JPA:白癜风治疗常用中药淫羊藿促进色素合成作用的分子机制和药效物质
黑色素合成是一个复杂过程,由三种主要的色素合成酶催化:酪氨酸酶(TYR)、TYR相关蛋白1(TYRP1)和多巴胺互变异构酶(DCT)。TYR、TYRP1和DCT属于TYR蛋白家族(TYRs)。成熟的TYRs在胞内被转运定位于黑色素体中,进而促进合成黑色素。虽然这三种酶都参与黑色素合成,但只有TYR是黑色素生成所必需的。在前期的研究中,作者报道了淫羊藿中一种含量高、低性毒的黄酮类成分——朝藿定B(EB),并初步证明了EB是一种黑色素生成强诱导剂和TYRs激活剂。然而,尚不清楚EB促进黑色素合成的具体机制。
2024年1月,上海中医药大学中药学院李医明/吴华丽团队在Journal of Pharmaceutical Analysis(IF=8.8)上发表题为Epimedin B exhibits pigmentation by increasing tyrosinase family proteins expression, activity, and stability的文章,确定了朝藿定B(EB)是淫羊藿提取物中含量高、活性强、毒性低的主要活性成份,并在细胞、组织、斑马鱼、小鼠多层面对EB体内外调控色素方面进行深入系统的研究。这一研究成果从分子水平揭示淫羊藿临床治疗白癜风的药效物质基础,为白癜风的新药开发奠定基础。
文章要点:
1)首次对EB在色素合成药理活性进行了探究;
2)通过体内外多种色素脱失模型上评估EB色素合成作用;
3)EB从表达、活性和稳定性三方面靶向TYRs,从而发挥色素合成作用。
1、EB促进黑色素产生
作者首先使用高效液相色谱(HPLC)对淫羊藿提取物进行鉴定,朝藿定B(EB)是主要生物活性成分,对黑素生成和TYR激活表现出最高的效果。随后通过不同浓度(25、50和100μM)的EB处理两种黑色素瘤细胞系并检测黑色素含量,IBMX为阳参,发现EB以剂量依赖性方式显著增加细胞内黑色素含量(图1)。
图1EB以浓度依赖方式促进黑色素产生
进一步在不同时间点(0、12、24、48和72小时)检查黑色素含量,发现EB以时间依赖性方式诱导的黑色素生成(图2)。
图2EB以时间依赖方式促进黑色素产生
2、EB促进黑素体生物合成
接着收集并检查了人体皮肤组织样本进一步验证EB的促黑色素生成作用,发现EB在原代黑素细胞、人类皮肤器官培养物中诱导显著的黑色素生成作用。黑色素在黑素体中合成并储存,然后分布到周围的角质形成细胞,黑素体的数量、大小和成熟阶段反映了黑素细胞的黑色素生成能力。作者发现EB治疗组中存在比对照组更多的黑素体,此外EB通过增加黑素体数量并促进黑素体成熟来刺激黑色素生物合成。接着对EB处理和未处理的人类原代黑素细胞进行了转录组分析,差异基因显著富集在黑色素生物合成过程、黑素体/黑素体膜等,这些数据证实了EB在黑色素生物合成和黑素体形成中的调节作用(图3)。
图3 EB增加黑色素体的数量和成熟促进黑色素合成
3、EB增加TYR表达
