每个癌症患者都需要做的基因检测,这十个问题要了解(更新版)
世界上没有两片完全一样的叶子,也没有两个完全相同的癌症。从根本上说,癌症是一种基因疾病,是细胞由于各种遗传因素或者后天刺激发生了突变,有一些突变改变了参与调节细胞生长和与组织环境相互作用的途径,促使细胞无法控制的恶性增殖,最终成为癌细胞团。
科学家已经鉴定出一组特定的肿瘤DNA变化,因此肿瘤患者不再是仅根据病理分型选择化疗药物,而可以通过基因检测,发现突变位点,为患者制定更加有效,副作用更小的化疗,靶向,免疫治疗方案,以及家族癌症风险评估。不得不说,一个患者一套方案的个体化诊疗时代已经到来。所有的肿瘤患者除了人手一份的病理报告还需要一份基因检测报告。
关于癌症基因检测,很多患者对此知之甚少,针对病友们常见的关于基因检测的问题和误区,整理了以下内容供大家参考。
内容摘要:
一、什么是癌症基因?
二、什么是癌症基因检测?
三、肿瘤基因检测的类型和适应人群?
四、各类癌症需要检测哪些基因?
五、所有的癌症患者都需要进行基因检测吗?
六、如何选择基因检测方案?
七、做了基因检测就一定有靶向药物可用吗?
八、癌症基因检测多少钱?
九、基因检测,选择什么样的标本最合适?
十、如何选择基因检测机构?
一,什么是癌症基因?
人的DNA是遗传物质的载体,而基因就是DNA中真正有含义的片段。癌友之所以会得肿瘤,归根结底是由于身体内累积了许多有害的基因突变,千奇百怪的变异,最终导致了癌症。
癌细胞中可能发生许多类型的基因改变。主要类型包括:
基于DNA的改变
碱基替换,插入或缺失,拷贝数变异,重排
基于mRNA的改变
mRNA可以在癌症中存在或不存在。当存在时,它们有时会过度表达(表达水平高于正常水平)。通常在DNA水平检测突变更容易,而如果要检测ALK,ROS,NTRK等近两年靶向研究突破重大的融合突变,则需要在mRNA水平上检测才更为准确。
基于蛋白质的改变
蛋白质可以在癌症中存在或不存在。 使用免疫组织化学(IHC)可以检测蛋白质的突变或缺失。在临床用药过程中,检测蛋白质水平对用药指导也具有重要的意义。例如,在肺癌中,针对EGFR靶向药的选择是基于DNA水平的敏感性检测,而非蛋白层面的免疫组化(IHC)检测。但是,最近的一项研究表明,与单独化疗相比,使用免疫组化(IHC)测量的高水平EGFR表达可预测对西妥昔单抗(抗EGFR抗体)联合化疗的反应。
二,什么是癌症的基因检测?
癌症是一种遗传疾病,也就是说,它是由控制细胞生长和分裂方式的DNA变化引起的。这些变化是可以遗传的,但是大多数变化是在人的一生中随机发生的,这可能是由于细胞分裂或暴露于破坏性DNA的致癌物所致。
每个人的癌症都有独特的遗传变化组合,癌症的基因检测是一种识别这些独特DNA变化的检测。
在某些情况下,了解癌症中的遗传变异可以帮助确定治疗计划。尤其是目前的靶向治疗,仅对具有特定类型突变的癌细胞有效。
例如,基因检测在某些人的肺癌细胞中发现了使细胞迅速分裂的EGFR基因突变,那么这些患者就可以使用针对EGFR突变的靶向药易瑞沙,特罗凯等。
三,肿瘤基因检测的类型和适应人群?
