【筋骨堂】膝骨关节炎的阶梯治疗知多少
广州中医药大学一附院微信订阅号【筋骨堂】专栏,逢周四推送!本栏文章由该院骨科专家名医亲自撰文或指导写作,内容涉及众多骨科常见病的科普讲解与防治建议,实用、权威!敬请关注!
膝骨关节炎的阶梯治疗知多少
医学指导/三骨科 曾意荣主任医师
文/三骨科 冯文俊主治医师
膝骨关节炎是中老年人群的常见疾病,会引起膝关节疼痛、活动障碍、关节变形等症状。在60岁以上的人群中,约有50%的老人会出现骨关节炎改变,其中以膝关节骨关节炎(膝OA)为多数,75岁以上人群的患病率高达80%。我国2019年的人口普查发现,中国60岁以上的人数超过2亿,其中约有1亿人正遭受着骨关节炎的困扰,患病人数及关节炎的严重程度逐年上升,膝OA在导致长期残疾的疾病中仅次于心血管疾病,该病严重影响中老年患者的生活质量和健康,目前已成为全球的公共卫生健康问题。
从2000年世界卫生组织发起骨与关节健康十年活动起,至今已有20年,该活动中重点提出膝骨关节炎的阶梯治疗方案,在这过程中,国内外专家对该方案不断提出进一步修改方案,2018年国内专家组对膝骨关节炎的阶梯治疗方案进行了更新和补充,该方案包括改变生活习惯、减肥、患者教育、口服药物治疗、关节腔注射、关节镜清理、截骨术、部分或全部关节置换术等。但该方案在老百姓当中的普及程度并不高,对于出现膝骨关节炎后该如何预防?采用何种方法治疗?老年患者更是一团雾水。针对以上方案,有必要进一步解释,哪种预防和治疗方法是最适合自己目前的病情的。
通常我们建议60岁以上的老人可以在家里做自查工作:首先,要查看能否上下楼梯,如果上、下楼梯出现膝前痛,走平路不痛,常见于髌股关节炎;其次,如果走路有膝部内侧不适或者内侧疼痛,常见于内侧膝骨关节炎,膝外侧出现疼痛,常见于外侧膝骨关节炎;再次,如果出现严重内翻或者外翻膝关节畸形,合并有走路痛,通常为膝骨性关节炎晚期。
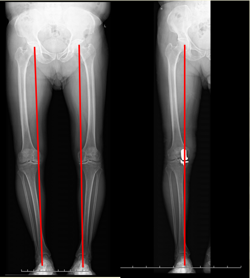
图1:该患者为左侧膝骨关节炎晚期,膝关节内翻畸形
有症状的患者,如果到医院检查的话,我们建议先做膝关节负重位X光片和髌骨屈曲30度轴位片,根据患者症状和照片分级情况,按照膝骨关节炎阶梯治疗方案治疗。
图2:2018年中华医学会提出的膝骨关节炎阶梯治疗方案
膝骨关节炎的分期主要根据症状和X线片结果来划分,一般分为早期、中期和晚期,然后根据分期选择最适合的治疗方案。
01
早 期
早期的膝骨关节炎常表现为上下楼梯或深蹲时出现疼痛,走平路时偶尔出现膝关节胀痛,休息后可缓解,不影响日常活动。关节活动度不受限或轻度受限,关节无畸形。X线片仅看到髌股关节退变,内侧关节间隙轻度变窄或者外侧轻度变窄,有小的骨质增生。
膝骨关节炎初期的患者,最重要的是基础治疗,包括健康教育和药物治疗。以健康教育为主,普及膝关节炎的相关知识。肥胖是引起膝骨关节炎和加重病情最重要的危险因素,体重越大,膝关节承受的压力就越大,软骨磨损的速度就越快,所以一定要控制体重。有研究报道,体重减轻5公斤,膝关节疼痛程度会减轻80%。另外,平时要注意合理保护膝关节,避免长途疲劳奔走、爬山、上下楼梯;避免久站久行久立,跪位和蹲位;避免穿高跟鞋;避免膝关节受凉。膝骨关节炎急性期,可以手杖、拐杖辅助行走。
