划重点:《痤疮与玫瑰痤疮》第一章:毛囊、皮脂腺、皮脂与痤疮的形成
最近,有一些皮肤科医生自发组织了读书打卡群,最近在读的书,是我主译的《Plewig & Kligman 痤疮与玫瑰痤疮》。这本书是全球范围内关于痤疮与玫瑰痤疮最经典、最权威的著作。原书由皮肤科学泰斗Kligman 主编。
这本书的特点是内容全面,不仅仅是临床诊断与治疗的内容。本书从痤疮发生的病理生理基础讲起,内容有些艰深。为帮助读书群内的医生朋友们快速掌握重度内容,特撰写系列划重点文章,希望对大家有所帮助。
我们先看一下第一章:毛囊皮脂腺:结构、生化和功能。
本书在每一章节开头都有内容提要,也就是本章的重点内容。这些是大家必须理解并掌握的内容。当然,这些还不够。所以,我会帮大家划重点。
内容提要
•面部存在三种毛囊:毳毛毛囊、皮脂腺毛囊和终末期毛囊。
•皮脂腺毛囊局限于面部、耳垂、颈部、肩部、胸部和背部的V形区域以及上臂的侧面(注:这些都是痤疮好发部位)。
•皮脂腺毛囊的特征是皮脂腺大而多房,毛囊导管深,呈海绵状,毛发细小不易察觉。痤疮累及皮脂腺毛囊。
•在容易长粉刺的部位(面部、头皮、胸部的V区和上背部),皮脂腺的密度最高,体积最大。
•典型的毛囊皮脂腺单位由皮脂腺、毛囊和立毛肌构成。
•皮脂腺是全浆分泌腺,在皮脂腺细胞死亡后分泌皮脂。
•它们的数量在一生中保持不变,而它们的大小和活性则在出生后和青春期显著增加。
•皮脂腺产生皮脂,主要包括甘油三酯、蜡酯和角鲨烯。
•痤疮皮脂的重要功能成分是顺-6-十六碳烯酸和油酸。(注:功能成分的意思就是皮脂中的这些单不饱和脂肪酸在痤疮形成中发挥主要作用)。
三种毛囊
本章最重要的内容,即带大家认识三种毛囊。痤疮的本质是毛囊炎。三种毛囊均可形成毛囊炎。但只有皮脂腺毛囊形成痤疮。
毛囊皮脂腺 VS 皮脂腺毛囊
国内过去的文献中通常将痤疮描述为发生在毛囊皮脂腺的慢性炎症性皮肤病。其实这并不准确,毛囊皮脂腺实际上指的是毛囊皮脂腺单位(包括毛囊、皮脂腺和立毛肌)。
痤疮的本质实际上是发生在皮脂腺毛囊的慢性毛囊炎。所以,大家一定要理解并掌握什么是皮脂腺毛囊。
大家理解了吗?本章最重要的是要明白,三种毛囊的不同特点,痤疮只发生于皮脂腺毛囊。
关于脂质微丝
在描述皮脂腺毛囊时,脂质微丝这个概念首次出现。
首先,脂质微丝,又称为毛囊微丝或毛囊管型。它是皮脂腺毛囊内的生理结构。
脂质微丝的成分包括:脱落的角化细胞、皮脂和细菌。
它的形态是乳酪样、蜡样、白色蠕虫状结构。
脂质微丝可发展为微粉刺,但并非一定会演变为粉刺。
皮脂腺与皮脂的生成
青春期胰岛素样生长因子-1( IGF-1)和雄激素增加会促进皮脂分泌,这是寻常痤疮发病的先决条件。
皮脂腺的分泌方式为全浆分泌。从最初的皮脂脂质生成到皮脂分泌需要1-2周。
皮脂腺与血液循环相连,因此能够接收系统性激素信号,如IGF-1和雄激素。
皮脂腺细胞能够将活性较低的雄激素转化为活性较高的二氢睾酮。
皮脂腺导管细胞同时具有皮脂腺细胞和角质形成细胞的组织学和生化特征。
它们形成的薄薄的角质层由脆弱的、松散的角化细胞组成,很容易掉入管腔,导致堵塞及粉刺形成。
皮脂具有一定的抗菌作用,并参与皮肤表面弱酸性PH值的形成。
原书中说:皮脂腺脂质不参与表皮屏障功能。这实际上是不准确的。
弱酸性环境是维持正常皮肤屏障功能必需的。皮脂分解产生游离脂肪酸,参与弱酸性环境的形成,有助于维持表皮正常物理屏障功能。
调节皮脂生成的关键因子及通路
以下是调节皮脂生成、代谢的信号通路图
我们需要知道,细胞脂质代谢的中心是雷帕霉素靶蛋白复合物1(mTORC1)激酶,它由各种激素信号激活。
另外,固醇调节元件结合蛋白1(SREBP1)是皮脂腺脂肪生成的主要转录因子,它可激活从头合成脂肪酸的各种限速酶。在它的作用下,皮脂成分进行进一步的转化、代谢,最终形成各种脂肪酸和脂质。
皮脂的成分及不同脂肪酸的作用
皮脂主要由甘油三酯、蜡酯、角鲨烯和一些游离脂肪酸以及少量的胆固醇、类固醇酯和二酰基甘油(甘油二酯)组成。
游离脂肪酸通过甘油三酯脂酶的作用释放,甘油三酯脂酶是一种形成生物膜的痤疮丙酸杆菌的毒力因子。
当皮脂到达皮肤表面时,约三分之一的皮肤表面脂质由游离脂肪酸组成。
皮脂含有饱和、不饱和和非常特殊的支链脂肪酸。
皮脂中最丰富的脂肪酸是饱和脂肪酸:棕榈酸(C16:0)和单不饱和脂肪酸:顺-6-十六碳烯酸(C16:1Δ6)。
来源于人皮脂甘油三酯的顺-6-十六碳烯酸和月桂酸(C12:0)是在人类皮肤表面发现的强效抗菌剂。
本章中提出了一个重要概念:致粉刺性痤疮皮脂(acne sebum)。
游离的单不饱和脂肪酸,特别是顺-6-十六碳烯酸(C16:1Δ6)和油酸(C18:1Δ9),是痤疮皮脂的重要成分。
图中红框标注的是致病的痤疮皮脂
皮脂如何导致痤疮将在痤疮的发病机制章节进行详细阐述!
