余日胜教授丨胰腺疾病的诊断思路宝典
临床如何应用影像学技术诊断胰腺疾病?浙江大学医学院附属第二医院放射科的余日胜教授分享了胰腺疾病诊断的思路宝典。
专家简介
余日胜 教授
浙江大学医学院附属第二医院主任医师
博士生导师
放射检验总支书记
放射科负责人兼基地主任
医学影像学教研室主任
• 中国胰腺病学会委员
• 中华医学会放射学分会腹部学组委员
• 中华放射学会质量与安全管理委员会委员
• 中国医师协会放射医师分会消化专委会委员
• 浙江省医学会放射学专业委员会副主委兼腹部学组组长
• 浙江省中西医结合学会影像专业委员会候任主委
• 浙江省生物医学工程学会放射专委会副主委
• 国家自然基金评审专家
学术兼职
专家讲课
胰腺疾病诊断思路宝典
1.一个核心:胰腺影像学至上;
2.两个基本点:临床病史与实验室检查;
3.三大类型:囊性占位、实性占位和弥漫性病变;
4.五大读片技巧:实性占位-T1W1,囊性占位及纤维分隔-T2W1,病灶内钙化-CT平扫,胰岛素瘤-反复阅片,胰腺囊肿或全胰浆液性囊腺瘤(SCN)-VHL综合征-条件反射;
5.十五大影像学特征:蜂窝征、花瓣征、胰管穿行征等;
6.一个目的——明确影像诊断:得出最可能的诊断;
7.一个及时:与时俱进,及时更新知识;
8.一个挑战:向病理学诊断挑战;
9.走适合自己的路,一定能达到光辉的顶点!
01
一个核心:胰腺影像学至上
腹部疾病这类繁多,但工作趣味性强,腹部中尤其是胰腺影像学诊断困难、手术并发症多且严重,因此术前影像学评估意义重大。各位影像同仁,一旦确认方向,就要坚定的选择!
图1:喜欢腹部尤其胰腺影像学
(浙江大学医学院附属第二医院放射科)
(图片来源:余日胜教授讲课使用)
02
两个基本点:临床病史与实验室检查
胰腺影像诊断包括两个基本点,即临床病史与实验室检查。临床病史有性别、年龄、既往疾病与手术史等,实验室检查则需关注三大肿瘤指标(CA199、CEA、AFP)、淀粉酶、C反应蛋白等。
1、胰腺囊性肿瘤需注意鉴别女儿、妈妈与外婆瘤
不同人群常见发病率:
• 实性假乳头状瘤(SPN)常见于:女、25-28岁
(青年女性)
• 黏液性囊腺瘤(MCN)常见于:女、47岁
(中年女性)
• 浆液性囊腺瘤(SCN)常见于:女、65岁
(老年女性)
• 导管内乳头状黏液肿瘤(IPMN)常见于:
男=女、67岁(老年)
2、胰腺实性肿瘤则需注意自身免疫性胰腺(AIP)
图2:需要注意临床病史
(图片来源:余日胜教授讲课使用)
不同人群常见发病率:
• 胰腺癌:
男:女 = 1.6-2:1(40-70岁)
• 胰母细胞瘤:
男:女 = 2:1{平均 5 岁和 44 岁(双峰)}
• 胰腺腺泡细胞癌:
男略多于女(60岁左右)
• 自身免疫性胰腺炎(AIP):
男:女 = 3-7:1(45岁以上)
• 胰腺神经内分泌肿瘤(pNENs):
男 = 女(50-60岁)
• 转移瘤:
男 = 女(中老年)
3、功能性胰腺神经内分泌肿瘤(pNENs)临床特征
