第六章腹部第四节胰腺病变三、胰腺癌丨精品连载
↑↑
点击关注 · 订阅精彩
china-radiology
R
医 学 影 像 园
医学影像园网站(www.china-radiology.com)由安徽省放射学会主办,是一个为医学影像同道交流学习、分享资源而构建的非营利性专业学术网站。目前拥有19余万注册会员,是国内规模最大、人气最旺、最受专业人士喜爱的医学影像论坛之一。
本着分享知识的理念,《CT诊断与临床》主编郑穗生、高斌、刘斌等专家授权医学影像园微信订阅号独家推送本书全部内容资料,方便会员朋友学习提高。感谢各位专家的无私奉献!本平台欢迎全国各地影像专家们的编著无私发布,让广大基层影像人受教受益!
第六章 腹部
胰腺病变
胰腺癌
胰腺癌
cancer of pancreas
是一种较常见的恶性肿瘤,约占全身恶性肿瘤的1%~4%,其发病率有逐年增高趋势。本病多见于40岁以上,男性多于女性,男女之比为1.8 :1。胰腺癌好发于胰头部(60%~70%),胰体部次之(10%~15%),胰尾部最少(5%),弥漫性胰腺癌约占15%~20%。90%的胰腺癌为导管细胞癌。目前认为吸烟可能是发生胰腺癌的主要危险因素,胰腺癌预后极差,1年生存率低于20%,5年生存率低于3%。
诊断要点
1.症状与体征:
1) 上腹痛:是常见的首发症状,病变早期主要为中上腹不易定位的隐痛、钝痛或饱胀不适。中晚期腹痛加重,常有腰背痛,多因腹腔神经丛受侵犯所致,典型腰背痛为仰卧时加重。
2) 黄疸:是胰头癌的特征性表现,80%患者可出现黄疸,呈进行性加重,随着黄疸加重,大便成陶土色,尿色越来越深,皮肤可出现瘙痒。
3) 体重减轻:患病初期即有消瘦、乏力。
4) 消化道症状:纳差、腹胀、消化不良、腹泻或便秘。
5) 其他:约10%的患者有发热,20%~60%患者有糖尿病症状,少数患者有急性胰腺炎发作。晚期患者偶可扪及上腹部肿块,也可有腹水。
2.实验室检查:
1) 乳糖转移酶同功酶-Ⅱ(GT-Ⅱ):腺癌的敏感性为67.2%,特异性为98.2%。
2) 胆红素测定:黄疸者的血清胆红素升高,常超过256µmol/L,高于胆石症和急性胰腺炎所致的黄疸。
3) 胰腺癌标记物:大多数血清学标记物可升高,目前尚未找到有特异性的胰腺癌标记物,糖类抗原19-9(CA19-9)是最常应用的特异性和敏感性较高的一种,正常值<37U/ml,胰腺癌时,其测定范围为400~192000U/ml。