图谱解读
面部毛孔
通常,仅皮脂腺毛囊的毛孔是可见的。大量的毳毛毛囊太小,并不可见。油性皮肤和大腺体的人往往会毛孔粗大。
不同类型的毛囊,前文已经介绍过了。
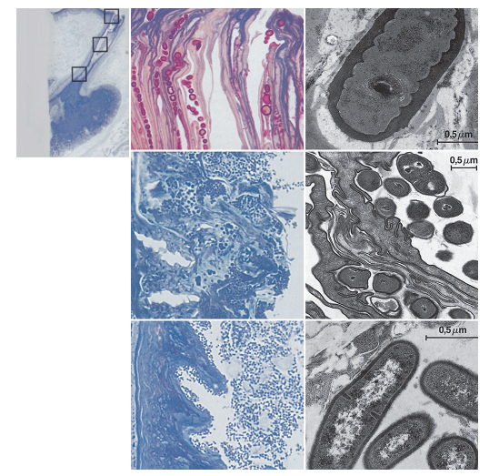
没有一模一样的皮脂腺毛囊。背部的皮脂腺毛囊与面部也不尽相同。这几张病理图不需要掌握。下面对外观正常的皮肤连续制作横截面切片的病理图片,是非常难得的横截面病理图。有兴趣的朋友,可以仔细观察一下。在不同的层次,我们可以看到脂质微丝、色素、细菌以及大的皮脂腺。
脂质微丝与微粉刺
前面已经介绍过脂质微丝(毛囊微丝)。这里大家可以在微观下,看看脂质微丝长什么样!
毛囊微丝(脂质微丝、毛囊管形)是生理性成分(油性皮肤大部分都会有脂质微丝),并不是痤疮表现的一部分,而微粉刺代表痤疮的早期皮损。从上图可以看出,毛囊导管无明显扩张,脂质粉丝呈细长样,微丝内含有细菌菌落。
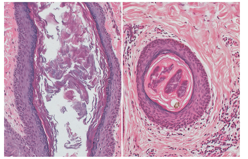
微粉刺的横截面病理图
微粉刺虽然是痤疮的早期皮损,但也是肉眼无法看到的。图中可以看到,毛囊导管扩张,毛囊上皮可见颗粒层,并包裹着角化细胞微丝。腔内充满痤疮丙酸杆菌。
皮脂腺毛囊的扫描电镜图片不需要掌握。
氰基丙烯酸酯技术可提取出毛囊中的皮脂腺毛囊内容物。可通过图像分析量化微粉刺和微丝的密度和大小,(b)毛囊蠕形螨是否存在及其数量,(c)毛囊中卵圆形糠秕马拉色菌和痤疮丙酸杆菌的密度。只需了解有这个技术即可。
左图:微粉刺,右图:2条脂质微丝
痤疮微生物群
面部通常存在三种微生物:痤疮丙酸杆菌、表皮葡萄球菌和糠秕马拉色菌属。
图谱展示了各种病菌在皮脂腺毛囊中的位置。
上图为马拉色菌,中间为表皮葡萄球菌,下图为痤疮丙酸杆菌。
这些内容大家只需要了解即可。
好了,第一章的划重点就到此为止,希望各位对痤疮感兴趣的朋友可以有所收获,谢谢大家的关注与支持!
参考文献:
丛林,廖勇,田艳丽主译.痤疮的流行病学与遗传学. [M]// Plewig & Kligman痤疮与玫瑰痤疮:第4版. 北京 : 北京大学医学出版社,2021:30-32.
您学到了吗,麻烦点个赞呗❀❀❀
