SCI论文背后的故事(六十二):雄激素源性脱发患者毛囊周围真菌微生态研究
编者按:
四川大学华西医院科研原创连载作品SCI论文背后的故事是华西医院皮肤性病科冉玉平教授指导的研究生们在疑难病例的诊治、科研攻关的亲身经历。讲述了从接诊直至发表SCI论文的心路历程。
每个故事都结合相关疾病背景知识,内容丰富、详实,引人入胜,趣味十足。导师冉玉平教授的点评如画龙点睛,为故事注入了独特的视角和深度,演绎授人以渔, 点石成金的精髓。不仅使读者能够跟随作者们的视角洞悉疾病的复杂机制,更深刻体验到临床和科研工作的复杂性、挑战性以及人文关怀的重要性。
目前,《挑战疑难病—SCI论文背后的故事》已出版两辑(第一辑和第二辑),分别涵盖了1-30个以及31-60个故事,业已成为广大临床医学生及专业医生在提升诊疗能力和科研素养成长道路上的必读佳作。
2024年,更多引人入胜的SCI精彩故事再次登场,带来更多的启示与思考,继续在医学研究的道路上不断探索和进步。
脱发标本中巧遇真菌
我是华西临床医学院2012级在职博士研究生黄静红,非常荣幸地在冉玉平教授的指导下攻读博士学位。在平时的学习训练中,冉教授都要求我们一丝不苟地观察每一个临床现象,做到洞幽察微,培养以微知著的能力。正是这样的要求和培训让我完成了另一篇SCI论文——Investigation on Microecology of Hair Root Fungi in Androgenetic Alopecia Patients。
在跟随冉教授临床学习时,他要求我们要熟练掌握各种临床检验检测技能。在取头皮脂溢性皮炎伴有雄激素源性脱发(Androgenic alopecia,AGA)患者的皮屑做真菌检查时,我无意中发现了一些有趣的现象:标本混入的脱落头发的根部,观察到了一些真菌孢子,部分孢子表现为有出芽和芽颈的葫芦状外观,不难判断,这些就是马拉色菌酵母细胞。在小组的研究进展会上,我把观察到的现象做了汇报,冉教授点评指出:我们团队此前对这个现象有过研究,可以与在读的胡文英硕士分享所做的探索性扫描电镜观察图像,不过还得做更深入研究,探讨观察到的现象是否与AGA有相关性。
寻踪溯源
于是,我们检索了相关文献资料。皮肤最外层的角质层栖息着大量的微生物群。常驻人类皮肤表面的真菌、细菌、病毒和蠕形螨等组成了一个复杂的微生物生态系统,称为皮肤微生态环境(图1)。作为头发生长的土壤,头皮的微生态环境至关重要。在正常生理条件下,头皮具有良好的新陈代谢及自净防御机制,能有效抑制头皮有害菌的大量滋生,而这个良性生态系统,由皮肤表面脂质膜、微生物菌群、细胞代谢三大平衡共同维护。一旦这个生态环境失去平衡,便会发生头皮油腻、瘙痒、头皮屑增多等问题。
AGA患者头皮微生态环境发生了怎样的变化呢?我们在AGA患者毛发根部发现的马拉色菌酵母细胞是偶然现象,还是常态呢?如果它们之间有关联,可能是怎样的一个病理生理机制呢?带着这些疑问我们进行了一系列实验探寻。
图1 头皮微生态模拟图图片来自Elizabeth A. Grice and Julia A. Segre. The skin microbiome [J]. Nature 2011,9: 224-253
抽丝剥茧
按照冉教授的要求,我们第一步便是对既往的发现再做验证:随机采取10例AGA患者的头发,同时采取了条件基本匹配的10例健康志愿者的头发作为正常对照组对比观察。皮肤镜下,我们发现脱发患者的头发密度降低,细软。将头发根部用美蓝染色后在显微镜下观察,在脱发组中比正常对照组更容易发现马拉色菌,即使都是阳性结果,脱发组的马拉色菌酵母细胞数量更多(图2~5)。
图2 AGA患者,男,39岁。脱发6年。a.发际线后延,顶区头发变细、稀疏;b.皮肤镜下见头发变稀疏、部分毛发变细;c.取脱发区松动的毛发在油镜下观察,见毛根部表面大量蓝染的马拉色菌酵母细胞
图3 AGA患者,女,33岁。脱发4年。a.表现为顶区头发变细、稀疏,呈圣诞树样外观;b.皮肤镜下见头发变稀疏、部分毛发变细,毛根部附有白色鳞屑;c.取脱发区松动的毛发在油镜下观察,见毛根部表面大量蓝染的马拉色菌酵母细胞
图4 健康志愿者,男,32岁。a.头发偏油;b.皮肤镜下见头发粗细均匀,密度适中;c.取头顶区松动的毛发在油镜下观察,见毛根部表面散在蓝染的马拉色菌酵母细胞
图5 健康志愿者,女,28岁。a.头发健康;b.皮肤镜下见头发粗细均匀,密度适中;c.取头顶区松动的毛发在油镜下观察,见毛根部表面零星蓝染的马拉色菌酵母细胞
AGA组的马拉色菌检出率是60%,高于正常对照组的检测率40%(表1)。我们推测这种差异可能是由于AGA患者头皮脂质丰富更易促进马拉色菌生长所致。由于马拉色菌具有亲脂性,这种多脂类型的头皮环境更适合马拉色菌的生长。AGA患者毛根部除了马拉色菌外还有其他真菌生存吗?脱发区域与非脱发区域的菌群中的菌种构成是否相同呢?