•胰岛素瘤:
Whipple三联征(低血糖、昏迷和精神神经症状);多良性
•胃泌素瘤:
胃十二指肠多发性溃疡,卓艾综合征,25%-30%合并MENⅠ型;常恶性
•胰高血糖素瘤:
胰高血糖素瘤综合征(糖尿病、迁移性坏死性皮炎、舌炎、口角炎、贫血、体重减轻);常有转移
•血管活性肠肽瘤(VIP瘤):
腹泻、低钾、胃酸缺乏
•其他:
生长抑素瘤、生长激素瘤、MEN-I型、VHL综合征等
4、肿瘤标记物与恶性胰腺肿瘤
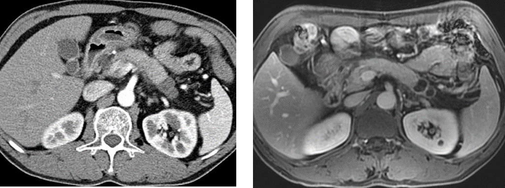
图3:富血供胰腺癌 M/53,体检发现CA-199并持续升高(肿瘤标记物为诊断重要依据)
(图片来源:余日胜教授讲课使用)
•CA199升高:
胰腺癌(包括特殊类型如腺鳞癌)、MCN及IPMN恶变
•CA199很少升高:
腺泡细胞癌、淋巴瘤
•AFP:
胰母细胞瘤(少数)、腺泡细胞癌(27%)、肝样腺癌(60%)
•CEA:
晚期胰腺恶性肿瘤
03
胰腺病变的三大类型
胰腺病变包括以下三大类:
1.囊性占位:
SCN、MCN、IPMN、SPN、胰腺神经内分泌肿瘤(pNENs)及囊性非肿瘤性病变;
2.实性占位:
胰腺癌、局灶性胰腺炎、SPN及pNENs(无明显囊变者)、转移瘤等;
3.弥漫性病变:
急慢性胰腺炎、胰腺结核、弥漫性肿瘤(淋巴瘤、VHL相关SCN、播散性平滑肌瘤病)。
图4 胰腺三大类肿瘤
(图片来源:余日胜教授讲课使用)
04
五大读片技巧
胰腺读片技巧包括以下五点:
01
T1WI:实性占位
图5 实性浆液性囊腺瘤(SCN) T1WI显示病灶明显优于T2WI
(图片来源:余日胜教授讲课使用)
02
T2WI:囊性占位及纤维分隔
图6 胰腺囊性病灶及纤维分隔:T2WI
(图片来源:余日胜教授讲课使用)
03
CT平扫:病灶内钙化
图7 浆液性囊腺瘤(SCN)CT平扫显示病灶中央钙化
(图片来源:余日胜教授讲课使用)
04
反复阅片:胰岛素瘤
图8 反复阅片:胰岛素瘤
(图片来源:余日胜教授讲课使用)
05
条件反射:
胰腺囊肿或全胰SCN-VHL综合征;
胰腺多发富血供结节-MEN- I型。
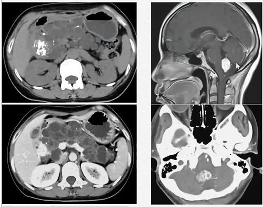
图9 全胰腺浆液性囊腺瘤(SCN)—VHL综合征
(图片来源:余日胜教授讲课使用)
图10 MENⅠ型 F/45 甲状旁腺瘤、胰腺多发神经内分泌肿瘤(pNENs)、垂体瘤
(图片来源:余日胜教授讲课使用)
05
十五大影像学特征
胰腺疾病诊断秘籍——影像特征,胰腺的十五大影像特征与相应的胰腺病变如下:
1. 双管征
即胆总管和胰管同时扩张,非常致命。提示胰头占位,主要见于胰头癌。
图11 胰头癌 双管征
(图片来源:余日胜教授讲课使用)
2. 胰管截断征
胰体癌造成的胰管截断,有助诊断。
3.蜂窝征
对浆液性囊腺瘤(SCN)非常重要。微囊型SCN(全病灶蜂窝征+中心钙化+快进快出);胰腺癌-病灶内蜂窝征,必须看T2WI!
