猫胰腺炎是否被过度诊断了?
猫胰腺炎是否被过度诊断了?
Julien Bazelle, DVM, MRCVSa,*, Penny Watson, MA, VetMD, CertVR, DSAM, FRCVSb
杜宏超博士 译
关键词
·猫 ·胰腺炎 ·敏感性 ·特异性 ·诊断
要点
猫源性胰腺炎的临床症状模糊,增加了假阳性和假阴性结果的风险。
常见的并发肠道和/或肝脏疾病使诊断复杂化。
与慢性和/或低度炎症相比,现有的诊断测试对发现严重急性胰腺炎有更高的敏感性。
无典型体征的炎症患者的组织病理学及病理意义尚不清楚。
目前证据提示过度诊断胰腺炎的风险小于诊断不足的风险。
引言
胰腺慢性炎症在猫中很常见:1研究报告称,无论猫的死因如何,死后多达60%的胰腺发生炎症病变,1尽管以前报告的发病率低得多(<1%)。2有一些证据表明急性胰腺炎也可能比人们认识到的更常见。然而,直到最近,猫的胰腺炎仍不是常见疾病,这可能与猫胰腺炎临床症状轻微和不具特异性,而且缺乏敏感和特异性的诊断测试有关。随着临床病理检查和诊断影像学的改进,诊断的准确性有所提高,但临床医生可能过度诊断该病,尤其是过度解释正常反应性或衰老性改变。这篇观点文章分析了临床上有意义的猫胰腺炎的证据,并用目前可用的诊断测试对该病是否被过度诊断或诊断不足进行了批判性评估。
定义
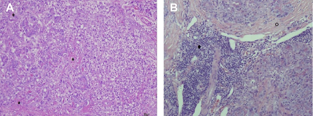
胰腺炎是胰腺外分泌组织继发于多种疾病和损伤的炎症。根据临床症状的严重程度和持续时间以及组织病理学的发现,一些研究者已经将急性胰脏炎(AP)和慢性胰脏炎(CP)分开。1-3关于AP和CP的诊断标准是临床还是组织学,文献中没有共识。这篇文章的作者更喜欢人类医学中使用的标准组织学定义,但承认胰腺炎通常在临床上没有组织学诊断。AP以中性粒细胞炎症和水肿为特征(图1A)。这种情况不同于CP,在CP中,纤维化是一个显著的组织学发现,具有永久性的结构和功能损伤(图1B)。1尽管AP和CP可能有不同的临床表现,但在某些猫中会出现一些重叠,AP和CP可能代表疾病连续体上的不同点。3在人类中,复发性AP和CP之间的关系是复杂的,纤维化的进展取决于多种环境和遗传因素。4没有研究在猫身上对此进行过调查。
图1 (A) AP猫胰腺活检组织病理切片。部分胰腺实质被无核的无定形物质(液化性坏死)(星号)取代,并有中等数量的中性粒细胞(苏木精-伊红,原始放大X40)。(B) CP猫胰腺的组织病理学切片。注意周围广泛的纤维组织(◇)和腺泡组织以及淋巴细胞性炎症(a)(苏木精-伊红,原始放大X40)。
(From Bazelle J, Watson P. Pancreatitis in cats: Is it acute, is it chronic, is it significant? J Feline Med Surg. 2014; 16(5):395-406; with permission.)