表1 显微镜观察毛根部马拉色菌检测结果
层层深入
带着这些疑问,我们分别取正常人和脱发患者的头顶脱发区和枕部非脱发区域脱落头发的根部标本(图6),采用高通量测序法进行真菌微生态的定量分析检测。
图6 头皮区域取材模拟图,.为头顶部和枕部取材区域(该模拟图由摄影师陈晓女士协助完成)
高通量测序技术又称下一代测序技术,相对于传统的测序技术而言,高通量测序技术一次能对几十万到几百万条核酸分子做序列测定。将DNA随机片段化、加接头,制备测序文库,通过对文库中数以万计的克隆延伸反应,检测对应的信号,最终获取序列信息。采用高通量测序技术检测标本的微生物菌群,可以比较全面地了解所检测标本内的微生物种类及构成。
高通量测序检测结果发现,从真菌分类门的水平来看,脱发组顶部的毛根标本中担子菌门真菌最高,脱发组枕部的毛根标本中担子菌门真菌次之;而对照组顶部的毛根标本中子囊菌门真菌最高,枕部的毛根标本中子囊菌门真菌次之(图7)。从真菌属类水平分析,脱发组的头皮真菌属中马拉色菌属最高,其次为毛孢子菌属(马拉色菌属和毛孢子菌属均归为担子菌门)仍占较大比例,且头顶部的丰度显著高于枕部,差异有统计学意义;而对照组顶部毛根部镰刀菌属真菌最高,枕部毛根部附球霉属最高。虽然对照组的头皮马拉色菌属的也有一定丰度,但头皮顶部和枕部的马拉色菌丰度的差异无统计学意义(图8)。我们推测,AGA患者头皮油脂分布不均匀导致马拉色菌生长的区域不平衡,但需进一步研究来阐明其调控机制。
图7 脱发组与对照组头皮不同部位真菌的门水平分析。TBG:脱发组顶部,OBG:脱发组枕部,TCG:对照组头顶部,OCG:对照组枕部。绿色为担子菌门,红色为子囊菌门
图8 脱发组与正常对照组头皮不同部位毛根部标本真菌属的水平分析。TBG:脱发组顶部,OBG:脱发组枕部,TCG:对照组头顶部,OCG:对照组枕部。红色代表马拉色菌属,绿色代表毛孢子菌属,黄色代表镰刀菌属,蓝色代表附球霉属。脱发组顶部的毛根标本中马拉色菌属真菌最高,脱发组枕部的毛根标本中马拉色菌属真菌次之;而对照组顶部毛根部镰刀菌属真菌最高,枕部毛根部附球霉属最高。
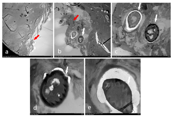
马拉色菌和大多数细菌一样,可产生侵袭性外分泌酶,以分解消化宿主细胞和组织,使之成为能被自身利用的营养源,这些外分泌酶包括脂肪酶,可以将甘油三酯分解成游离脂肪酸,后者可引起局部炎症反应。此外,已经确定了7种马拉色菌标准菌株还具有分泌蛋白酶能力。蛋白酶可以分解角蛋白和胶原蛋白,为菌体的生长繁殖提供氮源。这些特性使马拉色菌能够附着在宿主细胞上,并在皮肤角质层、毛干和毛囊皮脂腺等组织中定植。为了找到马拉色菌与毛发根部组织有密切接触(黏附)的直接证据,我们将来自AGA患者的毛发标本用5%戊二醛固定,用酒精逐级脱水后镀膜,真空干燥等处理后制成标本,在扫描电镜下观察,看到阳性标本的毛发根部表皮细胞表面和之间黏附有较多马拉色菌酵母细胞(图9、10)。
图9 扫描电镜观察到AGA患者毛囊结缔组织鞘表面及毛根部有较多马拉色菌酵母细胞,出芽处有特征性颈圈样结构a ×2000,b×10000(图片来自胡文英和冉玉平的未发表资料:脂溢性脱发患者头皮表面和毛根部马拉色菌菌种构成及2%酮康唑洗剂等综合疗效观察)
图10 扫描电镜观察到AGA患者毛囊结缔组织鞘表面及毛根部有较多马拉色菌酵母细胞(绿色箭头),出芽处有特征性颈圈样结构。a×1000,b×2000,c×5000,d×10000,e×40000
马拉色菌酵母除了黏附到毛发根部表皮细胞表面和细胞间,是否侵入到角质细胞内呢?这就需要通过超薄切片后用透射电镜观察。不如所料,我们在透射电镜则观察到了发根部外毛根鞘的角质形成细胞中含有马拉色菌酵母细胞(图11、12)。
图11 透射电镜观察到AGA患者毛根部毛根鞘至外毛根鞘之间的结缔组织鞘(紫色箭头)内嵌有马拉色菌酵母细胞(绿色箭头),细胞壁内侧有马拉色菌特有的锯齿状结构。a×300, b×1000, c×4000, d×5000
图12 透射电镜观察到AGA患者毛囊外包绕的毛囊结缔组织鞘(红色箭头)内嵌有马拉色菌酵母细胞(白色箭头),细胞壁内侧有马拉色菌特有的锯齿状结构 a×500,b×1500,c×4000,d、e×6000
