视频晚期胰腺癌不知从何下手?且听纪念斯隆-凯特琳癌症中心EileenM.O’Reilly教授为您讲解
点击上方肿瘤评论可订阅哦
纪念斯隆-凯特琳癌症中心是世界上历史最悠久、规模最大的私立癌症中心,也是美国最好的癌症中心之一,被美国国家癌症研究院指定为综合癌症中心 。百年来,它一直致力于病人护理、研究创新,以及更好的理解、诊断和治疗癌症。医院的医生在诊断和治疗各种癌症方面有着无与伦比的技能,并且利用最先进、最具创新性的方法增加了治愈的可能性。医生和研究人员之前的密切合作使新药和治疗方法能更快的投入临床治疗,为患者提供先进的治疗技术。
8月26日,亦邻云学院中美MDT医院管理系列课程第十期中,纪念斯隆-凯特琳癌症中心(MSKCC) 资深医师Eileen M. O’Reilly教授与上海交通大学医学院附属仁济医院和常州市第一人民医院通过视频连线,就胰腺癌治疗的现状与未来研究方向展开了深度交流。
PS评分指导晚期胰腺癌一线治疗方案的选择
进展期胰腺癌需要多学科的管理和治疗,需要肿瘤科、外科、影像科等多科室医生的共同探讨。在胰腺癌治疗过程中,出现了许多里程碑式的药物,如1996年的吉西他滨。1997年一项研究奠定了吉西他滨作为晚期胰腺癌一线治疗的地位,研究比较了5-FU与吉西他滨治疗晚期胰腺癌的效果。结果显示吉西他滨的中位OS显著优于5-FU,而且具有显著临床获益,包括疼痛值,KPS评分的改善以及恢复等。
晚期胰腺癌患者治疗时非常重要的一点是PS评分,PS评分较好的患者,联合治疗更能耐受,预后较好;PS评分较差患者,耐受性不好,预后不好。
Prodige-ACCORD11研究比较了FOLFIRINOX与吉西他滨治疗转移性胰腺癌,FOLFIRIINOX组的中位OS达到11.1个月,吉西他滨组为6.8个月,具有显著差异;人们担心FOLFIRINOX方案会影响患者的生活质量,但实际上肿瘤退缩以后,生活质量得到改善和提高;结果显示,FOLFIRINOX的总反应率和中位PFS都显著优于吉西他滨,但FOLFIRINOX组的毒性反应较高,如胃肠道反应、中性粒细胞减少、发热等。
MPACT也是一项主要的临床研究,研究中将未治疗的转移性胰腺癌患者,随机1:1分组,接受白蛋白紫杉醇联合吉西他滨,或吉西他滨单药。结果显示,联合组的中位总生存期、年生存率、PFS以及反应率都优于单药组,但联合组的3-4级毒性反应都高于单药组,如中性粒细胞减少、乏力和神经毒性;2014年ASCO GI上更新的数据显示,联合组的效果还是显著优于单药组。
这里可能需要做一个选择,哪个是治疗晚期胰腺癌的更好方案。白蛋白紫杉醇联合吉西他滨适用范围更加广泛,对于年纪较大、PS评分较差的患者使用该方案可能更好;FOLFIRINOX方案可能更适用于PS评分较好的患者。
局部进展期胰腺癌的判断与研究方向
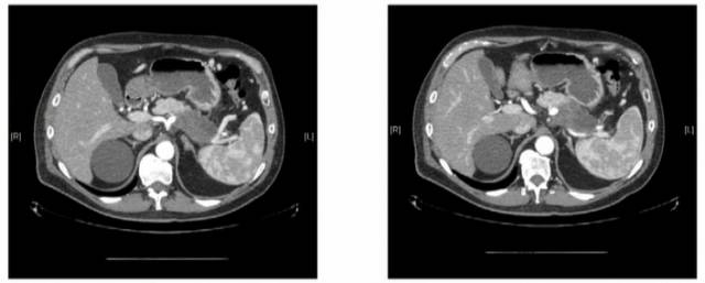
通过胰腺癌CT血管造影增强图像可以看到,胰体尾部的肿块是在局部,但是侵犯到周围血管,因此认为是局部进展期胰腺癌。
欧洲进行的LAP-07研究针对局部进展期胰腺癌,将900例患者随机分为两组,分别接受吉西他滨单药,或吉西他滨联合厄洛替尼。结果显示,两组的OS没有显著差异;治疗时加或不加局部放化疗,结果显示两者之间没有显著差异,加入放化疗没有获益,但三维调强放疗时一些亚组可能有获益。
当前,局部进展期胰腺癌面临着一些问题,需要进一步研究讨论,如什么样的化疗方案更有效,化疗后继续放疗是否更有效,哪些患者可以从局部治疗中获益等。
目前在美国M398联合5-FU/LV方案已经被广泛用于晚期胰腺癌二线治疗
晚期胰腺癌二线治疗主要有两种方案,一种是以吉西他滨为基础的联合方案,另一种是以5-FU为基础的方案。
二线治疗中关于奥沙利铂有两项研究,CONKO-003和PANCREOX,前者数据已经发布,后者即将发布。CONKO-003研究中对比了5-FU/LV,5-FU/LV联合奥沙利铂的效果,结果显示联合组的中位OS、TTP优于单药组。但PANCREOX研究中5-FU/LV单药组的中位OS更长。
MM-398是纳米脂质体的伊立替康,被美国FDA批准用于晚期胰腺癌二线治疗,这种药物有一系列特点:如半衰期较长,大于25小时;活性代谢产物SN-38比普通伊立替康的有效性和浓度更高,持续时间更长;前期临床研究显示,该药物比普通伊立替康能更好的抑制肿瘤发展。