肿瘤易感基因检测:主要检测遗传多态性,适合家族中有成员诊断出癌症的人群,这类检测的特点是频率高,致病性低,通常不直接致病,而是增加患病的风险。
遗传性肿瘤基因检测:主要检测胚系突变,适合近亲患有罕见的癌症,且该癌症与遗传密切相关或家族中几位一级亲属罹患同一种癌症,家族中患癌成员都与同一个基因突变相关,如BRCA2与乳腺癌。这类检测的特点是频率低,致病性高,一旦携带有这种突变,则患癌的概率非常高。
肿瘤临床基因检测:主要包括化疗、靶向及免疫等药物。适合病理检测明确为恶性肿瘤的患者。通过检测肿瘤信号通路中特定基因的碱基替换/插入缺失/拷贝数变异/重排情况,以及与免疫治疗相关的生物标志物,比如TMB,PD-L1,MSI,MMR,HLA等,从而找到对特定患者有效的药物或方案。
肿瘤早期筛查基因检测:通过液体活检技术对ctDNA(甲基化)进行检测,在肿瘤早期或超早期的时候就能够发现基因水平的变化,从而达到早筛查,早发现,早诊断及早治疗的目的。适合临床相关指标怀疑癌症但无法确诊的人群。
四,各类癌症真正需要检测的基因有哪些?
并不是所有的靶向药使用之前都需要进行基因检测。国家卫健委之前颁布的《新型抗肿瘤药物临床应用指导原则(2018 年版)》,明确指出:抗肿瘤药物临床应用需在病理组织学确诊后或基因检测后方可使用。其中也罗列了需要和不需要癌症基因检测的常用的小分子靶向药物和大分子单克隆抗体类药物。但是这份指导原则仅覆盖了国内上市的靶向药,全球肿瘤医生网结合国外新药上市的情况给大家做了系统的盘点。
各类癌症需要基因检测的靶向药和不需检测的靶向药一览表
五,所有的癌症患者都需要进行基因检测吗?
广义上讲,所有肿瘤患者均可以接受基因检测;狭义上讲,根据指南推荐,不同的病种、不同的分期、出于不同的目的,不同的患者,适合做不同的基因检测。
比如,一个晚期肺腺癌患者,尚未接受任何治疗,家庭经济情况一般,只是为了看看,是否有合适的已经在内地上市的靶向药可用,那么只要测一下最常见的那几个基因就可以了。
比如,一个超级土豪,是一个肉瘤,其他药物治疗都失败了,但是依然想碰碰运气,看看是不是自己还有靶向药可用:不管是已经上市还是处于临床试验研究阶段的,不管是国内还是国外,都想知道。那么,他或许可以选择做一下跨癌种的、尽可能多的、几十上百甚至全部的基因。
但是,在癌症的治疗过程当中,有一部分人在接受靶向治疗前,选择不做基因检测,而这种治疗方法就叫做盲试。对比基因检测,盲试也有自己的优势,比如即能省钱又能节省时间。那么到底什么情况才可以跳过基因检测,直接进行靶向治疗呢?
1、靶向药单一:一些种类的癌症,可能突变类型比较单一,对于靶向药也没有可选余地,这种情况下,可以选择盲试,一旦发现没有效果,就需要更他疗法。
2、生存期不乐观:对于一些癌症友友,可能医生的预估不足6个月,并且经济条件也不好,这种情况,如果拿半个月等一个不确定的结果的话,就显得太冒险,所以不如直接进行盲试,把钱用在刀刃上,挑选概率最大的进行尝试,俗称闯大运。
六,如何选择基因检测方案?