既往研究发现马拉色菌会促使人角质形成细胞中IL-8、IL-10、TGF-b1等炎症因子表达水平升高并释放到细胞外,会对发根造成侵蚀性损伤。马拉色菌会增加角质形成细胞内炎症因子的分泌,这可能是导致头皮和毛囊周围的微炎症反应原因。
脱发组不同头皮区域毛发根部的马拉色菌属生态发生了改变,毛发根部周围环境——头皮的马拉色菌属是否有改变呢?我们又分别粘取了正常人、脱发组患者头顶脱发区和枕部非脱发区域头皮角质层组织,采用实时荧光定量聚合酶链反应(q PCR)进行检测分析,以了解毛囊周围环境中马拉色菌占比变化,结果发现脱发患者头顶部脱发区马拉色菌载量明显高于对照组,且球形马拉色菌(M. globosa)和限制马拉色菌(M. restricta)占比增加。至此,我们确认AGA与这种生态平衡的打破是有密切关系的。这为我们在AGA的临床治疗中常规使用抗真菌(含有酮康唑或水杨酸等)洗剂调整真菌微生态提供了有力的实验室证据。由于AGA病因和发病机理复杂性,马拉色菌在整个AGA病理生理机制中的作用,还有待更进一步深入探寻和发现。
投稿经历
将所有实验数据整理完毕后,我就开始完成英文论文,然后投稿。但投稿并不顺利,多次被拒稿后,我变得信心不足,加上平时工作繁忙,就懈怠了继续投稿。难能可贵的是,我有一位严格的导师,冉教授时时提醒我不要半途而废。我又重新开启投稿旅程,忙完白天的临床工作,夜深人静的时候对着电脑认真分析了前几次拒稿的缘由,一次又一次地细细梳理论文,修改和完善。发现论文本身并没有多大问题,而是论文内容与期刊的征稿范围不是很契合。于是我花了很多时间筛选期刊,寻找适合文章内容的刊物。功夫不负有心人,我发现论文很符合Mycopathologia(真菌病理学)的征稿范围,于是我再次投稿,根据审稿人的修改意见,经过简单的调整修改,论文最终被接收发表了。
感 悟
这篇SCI论文的完成历时较长,波折颇多,让我感悟很深刻:
1.无论是从事科研还是临床工作,我们都需要秉承冉教授一贯教导的严谨态度:在日常学习和工作中的每一个有意义的现象,我们都应该细致入微地观察,洞察其深层次的含义,从而培养一种见微知著的能力;
2.面对问题,我们要发扬钉子精神,刻苦钻研、追根究底,寻找问题的根源,想方设法找到答案;
3.在做任何事情的过程中,遇到困难是不可避免的。面对挑战和困境时,我们需要保持信心和毅力,坚定不移、持之以恒地努力下去,相信问题最终一定能够得到解决;
4.在投稿问题上,还真不能只顾着低头干活儿,明确方向和目标至关重要。为避免盲目行动和走入误区,我们应该在投稿前进行充分调研、了解每个期刊投稿要求,确保自己的研究方向与期刊定位相符。同时,要积极寻求同行专家的意见和建议,以便及时发现并纠正可能存在的问题。只有这样,我们才能顺利到达目的地,将自己的研究成果展示给学术界。
背景知识
AGA是最常见的脱发疾病,是雄激素依赖的常染色体显性遗传性多变性疾病,表现为头发密度进行性减少,头发纤细、稀疏,颜色变浅,毛囊小型化,头发毳毛化及脱落,最终头皮躯体化。可分为男性型脱发(发际线后退,地中海样脱发)和女性型脱发(圣诞树样脱发)。AGA发病率也往往随着年龄的增长而升高。总的来说,AGA发病率比较高。而且AGA的发生一直被认为会对患者的心理造成很大的影响,而且对患者的生活质量会产生明显的消极影响。因此与AGA相关的研究备受关注。在过去的研究中认为,AGA是一种多基因遗传性疾病,由多个基因和环境因素之间相互作用所致。此外,雄激素受体调节基因调节着细胞的雄激素受体对雄激素的敏感性。睾酮和其他较弱的雄激素(如脱氢表雄酮和雄烯二酮)可在许多皮肤组织中代谢。并通过5α还原酶(主要为Ⅱ型)在细胞质中转化为二氢睾酮(DHT)。DHT与雄激素受体(AR)强烈结合,最终形成可发挥生物活性的物质。导致终末毛囊转变为微型毛囊,促使AGA发生。也有学者提出AGA患者头皮病理中发现毛囊的微炎症反应,这可能是紫外线、化妆品、美容剂刺激,污染物和光化学损害产生的化学应激反应,更重要的是AGA的毛囊炎进程可能与短棒菌苗属、葡萄球菌属,马拉色菌属或蠕形螨属相关的微生物毒素在局部产生了炎症反应有关。