虚惊一场,原来是胰腺的“假肿瘤”
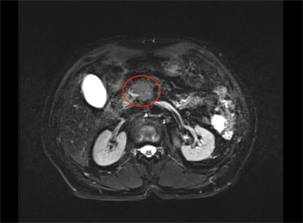
2023年12月,年过七旬的屠先生,因为上腹隐痛、胃口不好,来到医院检查,腹部B超和腹部增强磁共振都提示胰腺头部肿块,高度怀疑胰腺癌。胰腺癌俗称癌王,恶性程度极高,预后不佳,屠先生一家大吃一惊,一刻不敢耽误,立即赶到无锡人民医院普外科就诊。
外科医生为患者进行了详细的术前检查,胰腺肿瘤指标Ca199、CEA均基本正常。外科医生与消化内科医生对屠先生临床表现、辅助检查及检验的结果进行了讨论,一致认为,需为进一步检查胰腺肿块性质以评估手术指征,因此为屠先生预约了超声胃镜检查(EUS)。
消化内科EUS团队发现屠先生超声下的表现与常规胰腺癌的表现并不一致,立即在超声内镜下通过细针穿刺获取胰腺组织,最终病理显示未见肿瘤细胞。
肿瘤依据不足,那么肿大的胰腺究竟怎么了?
带着疑问,我们又详细翻阅了患者的各项检查检验结果,一个指标明显升高引起了团队医生的注意,屠先生的血清免疫球蛋白4(IgG4)高达9.01g/l(正常范围0.08-1.4g/l)。
CONCLUSION
结合上述指标,屠先生胰腺头部肿块需考虑自身免疫性胰腺炎的可能性,口服激素治疗后2024年03月复查,胰腺CT提示胰腺肿块明显缩小,患者的诊断得以明确。
认识自身免疫性胰腺炎
自身免疫性胰腺炎,是自身免疫介导的一种特殊类型胰腺炎,临床表现和影像特征常与胰腺癌难以鉴别,在以前易被误诊而行不必要的手术治疗。
消化内科EUS团队谢震雄副主任医师介绍:AIP常以梗阻性黄疸、消瘦、乏力、腹部不适为首发症状,伴有胰腺弥漫或节段性肿大、胰管不规则狭窄等影像学表现,组织学特征为淋巴浆细胞浸润和纤维化,常常伴有血清免疫球蛋白G4(IgG4)的升高,糖皮质激素治疗效果显著,大多数患者都可缓解。
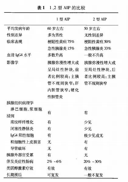
AIP诊断标准国际共识将AIP分为两个亚型:Ⅰ型和Ⅱ型。(目前亚洲病人主要以Ⅰ型为主,我们所说的AIP大多指Ⅰ型AIP。)
相较于常规影像学手段,超声内镜检查(EUS)可更直观地显示胰腺实质、胰管等情况,还可获取细胞学或者组织学标本,对自身免疫性胰腺炎的诊断和鉴别有重要价值。
近年来,无锡人民医院消化内科超声内镜技术发展迅速,常规开展超声内镜诊断和介入技术,如EUS-FNA、EUS-CPN、EUS引导下胰腺假性囊肿引流及新型技术如EUS-BD、EUS-PD等,2024年纵轴超声检查量突破500例,EUS-FNA量超100例,为越来越多的胆腺疾病患者带来福音,减少虚惊,并为后续的精准治疗提供帮助。
Show time
谢震雄,无锡市人民医院副主任医师,内科学教研室秘书,南京医科大学讲师。从事消化内科工作20余年,熟练掌握胃镜、肠镜诊断及内镜下各项治疗,擅长超声内镜对消化道粘膜下肿瘤诊治及胆胰疾病的诊治。