AP的典型临床表现被比CP更严重,发病更突然。在前面提到的猫胰腺炎死后研究中,AP以中性粒细胞炎症和不同数量的胰腺腺泡细胞和胰周脂肪坏死为特征。1早期对AP的描述定义了两种不同的形式:急性坏死性,其中有明显的脂肪坏死;急性化脓性,其中脂肪坏死不是常见的特征。2因为这些被认为患有AP的患者在组织病理学上也有纤维化的证据,所以尚不清楚他们是患有急性加重的AP还是CP。
另一方面,CP患者的症状通常较轻。组织病理学表现为单核或混合性单核和粒细胞炎症、纤维化和腺泡萎缩。1这种类型的胰腺炎最为常见,60%的胰腺显示出CP的迹象。1这一发现可能表明,在一些轻度炎症患者中,可能存在与年龄相关的变化,但仍然表明慢性炎症在猫中很常见。通常情况下,病情会持续、逐渐恶化,炎症可能扩展到胰腺内分泌组织,导致胰岛破坏和b细胞功能受损。因此,糖尿病和胰腺外分泌功能不全(EPI)都与CP有关。6,7
评估胰腺组织病理学的研究很少。此外,即使在最近关于猫胰腺炎的文章中,AP和CP之间的区别也并不总是很明确。在解释可用诊断工具的性能时,缺乏定义会带来不确定性。
获得明确诊断的困难
模糊的临表现
患有胰腺炎的猫,即使是严重的急性发作,也常常表现出模糊的临床症状(主要是厌食和嗜睡),胃肠道症状常常不存在或观察不到。23.58据报道,呕吐的发生率为35% 至90%(尽管大多数研究报告的发生率<67%),腹泻为11%至57%,腹痛为19%至 48%。猫科动物的隐秘性可能是这种低发病率的原因,因为这些症状可能被主人遗漏。体检的结果也是非特异性的,可能包括腹部不适(19%-29%)或发热(19%- 25%)。众所周知,猫喜欢隐藏疼痛,即使是严重的疼痛,这使得识别严重的急性疾病和腹膜炎比狗要困难得多。胆汁淤积可以增加对胆汁淤积情况的怀疑,其次是肝外胆道梗阻伴有胰腺炎或并发胆管炎(稍后讨论),但仍然不常见(31%-37%)。5
一项研究比较了63只猫的AP和CP,没有发现在临床症状的发生和严重程度上有任何区别。3因此,临床表现无助于区分AP和CP。
这种非特异性体征和极少严重的临床表现的结合,历来与诊断不足有关。1随着目前兽医界对猫科动物胰腺炎认识的提高,诊断应该变得更加频繁,该病有可能被过度诊断。
胰腺炎的常见并发症
另一个使猫的胰腺炎诊断复杂化的问题是,在一部分猫的肠道(炎症性肠病[IBD])和肝 脏(胆管炎)同时存在的炎症9–12(讨论Jonathan A. Lidbury及其同事的文章《三体炎》真相与后果",见本期其他部分)。IBD和胆囊炎有着与胰腺炎相似的临床症状。内窥镜和超声引导下的活检分别有助于IBD和胆管炎的微创诊断,与可能被忽视的胰 腺炎相比,这些疾病更容易诊断。其他报道的合并症包括肝脂肪变性和溶血性贫血。EPI是CP的终末阶段,当足够的实质被破坏时,尽管这只是偶尔在猫的组织病理学上 被证实。此外,糖尿病与胰腺炎有复杂的因果关系。这些疾病的联系详见表1,并可能使胰腺炎的识别或其管理复杂化。
表1 猫急性和慢性胰腺炎的其他疾病相关性
疾病
关联的潜在原因
文献中的证据
参考文献
三体炎:并发IBD和胆管炎
原因仍不确定但可疑:
• 上行细菌感染
• 在呕吐期间由压力增加引起的胰胆管反流
• 自身免疫性疾病也被怀疑
• 共同通道理论 (胰腺和胆管进入十二指肠之前的功能)
•一些猫的Oddi括约肌功能
有力的证据
•50%-60%患有胆管炎的猫出现胰腺炎
•23只患有IBD的猫中有16只(无组织学检查)
在MRI研究中,10只猫中有8只同时患有胰腺炎和胆管炎
•在回顾27只有症状的猫和20只健康猫时,57.4%的猫在组织学上有超过一个器官的炎症。•在有症状的猫中,11只患有胰腺炎,其中2只患有IBD,8只患有胆管炎
9-18
肝脂质沉积
厌食和体重减轻的后果
肝脏脂质沉积引起的代谢紊乱可诱发胰腺炎(如低血压、代谢性酸中毒或反应性炎症)
有力的证据
•在三体炎研究中,36%患有胰腺炎的猫也有肝脂质沉积
•被诊断为肝脂类病患者的胰腺炎患病率各不相同,在5%到38%之间
3,10,12,19–21
糖尿病
终末期CP和组织破坏诱发糖尿病
持续高血糖导致胰腺中性粒细胞计数增加
中度证据
•44%和83%的糖尿病猫的PLI增加
