【医者心声】探索胰腺癌个性化治疗方案,为晚期患者带来新生希望
2022年6月我接诊了一位患者阿姨,详细的了解了她近期治疗经过后,查看了她带来的检查单,至今我还记得她CA199检查单的数值是1000多,立刻安排她去做了其他相关检查。
影像学检查显示胰腺体部占位,病变包绕脾动脉,肝脏多发转移瘤。病理显示是浸润性低分化腺癌,最终确诊胰体腺癌IV期。胰腺癌晚期的中位生存期一般仅有4-6个月,这位阿姨还有合并糖尿病,之前还进行过膝关节置换术,精神状态也不是很好。
作为一个普外科肿瘤方向的医生,我接诊过很多的患者,也治愈过很多患者,对于胰腺癌,我更希望能有治疗的新突破。在接诊的过程中,我也深切的感受到阿姨的求生欲望,也感受到她可能还有焦虑抑郁情绪。
此时患者的家属说了一句话引起了我的思考,他说:老师,我是医学生,虽然不是您这个专业,但是我也有一些相关的知识,我相信科学规范治疗,所以我对我妈妈的病情没有隐瞒,平时我也会给我妈妈讲抗癌相关的一些知识,缓解她的焦虑,我在网上也关注您很久了,非常相信您的医术,我和家人也会积极配合治疗。我既往学过的知识、参加过的讲座、读过的文献、主任的教诲,如PPT一样在我的脑海中闪现。我给患者开了住院证,一本正经的告诉她,去住院吧,您这个不严重,抱重孙子没什么问题,患者听完哈哈大笑,焦虑抑郁情绪瞬间烟消云散,家属的眼神里对我充满了感激。
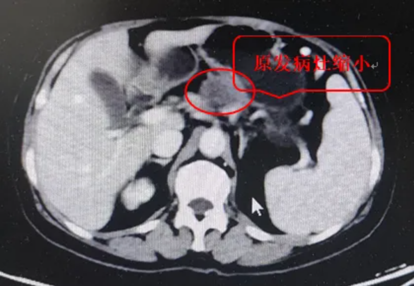
住院后,我们主任针对此患者迅速召开了多学科综合治疗会议,要求延长患者生存期的同时还要保证患者的生活质量。考虑到患者的年龄(65岁)以及她爱美的心情,我们给她拟定了AG联合尼妥珠单抗(400mg)的治疗方案。于2022年8月起进行了6个治疗周期后,患者肿瘤评估PR。在化疗阶段,患者出现了1级胃肠道反应,出现II度骨髓移植,但治疗后均缓解,CA199也明显下降。
第一次治疗后CA199>1000
第二次治疗后CA199 889.3
第三次治疗后CA199 454.8
第四次治疗后CA199 170.2
第五次治疗后CA199 108.6
第六次治疗后CA199 49.86
患者后续于2023年1月起又进行了6个周期的维持治疗,疗效评价PR且没有出现任何不良反应,患者的精神状态和饮食等都非常好。
我们在给患者制定治疗方案的时候都希望能给他们带来最好的治疗效果,患者家属是医学生,表示愿意接受新的治疗,对胰腺癌也有一定的了解。患者给了我们尝试新的治疗方案的勇气,而且患者的受教育水平也比较高,沟通按周期按疗程治疗也比较顺畅,完全按照我的要求来随访,家庭整体收入支撑了患者足周期足疗程的治疗。现在患者家属依旧和我保持着紧密的沟通,患者也战胜了病魔。
事实告诉我,医学不仅仅是学习,我们要遵守指南的推荐,医学更是创新,要勇于尝试新的治疗方式。患者从疾病确诊至今已经生存2年多了,每到节日都会收到患者家属发来的祝福短信,对我来说,没有什么是能比患者的长期生存更重要且有更有成就感的。
胰腺癌是癌中之王的说法已经深入人心,从以往胰腺癌患者的生存数据来看这个称号确实不算夸张。我想说的是,现在得益于医疗技术的发展,越来越多的胰腺癌患者在接受规范治疗后病情得到了良好的控制,生活质量也得到了明显改善,所以希望患者朋友们不要轻言放弃,规范化治疗一定可以换来新生的希望。
*内容仅供医学专业人士和患者学习与交流
【医者心声】栏目是由医生来分享肿瘤治疗案例的栏目,希望能帮助和鼓励到同样在抗癌的患者朋友们