3. B型超声:可显示肝内、外胆管扩张,胆囊增大,胰管扩张(正常内径≤3mm),胰腺增大(正常胰头前后径≤30mm,胰体尾前后径≤20mm),并可显示肿块。
4.内窥镜逆行胰胆管造影(ERCP):主胰管造影表现为管腔狭窄或扩张,管壁僵硬,或胰管中断、不显影,或造影剂排空延迟。双管征常提示肿块较大,手术难以切除。
5.磁共振胰胆管造影(MRCP):能显示胰、胆管梗阻部位、扩张程度,具有无创性、多角度成像和定位准确等优点。
6.选择性腹腔动脉造影:对显示肿瘤与邻近血管的关系以评估根治手术的可行性有一定意义。
CT表现
1. 胰腺肿块:
1)平扫多为等密度或略低密度肿块(图6-4-9A,6-4-10A),伴有或不伴有胰腺轮廓的改变是胰腺癌的直接征象。
2)在双期增强扫描动脉期,胰腺正常组织明显强化,而胰腺癌是少血管组织,则表现为低密度(图6-4-9B,图6-4-10B)。
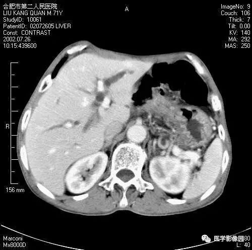
3)当胰头癌时,胰头往往表现为圆隆和球形扩大,此时胰体尾则有不同程度的萎缩(图6-4-11,图6-4-20B)。
4)当胰头钩突失去正常平直的三角形而变为圆隆、局限性隆凸或出现分叶时,则高度提示肿瘤的存在(图6-4-11A,图6-4-12)。
5)胰体尾癌常常表现为明显的局部肿大和分叶状肿块(图6-4-13,图6-4-14)。
2. 胆管和胰管扩张:
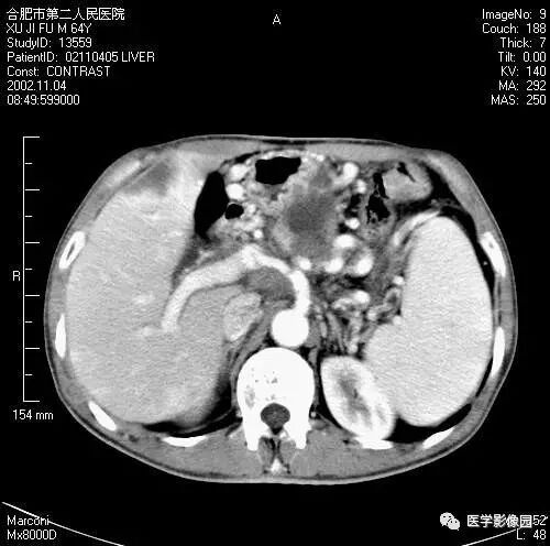
1)癌肿侵犯或压迫总胆管下端造成梗阻部位以上的胆管(包括胆囊)扩张,总胆管管腔内径>10mm,常常表现为扩张的总胆管在胰头部突然截断或变形(图6-4-15,图6-4-16)。
2)主胰管扩张较常见,约占50%~60%,是由于肿瘤堵塞主胰管所致,多呈管状扩张,也可呈串珠状扩张(图6-4-11B,图6-4-15B,图6-4-17)。
3)在胰头内同时见到扩张的总胆管和扩张的胰管即所谓的双管征(约占16%)(图6-4-9C)。
3.胰周血管受侵:此为胰腺周围血管被癌肿局部浸润的征象。
1)血管周围的脂肪层消失(图6-4-17)。
2)血管被肿块包绕(图6-4-18)。
3)血管形态异常,表现为僵直、变细或边缘不光整。
4)血管不显影,或管腔扩大,其内可见癌栓。
4. 继发潴留性囊肿:这是癌肿破坏胰管造成胰液外溢所致,多在胰腺内,少数可位于胰周间隙内(图6-4-19)。
