脸上冒痘都是痤疮?还有可能是皮肤菌群失衡导致的毛囊炎!
每天答疑上千条,
只为让你皮肤好!
(文末有彩蛋哦~)
这次分享一个我最近工作中遇到的典型皮肤案例——毛囊炎。
一桩由薏仁精华引发的悬案
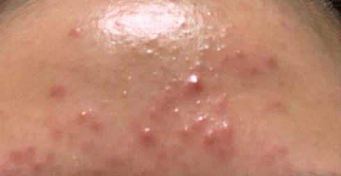
前不久,一位小可爱反馈,在用了薏仁精华3~5天后,原本额头没有痘痘的地方,竟然开始出现大片红肿的类似痘痘的东西。
然后联系到我们小助理,发了局部照片给我们。👇👇👇
起初,这位小可爱因频繁爆痘,所以在朋友的推荐下购买了薏仁精华,小助理推荐使用方法也是点涂在痘肌处。
她使用5天后,原本没有痘痘的额头开始发红。👇👇👇
小助理检查了她第一次反馈的照片,发现她当时额头下面已经可见明显的红色炎症,局部类似于爆痘的前期。
小助理跟她详细确认了使用薏仁时长、使用方法、使用范围、平时护肤品用的什么品牌、饮食生活作息是否规律……
但当时这位小可爱,一直纠结的重点在为什么用了薏仁精华反而额头长痘?(娘娘内心os,小菇凉此行大概并不是想解决皮肤问题,而是想找个背锅侠吧,但你找错了原因,皮肤不就更好不了了?)
对于这个问题有点像一个感冒的人,突然问为什么感冒药会导致TA感冒?
娘娘掐指一算这里面问题不简单~~~
就在我们也在努力为她解答疑惑的时候,不到一天小可爱又反馈了新的额头照片。👇👇👇
这次可以看到之前额头还没明显发红的部分,现在已经肉眼可见地长出来了!
抽丝剥茧找真凶案
作为曾经长达一年被痘痘折磨的娘娘本人,也没经历过一天就发展如此迅速的痘痘~
于是我们又详细询问了她的护肤品使用史,才终于从细枝末节里找到了素颜霜这个关键词!
看到这里,我们也给出推测,可能是素颜霜使用过程中,隐藏的一些跟清洁、粉体叠加等有关问题,导致的肌肤菌群失衡有关,最终导致毛囊炎的发生。
小助理也及时给出建议,让小可爱去医院做微生物检测。
娘娘也在社群内对她的问题进行了解答。
悬案之间插播一则小科普
不知道是不是还有很多宝宝认为,只要皮肤长了"包",就都叫痤疮?
拜托,这都2020年,距离我开始写公众号都有5年了,我们早就不止一次的写过,皮肤上的"包",除了痤疮,还有可能是毛囊炎、皮疹、玫瑰痤疮、脂溢性皮炎等。
由于很多皮肤问题,外表看起来都极像痤疮,但致病因素却并不是痤疮丙酸杆菌,而是如马拉色菌、葡萄球菌等致病菌引起,所以除非做皮肤微检,没有医生敢打包票把"包"等同于"痘"(但事实上,确实有很多医生是这么做的)!
正因为皮肤问题很难用肉眼给出准确结论,所以我们的建议是,如果平时不长痘的皮肤突然长痘了,那么尽快去医院做一个全面的检查吧,因为总有一些人,不查不知道,一查吓一跳。
经常有人会查出个毛囊炎、玫瑰痤疮这种小问题,也有人查完后告诉我们原来她是多囊卵巢,甚至其他疾病患者。(娘娘内心os:卖你个护肤品,还帮你做了个全身体检,这种服务除了遇道,还有别人吗?)
真相大白,薏仁精华洗脱冤情
接着说,由于毛囊炎前期跟痤疮的表象有类似,所以小可爱依然觉得脸上的就是痤疮,并且依然觉得是薏仁精华导致了她长痘……
没过多久当初介绍小可爱买薏仁精华的皇后,特别委屈地给我们发来她朋友--小可爱的照片👇。
并且表示,原本的好心,没想到现在朋友爆发了严重的痘痘,被朋友责怪,心里十分委屈。
我们一边唏嘘一边仔细查看了小可爱的照片,发现她的额头爆发的全是内含白色分泌物的痘。
在这么短时间内出现这样快速发展的情况,并且小可爱也没有其他致痘恶习,根据我的从业经验,这已经不能说是寻常痤疮了。
再仔细一看,她不仅痘痘处发红冒脓包,连不长痘的地方也是大片大片的发红,并且出现刺痒情况,这个时候娘娘已经怀疑她是严重的毛囊炎患者了。
我们立刻私信她,建议她本人能够尽快去医院做检测。
小可爱终于去了医院,做了检测,并第一时间发来最终检测信息。👇
*注意:普通痤疮一般是不会有发痒的症状,而毛囊炎的特质就是发痒,刺痛。
至此:薏仁精华终于沉冤昭雪。小可爱也及时得到了治疗,在这里也希望她早日康复。也希望她能正确的护肤,慎用素颜霜这类特殊性产品。
对于之前的误解,娘娘想说,如果祛痘的产品会导致长痘,那配方师们天天辛辛苦苦的研究配方还有什么意义呢?
严肃而认真地总结
重要的事情说三次:
感冒药不会导致你感冒!
创口贴不会导致你受伤!
祛痘产品也不会导致你长痘!
从现在起是干货分界线
·如何区分痤疮和毛囊炎?
简单来讲你只需记住5的区别!
