中晚期胰腺癌的介入治疗(微创治疗)
第一部肿瘤综合介入治疗
第四篇中晚期胰腺癌的介入治疗(微创治疗)
胰腺癌是一种恶性程度很高,诊断和治疗都很困难的消化道恶性肿瘤,约90%为起源于腺管上皮的导管腺癌。其发病率和死亡率近年来明显上升。5年生存率<1%,是预后最差的恶性肿瘤之一。胰腺癌早期的确诊率不高,发现是绝大部分是中晚期,手术死亡率较高,而治愈率很低。
胰腺癌的介入治疗自从投入使用以来成为了很多患者的希望,凭借介入治疗创伤小、安全高、疗效好、副作用小等优势,越来越多的患者都开始选用介入治疗法来治疗胰腺癌。
专家介绍说,以前,临床治疗胰腺癌多采用手术以及放化疗,但是随着我国医疗技术的不断完善,胰腺癌介入治疗也被很多患者采用,中晚期胰腺癌的介入治疗方案主要有胰腺癌供血动脉化疗药物灌注治疗,胰腺癌内部放射性粒子近距离照射治疗,如果胰腺癌浸及胆总管引起胆道梗阻性黄疸可以行胆道支架植入治疗,胰腺癌浸及十二指肠引起肠道梗阻可以行十二指肠支架植入治疗,下面用图片和文字简单介绍给大家一下我们科的介入手术病例。
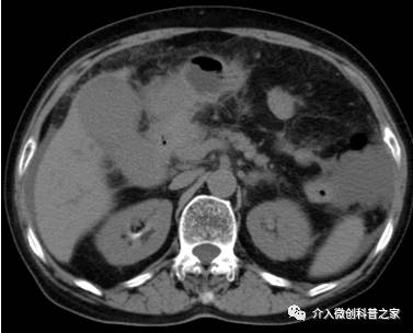
中晚期胰腺癌的供血动脉化疗药物灌注术
(高浓度药物靶向灌注杀死癌细胞)
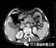
中晚期腺癌内部放射性粒子近距离照射治疗
(近距离照射杀死癌细胞、止痛效果好)
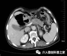
中晚期胰腺癌侵及十二指肠行十二指肠支架植入治疗
(解除肠道梗阻保持通畅)
中晚期胰头癌侵及胆总管行胆道支架植入治疗
(梗阻性黄疸即可解除)
潍坊中医院介入医学科开展的项目主要包括:
神经血管介入诊疗:脑血管造影术、急性脑中风支架取栓及动脉溶栓治疗、颅内动脉瘤及血管畸形栓塞术、头颈部血管狭窄支架成形术等;肿瘤介入诊疗:肝癌、肺癌、胃癌、直肠癌、卵巢癌等恶性肿瘤的栓塞化疗术;急诊出血介入诊疗:呼吸道大咳血、消化道出血、妇产科大出血、外伤实质脏器外伤出血及其他部位出血的动脉内栓塞治疗;妇科介入诊疗:子宫肌瘤、子宫腺肌病、瘢痕妊娠、胎盘植入等子宫动脉栓塞术;血管介入诊疗:全身各部位的动静脉狭窄、闭塞的球囊扩张成形及支架植入术,胸、腹主动脉瘤、主动脉夹层等大动脉腔内支架隔绝术,PICC管植入术;非血管介入诊疗:食管、气管狭窄支架植入术,胆道梗阻内外引流及支架植入术,经皮穿刺活检术,囊肿、脓肿的硬化治疗及引流术。
看病走新路,医学有介入,介入医学科遵循患者第一、服务第一、质量第一的医疗宗旨,以真挚的爱心和高度的责任心,为广大患者提供优质、满意的服务。
特此声明:所有以上相关资料均原创,转载请注明出处。
潍坊市中医院介入医学科(综合楼四楼),联系方式:0536-8060720、0536-8060721,潍坊市奎文区潍州路1055号。