人类皮肤表面的真菌、细菌和病毒组成了一个复杂的微生物生态系统,称为皮肤微生态。皮肤微生态在皮肤病的发生发展中扮演了一个重要的角色。在许多皮肤病的发生发展过程中,皮肤的微生态受到了影响,发生了改变,而发生了改变的微生态又反过来影响疾病。头皮是一个很特殊的环境,它有浓密的终毛,丰富的皮脂腺和汗腺,相对湿度较高,这些均为微生物的定植提供了有利条件。正常头皮的微生物群主要是痤疮短棒菌苗和表皮葡萄球菌,而真菌微生物主要为马拉色菌。作为头发生长的土壤,头皮的微型生态环境至关重要。在正常的生理条件下,头皮具有良好的新陈代谢及自净防御机制,有效抑制头皮有害菌的大量滋生,而这个良性的生态系统,由油脂、菌群、代谢三大平衡共同维护。一旦这个生态环境出现失衡,头皮油腻、头皮瘙痒、头皮屑增多等头皮问题便会发生。
作者介绍
黄静红,师从冉玉平教授,2016年毕业于四川大学华西临床医学院皮肤病与性病学专业,获博士学位。目前在四川大学华西第二医院皮肤科工作。
导师介绍
冉玉平教授,留日博士,四川大学华西医院皮肤性病科教授,博士生导师。中国菌物学会副理事长、医学真菌专业委员会主任委员;中华医学会皮肤性病学分会第15届常委、真菌学组组长、真菌研究中心首席科学家;中国中西医结合学会皮肤性病学分会委员、真菌学组名誉组长;中国医师协会皮肤性病学分会年会委员会委员、真菌学组副组长;中国医师协会整合医学医师分会整合皮肤病学委员会常委;中华预防医学会皮肤病与性病预防与控制专业委员会常委;中国微生物学会医学真菌委员会委员;中国民族卫生协会皮肤学科分会常委;中国人口文化促进会皮肤性病学防治专委会常委;成都高新医学会副会长暨皮肤病与美容学分会主任委员;第25届世界皮肤科大会(WCD2023)形象大使;国家级继续教育医学项目负责人;四川省皮肤性病专委会主任委员(2006~2016);四川省学术和技术带头人;获四川省科技成果二等奖、四川省高等教育优秀教学成果一等奖、四川大学优秀教师奖本科教学优秀奖星火校友奖教金;获中华医学会皮肤性病学分会卓越贡献奖和2020年最具影响力研究奖;获四川大学华西医院建院130周年突出贡献奖;国际新发传染病研究员(美国CDC);亚洲-太平洋医真菌学会(APSMM)理事;《中国真菌学杂志》副主编、《皮肤病与性病》副主编、Mycopathologia副主编、British Journal of Dermatology编委、Emerging Microbes & Infections编委,《中华皮肤科杂志》《临床皮肤科杂志》《中国麻风皮肤病杂志》《中国皮肤性病杂志》《中国循证医学杂志》《中国中西医结合皮肤性病杂志》《实用皮肤病杂志》等编委;代表著作《挑战疑难病—SCI论文背后的故事》(第一辑、第二辑),主编《常见皮肤性病诊断与治疗》,副主编《Evidence Based Dermatology》,主译《循证皮肤病学》;获荷兰皇家科学和艺术学院真菌生物多样性研究中心(CBS)培训证书。
导师点评
1.AGA是最常见的非瘢痕性脱发,累及青春期以后的青壮年,男女均可患病,为缓慢进展的毛发变细、变稀、脱发,伴有头皮油腻及脱屑、瘙痒等症状;
2.遗传易感性、雄激素受体对雄激素的敏感性增高是基本发病机理,口服非拉雄胺(针对男性)或螺内酯(针对女性)是基本治疗方案之一;
3.对头皮及毛囊微生态在AGA的意义是值得探索的课题,作为在职博士黄静红能够做此研究是巨大的挑战,涉及毛发皮肤镜观察、真菌镜检、形态学、电镜、分子生物学等多种技术和方法;
4.从基本的直接镜检美兰染色(当时没有真菌荧光染色技术)、毛根部标本的扫描电镜和透射电镜找到马拉色菌侵入到毛囊细胞内的直接证据、高通量测序定量分析担子菌门、马拉色菌属在头顶部占优势,而种的水平用定量PCR验证球形马拉色菌和限制马拉色菌在头顶的脱发区最高,抽丝剥茧,步步深入;
5.所得结果可靠,符合逻辑,为我们在临床综合治疗AGA时外洗酮康唑及水杨酸的找到了实验依据,成为从临床到实验室,再从实验室到临床的转化医学真菌学的实例。
论文中文翻译
雄激素源性脱发患者毛发根部真菌微生态研究
黄静红 冉玉平*Sushmita Pradhan 闫薇 代亚玲
四川大学华西医院皮肤性病科;*通讯作者
摘要
背景:本研究主要探讨雄激素源性脱发患者与健康人群毛发根部真菌微生态的差异。