膝关节功能锻炼对于缓解疼痛也是非常重要的。主要是加强股四头肌和小腿二头肌的力量和灵活性训练,不仅可以保护膝关节遭受慢性损伤,还可以促进关节软骨的新陈代谢,促进血液循环。我们推荐步行、游泳、骑自行车等有氧运动,八段锦、太极拳等中医养生运动也可。
中医理疗无论在膝骨关节炎急性期还是慢性期均有明显的改善疼痛和提高生活质量的作用,包括按摩、热疗、中药封包和针灸等。
在药物治疗方面,目前的一线治疗药物就是消炎止痛药,使用时需要注意胃肠道和心脑血管疾病风险的评估。急性期可以短期使用,减轻疼痛症状,氨基葡萄糖类药物及软骨素在阶梯治疗中,不做推荐,有部分患者服用有一定的改善作用,但有个体差异。
在中医中药治疗方面,要根据患者病情,做辨证论治,常用的方法有补肾活血,行气止痛等治疗方法,目前国内中成药在膝骨关节炎的治疗方面有良好作用,在改善关节疼痛、消肿和改善生活质量方面具有良好的疗效,如我院制剂关节康,深受广大患者喜爱。
02
中 期
中期膝骨关节炎表现为膝关节经常性的严重疼痛,日常活动受到明显限制,部分患者会出现膝关节反复肿胀,关节活动伸屈轻度受限,可出现膝内翻或外翻畸形。X线片可见关节间隙明显变窄,髁间窝、髌骨、胫骨平台等处有明显的骨质增生,部分出现软骨下骨硬化。
在选择治疗方式前,我们首先需要照双下肢全长负重位正侧位X线片和髌骨30°轴位X线片,可以判断是关节内畸形还是关节外畸形;必要时加照膝关节内翻或者外翻应力位正位照片,查明是膝关节内侧或者外侧软骨退变的轻重和部位。膝关节磁共振检查对于诊断半月板退变、撕裂和脱位及评估软骨的厚度方面具有一定的价值。
对于髌股关节炎症状突出的患者,表现膝关节前方疼痛,髌骨摩擦感。我们首先建议患者改变生活习惯,避免上下楼和深蹲;症状无改善患者,可以采用中药和短期消炎镇痛药物治疗。
关节镜下清理术在指南中并不推荐,但对于有软骨剥脱、关节游离体的患者而言,如果出现有膝关节交锁症状,仍然不失为一种有效的治疗手段。
图3:关节镜手术可以清除游离的软骨碎片,达到减轻炎症和关节绞索的治疗目的
膝骨关节炎的患者80%会累及到膝关节内侧的软骨,表现膝关节内侧疼痛,内翻畸形等。如果患者年纪轻,具有一定的活动要求,且软骨退化并不是很严重时,可以选择胫骨高位截骨术,完全保留膝关节的韧带和半月板,通过调整力线,释放内侧关节软骨的压力,达到缓解疼痛的目的,是一种真正的保膝手术。
68岁阿叔,左膝关节疼痛2年了,他的要求是希望手术后除了不痛,还要求以后可以踢毽子和游泳,考虑到他膝关节内侧软骨磨损并不是完全磨损,结合他个人的手术期望值,治疗方式为:胫骨高位截骨术,术后第二天就下地行走,术后一个月完全恢复正常,非常满意
如果内侧软骨完全磨损,达到骨磨骨的程度,患者年龄又较大,则可以选择膝关节内侧单髁置换术,出血少,创伤小,恢复快,功能好。
82岁的阿伯,右膝疼痛10年,考虑到他年纪大,膝关节仅仅是内侧软骨磨损,达到骨磨骨的程度,治疗方式为:膝关节内侧单髁置换术,风险小,微创,术后5天顺利康复出院
还有约10%的膝骨关节炎会累及到膝关节外侧的软骨,表现出膝关节外侧疼痛,外翻畸形等。同样,我们可以根据患者的要求、疼痛的程度、软骨退化的情况等,选择截骨手术和膝关节外侧单髁置换术,手术技术成熟,可以取得良好的治疗效果。
赖阿姨,65岁。30年前右髋关节结核做了手术,后面遗留畸形,不能行走,渐渐的继发了左膝关节疼痛,表现为膝关节外侧疼痛,外翻畸形。考虑到她还很年轻,治疗方式为:同时做了右侧人工髋关节置换术和左侧膝关节外侧单髁置换术,术后恢复顺利,1个月已经可以正常行走