5.转移性淋巴肿:以腹腔动脉及肠系膜上动脉周围淋巴结肿大最常见,其次为腹主动脉及下腔静脉旁淋巴肿(图6-4-20A)。
6.鉴别诊断对于表现为胰头局限性增大的慢性胰腺炎与本病鉴别较为困难,下列表现多提示慢性胰腺炎可能:
1) 胰腺和胰管钙化,尤其是后者对慢性胰腺炎的诊断具有特征性,另可见胰管或总胆管内结石。
2) 胰头增大,但外形光整、无分叶。
3) 增强扫描胰头密度均匀或欠均匀,不像胰头癌表现为局限性低密度灶。
4) 胰周血管及邻近脏器无恶性侵犯。
5) 扩张的胰管直径与胰实质厚度之比小于0.5,而大于0.5多提示胰头癌。
6) 腹膜后无转移性淋巴肿。
A
B
C
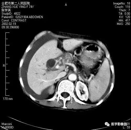
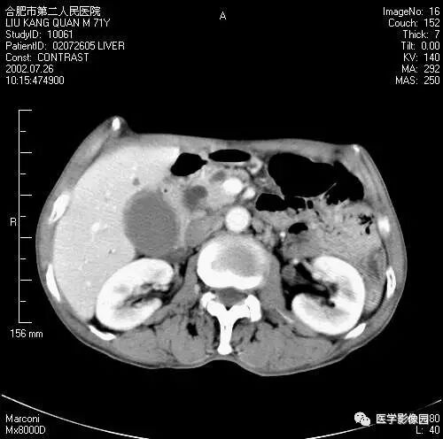
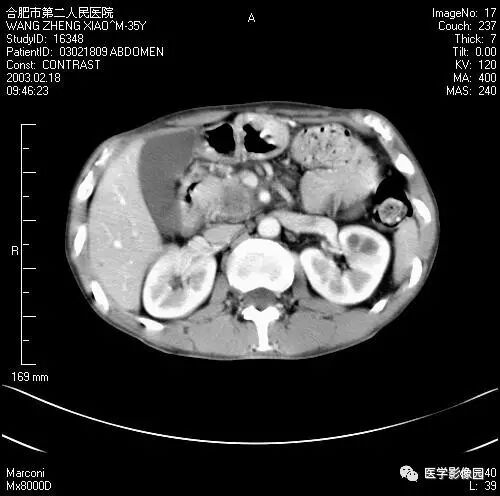
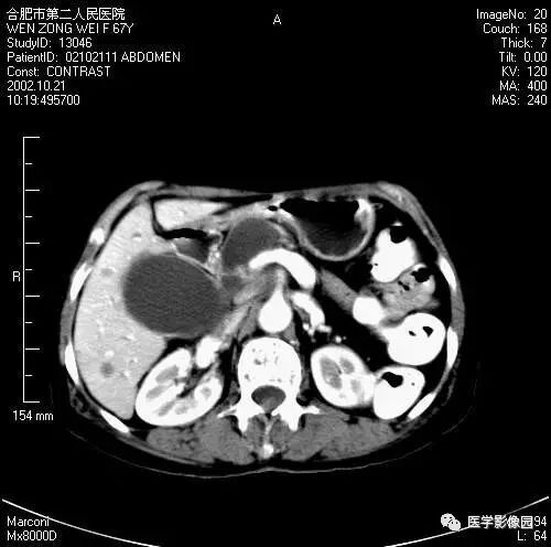
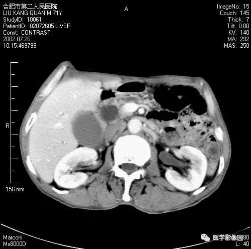
图6-4-9胰腺癌
A.CT平扫见胰头等密度肿块,
钩突明显圆隆;
B.增强扫描动脉期钩突内见境界
不清低密度灶(↑);
C.胰头部可见扩张的胆总管(↑)和
主胰管(长↑),即双管征
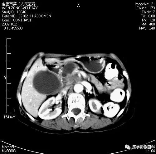
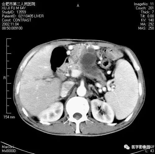
A
B
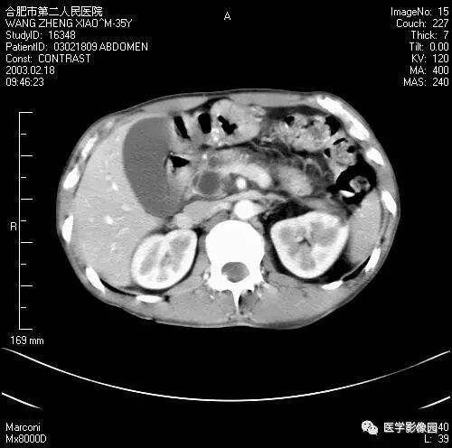
图6-4-10胰腺癌
A.CT平扫胰头球形扩大,
其内呈低密度(↑);
B.增强扫描动脉期,
胰头癌低密度显示更清晰
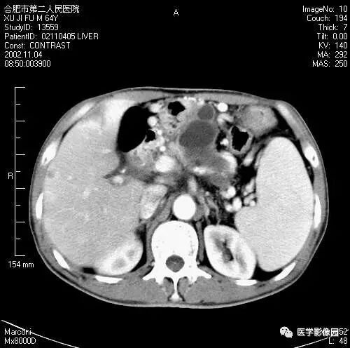
A
B
图6-4-11胰腺癌
A.增强扫描胰头钩突圆隆,
失去正常平直的三角形;
B.胰体、尾部萎缩,
主胰管呈管状扩张(↑)
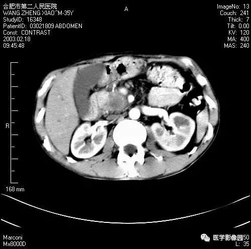
图6-4-12胰腺癌
增强扫描胰腺钩突失去正常平直的三角形,
呈不规则分叶状
图6-4-13胰腺癌
CT平扫见胰体、尾部局限性肿大,
其内境界不清的低密度灶(↑);
肝右叶有多个低密度转移灶(长↑),
并见腹水
A
B
图6-4-14胰腺癌