方法:采用光学显微镜观察毛发根部的真菌状况。用扫描电镜和透射电镜对阳性标本进行形态学观察。采用高通量测序方法对头皮不同部位毛根部真菌微生态进行检测。采用PCR方法比较不同组和不同头皮区域马拉色菌的真菌载量。
结果:光镜下观察到的发根真菌以马拉色菌为主。脱发组马拉色菌阳性率(60%)高于正常对照组(40%)。扫描电镜和透射电镜观察到了阳性标本马拉色菌与毛根部的关系。高通量分子测序结果表明,在对照组枕部毛发根部,在真菌分类的门水平,子囊菌门占优势,而在脱发组中,担子菌门占优势。在真菌分类的属水平,马拉色菌属数量最多,其次是毛孢子菌属。正常对照组的头顶部和枕区丰度变化最为显著的是马拉色菌属,其次是镰刀菌属。脱发组头顶部马拉色菌载量显著高于对照组。脱发组头皮顶部马拉色菌载量高于头皮枕部。脱发组的球形马拉色菌和限制马拉色菌在头顶部和枕部的载量都较高。
结论:马拉色菌与雄激素性脱发的发生率呈正相关。
关键词:雄激素源性脱发;真菌微生态;马拉色菌;高通量测序
引言
雄激素源性脱发(AGA)是最常见的脱发性疾病,其特征是头发密度逐渐减少,变得稀疏,头发颜色变浅。根据性别差异分为男性型脱发和女性型脱发[1]。研究证明,AGA发生对患者的心理和生活质量有很大负面影响[2,3]。因此,与AGA相关的研究备受关注。在过去的研究中,AGA被认为是一种多基因与环境因素相互作用导致的多基因遗传性疾病[4,5]。研究证明两个主要的染色体遗传风险位点是位于20号染色体上的AR/EDA2R位点和PAX1/FOXA2位点[6-8]。
此外,雄激素受体调节基因调节着细胞的雄激素受体对雄激素的敏感性[9]。近年有研究提出AGA患者头皮病理中发现毛囊的微炎症反应,这与典型的瘢痕性脱发中的炎症和破坏进程不同,AGA的毛囊炎症进程缓慢、隐匿且难以发现。这可能是紫外线、化妆品、美发剂刺激,污染物和光化学损害产生的化学应激反应[10]。更重要的是AGA的毛囊炎进程可能与短棒菌苗属、葡萄球菌属,马拉色菌属或蠕形螨属相关的微生物毒素在局部产生了炎症反应有关[11]。
马拉色菌是人类和动物皮肤上的常驻菌群,是一种亲脂性酵母。目前,已证实17种马拉色菌中有11种参与人体皮肤微生态[12],由于马拉色菌的生长依赖于脂质(厚皮马拉色菌除外),因此马拉色菌主要分布于皮脂丰富的部位,如头皮、面部、胸背部等,约占健康人定植真菌总数的50%~80%。微生物百分占比的波动与AGA的发生有相关性。早在1998年,Pierard等人就发现,在AGA患者中使用2%酮康唑洗剂可以增加头发的密度、直径和毛囊的比例,其效果几乎等同于局部使用2%米诺地尔溶液治疗[11]。对其机理研究表明,酮康唑对头皮菌群具有的抗感染作用,特别是对抗马拉色菌的感染作用,对雄激素性脱发有治疗作用。近年的研究表明,雄激素性脱发患者的毛囊内出现微炎症反应可能与脱发有关[11,12],这种毛囊微炎症不同于典型的瘢痕性脱发的炎症和破坏过程。它进展缓慢,隐蔽,不易察觉。头皮的微生物主要包括短棒菌苗、葡萄球菌、马拉色菌、蠕形螨,他们的生物毒素可能参与炎症反应。微生物群对雄激素源性脱发的影响已受到广泛关注[12,13]。Keisha等从10名健康成人中收集了14份样本,并对真菌样本进行DNA测序,在人体头部和躯干皮肤中发现了丰富的马拉色菌,进一步证实了阐明人体真菌和细菌生态系统将有助于更全面地了解人类的皮肤疾病[14]。
本研究的重点是雄激素源性脱发患者与健康人群头皮毛发根部真菌微生态的差异。通过高通量测序方法技术,我们获得了更精确的毛根部真菌微生态数据,进一步了解了AGA的致病机制。
材料与方法
脱发组纳入标准:
1.参照《中国临床皮肤病学》[1]入选患者的临床表现:男性表现为从前额两侧开始,头发变少,变纤细、稀疏,逐渐向头顶部延伸,额部发际后移,前额变高,形成高额,前发际线呈M形;或者从头顶部开始脱落。呈渐进性发展,额部与顶部脱发区可互相融合。脱发区皮肤光滑,无萎缩,可见纤细毳毛,可伴有皮脂分泌增加,一般无自觉症状。根据Hamilton分级,将脱发程度在Ⅲ~Ⅳ级的男性患者入选。女性表现为头顶部毛发逐渐变少、稀疏,一般不累及颞额部。根据Ludwig分级,将脱发程度在Ⅱ级的女性患者入选。