看了上面的介绍,是不是感受到了基因检测的极端复杂性——的确是这样的,每个病人到底应该做哪些基因的检测,才能做到尽可能不遗漏(不错过治疗机会,不浪费标本)、又不多花冤枉钱,这里面学问很大很大……
肿瘤基因测试范围从简单到复杂。最简单的测试只检测一种基因中的一种类型的突变。比如仅在BRAF位置c.1799处寻找特定T到A置换突变的试验。最复杂的测试可以同时检测所有主要类型的基因改变,包括替换,重复,插入,缺失,插入,基因拷贝数 变异和结构变体,包括倒位和易位。
对患者来说,检测什么基因也是非常关键的,目前医院和各大基因检测公司都有针对不同人群的各类套餐,总结如下:
1、单癌种小panel检测:比如,对于肺癌患者,已知的驱动基因包括EGFR、ALK、KRAS、HER2、BRAF、PIK3CA、AKTI、MEKI、NRAS和MET,那么只检测这些常见突变的基因就可以了。目前国内权威的基因检测公司如泛生子、世和都推出了针对不同癌种的检测项目,如肺癌18基因、脑瘤63基因检测等。
优势:价格便宜。拿肺癌举例,由于中国肺腺癌中超过一半的患者是携带EGFR和ALK两个突变之一,这种方案性价比较高。所以,如果患者属于肺腺癌,而且经济条件一般,把有限的钱用在刀刃上才是更合理的。
2.二代测序:二代测序的出现,完美的弥补了传统单基因检测和热点基因检测的漏洞,使患者用非常宝贵的组织切片,只进行一次检测,就能获得更为精准和全面的基因分析,二代测序技术目前分为三类:
a
WGS全基因组测序:
如果将人类的2万多个基因比作是一本书,那么WGS测序是将这本书第一页的第一个字读到最后一页的最后一个字。这种检测可以说是目前最全面的,可同时检测整个基因组中的替换,重复,插入,缺失,插入,基因和外显子拷贝数变化以及染色体反转和易位。当然这种对技术和生信分析有着最高规格要求的检测价格也是不菲的,不建议一般人选择,土豪请随意。
优点:最全面。
缺点:昂贵和低产量; 需要完全不同于传统上用于大多数突变检测技术的DNA制备方法; 需要更多的肿瘤组织; 需要复杂的生物信息学; 对数据存储和处理有巨大的计算需求。
b
WES全外显子测序
如果将人类的2万多个基因比作是一本书,那么 WES测序是挑这本书20页中的外显子来看,而排除非常重要的内含子,因为融合基因的突变通常时发生在内含子上的,会漏掉ALK,ROS1,NTRK融合这些意义非常重大的用药靶点。
优点:综合性中等。在同一检测中,可同时检测许多基因中的替换,重复,插入,缺失,插入和外显子和基因 拷贝数变化。
缺点:昂贵; 需要完全不同于传统上用于其他分子突变检测技术的DNA制备方法; 需要更多的肿瘤组织; 需要复杂的生物信息学。
c
CGP全面基因组测序
如果将人类的2万多个基因比作是一本书,那么CGP测序是精准的挑选第一页的第三段,第五页的第四段...这些已明确的跟肿瘤发生发展密切相关的靶点进行检测,是目前临床中广泛使用的。
优点:能够同时检测单个测定中许多基因中的替换,重复,插入,缺失,插入和外显子和基因 拷贝数变化。探针也可以设计为捕获经常重新排列的基因中的选择性易位断点,如FoundationOne TM。
缺点:昂贵; 需要与传统上用于其他分子突变测定的完全不同的DNA制备方法; 需要更多的肿瘤组织; 需要复杂的生物信息学。
七,为什么临床医生更推荐CGP全面基因组测序?
几年前,医生通常会推荐做特定癌肿的若干个基因,一般都在几个到十几个不等,这样可以为患者节省费用。而现在,经济能力允许下,医生建议尽量选择全基因检测,全面了解基因信息。
首先,癌症患者的病理标本非常有限,同样大小的组织,仅检测几个靶点浪费了宝贵的资源。全面了解癌症患者基因突变情况,为未来整个治疗过程提供分子学证据,一次检测最大获益。
第二,避免漏检。很多患者用仅有的组织标本仅做了小panel检测,结果什么都没有检测到。在一项非小细胞肺癌的研究中,仅接受EGFR,ALK,ROS1单个基因检测的患者中,10%阴性患者通过全基因组测序(NGS)再次检测结果为阳性!并且准确性得到后续临床疗效的支持。例如,5例之前接受ALK检测阴性的患者,在CGP检测到ALK阳性后,接受ALK抑制剂治疗,HER记录中,患者至少都取得了PR的疗效。