A.CT平扫见胰体、尾部分叶状肿块,
其内见境界不清的低密度区;
B.增强扫描肿块内低密度更加清晰
A
B
C
D
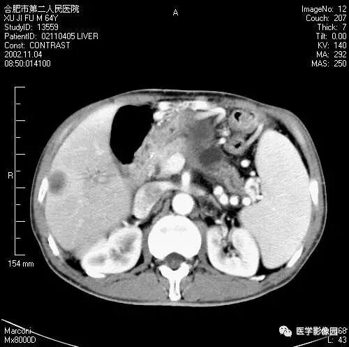
图6-4-15胰腺癌
A.增强扫描肝内胆管扩张(↑);
B.胆总管明显扩张(↑),
胆囊扩大,胰体、尾部萎缩,
主胰管管状扩张(长↑);
C.扩张的胆总管突然变形(↑);
D.胰腺钩突部变形成矩形(↑)
A
B
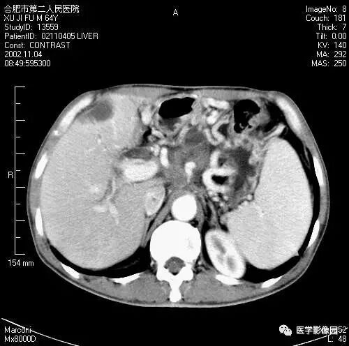
图6-4-16胰腺癌
A. 增强扫描见胆总管扩张(↑),
胆囊扩大,左肾有两个小囊肿;
B.(与A图间隔5mm的层面)扩张的总胆管
突然中断、消失,钩突部见低密度肿块
A
B
图6-4-17胰腺癌
A.B. 增强扫描见腹腔动脉受侵犯(↑),
主胰管扩张(长↑),胆囊增大;
肝内多发类圆形低密度转移灶
A
B
C
图6-4-18胰腺癌
A. 增强扫描见腹腔动脉完全被癌肿包绕(↑),
肝脏转移灶(长↑);
B.肝总动脉被癌肿包绕(↑);
C.门静脉被癌肿包绕(↑),
继发潴留囊肿形成(长↑)
A
B
图6-4-19胰腺癌
A.B增强扫描见胰体部肿大,
继发性潴留囊肿形成(↑),
肝右叶转移灶(长↑)
A
B
图6-4-20胰腺癌
A. 增强扫描见肝门部转移性淋巴肿(↑),
肝动脉部分被包绕(长↑),
可见大量腹水;
B.胰头部不规则分叶状增大,
胰体、尾部萎缩,
主胰管局限性扩张(↑),胆囊明显增大
欢迎投稿到小编邮箱:281909039@qq.com
来稿邮件主题为:【投稿】医院+科室+姓名
小编微信:th281909039
专家读片
服务医学影像同道 · 搭建交流学习平台
互动强:可直接留言与专家互动
点评好:专家权威点评,不一样的视角
体验新:借助影联网平台,工作站阅片体验
质量高:病例全部由专家亲自把关遴选
我们有幸邀请到安徽医科大学第一附属医院余永强,刘斌,钱银峰;安徽省立医院吕维富,邓克学,刘影;安徽医科大学第二附属医院郑穗生;蚌埠医学院张俊祥;皖南医学院翟建;安徽省肿瘤医院董江宁,安徽中医药大学第一附属医院徐春生,张万高;铜陵市人民医院张金平等专家做客医学影像园微信平台,每周推出一期专家读片。
最接地气的互联网+影像平台
医学影像园
china-radiology
长按关注 · 订阅精彩
总编:花亭湖
审稿:春晓
编辑:非羽
技术支持:安徽影联乐金信息科技有限公司
