由此可见药物是最后在P里面才能给出的。
不是我们常用的照片里这种SOAP
举个鸟医G的临床诊疗例子:
S:饲养15年,从小鸟饲养,这一个冬天别人照顾,没机会飞,回来20天,经常放在户外,在户外时候会打喷嚏。用过多西环素,喂了5天,打喷嚏减少,但还是有,昨天到户外还是打喷嚏。已经有一段时间不再叫了。
O :体重255g,keel4.5,腹围增大明显,听诊有明显的湿啰音,声门,口腔,鼻孔,鼻后孔正常.
A:可能的鉴别诊断,心血管、占位性、肺炎。建议麻醉后进行采样及影像学检查。
O:麻醉后进行采样及影像学检查
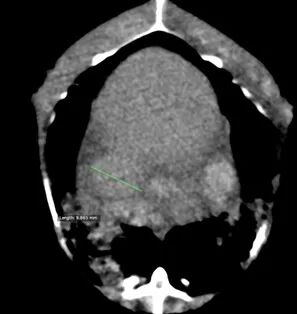
影像学检查:
CT平扫:
躯干平扫:双侧肺部存在明显CT值升高区域,右侧较严重。体腔脏器周边存在较多CT值约2HU的均一性物质。肝脏CT值约40HU,肝脏轮廓略钝圆。后腔静脉直径最粗处约10mm。心脏轴面约26*23mm。
血液学检查:
血常规未见感染证据。PCV升高。
生化未见明显异常。
A:结论
肺水肿。体腔积液。充血性心力衰竭。肝脏水肿/脂肪肝。建议结合临床、病史及细胞学和/或组织病理学。
P:药物治疗主要针对充血性心力衰竭、体腔积液及肺水肿。影像学的肝脏水肿/脂肪肝可能是继发于心脏问题,生化指标正常,暂不考虑肝脏药物。
呋塞米:改善体腔积液及肺水肿
匹莫苯丹:正性肌力,增加心输出能力。
氨茶碱:扩张支气管,改善呼吸症状。
在这里不是SOAP,而是SOAOAP,后者在临床中更常见。
鸽子药物
最后提一句TB销量很高的,也是宠物鸟主人问的最多的一类药物,*鸽,有很多编号,*号。关于这类产品鸟医G不做评价。
基于《中华人民共和国兽药管理条例》,作为销售的兽药,有以下几点必须明确的信息/条件:
1. 主要有效成分。
2. 主要有效成分的剂量/浓度。
3. 药物批号。
4. 生产厂家及生产许可证号。
5. 兽药经营许可证。
最后祝所有鸟宝都健健康康,不吃药。
鸟医G 个人简介
中国执业兽医师
美联众合转诊中心异宠专科兽医
专长鸟类诊疗 十余年临床经验
中国农业大学本科+硕士
中国动物学会鸟类学分会会员
国际鸟类兽医师协会国际委员会委员
北京小动物诊疗行业协会异宠分会 秘书长
中国畜牧兽医学会小动物医学分会异宠与野生动物专科小组 委员
美联五洲高级兽医学院 认证讲师
维特国际兽医学院 认证讲师
2019美国Exoticscon讲师
