图谱常见皮肤病的种类及症状图片、简介大全
导航窗格提示:每期更新,点开查看
医学资料共享平台提示:此导航窗格点击相应的模块即可查看相关内容,导航窗格每期更新中,最新导航窗格请查看最新一期文章推送。
医学图谱
常见皮肤病的种类及症状图片、简介大全
皮肤病的种类
皮肤病的种类多达1000多种,但我们这类主要讲在日常生活中常见的皮肤病,为例方便阅读,我把皮肤病的种类分为两个大类别:分别为传染性皮肤病与非传染性皮肤病:
传染性皮肤病种类:手足癣灰指甲扁平疣淋病梅毒尖锐湿疣生殖器疱疹阴虱非淋菌性尿道炎
非传染性的皮肤病种类:白癜风银屑病(牛皮癣)湿疹荨麻疹皮炎脱发鱼鳞病脂溢性皮炎斑秃酒糟鼻接触性皮炎痤疮雀斑青春痘黄褐斑毛囊炎
传染性皮肤病种类简介附图:
手足癣:手足癣是手癣和足癣的总称。手癣(tinea manuum)是指发生在手掌和指间的皮肤癣菌感染。足癣(tinea pedis)是指发生于足跖部及趾间的皮肤癣菌感染。足癣是皮肤癣菌病中最常见的疾病,多见于成人,全世界流行。在足癣发病中,缺乏皮脂腺和穿着封闭性鞋子造成的湿润环境是最重要的因素。主要的致病菌包括红色毛癣菌、须癣毛癣菌、絮状表皮癣菌、断发毛癣菌。足癣极少引起严重的疾病或死亡,但可以作为细菌入侵的门户而引起细菌性蜂窝织炎,趾间型足癣具有最高危险性,其次甲癣,再次是足跖部足癣。
灰指甲:灰指甲是日常生活中最常见的一种皮肤病,甲真菌病又称为甲癣(tinea unguium)、灰指甲。是甲最常患的疾患,占甲病的半数以上。指趾甲均可发病,趾甲更易罹患。成人出现甲真菌病的比例约为6-8%。灰指甲:灰指甲是日常生活中最常见的一种皮肤病,甲真菌病又称为甲癣(tinea unguium)、灰指甲。是甲最常患的疾患,占甲病的半数以上。指趾甲均可发病,趾甲更易罹患。成人出现甲真菌病的比例约为6-8%。
扁平疣:扁平疣(Flat Wart)是一种病毒性皮肤病,它的病原体和寻常疣一样,是由乳头状瘤病毒HPV3和HPV5感染引起的皮肤赘生物。表现为或分散分布、质地柔软、顶部光滑、粟粒至绿豆大、淡褐或的高出皮肤表面的扁平状丘疹。
试题库推荐
点开查看相应内容。![]()
梅毒:梅毒(英文名称:syphilis)是由苍白(梅毒)螺旋体引起的慢性、系统性性传播疾病(VD,STD)。绝大多数是通过性途径传播,临床上可表现为一期梅毒、二期梅毒、三期梅毒和潜伏梅毒。是《中华人民共和国传染病防治》中,列为乙类防治管理的病种。
尖锐湿疣:尖锐湿疣是由人类乳头瘤病毒(HPV)感染引起的一种性传播疾病。主要类型为HPV1、2、6、11、16、18、31、33及35型等,其中HPV16和18型长期感染可能与女性宫颈癌的发生有关。人类乳突病毒(HumanPapillomavirus,HPV)是一种分子较小(直径55nm)的DNA病毒,生物学上属Papovavirus科。已知的人类乳突病毒有一百多种基因型,其中有三十余种会感染人类生殖器官的皮肤及黏膜,造成各种疾病。尖锐湿疣不及时治疗的话对男性朋友的健康会产生一系列的危害。很多人因对尖锐湿疣的症状不了解而延误了疾病的最佳治疗时期。