•但在非糖尿病猫中fPLI升高的发生率也很高
•与对照组相比,糖尿病猫胰腺病变的严重程度没有差异,或者患有或不患有酮症酸中毒的糖尿病猫之间没有差异
3,6,22-26
胰外分泌不足
终末期CP和组织破坏诱发糖尿病
中度证据
•在16只患有EPl的猫中,只有1只猫的胰腺组织学报告为胰腺腺泡萎缩(由于回顾性研究,调查有限)
•在150只患有EPl的猫中,没有病理报告,但13只同时患有糖尿病(提示胰腺肿块消失),11%有胰腺炎的证据
•1只猫并发EPl和糖尿病的终末期慢性胰腺炎伴明显组织质量损失的组织学证据。可能更常见,但在研究中很少报告组织学。
7,10,27,28
免疫介导性溶血
不清楚:
•IMHA诱导的促炎症状态、低氧血症
•胰腺炎引发继发性IMHA
•共同自身免疫起源
证据不足
•在155只猫中,9只患有胰腺炎,11只患有IMHA,3只同时患有这两种疾病
29
缩写: fPLI,猫胰脂肪酶免疫反应性试验; IMHA,免疫介导的溶血性贫血; PLI,胰脂肪酶免疫反应性。数据来自参考文献3,6,7,9–19,21–29
诊断性检查效果不佳
实验室检查
诊断猫科动物胰腺炎的金标准仍然是组织病理学,但这很少进行,因为它是侵入性的,通常不会改变治疗或结果。因此,在排除其他情况后,诊断往往是推定的,依据是临床怀疑、影像学、血清生化和血液学变化,以及评估更具体的胰腺检查。
血液学和生物化学仅有助于排除其他疾病,因为异常发现通常是轻微和非特异性的(表2)。这些异常的广泛患病率很可能反映了胰腺炎、并发未被识别的胆管炎、IBD或某些情况下的肝脂质沉积的不同严重程度,以及非标准参考范围。
表2 猫胰腺炎的血液学和生物化学表现
发现
患病率(%)
贫血(正常红细胞、正常红细胞、再生性或非再生性)
22-55
淋巴细胞减少
57–69
白细胞增多
27–62
白细胞减少
5-13
血小板减少
8-33
ALP活性增加
50
ALT活性增加
24-68
高胆红素血症
56-69
高血糖
10-86
低钾血症
56-69
低钙血症
8-61
数据来自参考文献2,3,5,8,30
目前,猫科动物胰脂肪酶免疫反应试验(fPLI)被广泛认为是诊断猫科动物胰腺炎的最有用的实验室试验。该试验是一种针对脂肪酶分子开发的酶联免疫吸附试验( ELISA),具有器官(胰腺)和物种特异性。市面上有2种测量fPLI的方法,都是由同一个实验室销售的。Spec fPL(IDEXX Laboratories Inc, Westbrook, ME)和SNAP fPL(IDEXX Laboratories Inc, Westbrook, ME)。Spec fPL是一种定量ELISA,诊断 胰腺炎的截止值为大于或等于5.4毫克/升,灰度区为3.6至5.3毫克/升。Spec fPL的使用只在少数文章中进行了评估,31–33和1篇未发表的摘要。34与组织病理学相比,其敏 感性和特异性分别在42%和100%之间以及69%和100%之间。31,33敏感度在AP中比在 CP中更高,并且根据没有或多达10%的淋巴细胞炎症是否被认为是正常的组织病理学发现而变化,33表明Spec fPL的增加与胰腺炎症的程度有关。在对临床和超声检查 怀疑有胰腺炎的猫的研究中,对Spec fPL的敏感性和特异性进行了评估,尽管仍需确 定fPLI或超声检查是更好的超声门标志物。32,34在这些研究中,敏感性为61%至79%, 而特异性为35%至82%。在Oppliger及其同事32(2014年)中,超声检查结果与大于 或等于5.4mg/L的Spec fPL之间的一致性只是一般,当胰腺低回声和混合回声及增大时,一致性得到改善。Spec fPL的特异性在临床上还没有得到广泛的研究。目前还没有研究评估胰腺炎发作后Spec fPL结果增加的持续时间。在狗身上,发现多达40%的患有化脓性腹膜炎或腹部肿瘤等疾病的狗的SNAP或Spec cPL增加。35类似的研究结果没有在猫身上进行过调查,但是 如果fPLI在其他疾病(如淋巴瘤或猫传染性腹膜炎)中增加也不足为奇,因为这些疾病也可能涉及胰腺。总的来说,这些研究强调了规格fPL的可变性能:应该始终考虑到假阳性和假阴性的可能性,特别是因为这种测试经常被用作研究和实践中诊断胰腺炎的主要甚至是唯一的标准。