图12 微囊型SCN
(图片来源:余日胜教授讲课使用)
4.囊外囊征
单发薄壁囊外小囊多为寡囊型SCN,T2WI显示最清晰;单发厚壁囊外小囊多为黏液性囊腺瘤(MCN)。
5.囊内囊征
黏液性囊腺瘤(MCN)。
6.花瓣征
图13 鉴别要点:无胰管扩张的花瓣征多为SCN;下游胰管扩张的花瓣征为IPMN
(图片来源:余日胜教授讲课使用)
7.葡萄征
SCN和导管内乳头状黏液肿瘤(IPMN)的鉴别要点为,无胰管扩张的花瓣征多为SCN,下游胰管扩张的花瓣征为IPMN。MRCP非常重要。
8.腊肠征
9.刀鞘征
自身免疫性胰腺炎,腊肠征-刀鞘征
图14 腊肠征-刀鞘征
(图片来源:余日胜教授讲课使用)
10.胰管鼠尾征
胰管轻度扩张且慢慢变细,为良性特征。慢性胰腺炎。
图15 胰管截断征与鼠尾征对比
(图片来源:余日胜教授讲课使用)
11.胰管穿行征
局灶性胰腺炎;较早期胰腺癌(少见)。
12.血管穿行征
淋巴瘤。诊断要点为局灶性均匀强化肿块+DWI明显高信号+血管穿行。
13.包膜征
实性假乳头状肿瘤(SPN)。小病灶包膜较模糊,大病灶包膜清晰。
14.假包膜征
腺泡细胞癌、实性浆液性囊腺瘤(SCN)、肝样腺癌。
图16 假包膜征
(图片来源:余日胜教授讲课使用)
15.导管征
图17 胰腺错构瘤:导管征
(图片来源:余日胜教授讲课使用)
06
宝典一:与时俱进,应用新知识
2012亚特兰大修订版标准和国际共识(Gut 2013;62:102–111.)更新急性胰腺炎局部并发症定义:
急性胰周液体积聚APFC
胰腺假性囊肿PP
急性坏死性积聚ANC
包裹性坏死WON
更新的内容:累及胰腺内部的液体积聚,不能再叫胰腺假性囊肿,称为急性坏死性积聚(ANC),4周以上叫包裹性坏死(WON)
神经内分泌肿瘤——胰岛细胞瘤
多形性未分化肉瘤——恶性纤维组织细胞瘤
宝典二:敢把皇帝拉下马——挑战病理
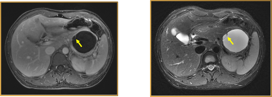
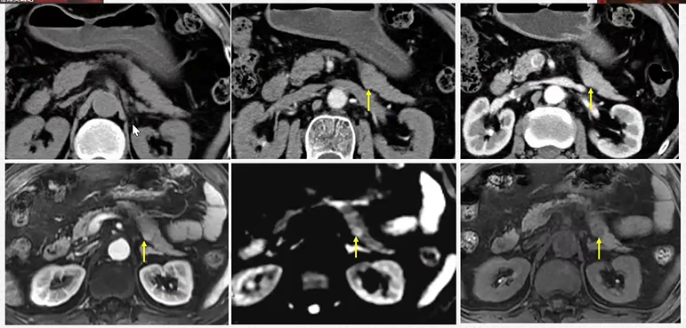
给大家分享一个案例,影像检查如下图。胰尾EUS-FNA病理示:涂片见部分异型的导管上皮细胞,癌疑,请结合影像学检查。
癌疑?有价值吗?
图18 患者胰腺影像检查图
(图片来源:余日胜教授讲课使用)
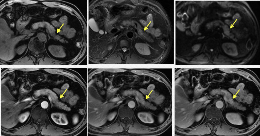
病理报告:胰腺假性囊肿(WON),伴局部胰岛细胞增生。
图19 患者胰腺影像检查图(2012-3-10)及手术记录单
(图片来源:余日胜教授讲课使用)
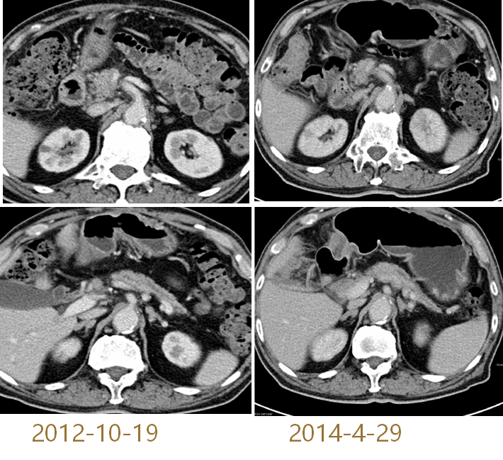
与前片比较,未行任何治疗,胰头体积缩小,胰管扩张减轻,最后临床诊断慢性局灶性胰腺炎。最终影像学战胜病理诊断!
图20 患者胰腺影像检查图
(2012-10-19 VS. 2014-4-29 )
(图片来源:余日胜教授讲课使用)
胰腺诊断的核心为影像学,终极目的是为了明确疾病诊断。首先要重视临床病史与实验室检查,明确胰腺病变的影像诊断是最终目的。此外临床医生还应与时俱进、更新知识,达到一定水平时要甚至敢于怀疑病理学诊断发起挑战。希望每一位影像同仁走适合自己的路,一定能达到光辉的顶点!
