不可手术的胰腺癌患者质子治疗3年后依旧健康生存!
别放弃治疗,速速点蓝字关注我们
胰腺癌又称癌症之王,是消化系统常见的恶性肿瘤之一。近年来,无论发达国家和发展中国家,胰腺癌的发病率和死亡率都呈上升趋势。胰腺癌是一类十分恶性的癌症,而且存活率极低。
胰腺癌恶性程度高预后极差
接受手术治疗或许会延长存活的时间,虽然目前胰癌的主要治疗手段仍然是手术切除,但是胰腺癌的术后5年生存率是所有胃肠道恶性肿瘤中最低的,大约不到10%,而不能接受手术切除的患者多数在半年内死亡,因此胰腺癌的预后极差。
对于无法接受手术的胰腺癌患者来说,接受同步放化疗或者化疗是治疗的主要方法,而同步放化疗是晚期胰腺癌患者最主要的治疗手段,另外,对于胰腺癌术后局部残存或切缘不净的患者,术后同步放化疗能够弥补手术的不足。但是,众所周知,无论放疗还是化疗,副作用的影响对于癌症患者身体来说都是极大的负担,更有甚者不能耐受而放弃治疗。
质子治疗是胰腺癌最佳候选方案
质子放射治疗问世以来,一直以其高度的准确性和对周围器官的保护作用而受到业内的关注,随着质子放疗越来越受到关注,使用质子放射治疗胰腺癌也已经成为胰腺癌患者可以选择的非手术治疗方法之一。
尽管有些胰腺癌能够通过手术、化疗和放疗得到良好的治疗,但由于胰腺附近的器官——包括胃肠道、肾脏、脊柱——不能承受高剂量放射线,因此传统放疗通常会引起各种问题,许多患者要承受很多副作用的折磨,苦不堪言。质子放射治疗能够将大部分放射线集中在肿瘤部位,避开肿瘤周围健康组织,从而减少治疗相关副作用,同时由于质子向肿瘤部位发射的放射线剂量较高,因此能够尽可能杀伤癌细胞。
不可手术的胰头癌患者质子治疗成功案例
患者:男 ,51岁
主诉:呕吐伴腹胀不适半年余
病史:呕吐伴腹胀不适,当地医院对症治疗后好转反复发作。于南方某医院全面行剖腹探查,术中发现胰腺钩突出行4*3*3cm肿块,肠系膜上动脉周围浸润,经活检病理显示:转移性腺癌
CT检查显示:胰头钩突部增大,边缘不规则毛糙,密度尚均匀,胆总管明显向后方受压,增强扫描件周围血管密集,腹膜后及胰体后方见多个结节样软组织密度影,部分已融合,轻度强化,腹膜肠间隙,胃底后方,肝脏及脾脏周围均见水样密度影
诊疗经过:入院后完善各项辅助检查,明确诊断后,行质子放射治疗,予胰腺+腹膜后淋巴结病灶
DT:48CGE/12f
治疗效果:三年后随访,病人腹水消失,一般状况良好,未见明显不良反应;肿瘤明显缩小,得到有效控制。
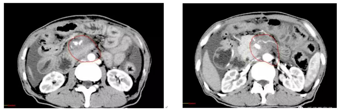
质子治疗前图像:肿瘤位于腹主动脉旁,密度不均
质子治疗剂量分布优势明显,对脊髓、肾脏及附近正常组织器官有很好的保护作用
质子治疗案例分析
质子治疗有非常优越的物理剂量分布。与传统放射治疗不同的是,质子治疗可以在肿瘤区域形成定点爆破一样的高放射剂量区,而同时使肿瘤周围正常组织不受或少受照射,因此可以降低放疗或放化疗联合治疗造成的胃肠道、肝脏、肾脏以及脊髓的早、晚期副反应,同时可以提高肿瘤照射剂量来达到更高肿瘤控制率的目的。
质子治疗适合哪些肿瘤?
质子治疗的应用范围非常广,除了胰腺癌,质子治疗对肝癌、肺癌、前列腺癌、乳腺癌、卵巢癌等常见癌症均有很好的疗效,同时对脊髓肿瘤、头颈部肿瘤(喉癌、鼻咽癌、眼部肿瘤)、儿科肿瘤等效果更佳。质子治疗尤其对于儿童及青少年癌症的治疗有较好的敏感性,更能有效提升儿童治疗后的生活质量和生存期,副作用极小,可以有效避免儿童生长发育受到癌症治疗的伤害。
癌症患者如何进行质子治疗?
全球肿瘤医生网与全球知名的质子中心联手,打造国内权威的质子治疗评估会诊中心,中心拥有国内外知名质子专家,例如日本质子第一人秋原哲夫、美国质子专家X. Ronald Zhu,可为患者提供病情评估和远程会诊。帮助患者在全球范围内寻找最适合的质子治疗中心,并协助患者接收质子治疗。目前美国、德国、日本、中国台湾及大陆都有权威的质子治疗中心,患者可以根据自己的病情自行选择!如需要质子治疗评估及会诊,可致电全球肿瘤医生网医学部预约,也可以登陆全球肿瘤医生网了解更多质子相关资讯。
声明:
本公众号内容仅作交流参考,不作为诊断及医疗依据,仅依照本文而做出的行为造成的一切后果,由行为人自行承担责任。专业医学问题请咨询专业人士或专业医疗机构。
搜索关键词,精彩内容。前沿抗癌资讯,持续更新中...
全球肿瘤医生网是由医生组建的专业肿瘤患者服务平台,是国内权威国际诊疗服务机构之一,与国内外知名医院保持密切的会诊和转诊合作关系,可以帮助癌症患者在全球范围内选择适合的医院、专家、技术、药物、临床实验进行治疗,可以为患者提供终身的病情追踪和抗癌服务。
全球肿瘤医生网 & 医生进修访学
全球抗癌热线:400-666-7998