SNAP fPL是一种半定量的检测方法,可作为兽医实践中的床边病人诊断工具。SNAP fPL试验阳性应表明fPLI大于或等于3.5 mg/L,但不能区分fPLI在3.6和5.3 mg/L(灰色区)之间的患者和fPLI大于或等于5.4mg/L(被认为与胰腺炎一致)的患者,因此建议评估fPL。在最近的一项研究中,SNAP fPL与Spec fPL一致。8当对该研究中的所有111名患者进行评估时,包括16只没有或不清楚临床怀疑患有胰腺炎的猫,SNAP fPL在97.5%的病例中正确确定Spec fPLI在正常范围内,在90%的病例中Spec fPLI大于或等于5.4 mg/L。对于处于灰色区域的Spec fPL患者,SNAP fPL在8只猫中正常,在3只猫中异常。SNAP fPL是否与临床症状、超声检查结果或组织病理学相关尚待确定。
标准的催化脂肪酶和淀粉酶检测一直被认为没有什么临床价值,其敏感性和特异性都很差。1,5然而,最近一项未发表的研究显示,当诊断为胰腺炎fPLI 增加时,与提示性超声检查结果相关的高脂肪酶水平具有100%的敏感性,而低脂肪酶水平与阴性超声检查结果可靠地预测了参考范围内的fPLI。36考虑到评估的病例数较少,缺乏组织学检查,且这些结果尚未在同行评议的期刊上发表,应谨慎解释这些结果。本文作者不建议在猫身上使用传统的脂肪酶分析法。
诸如脂肪酶之类的催化分析不是器官特异性的:该试验测量体外脂肪酶催化的反应,因此也测量激素敏感脂肪酶、胃脂肪酶和其他脂肪酶的活性。最近已经开发了使用替代底物和反应条件的分析方法,例如1,2-o-二月桂酰-rac-甘油戊二酸-(60-甲基-间苯二酚)酯(DGGR)和三油酸甘油酯,以尝试提高特异性。DGGR脂肪酶是研究最多的酶,与fPLI有很好的一致性。32,37然而,DGGR脂肪酶仅与超声检查结果一致,32与组织学检查结果一致,33但其表现与Spec fPLI相似。鉴于没有明显临床症状的猫胰腺中轻度淋巴细胞炎症的不确定意义,Oppliger和同事33报告说,如果胰腺横切面中多达10%的淋巴细胞炎症被视为正常,则敏感性从36.8%增加到66.7%,但特异性从100%下降到78.6%。这些结果与Spec fPLI相似。DGGR脂肪酶检测似乎在临床上有用,但诊断不足的风险仍然存在,而过度诊断的可能性可能较小。
在一项关于猫的研究中,也对使用三油酸甘油酯的脂肪酶活性测定进行了研究。38三油酸甘油酯试验与Spec fPLI的结果相关性很差,但这并没有与其他诊断试验进行比较,患病患者也没有主要怀疑为胰腺炎,这限制了其临床应用的结论。在该猫群中,如果Spec fPLI被视为金标准,三油酸甘油酯分析具有良好的特异性(93.2%)和阴性预测值(94.0%),但敏感性(66.7%)和阳性预测值(63.6%)较差。
猫胰蛋白酶样免疫反应(fTLI)的检测在一些研究中被用于评估胰腺炎,显示出较低的敏感性但是中度到高度的特异性。10,30,31,39使用 fTLI 确认或排除胰腺炎因此不建议在猫中使用,虽然使用较低的 fTLI 值诊断 EPI 具有高度的特异性和良好的敏感性。
对于诊断猫源性胰腺炎的其他潜在临床病理检查的研究很少。一项评估胰蛋白酶原激活肽(TAP)血浆和尿液浓度及其与肌酐的比率的研究显示,健康猫和AP猫之间没有差异。40腹腔液中的脂肪酶活性尚未在猫身上进行评估,但根据在狗身上的发现,它可能是一种很有前途的诊断工具。41
影像学
一般无法通过腹部X光片诊断,但可以发现腹膜炎的迹象或肿块效应。1,2,30超声检查是对猫 最有用的成像方式,可以发现胰腺肿大、回声变化、肿块效应、胰腺周围高回声和游离液体(图2)。2,5,31,32,42,43它还有助于发现其他重要的腹部疾病,如肿瘤,并识别胆管和肠道的并发变化。在一项对患有胆管炎的猫的研究中,有17只猫的肠壁出现了异常,7只猫的超声检查同时出现了胰腺异常。44一些变化,如胰腺管的直径增加,随着年龄的增长而正常发生,不应过度解释为反映胰腺炎。45,46在早期的研究中,与组织学相比,超声检查的敏感性是差到中等的(24%-56%)。3,30,42在这些研究之后的16年或更长时间里,技术的改进和临床医生的经验可能已经大大改善了敏感性。在最近的一篇文章中,43当Spec fPLI增加被认为是胰腺炎的诊断时,腹部超声检查的敏感性为84%,最敏感的单一超声检查发现是高回声的胰腺周围脂肪。同样,腹部超声检查和Spec fPLI对创伤性胰腺炎的诊断也有很好的相关性。47对猫的超声检查的特异性很少进行评估。Williams及其同事43,报告了75%的总体特异性,但是,当每个超声检查参数(胰腺厚度增加、胰腺 边缘异常、胰腺周围脂肪回声过高)被单独考虑时, 特异性增加到90%以上。如果这具有代表性,当超声检查是唯一的诊断检查时,诊断不足比诊断过度更有可能。