试验NAPOLI-1是MM-398被批准用于晚期胰腺癌二线治疗的一项重要研究,研究中分为三组,一组接受MM-398,一组接受5-FU/LV,一组接受M398+5-FU/LV。结果显示,MM-398+5-FU/LV与5-FU/LV单药相比,联合组的OS、PFS都显著延长;MM-398与5-FU/LV相比,两组的OS没有显著差异,因此不推荐MM-398单药用于晚期胰腺癌治疗。基于这项研究,目前在美国M398联合5-FU/LV方案已经被广泛用于晚期胰腺癌二线治疗。
基因、免疫治疗、联合用药等多手段探索
晚期胰腺癌治疗方针
胰腺癌具有非常复杂的生物学机制,针对不同的位点有不同的治疗方式和药物,一些已经在使用,还有一些仍然在探索中。胰腺癌的治疗有很多可能的方向,如针对基质、干细胞、代谢、基因亚组等的治疗,以及关键信号通路的靶向抑制剂、免疫治疗、放射免疫治疗等治疗方法。
MSK-IMPACT研究系统是通过从正常细胞或肿瘤细胞获取DNA,从DNA中进行肿瘤基因的筛选、测序后,再到大型肿瘤基因数据库中进行比对和分析。这个系统不单单是对外周细胞的测序和分析,还包括身体细胞,可能会探索到一些可作为靶点的基因,MSK-IMPACT研究系统可能预测一些发生肿瘤的倾向性基因。在一项研究中,一部分患者对外周细胞中410个基因进行检测,进一步检测是否有一些肿瘤倾向性的基因,如BRCA1、BRCA2基因等。
新的研究方案发现一些针对晚期胰腺癌的药物,如PEGPH20是针对肿瘤基质中透明质酸屏障的治疗。一项II期研究中将未经治疗的晚期胰腺癌患者随机分为两组,接受吉西他滨+白蛋白紫杉醇,或吉西他滨+白蛋白紫杉醇+PEGHPH20,结果在透明质酸高表达患者中,三药联合组的RR、PFS和OS都优于两药联合组。正在进行的关于PEGPH20的研究中,设计方案是吉西他滨+白蛋白紫杉醇±PEGPH20,研究中加入生物标志物的筛选,即透明质酸高表达,观察在这一亚组患者中的效果。另一项正在进行的研究,比较了FOLFIRINOX±PEGPH20。
一项关于晚期胰腺癌的新研究探索了BRCA和晚期胰腺癌的相关性。5%-8%的晚期胰腺癌患者存在BRCA1或BRCA2的突变。BRCA1/2功能缺失后,DNA双链破坏后无法进行自主修复,导致细胞异常增殖或死亡。一项II期研究中使用Veliparib治疗BRCA突变的晚期胰腺癌患者,随机分为两组,接受顺铂+吉西他滨±Veliparib治疗。POLO研究也是针对具有BRCA突变的患者,随机分为两组,分别接受Olaparib或安慰剂治疗。
点击下方阅读原文或直接长按二维码观看课程全程视频:
【中美MDT医院管理系列课程第十期 】(3)胰腺癌MDT管理及经验分享
【中美MDT医院管理系列课程第十期 】(4)胰腺癌MDT管理及经验分享
癌症患者的临床表现有显著个体差异,临床诊疗需要多学科专家的通力合作。而MDT的多学科协作,大大推动了肿瘤治疗的专业化、规范化和个体化。为了将美国先进的肿瘤MDT治疗、管理经验分享给国内医生,亦邻网组织了中美MDT医院管理线上培训项目,邀请国际知名肿瘤专家,通过先进的亦邻云学院视频会议平台,与国内知名医院的肿瘤专家及医疗团队实时连线进行经验分享、授课、答疑解惑,帮助广大中国医生提高临床实践水平。课程四大特色:
师资强:美国排名前十的癌症中心知名专家亲自授课!
受众广:国内一线肿瘤医院领导带队,相关科室参与学习!
听课便利:通过视频会议系统授课,实现远程面对面交流!
持久学习:讲课内容录制成永久课件,上传到亦邻网www.drresource.com
亦邻云学院专区/下载亦邻网app 随时随地学习!
亦邻云学院将继续为大家推出更多精彩的国际培训系列课程,为一线医务工作人员提供更多的与国际顶级医疗机构肿瘤专家深入交流学习的机会。感谢上海罗氏制药有限公司对本次活动的支持!
罗氏作为全球最大的生物技术公司,始终以创新为驱动推动健康事业的发展,更将推动个体化医疗作为未来核心战略。罗氏在自身不断创新的同时,也大力支持创新的医学国际交流平台,通过更多的创新合作模式推动更多治疗手段的创新,从而惠及更多的中国患者。
长按下方二维码下载亦邻网APP学习