第三,未来出现新的靶点和靶向药物时,需要重新获取患者的肿瘤组织进行基因检测,这对于很多患者非常困难。
第四,肿瘤可异病同治:癌症这种基因病是可以异病同治的!研究证实,具有相同基因改变的不同器官肿瘤患者,可以接受相同的药物治疗并获益。目前全球有大量的临床试验正在针对不同肿瘤的靶点进行治疗,仅检测几个确定的靶点,患者在现有药物耐药后,可能会丧失了许多新药物的治疗机会。
Allison,4岁因头痛恶心,发现罹患脑部和脊柱有多发的肿瘤,手术后病理检测显示她罹患非常罕见难治的肿瘤-间变性星形细胞瘤。Allison术后开始化疗,四个月后开始出现耐药,肿瘤复发。她的父母几乎咨询了全球所有顶尖的医院,得到的回复都是没有好的方案。
就在Allison的父母绝望的时候,Allison基因检测结果显示具有BRAF突变,而某些黑色素瘤也具有BRAF突变。主治医生Kieran博士建议让Allison参加dabrafenib的临床试验(dabrafenib这种药可以靶向黑色素瘤中的BRAF突变),于是,Allison便成了全球首例参加dabrafenib的临床试验的儿童脑瘤患者。治疗两个月后,奇迹出现了,头颅MRI结果显示Allison的肿瘤全部消失了。
第五,很多靶向药未来可能会获批更多的适应症。如果没做全基因检测,新药上市时需要再次检测。比如奥拉帕尼最初只获批用于BRCA突变的卵巢癌和乳腺癌,慢慢的研究人员发现胰腺癌中也有部分患者存在这种突变,并且可以获益于奥拉帕尼,目前奥拉帕尼已获批用于胰腺癌。
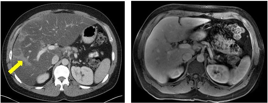
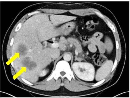
在2015年秋天,44岁的年轻人Doron Broman被诊断患有胰腺癌,生存期仅剩几个月。
确诊时
在接受最强的化疗方案FOLFIRINOX后,肿瘤虽然缩小,但是他无法承受强烈的副作用。他的主治医生,丹娜法伯癌症研究院的Kimmie Ng博士检测了Broman的肿瘤DNA的全部外显子序列,显示BRCA2基因的突变。他的医疗团队决定使用靶向Brac突变的药物,称为PARP抑制剂的olaparib(Lynparza) ,尽管这款药物当时仅获批用于卵巢癌。
在他使用奥拉帕尼六个月后,MRI和CT扫描显示没有癌症复发,生物标志物水平保持在正常范围。Ng说,只要癌症得到控制,他可以无限期地服用奥拉巴利,因为副作用很小。
FOLFIRINOX治疗5个月病灶明显缩小 vs olaparib治疗21个月病灶全部消失
原文链接:奥拉帕尼挑战胰腺癌!有这个突变,你也可能把癌王吃没!
八,癌症基因检测多少钱?
癌症基因检测价格一般取决于需要检测位点的数量,检测数量越多,价格越高,全基因检测应该是最贵的,不同的基因检测公司,定价略有不同,但是相差不会太多。国内癌症单病种基因检测一般在几千元,全基因检测2万元左右,美国全基因价格稍高,Foundation Medicine 5万+元(国内3万+)。患者可以根据经济条件和癌症类型选择合适的基因检测类型,建议去正规的基因检测机构。
九,基因检测,选择什么样的标本最合适?
做基因检测,是检测肿瘤细胞的突变,因此需要获取肿瘤细胞。
临床上通常有三种方式:
1. 肺癌手术中(或胸水中)得到肿瘤样品。
2. 穿刺活检样品,通常是在局部麻醉下,使用很细的针刺入疑似肿瘤,来获取少量细胞用于分析。这样创伤很小,可以避免不必要的手术,对患者影响小。
3. 液体活检。肺癌的液体活检,主要是指通过分析血液里的癌细胞或者癌细胞释放的DNA进行分析,判断癌症突变类型。这之所以能成功,是因为晚期癌细胞,或者癌细胞的DNA,会经常跑到血液里面,现代技术有可能把它们捕获,进行分析。
液体活检是目前最热门的技术之一,最大的优点是无创,风险小,而且可以反复多次取样,但目前依然以组织病理切片的基因检测,准确度最高,是业内公认的金标准。虽然它也不是100%完美(比如还有空间、时间、异质性的问题)。但是,常常能遇到病友无法取得足够的组织,或者组织标本年代久远,这类情况下,也可以考虑用血液标本勉强代替。
我们一般推荐的优劣顺序是:最近手术或活检新取的组织标本>1-2年内的组织标本>最新的血标本>2年以上的旧的组织标本。
十,如何选择基因检测机构?