生殖器疱疹:生殖器疱疹是我国常见性传播病之一。由单纯疱疹病毒(HSV)感染所引起。单纯疱疹病毒分为两型即HSV-1和HSV-2。肉体的痛苦加上精神的负担,往往使患者自尊心受挫,使之不愿与异性交往,此时可用中药皮肤老偏方治疗,否则影响夫妻感情及和睦,久而久之甚至发生抑郁症。
阴虱:阴虱(Phthirus)是一种寄生于人体毛发的寄生虫,长约1至3毫米,无翼。因常见于阴部,故称阴虱。阴虱的病原虫是耻阴虱。另外,由于阴虱身体扁平,远看如同皮屑,细看则如同小螃蟹,故在英语中又称蟹虱(Crab louse)。专家推荐使用虱立舒治疗阴虱。主要见於阴部和肛门周围,偶见於大腿和腹部的毛中,罕见於身体其他长毛的部位。和其他虱子一样,阴虱以人类的血液为食物,因此阴虱栖息的患处会不时感到很痒。另外,阴虱亦可能带有其他病菌,使患者产生感染。
非淋菌性尿道炎:非淋菌性尿道炎(nongonococcal urethritis)在临床上出现尿道炎的表现,但较淋病为轻,尿道分泌物呈粘液性或粘液脓性,量较少,常需用手挤压尿道才能溢出。由于其潜伏期1-3周、常在淋病治愈时出现,而又被称为淋病后尿道炎。女性可有尿道炎,但症状不明显,而有宫颈炎的表现。致病菌为沙眼衣原体、解脲支原体、嗜血短杆菌、真菌、阴道毛滴虫、尖锐湿疣及单纯疱疹病毒等。
非传染性常见皮肤病种类
白癜风:白癜风是一种常见多发的色素性皮肤病。该病以局部或泛发性色素脱失形成白斑为特征,是一种获得性局限性或泛发性皮肤色素脱失症,是一影响美容的常见皮肤病,易诊断,治疗难。中医医学称之为白癜风或白驳风。白癜风是后天性因皮肤色素脱失而发生的局限性白色斑片,使得局部皮肤呈白斑样。医学上通常把这种病变叫色素脱失。此病世界各地均有发生,印度发病率最高,我国约有千万人发病,可以累及所有种族,男女发病无显著差别。
银屑病(牛皮癣):银屑病属称牛皮癣银屑病是一种常见的慢性炎症性皮肤病。它属于多基因遗传的疾病,可由多种激发因素,如创伤、感染、药物等都可能在易感个体中诱发该病。典型的皮肤表现是境界清楚的具有银白色鳞屑的红色斑块。轻者可表现为几个银币大小的肘膝部位斑块,重者也可以全身皮肤受累。其病生理机制主要为表皮增生分化的异常和免疫系统的激活。
湿疹:湿疹(eczema)是一种常见的变态反应性、非传染性、过敏性表皮炎症,由多种内外因素引起的表皮及真皮浅层的炎症性皮肤病,一般认为与变态反应有一定关系。其临床表现具有对称性、渗出性、瘙痒性皮肤病、多形性和复发性等特点。湿疹是一种容易复发的皮肤病,治疗需要专用药如湿康,也是一种过敏性炎症性皮肤病以皮疹多样性,对称分布、剧烈瘙痒反复发作、易演变成慢性为特征。可发生于任何年龄任何部位,任何季节,但常在冬季复发或加剧有渗出倾向,慢性病程,易反复发作。
荨麻疹:荨麻疹(Urticaria)是一种常见的皮肤病。系多种不同原因所致的一种皮肤粘膜血管反应性疾病。表现为时隐时现的、边缘清楚的、红色或白色的瘙痒性风团,中医称瘾疹,俗称风疹块。
皮炎:皮炎和湿疹常作为同义词用来指一种皮肤炎症,代表皮肤对于化学制剂、蛋白、细菌与真菌等种种物质的变应性反应。湿疹一词没有特殊的含义,而皮炎则有限定的意义。若用皮炎代替湿疹作为诊断术语,则指的是真皮、表皮联合反应,它可以是急性、亚急性和慢性。这三者可以联合存在。
