有奖病例竞猜第208期丨4个月小婴儿大面积斑秃,难道也是因为生活压力太大?
编译/李媛
一个4个月大的女婴因脱发2周就诊。患儿洗澡时大量头发脱落,外院就诊考虑新生儿枕秃,曾经予间断外用激素治疗无明显效果。
查体:全头皮不规则虫蚀样斑秃(图1),躯干、四肢、手掌、足底可见丘疹伴细小鳞屑。腹部膨隆,肝脾肿大。
图1 虫蚀样斑秃
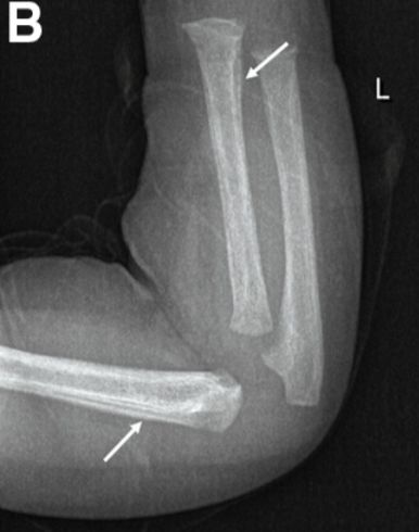
辅助检查:抗核抗体1:320,脑脊液培养阴性。肱骨、桡骨、尺骨骨皮质增厚,伴洋葱皮征(图2)。
图2 X线显示肱骨、桡骨、尺骨骨皮质增厚、洋葱皮征
根据患儿临床表现及辅助检查,最有可能的诊断是?
A. 甲状腺功能减低症
B. 蛋白质-能量营养不良
C. 维生素D缺乏
D. 先天性梅毒
E. 先天性风疹综合征
请在文末留言区回复正确答案,或参与社群病例讨论。我们会从回答正确者中抽取五位,送出神秘奖品一份。回复答案并给出思路分析的,获奖机会更大哦!
答案及获奖名单将会在本周四公布,还在等什么呢?快来参加吧!
版权声明:
本文版权归作者和医信共同所有,未经授权不得转载,需转载请联系我们。
邮箱:yxfepd@easyhin.com