03
晚 期
膝骨关节炎晚期表现为膝关节疼痛非常严重,夜间静息痛难以缓解,难以忍受。日常活动严重受限,拄拐行走都会感到疼痛。关节活动明显受限,伸不直,弯不了,畸形明显。X线片可见关节间隙狭窄甚或消失,大量骨赘形成,明显的软骨下骨硬化。
处于晚期的膝骨关节炎,一般关节内侧、外侧和前方的软骨都磨损严重,此时最好的治疗方法就是膝关节表面置换术。如果把膝关节单髁置换术比喻成补牙的手术,那么膝关节表面置换术就是换个牙套的手术,仅仅切掉磨烂掉的软骨,然后装上一个人工的膝关节,就可以行走和上下楼梯了。这种手术方式非常成熟,术后第二天也可以下地行走,恢复期大概是1个月,恢复良好的情况下用15~20年问题不大。
71岁的陈伯,双膝疼痛10余年。X线片提示双膝是晚期骨关节炎,非常明显的顺风腿。双侧做了人工膝关节表面置换术后,术后第二天就可以下地走路,目前可以正常出行,生活健康
膝骨关节炎一定要根据病情做阶梯治疗,每个阶段都有最适合治疗的方式,早期做到未病先防,既病防变,基础治疗是最重要的治疗方法;中期如果保守治疗无效,可以根据实际情况选择截骨手术、单髁置换手术等不同的手术治疗方案;晚期,如果严重影响患者生活质量,在身体条件允许的情况下,尽早做膝关节表面置换,可以让患者尽早下地走路,尽快恢复身体健康。
只要把握好适应症,精准执行阶梯治疗,就可以让不同阶段的膝骨关节炎获得非常满意的疗效。
专
家
简
介
曾意荣,主任医师,骨科博士,博士生导师,现任广州中医药大学第一附属医院三骨科副主任,中华医学会骨科分会中西医结合学组副组长,中国医师协会骨科分会委员,中国医师协会膝关节专业委员会委员,国际关节周围感染共识专家,中华中医药促进会保膝专业委员会副主任委员,中国研究型医院协会部分关节置换学组副组长,广东省医师协会骨关节外科分会副主任委员,广东省中医骨伤专业委员会副主任委员兼骨与关节感染学组组长,广东省医学会关节学会常务委员等。广东岭南名医,广东省十大科学传播达人。广东省科普团讲师团成员,《名医》杂志编委会主任委员。
擅长:采用人工全髋、全膝、全肩和肘关节置换手术治疗晚期髋、膝、肩和肘关节骨性关节炎。善长采用微创关节镜技术修复膝关节半月板损伤、前后交叉韧带断裂、盘状半月板等疾病;善长采用髋关节镜技术微创治疗髋关节滑膜炎、盂唇损伤、髋关节骨性关节炎、强直性脊柱炎累及髋关节、类风湿性髋关节炎累及髋关节等。
门诊时间:周一下午岭南名医,周三上午、周五上午关节骨科门诊。
作
者
简
介
冯文俊,博士研究生,广州中医药大学第一附属医院三骨科主治医师。师从著名骨关节病专家曾意荣教授,中国中医药研究促进会骨伤科分会保膝委员会全国委员,广东省医师学会骨科学会关节外科分会青年委员,广东省中医药学会骨科分会骨与关节感染学组委员等。目前发表SCI论文19篇,主持及参与国家省部级课题10项。
擅长:中西医结合治疗髋、膝骨关节炎、股骨头坏死、髋关节发育不良、类风湿性关节炎、强直性脊柱炎、半月板损伤、交叉韧带损伤、骨质疏松、颈椎病和腰椎间盘突出症等,尤其擅长人工关节置换和保膝保髋治疗。
门诊时间:周一上午 关节骨科门诊。
温 馨 提 醒
请关注下方广州中医药大学一附院或广州中医药大学第一附属医院 公众号。关注后进入页面菜单栏就诊助手或门诊服务,搜索医生姓名即可挂号。
编辑:郑小英
复核:杨艳、冯殷
责编:张秋霞
审定:方宁
觉得不错,请点在看↓↓↓