2.就诊前2个月未烫发、染发,未使用防脱发洗剂;
3.就诊前 1个月内未口服或外用抗真菌制剂;
4.无头皮毛囊炎、头癣、斑秃等头皮相关疾病,不伴有其他躯体疾病。
5.取标本前48小时禁止洗发。
对照组纳入标准:
1.与脱发组入选者年龄、性别基本匹配的健康志愿者。
2.就诊前2个月未烫发、染发,未使用防脱发洗剂;
3.就诊前 1个月内未口服或外用抗真菌制剂;
4.无头皮毛囊炎、头癣、斑秃等头皮相关疾病,不伴有其他躯体疾病。
5.取标本前48小时禁止洗发。
采用高通量测序法检测毛囊周围环境微生物,对头皮不同部位发根进行真菌菌群多样性分析
对健康志愿者和AGA患者头皮不同部位的发根以及健康头皮不同部位的发根进行了真菌微生物群多样性分析。将受试者分为4组:雄秃组、枕部脱发组、对照组、枕部对照组。每组10例。对四组样品进行高通量测序分析。
招募受试者
这些测试是在患者和健康志愿者身上进行的,告知了他们测试的内容。
样品收集
1. 测试前48小时,禁止受试者洗头。
2. 轻轻牵拉选定的头发,并去除顶部和枕部松散的头发。
3. 用无菌眼科镊钳夹头发远端,用尺子取长1.5 cm的毛囊及毛发。存于聚丙烯微量离心管(以下简称EP管)中,保存于-20℃冰箱,备进一步检查。
毛根周围真菌形态学观察
显微镜、扫描电镜、透射电镜观察
高通量测序法检毛囊根部真菌微生态环境
1. DNA提取及PCR扩增
使用DNA提取试剂盒(Omega Bio-tek, Norcross, GA, USA)从样品中提取总DNA;完成DNA抽提后,利用1%琼脂糖凝胶电泳检测抽提的DNA,用NanoDrop 2000紫外-可见分光光度仪(Thermo Scientific, Wilmington, USA)测定最终DNA浓度和纯度。用引物ITSIF(5’- CTTGGTCATTTAGAGGAAGTAA-3’)和2043R(5’-GCTGCGTTCTTCATCGATGC -3’)扩增真菌rRNA基因ITS区。PCR 采用本实验条件进行,每个样本3个重复,将同一样本的PCR产物混合后用2%琼脂糖凝胶电泳检测,使用AxyPrepDNA凝胶回收试剂盒(AXYGEN公司)切胶回收PCR产物,Tris_HCl洗脱;2%琼脂糖电泳检测。参照电泳初步定量结果,将PCR产物用QuantiFluor™ -ST蓝色荧光定量系统(Promega公司)进行检测定量,之后按照每个样本的测序量要求,做相应比例的混合。
2.Illumina平台文库构建。
3.Illumina平台测序。
统计分析
脱发组与正常组马拉色菌阳性率比较采用卡方检验。
结果
1. 雄激素源性脱发患者与正常人相比较,毛发根部的马拉色菌有差异
为了解雄激素源性脱发与健康人群毛发根部马拉色菌的差异情况,分别采用光学显微镜、透射电镜和扫描电镜对其进行观察。从每个受试者随机抽取10个毛根标本放于载玻片上,滴1滴美兰染液,盖上盖玻片,在低倍镜下观察,如果查见马拉色菌后换高倍镜观察并拍照。马拉色菌数量达到5个/高倍镜,且连续3个视野,则视为阳性标本。在马拉色菌阳性的标本中,光学显微镜观察到发根毛囊球部有大量椭圆形马拉色菌酵母细胞,可见出芽(图1至图4,略)。脱发组的阳性率(60%)高于对照组(40%)(P<0.01,N=20),(表1,略)。将阳性标本送扫描电镜和透射电镜进一步观察。在扫描电镜下观察到毛根部真菌主要是马拉色菌(图5,略)。在透射电镜下观察到马拉色菌不仅黏附在毛根部表面,也侵入到毛囊结缔组织鞘内(图6,略)。
2. 对照组与脱发组真菌在门水平的差异
高通量分子测序结果提示,对照组头顶部(top of the control group,TCG)毛发根部标本中的真菌主要为子囊菌门(红色标记,73.16%)和担子菌门(绿色标记,24.94%),以及接合菌门(蓝色标记,0.49%);其他类别占1.41%。对照组枕部区域(OCG)毛发根部标本中的真菌主要由子囊菌门(红色标记,63.78%)、担子菌门(绿色标记,34.37%)和接合菌门(蓝色标记,0.62%)构成,其他类别占1.23%。脱发组头顶部脱发区(top of bald group,TBG)发根部真菌主要为子囊菌门(绿色标记,35.58%)和担子菌门(红色标记,61.03%),以及接合菌门(蓝色标记,0.40%),其他类别占2.99%。脱发组枕部(OBG)毛根真菌主要由子囊菌门(绿色标记,41.18%)和担子菌门(红色标记,54.21%)以及接合菌门(蓝色标记,1.87%)组成;其他类别占2.74%(图4)。