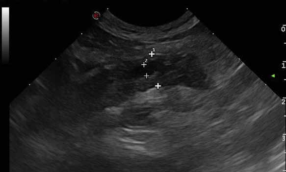
图2 急性胰腺炎猫的超声检查结果。注意胰腺低回声和增大,以及周围肠系膜高回声。胰管(由2个交叉点描绘)扩大,但这仍然是一个非特异性的发现。
其他可能有助于诊断猫胰腺炎的影像学方法包括超声造影、48,49腔内超声、50腔内逆行胰胆管造影、51对比增强计算机断层扫描(CT)、30,31和带胰胆管造影的MRI。18,52对比增强CT扫描的敏感性较差(~20%),特异性未见报道。30,31
细胞学
胰腺的细胞学检查以前主要是在胰腺癌的情况下进行评估。53尽管胰腺的创伤可诱发胰腺炎,但最近的一项试点研究表明,胰腺的细针抽吸是安全的。54在这项试点研究中,细胞学与组织学的相关性很好。
总的来说,诊断测试与诊断猫胰腺炎的可变但通常差至中度的灵敏度相关 (表3)。由于在许多研究中没有对照组,因此并不总是评估特异性,但特异性是高度可变的。这一发现表明,猫胰腺炎的诊断不能仅仅依靠单一的调查,而是需要结合测试,同时排除其他条件。
表3猫胰腺炎诊断试验的敏感性和特异性报道
诊断
敏感性
特异性
参考文献
DGGR-lipase
36.8–66.7
78.6-100
CP/AP:31,32
三油酸甘油酯测定
66.7
93.2
任何疾病,与Spec fPL比较: 37
Spec fPL
42-100
35-100
CP/AP:30-32。不确定:33
f TLI
33-86
50-80
CP/AP: 10、30、38
腹部超声
24-84
75-90
CP/AP: 3、5、30、31、38。AP: 39, 42
CT扫描
20.0
?
CP/AP: 30, 38
数据来自参考文献3,5,10,30-34,38,39,42
影响诊断试验性能变化的因素
急性与慢性胰腺炎
尽管CP的发病率较高,但大多数研究都集中在AP上。1有人担心CP可能被过度诊断,因为不到10%的胰腺组织活检中的淋巴细胞炎症可能是正常的。33CP更经常与不太严重的炎症反应和更多的慢性变化有关,如纤维化和萎缩。随之而来的组织质量损失预计会减少胰腺酶的产生,一些猫咪确实会出现明显的EPI,作为CP的最终阶段。福曼及其同事31,34报告说,尽管fPLI对中度和重度胰腺炎的敏感性是100%,但对轻度胰腺炎,如CP中发现的轻度胰腺炎,其敏感性下降到54%。36同样地,Oppliger及其同事33发现,如果10%的淋巴细胞炎症被认为是正常的,那么DGGR-脂肪酶和Spec fPL的敏感性都会提高,而特异性同时降低。超声检查的敏感性在轻度疾病中明显低于中度和重度疾病(62% vs 80%)。31这些影像学研究侧重于急性形式中更常见的标准,如高胆固醇肠系膜、游离液体和低回声实质,而较少关注被认为更典型的CP标准,如边缘不规则、高回声或结节性改变,尽管费雷里和同事3报告AP和CP之间没有差异。由于大多数研究评估了AP患者检测的敏感性和特异性,相同检测的敏感性可能被高估,而CP的特异性可能被低估,从而导致慢性病诊断不足。
个体内和个体间变异
关于实验室测试的生物变异的信息很少,只有两篇文章回顾了健康猫的规范fPLI变异。55,56在最初的研究中,研究人员报告,分析内和分析间的变异系数分别为2.2%至10.1%和15.8%至24.4%。55Cohn Urbach和同事56报告说,个体内和个体间的差异都显著更高,分别为33%和99%。他们得出结论,通过连续测量fPLI构建的个体参考范围可能比基于人群的参考范围更可取,尽管基于高的组间变异,这在监测疾病进展方面的用途可能有限。
组织学:金标准?