专家问答
01
胰腺检查首选彩超、MRI还是CT,其各自的优缺点?
点击空白处查看答案
按诊断价值来说,磁共振和CT优于彩超。但体检往往用彩超,一般不会采用CT或磁共振。在已知胰腺病变的情况下会选择CT或磁共振来对胰腺疾病做出诊断。CT对于早期胰腺癌以及胰腺的术前评估非常有价值。但我认为有时候磁共振可能在诊断胰腺时优于CT,比如对于局灶型上游胰管扩张,MRCP以及T2项可能比CT能更好地显示。
总体而言,MRI对于胰腺囊性病变是首选,考虑到临床诊断价值及无辐射损伤方面,无论是诊断还是随诊都应选择MRI。但CT 也有价值,比如对实性病变进行薄层扫描。在病灶内钙化和急性期出血方面,MRI不如CT。而对于小的(如脂质类的)病变,MRI有同反相位可以观察。
以我院检查来讲,CT是首选,其次是磁共振。B超的总体价值低于CT和磁共振,但体检往往采用彩超,临床工作中很多医生可能也会选择彩超。
02
胰腺粘液囊腺瘤和浆液囊腺瘤如何鉴别?囊腺瘤和囊腺癌如何鉴别?
点击空白处查看答案
现在胰腺粘液囊腺瘤称为粘液性囊腺肿瘤(MCN)。浆液性囊腺肿瘤(SCN)有5个类型,如果是微囊型,蜂窝征可以完全跟MCN鉴别;如果是寡囊型,则容易和MCN发生鉴别困难,区别的方法是花瓣征或束腰征,区别于MCN的囊内囊征或高张力。此外,SCN是富血供肿瘤,快进快出诊断多有助于鉴别。
囊腺瘤主要是指MCN的癌变,SCN的癌变率不到1%,所以我们很少强调SCN的鉴别。浆液性囊腺征,即局部有浆液性囊腺瘤的特征,且有局部侵犯或转移的特征,则可认为是浆液性囊腺瘤恶变的表现。
粘液性囊腺肿瘤的癌变率非常高,且不同指南叙述不同。比如欧洲指南认为4公分以上的粘液性囊腺肿瘤容易发生癌变,美国指南认为3公分以上就提示有恶性可能。鉴别方法:囊腺癌是b结节大于5mm并强化,区别于囊腺瘤的b结节小于5mm;周边情况;出现转移;临床出现肿瘤指标改变;影像学间接征象,比如囊腺癌出现上游胰岛扩张。
03
胰腺单纯囊性病变,与胰管没有明确关联,请问诊断结论可以如何写?
点击空白处查看答案
胰腺单纯囊性病灶的大小是关键。如果单纯囊性病灶小于1mm,是良性病变,两年复查;如果是1~2mm,也写良性病变,一般年度复查;2~3cm,半年复查;3cm以上要考虑恶性可能。3 cm以下单纯囊性病灶基本都是良性病变,3cm以上有恶变倾向。根据欧洲循证指南则是4cm以上有恶变可能。当然比如SCN完全是囊性表现,可以直接写SCN ,临床不需要随诊。
04
如果病灶与胰腺界限不清时,如何判断是否是胰腺起源?胰腺癌血管侵犯如何评估?
点击空白处查看答案
病灶跟胰腺分界不清时,中心位置在哪里非常重要。此外,病灶跟胰腺之间的关系,比如鸟嘴征、周边有推移表现也非常重要。如果是鸟嘴征,肯定考虑胰腺起源;如果是通过胰腺推移的,当然是胰外压迫;对于肿块非常大的肿瘤,胰内跟胰外有时判断比较困难。较容易出现错误的是胰周淋巴结的集合,有时被诊断成胰腺癌。此处应注意,淋巴结集合多环状强化,磁共振更有助于鉴别,T1 高信号、T2 低信号直接可以做出鉴别诊断。
胰腺癌的血管侵犯主要是动脉的侵犯和静脉的侵犯。动脉侵犯主要是评估腹腔干肠系膜上动脉以及肝总动脉,静脉评估是门静脉和肠系膜上静脉,评估形态,比如有无并行等。
门静脉评估时如果闭塞,还需要看闭塞范围。胰腺血管评估一般看侵犯的范围,对于静脉还可以看轮廓改变。评估胰腺有无血管变异对于手术也有指导意义。
05
单纯胰腺体积增大,有临床症状可以诊断胰腺炎吗?