高通量测序显示脱发组和对照组毛根部真菌属水平的变化
为了解脱发组和对照组头皮不同部位毛发根部真菌属的变化,我们采用高通量测序方法检测真菌属的水平。一些真菌种类差异超过了1%。
镰刀菌属:对照组顶部13.49%,枕区3.20%;脱发组顶部2.3%,枕部4.11%。马拉色菌属:对照组顶部为8.64%,枕区为11.64%;脱发组顶部占31.44%,枕部占20.57%。附球霉属(Epicoccum):对照组顶部8.69%,枕区11.30%;秃发组顶部0.31%,枕部0.42%。毛孢子菌属:对照组顶端5.81%,枕区8.53%;脱发组顶部占13.45%,枕部占15.22%。链格孢属:对照组顶部4.48%,枕区5.99%;脱发组顶部占1.14%,枕部占1.01%。枝孢属:对照组顶部为3.55%,枕区为5.21%;脱发组顶部占2.26%,枕部占1.99%。隐球菌属:对照组最高2.78%,枕区4.11%;脱发组顶部3.78%,枕部占6.91%。念珠菌属:对照组顶部2.21%,枕区4.53%;秃发组顶部占5.32%,枕部占5.87%。曲霉属:对照组顶部1.91%,枕区3.68%;秃发组顶部占5.56%,枕部占5.03%。外瓶霉属:对照组顶部2.15%,枕区1.75%;脱发组顶部1.92%,枕部1.83%(图8,略)。
马拉色菌在不同人群及头皮区域种的水平载量比较
马拉色菌在头皮不同部位的载量见表2、3和4(略)。脱发组头顶部马拉色菌的载量(6.7E+0.6(6.8E+0.5,9.0E+0.6),对照组头顶部马拉色菌的载量为(2.6E+0.5(1.2E+0.5, 1.2E+0.6)),脱发组明显高于对照组(P<0.05),如表2(略)。
脱发组枕部马拉色菌的载量为(1.1E+0.6(5.7E+0.5,2.6E+ 0.6)),对照组枕部马拉色菌的载量为(5.3E+0.5(9.0E+0.4, 7.5E+0.5)),它们之间无显著差异(P>0.05),如表2(略)。在脱发组,头顶部的毛根标本中马拉色菌载量为(6.7E+0.6(6.8E+0.5,9.0E+0.6)),枕部载量为(1.1E+0.6(5.7E+0.5,2.6E+0.6)),头顶部马拉色菌载量明显高于枕部,有统计学差异(P<0.05)。
在对照组中,头顶部马拉色菌的载量为(2.6E+0.5(1.2E+0.5, 1.2E+0.6)),枕部马拉色菌的载量为(5.3E+0.5(9.0E+0.4,7.5E+ 0.5)),各组间马拉色菌数量无显著差异(P>0.05),如表2(略)。
脱发组头顶部球形马拉色菌载量(5.2E+0.5(2.0E+0.5,2.2E+0.6))明显高于对照组头顶部球形马拉色菌载量(6.7E+0.4(2.2E+0.4,2.4E+0.5))。脱发组头枕部马拉色菌载量(3.4E+0.5(1.1E+0.5, 6.7E+0.5))明显高于对照组枕部马拉色菌载量(8.1E +0.4(3.0E+0.4,2.6E+0.5))(P<0.05)。
脱发组头顶部的毛根标本中限制马拉色菌载量为(5.2E+0.5(2.2E+0.5,3.1E+0.6))高于对照组头顶部限制马拉色菌载量(1.1E+0.5(1.0E+0.4,2.1E+0.5)),脱发组枕部的毛根标本中限制马拉色菌载量(4.4E +0.5(2.0E+0.5,8.3E+0.5))也高于对照组枕部限制性马拉色菌载量(1.4E+0.5(3.1E+0.4,2.0E+ 0.5))(P<0.05)。所检测到的头顶部与枕部球形马拉色菌和限制马拉色菌的载量无显著差异(P< 0.05),(表3和表4,略)。
讨论