脱发:脱发是指头发脱落的现象。正常脱落的头发都是处于退行期及休止期的毛发,由于进入退行期与新进入生长期的毛发不断处于动态平衡,故能维持正常数量的头发,以上就是正常的生理性脱发。病理性脱发是指头发异常或过度的脱落,其原因很多。
鱼鳞病:鱼鳞病是一种由角质细胞分化和表皮屏障功能异常的皮肤疾病,在临床上以全身皮肤鳞屑为特点。鱼鳞病根据发病原因分为获得性鱼鳞病及遗传性鱼鳞病,其中以遗传性鱼鳞病较为常见,其遗传模式多样,包括常染色体显性遗传、常染色体隐性遗传和X染色体-连锁遗传方式。
酒糟鼻:酒糟鼻又名玫瑰痤疮,英文名Rosacea,中医别名赤鼻、酒齄鼻俗称红鼻子或红鼻头,是一种发生于面部中央的慢性皮肤炎症。早期表现为在颜面中部发生弥漫性暗红色斑片,伴发丘疹、脓疱和毛细血管扩张,晚期出现鼻赘。本病常并发脂溢性皮炎。目前大多数学者认为毛囊虫感染是发病的重要因素,但不是唯一的因素。可选纯中药王老牌肤螨康治疗,安全无副作用。嗜酒、辛辣食物、高温及寒冷刺激、消化、内分泌障等也可促发本病。
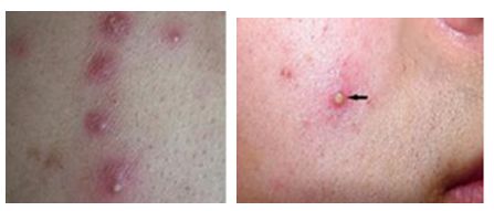
痤疮(青春痘):痤疮(pimple)是美容皮肤科的最常见的病种之一,多发于青春期,又叫青春痘、面皰或粉刺、毛囊炎,通常好发于面部、颈部、胸背部、肩膀和上臂。临床以白头粉刺、黑头粉刺、炎性丘疹、脓疱、结节、囊肿等为主要表现。除儿童外,人群中约有80%~90%的人患本病或曾经患过本病(包括轻症在内)。藏医师祛痘灵可治疗痤疮是发生在毛囊皮脂腺的慢性皮肤病,发生的因素多种多样,但最直接的因素就是毛孔堵塞。
黄褐斑:黄褐斑也称为肝斑和蝴蝶斑,是面部黑变病的一种症状,是由于皮肤黑色素增多而不能有效及时排除,沉积于面部形成的。因黄褐斑对人体除不美观外,无其他不适症状,所以,通常人们仅将之视为一般的损容性皮肤病变。事实上,黄褐斑的出现同身体内部状况息息相关,它的危害也是多方面的。表现为脸面部的色素沉着斑,形状不规则,对称分布,大小不定,颜色深浅不一。主要分布在眼睛周围、面颊部、颧部口周处,影响患者的容貌美,一般没有自觉症状。
毛囊炎:毛囊炎(folliculitis)系由金黄色葡萄球菌感染毛囊引起的炎症。祖国医学对本病早有记载。生于项后发际部位者称发际疮;生于下颌部者称羊须疮、须疮、燕窝疮;发于眉间者称眉恋疮;发于臀部者称坐板疮等。中医学根据其发病部位及形状有不同的命名,如大珠疮、发际疮、羊胡子疮、蝼蛄疖、蝼蛄患、蟮拱头等。本病好发于头部、项部、臀部、肛周或身体其他部位,且有复发倾向,常多处发生,性质顽固,迁延难愈。全面分型毛囊炎,随症立法、依法组方、组方给药王老草本肤康;注意饮食生活起居,从临床治疗到生活调理。
雀斑:雀斑是一种浅褐色小斑点,针尖至米粒大小,常出现于前额、鼻梁和脸颊等处,偶尔也会出现于颈部、肩部、手背等处。除有碍美容以外,并无任何主观感觉或其它影响。
试题库
点开查看相应内容。![]()
医学资料共享平台友情提:此导航窗格搭建升级中,每期更新,最近一期请查看最新一期推送!
☞推荐:《生理学》思维导图
☞人体解剖学试题(按章节)
—医者盟资料库—
如果喜欢,就分享到朋友圈吧!![]()