1、 皮肤疾病的类型不同:
痤疮的发生主要与皮脂分泌过多、毛囊皮脂腺导管堵塞、细菌感染和炎症反应等因素密切相关。
毛囊炎则可能因为不同的细菌(葡萄球菌、痤疮丙酸杆菌)和真菌(马拉色菌)感染引起的皮肤病,让毛囊发生炎性病变。
2 、发生的原因不同:
毛囊炎的发生主要是皮肤毛囊受到了细菌or真菌感染如, 马拉色菌,葡萄球菌等。
面部毛囊炎的发生多由于肌肤菌群失衡感染金黄色葡萄球菌。
痤疮是一种多因素的疾病,其主要的原因可见雄激素水平异常,皮脂大量分泌,毛囊周围细胞角化异常和炎症反应(主要是痤疮丙酸杆菌引起)此外遗传,压力,免疫内分泌混乱也会影响发病。
3、 好发的身体区域不同:
痤疮一般会发生在面部,除此前胸后背这些皮脂腺分泌旺盛的地方也容易发。
毛囊炎简单来说只要你身体有毛囊的区域都是有可能发生毛囊感染的。(常见于面部,四肢,臀部)
4、 临床表现不一样:
毛囊炎表现是急速发展,刚开始表现以毛囊为中心的红色丘疹,随后顶部有白色脓疱,边缘可有红晕,直径在2~5mm左右。大部分都会刺痒!
(毛囊炎图示)
痤疮的表现主要分轻、中、重,不同的程度症状也不同,轻度仅仅表现为粉刺,中度可能会有一些炎性的丘疹,重度就会形成一些大的囊肿结节。痤疮一般不会出现刺痒的现象。
(痤疮图示)
5 、治疗改善程度不同:
毛囊炎通常是外用药物抗菌治疗感染。见效快,预后良好,但仍有复发及出现相关并发症的可能。平时注意防护、积极治疗,可控制毛囊炎发展并减少复发。
痤疮由于发生机制非常复杂,且慢些进程居多,治疗护理起来也是循序渐进的过程。需要长期调节改善。长时间不做治疗容易导致面部肌肤损伤。
了解了这5个区别就基本能判断出到底是毛囊炎还是痤疮。
·毛囊炎和痤疮会不会同时发生?
答案:会!
确实有同时存在面部有痤疮,又发生毛囊感染的。对于这样的情况,一般人很难判断自己的皮肤出现了什么问题,极易误会为痤疮,如果又碰巧刚换了肤品,就很容易就让"老实人"背了锅。
当脸部出现红色的包,它不一定就是痤疮,还有可能是毛囊炎,还有可能又有痘痘又有毛囊炎!
当你怀疑自己面部出现的东西到底是个啥,且越来越严重的时候,你需要做的就是立即、马上去医院皮肤科做检测。根据检测结果来选择该怎样治疗和护理。
好好的,怎么突然得了毛囊炎?
很多宝宝要问了,那么为什么原本健康的皮肤,会突然发生毛囊炎呢?
实际上,毛囊炎从本质上讲,就是一种皮肤表面的菌群失衡。
之前我们发朋友圈时也会讲,维持菌群平衡的诸多益处,例如能够增强皮肤屏障功能,维持皮肤健康,改善肌肤敏感性问题,改善肌肤炎性问题等。
道理说了100遍,不如1遍真人案例让人理解深刻。
这次悬案中的小可爱就是发生了菌群失衡的问题,导致毛囊受到感染,引发了急性的毛囊炎。
我们再一次敲黑板,不要用护肤品代替药品,该看医生一定要尽早看医生!(但也不要忽略护肤,只寄希望于出了问题擦擦药就好。)
但是谁该为这一切买单呢,素颜霜?她并未提到的一些其他因素吗?或许都不是。
小可爱表示自己曾经皮肤很好,所有人都会夸她肌肤洁白如玉,以至于她对自己的皮肤美观度的要求更高,也更少关注科学健康的护肤知识,或许也是她会遇到这种"毁容"事故的原因吧。
菌群失衡怎么办?
其实我们已经在对抗菌群失衡的问题上小有建树了,雅诗兰黛等一线品牌也早早开始就在配方中布局菌衡力量在他的小棕瓶里,遇道又何时落后过?!
在化妆品成分中,用于调节肌肤表面菌群最适合的成分就是乳酸杆菌,它并不是一种活菌,但却可以通过促进皮肤表面固有菌群(如表皮葡萄球菌),而不刺激暂居菌群(金黄色葡萄球菌)的增殖,从而使固有皮肤菌群处于优势地位,进而达到皮肤微生态平衡。
这种固有菌群和暂居菌群形成的和谐的微生态系,可以形成一个稳定且和谐的生物屏障,保护皮肤健康。
遇道玻尿酸均衡精华液里,添加了有效浓度的乳酸杆菌(芽孢杆菌/大豆发酵产物提取物),可以平衡肌肤表面菌群生态,增强皮肤的生物屏障力,对肌肤不适易敏、毛囊炎和炎症性皮肤问题都有很好的改善。
戳图片就可以直接下单,也可以联系客服了解遇道双11活动哦!
欢迎关注我~
小红书、知乎、微博、豆瓣、抖音、B站
全网同名:「遇道娘娘」
小红书小号:美妆博母滢可
因为公众号平台更改了推送规则
如果不想错过娘娘的文章
记得读完点一下在看
这样才会让你第一时间发现我~
彩蛋
现在在公众号后台回复1添加娘娘,
让娘娘拉你进群,加入每周领福利大军
不错过每个群内优惠!"
你遇到过什么护肤乌龙事件吗?
欢迎在评论区留言!
上篇文章:品牌和小品牌,用的原料到底有没有差别?医美原料比妆字号更好吗?玻尿酸哪一家最强?
撰写:遇道娘娘&祺哥
排版:哒哒
部分图片来源于网络