皮肤是人体最大的器官,覆盖了整个身体。它保留了人体免疫系统的第一道屏障,不仅可以抵抗外来病原体的入侵,还可以保护内部组织和器官。Price等人[15]将皮肤表面的微生物分为两类:常驻微生物和暂住微生物。常驻微生物主要包括放线菌门,厚壁菌门,变形菌门的成员以及酵母(主要为马拉色菌)。这些微生物的生长受角质层、水分含量、皮脂腺和汗腺分泌的影响,导致在人体皮肤不同区域形成不同的微生态分布[16]。Clavaud等人[17]对头皮微生物的研究发现,头皮表面的主要菌群为痤疮短棒菌苗和表皮葡萄球菌,真菌微生物以马拉色菌为主。
马拉色菌在头皮微生态中起着重要作用。毛发根部马拉色菌数目达到5个/高倍,且连续3个不同视野,视为马拉色菌阳性。观察发现,AGA脱发组阳性率(60%)高于对照组(40%)(表1,略)。我们推测这种差异可能是由于AGA患者头皮脂质的丰富所致。由于马拉色菌具有亲脂性,这种脂质丰富的头皮环境适合马拉色菌的生长。应用高通量分子测序技术对正常人的头顶部和枕部发根真菌菌群进行了检测,优势真菌仍为马拉色菌,头皮顶部马拉色菌丰度为8.64%,枕部马拉色菌的丰度为11.64%,但无统计学意义(图5,略)。
检测AGA患者头顶部和枕部毛发根部真菌菌群,如图1~6(略),并采用高通量测序方法进一步研究不同部位毛囊根部真菌微生态(图5和图6,略)。结果显示,马拉色菌属(Malassezia)占较大比例,头顶部的丰度(31.44%)显著高于枕部(20.57%)。因此,我们推测AGA患者头皮油脂分布不均匀导致马拉色菌生长的区域不平衡,但是这需要我们进一步的研究来阐明其调控机制。
马拉色菌和大多数细菌一样,含有侵袭性酶,如脂肪酶,可以将甘油三酯分解成游离脂肪酸,引起局部炎症反应,细菌还含有少量蛋白酶[18]。更重要的是,研究人员已经确定了7种马拉色菌标准菌株具有蛋白酶活性[19]。蛋白酶可以分解角蛋白和胶原蛋白,为细菌的生长繁殖提供氮源。这些特性使马拉色菌能够附着在宿主细胞上,并在皮肤和深层组织中定植。扫描电镜和透射电镜观察到的现象也证实了这一发现。扫描电镜观察到阳性标本发根表面黏附有较多马拉色菌酵母细胞(图5,略)。透射电镜则观察到了发根部更深层次情况,毛根部组织中含有马拉色菌酵母细胞(图6,略)。此外,既往研究发现马拉色菌会使人角质形成细胞中IL-8、IL-10、TGF-b1水平升高[20]。这些细胞因子在角质形成细胞的形态改变和凋亡中起关键作用,对中性粒细胞和淋巴细胞具有趋化活性,并增加侵袭性酶活性。而炎症细胞因子的表达会对发根造成侵蚀性损伤。马拉色菌会增加细胞因子的分泌,这可能会导致头皮周围和毛囊周围的微炎症反应。它在AGA的过程中起着重要作用。先前我们发表在英国皮肤病杂志上的研究[21]表明,马拉色菌可引起毛囊周围的腺体和炎症细胞浸润。
发根部真菌微生态丰度分析提示,与健康人相比,AGA患者发根部马拉色菌属物种的丰度是增加的,如在脱发区域球形马拉色菌和限制马拉色菌增加最为明显,如表2~4(略)。
由于头皮微生态环境发生了改变,马拉色菌在AGA患者中发挥了在健康人群中相反的作用。它在健康人体内与宿主保持和谐平衡的共生关系。当AGA发生时,由于头皮局部油脂含量的增加,原有的微生物环境发生了变化,进而导致马拉色菌的生长繁殖增加。马拉色菌产生的侵袭性酶和角质形成细胞产生的白细胞介素会改变马拉色菌种类的丰度(如球形马拉色菌和限制马拉色菌的增加),打破原有的微生态平衡。它会在毛囊周围产生微炎症反应,并持续参与AGA的整个过程。
结论
AGA患者马拉色菌负荷显著增高,且与AGA发病率呈正相关。我们推测马拉色菌参与了AGA患者的毛囊炎症,控制头皮真菌生态的策略将在AGA的治疗中具有更重要的价值。
致谢和参考文献(略)
英文原文
英文原文:
Huang J, Ran Y, Pradhan S,et al. Investigation on Microecology of Hair Root Fungi in Androgenetic Alopecia Patients. Mycopathologia. 2019,184(4):505-515.
原文链接(复制链接进入网页打开):
https://doi.org/10.1007/s11046-019-00345-8
扫码
SCI论文背后的故事
文字和图片版权归作者所有,转载必究
欢迎向华西医学时间投稿科研原创作品
邮箱:qks@hxyx.com
电话:85422060