介绍了这么多检测靶点和检测技术,那么癌症患者究竟该如何选择一家靠谱的检测机构呢?
目前,我国做基因检测的独立医学检验所已超过200家,拥有一批优秀的大公司,但也存在大量小机构,甚至一个小实验室就可以为患者做癌症全基因检测,检测结果存在准确性问题,一些三甲医院临床实验室的基因检测水平也不尽如人意。很有可能花了钱,耽误了时间,结果却什么也没检测出来。对于都是外行的癌症患者甚至包括一些临床医生来说,很难分辨出究竟哪一家基因检测机构才是靠谱的。全球肿瘤医生网医学部为大家总结三点,请大家选择检测前进行参考:
1.选择基因检测机构的资质完善和实力强的机构。
基因检测的阵地就是实验室,必须要获得国家相关部门的认可,或者国际实验室资质认可。就像医学类院校的学生要当临床医生首先要有医师执业证,一家合格的基因检测公司要接收患者的组织样本出具报告,首先要具备CAP与CLIA双认证,被视为临床检测行业内金标准,也是最基本的门槛。
CLIA:《临床实验室改进修正案》,在美国,一间临床检测试验室只有获得CLIA执照后,才有权接收并处理美国人源临床样本,足见CLIA的权威性及临床检测质量管控的重要性。
CAP:美国病理学会,凭借病理学在疾病诊断中无法动摇的金标准地位,对CLIA提出了自己的解读,CAP制定了具有可操作性的质量评价规程和认证体系。
因此大家在选择基因检测公司的时候尽量选择知名的,专注于癌症基因领域的大公司。全球肿瘤医生网整理了详细的名单,想了解的可以添加文末二维码获取。
2.考察机构的数据分析及报告解读能力
整个流程中,最关键的环节是数据分析,需要庞大的数据库及权威的分析团队,包括分子生物学专家、病理医生,肿瘤医生、生物信息学专家、免疫学专家等通力合作,针对你的每一个突变位点掘地三百尺,查阅文献,相似病历,为你找到最匹配的治疗药物,和前沿药物临床试验,才能为癌症患者出一份精准的基因检测报告。很多晚期无路可走的患者,甚至通过权威基因检测报告推荐的临床试验获得了生机。晚期癌症患者基因检测无靶向药,但却获得了更好的治疗!
3.选择FDA批准的机构更有保障。
目前,FDA已经批准了两款专门针对癌症患者的基因检测产品,纽约纪念斯隆·凯特琳癌症研究中心(Memorial Sloan Kettering Cancer Center,MSK)基于二代测序技术(NGS)的癌症基因检测分析平台MSK-IMPACT和Foundation Medicine旗下产品--FoundationOne CDx(F1CDx)用于泛癌症临床伴随诊断。如果病友们不信任市面上的检测机构,那么选择FDA批准的检测相对来说更有保障。不服不行!全球肿瘤基因检测行业标杆-Foundation Medicine!
最后要告诉大家的史,正如医生并不能治愈每位病人,基因检测也无法为每个癌症患者创造奇迹。特鲁多说有时去治愈,常常去帮助,总是去安慰。对肿瘤基因检测来说,有时会带来新的治疗希望和药物选择,常常能帮助医生更全面深刻地了解每颗肿瘤,总是穷尽技术的极限寻找对患者可能有用的信息,希望大家都能通过权威的检测获得合理的用药方案。
抗癌新药,新技术,权威专家
扫码在线咨询
抗癌网站
www.globecancer.com
抗癌热线
400-666-7998
癌症分类文章:
·肺癌·胃癌·结直肠癌·肝癌·胰腺癌·乳腺癌·肉瘤·儿童肿瘤·妇科肿瘤·泌尿系统肿瘤·其他肿瘤
癌症技术:
·PD-1·基因检测·靶向治疗·质子治疗·免疫治疗·电场治疗·专家会诊·出国就医