组织学被认为是诊断胰腺炎的金标准,但临死前诊断仍然很困难,因为炎症可能有多灶分布。1,2,42当比较左叶、右叶和胰腺体时,只有一半的猫在每个部分都有病变。1这一发现限制了胰腺活检的敏感性。
此外,胰腺组织学中淋巴细胞炎症的特异性也受到了质疑。据报道,67%的患者出现淋巴细胞炎症,45%的健康尸检患者出现淋巴细胞炎症,1这可能反映了对抗原刺激的正常反应。在另一项研究中,局部淋巴细胞小巢被认为是正常的。31因此,在没有明显并发纤维化的情况下,轻度淋巴细胞炎症的临床相关性尚不确定,需要标准化来确定该物种的正常情况。
组织学的这些局限性使其成为诊断猫胰腺炎的不良金标准,并且关于每个诊断测试的诊断能力的结论应始终谨慎解释。
肾功能、脱水、皮质类固醇使用的影响
fPLI测量的特异性被认为很高,但一些因素可能导致假阳性结果。与淀粉酶一样,脂肪酶不影响肾脏清除率和肾功能不全与血清脂肪酶水平显著升高有关。57一项未发表的研究表明氮质血症对fPLI没有影响,58但另一项研究显示患有慢性肾病的猫的胰腺特异性脂肪酶水平升高。59
与无肾上腺皮质功能亢进症的患者相比,有肾上腺皮质功能亢进症且无明显胰腺炎症状的狗具有更高的SNAP cPL和Spec cPL。60尽管这可能代表了肾上腺皮质激素亢进症患者患胰腺炎的风险增加,但它可能是由类固醇诱导的作用引起的,并且可能被广泛应用于外源性类固醇。尚未研究对fPLI的类似作用,但可以想象,类固醇对猫的作用可能类似。
类似胰腺炎的胰腺状况
与胰腺炎一样,一些猫的外分泌性胰腺癌在超声检查中可能表现正常,而在其他猫中,可以看到高回声和粗糙的胰腺实质。61另一项研究显示,34只接受超声检查的猫身上都有大小不等的肿瘤性胰腺结节,但其中16只猫也有腹腔积液,这可能被错误地解释为继发于胰腺炎。62有趣的是,其中1名患者的腹腔液中测量到fPLI,并发现fPLI增加,尽管如前所述,尚未对猫的临床相关性进行评估。
相比之下,胰腺炎患者可能有结节性增生性改变,可能被误认为是肿瘤。32,42,63同样,也毫不奇怪,另一项研究显示胰腺癌和胰腺炎猫的Spec fPL增加。64因为这两种情况的发现有明显的重叠,所以很难排除疑似患有胰腺炎的猫患者患胰腺癌的可能性。
胰腺囊肿、假性囊肿和脓肿在猫身上是罕见的,除了作为孤立病例报告。这些发现与周围胰腺组织的炎症有关。在2例胰腺脓肿病例报告中描述了Spec fPL增加65,66;这在患有囊肿或假性囊肿的猫身上没有进行评估。尚不清楚无相关胰腺炎的囊肿是否有fPLI增加。
总结
诊断猫源性胰腺炎仍然是一个挑战,需要结合病史、体格检查、超声波检查和实验室检查,因为单凭一项发现是不够的。与其他疾病,尤其是IBD和胆管炎的频繁关联,使诊断更加复杂。对于正常胰腺组织病理学的定义,缺乏金标准,甚至没有共识,这使得评估其他测试变得困难。由于fPLI、DGGR脂肪酶和超声检查被认为总体上具有比敏感性更高的特异性,尽管本文也强调了可能影响其特异性的变异因素,但临床医生主要关注的是避免诊断不足,而不是担心假阳性结果的风险,尤其是CP。
由于人们对这种疾病的认识不断提高,现在人们越来越认识到猫患有胰腺炎。这种认识的提高将不可避免地增加假阳性诊断的风险。需要就胰腺炎的组织病理学定义达成共识,并进一步开展大规模队列研究,以提高知识水平,避免诊断陷阱。