点击空白处查看答案
单纯胰腺体积增大主要看临床症状。比如淀粉酶升高,临床支持胰腺炎诊断时则诊断为胰腺炎,如果没有征象就要小心。胰腺炎分为普通急性胰腺炎和自身免疫性胰腺炎,临床治疗方法有所不同。单纯胰腺增大,密度信号均匀,还要考虑血液系统来源的肿瘤,比如淋巴瘤。
06
自身免疫性胰腺炎影像学改变及诊断思路?
点击空白处查看答案
自身免疫性胰腺炎跟肿瘤鉴别非常重要。自身免疫性胰腺炎分为1型跟2型,1型在亚洲人中非常常见,血清学指标非常重要,比如IgG4;2型在欧美国家常见。自身免疫性胰腺炎的影像学方面强调CT和磁共振检测,有很多征象,最重要的是腊肠征、刀鞘征、强化斑点征等。
间接征象方面,比如胰管扩张一般为轻度扩张,且往往呈冰锥征,而胰腺癌的胰管扩张一般相对光滑。从磁共振的弥散信号也可以鉴别,胰腺癌的弥散不如自身免疫性胰腺炎,而自身免疫性胰腺炎的弥散不如淋巴瘤。
诊断思路方面,可以根据上述特征来做出评估,包括临床表现和实验室检查。此外肿瘤指标用于分良恶性,良性则考虑自身免疫性胰腺炎可能。影像学特征又分两型,自身免疫性胰腺炎也可能是全身自身免疫性疾病的一部分,反过来对诊断也非常有帮助。
07
发生在胰头部的胰腺癌与肿块型胰腺炎,沟槽区胰腺炎的鉴别诊断要点?
点击空白处查看答案
胰腺的环形强化和不均匀强化对于诊断非常有价值,上游胰管扩张等继发性改变也非常重要。局灶性胰腺炎就没有环形强化概念,一般是密度信号均匀,跟不均强化也不同,呈现胰管穿行征,上游胰管扩张也相对少见,以上都有助于鉴别。
沟槽性胰腺炎也是区域特殊类型,在我国相对少见,包括壁的受累、囊样表现等。其范围相对较广,还可能出现胆囊改变,总体与胰腺癌有较大区别。
08
胰腺肿瘤中的女儿瘤、妈妈瘤、外婆瘤如何鉴别?
点击空白处查看答案
胰腺肿瘤中,女儿瘤是实性假乳头状瘤,妈妈瘤一般指的是MCN,外婆瘤是SCN。女儿瘤就是实性肿瘤,年纪比较轻,男女比例1:9,有完整的包膜,里面有出血囊变坏死。实性部分进行强化,但是强化程度低于胰腺。钙化也有很大帮助,它会出现囊壁的钙化,弧形钙化,对诊断非常有帮助。此外,实性假乳头状瘤是低度恶性肿瘤,一般很少淋巴结转移。
09
胰岛素瘤一般如何诊断,胰腺内内分泌肿瘤的诊断和鉴别诊断要点?
点击空白处查看答案
胰岛素瘤的诊断一般以CT跟磁共振为主,要结合临床情况。胰岛素瘤通常是功能性神经内分泌肿瘤,具有whipple三连征、低血糖、昏迷、精神异常等表现,如果测到血糖很低对诊断非常有帮助。一般胰岛素瘤都非常小,大部分小于2公分,一般会小于1公分,一个非常重要的影像学特征是富血供的快进快出。
神经内分泌肿瘤的诊断跟鉴别比较复杂。胰岛素瘤属于G1级的神经内分泌肿瘤,所以快进快出。神经元肿瘤G3 级是渐进性强化,G2级可以是快进快出或渐进性强化,G3级如果分化不好就是神经内分泌癌。神经分泌癌跟胰腺癌的鉴别方面,胰腺癌渐进性强化程度低于神经内分泌肿瘤;神经内分泌肿瘤胰管扩张相对不明显,而胰腺癌扩张非常明显。神经内分泌肿瘤跟实性假乳头状瘤有时很难区分,靠免疫组化才能鉴别。
未经拜耳影像学苑授权禁止转载
扫码登录
更多内容
尽在拜影云学苑
仅供与医疗卫生专业人士学术沟通交流使用
PP-ULT-CN-2533-1
未经拜耳影像学苑授权禁止转载
扫码登录
更多内容
尽在拜耳影像学苑