为了阐明EB诱导黑素生成的机制,作者研究了TYR的参与,发现EB诱导的TYR在mRNA和蛋白质水平上的双重正向调节。MITF是众所周知的TYR关键调节因子,也是黑素生成的主要调节因子。作者发现EB刺激后MITF的mRNA和蛋白表达水平显著上调,表明EB通过经典的MITF依赖性机制上调黑素生成中TYR的表达。此外,EB可以影响转运相关基因的mRNA表达,特别是OCA2和SLC45A2,表明EB在黑素体生物发生和成熟中调节复杂的过程,这可能解释黑素体增加的变化黑素体中黑色素的数量和含量(图4)。
图4EB增加TYR表达
黑色素的产生是由多种信号系统启动和调节的,作者接着研究了EB对黑素生成的上游信号通路的影响,发现cAMP水平和PKA表达不受EB影响,表明经典的cAMP-PKA-MITF色素沉着途径不参与EB诱导的黑素生成。相比之下,PI3K/AKT信号通路的级联,以及MAPK途径受到影响。这些数据证明EB控制多种色素途径来影响黑色素的产生(图5)。
图5 EB影响多条信号通路
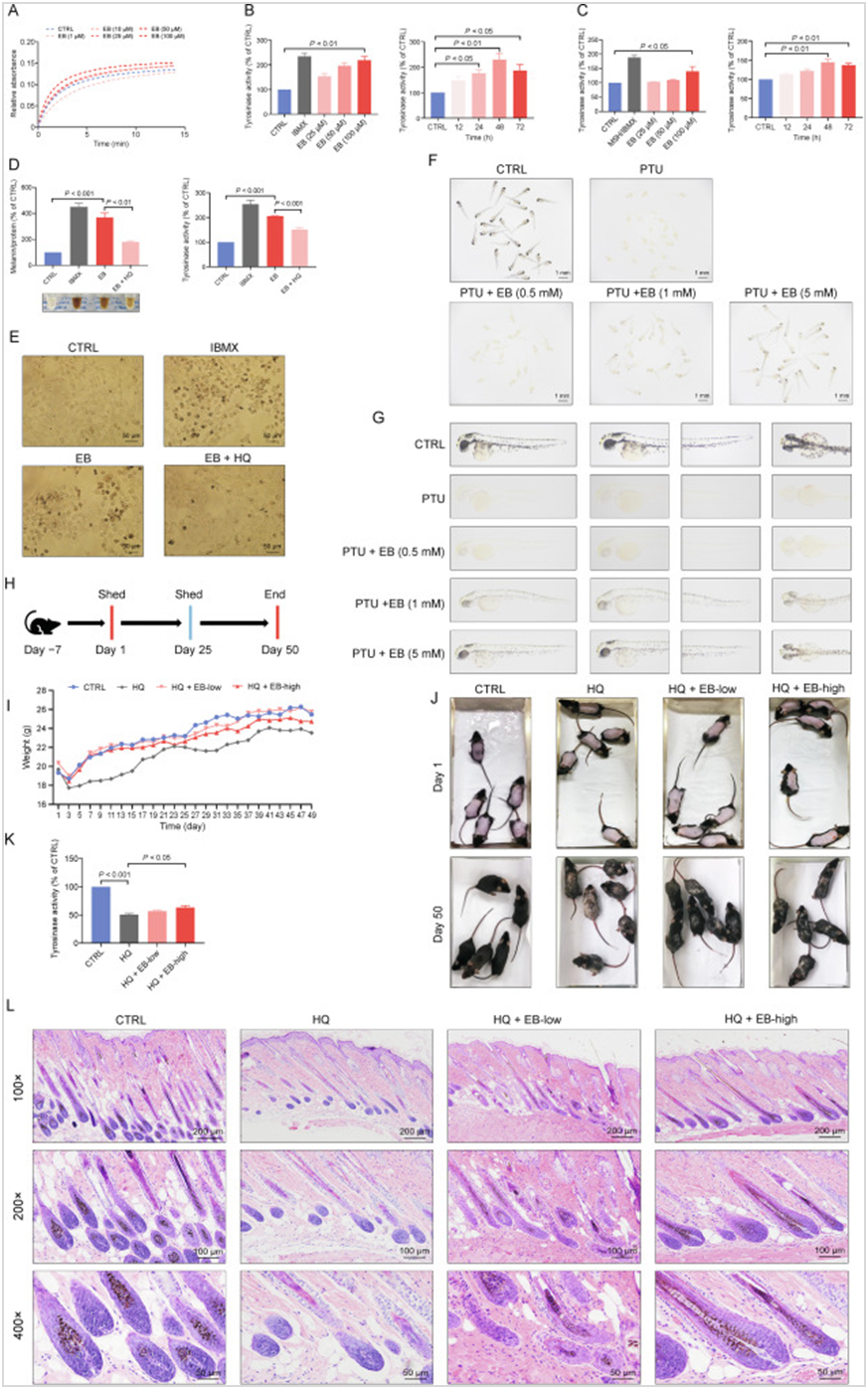
4、EB促进TYR活性
在黑色素合成中,TYR是催化限速步骤(L-酪氨酸羟基化为L-多巴)的关键酶。作者接着研究了EB对TYR催化活性的影响,发现EB体外可以加速TYR与底物左旋多巴的反应速率,在细胞内以剂量依赖性方式显著增强TYR活性。进一步在斑马鱼和小鼠中开发了两种使用TYR抑制剂的脱色模型,确定了EB可以作为TYR激活剂并在体内发挥重新色素沉着作用。此外,在HQ引起的色素脱失模型中,EB有效地重新激活了皮肤TYR活性。数据表明EB通过在体外和体内促进TYR活性来发挥色素沉着作用(图6)。
图6 EB促进TYR活性来发挥色素沉着作用
5、EB对抗莫诺苯宗诱导的色素脱失
莫诺苯宗是一种临床局部脱色剂,可以通过TYR和黑素体降解机制诱导白癜风样色素脱失。因此,作者使用单苯宗来研究EB是否发挥再色素作用并影响TYR和黑素体异常降解,发现EB显著改善了两种黑色素瘤细胞和人类原代黑素细胞中单苯宗诱导的黑色素生成功能障碍,EB治疗可有效防止培养皮肤组织中单苯宗诱导的TYR和黑素体减少。此外,经单苯宗处理后,TYR、TYRP1、DCT和Melan-A的蛋白表达降低,而在用单苯宗和EB共同处理期间,TYR和Melan-A的表达显著上调。值得注意的是,单苯酮诱导的黑素生成抑制和TYR表达减少并不依赖于TYR活性抑制或MITF、TYR、TYRP1和DCT mRNA表达水平的下降(图7)。
图7 EB对抗莫诺苯宗诱导的色素脱失
6、EB提高TYR和TYRP1稳定性
莫诺苯宗会导致TYR降解,但不影响TYR转录水平。为了研究EB是否对TYR稳定性有影响,作者使用CHX抑制蛋白质合成,以排除EB本身,诱导新的合成TYR。WB发现莫诺苯宗显著降低了TYRs的稳定性,而EB处理可以有效防止这种情况,这表明EB改善了莫诺苯宗诱导的TYRs稳定性。进一步机制研究发现EB通过防止莫诺苯宗诱导的异常TYR、TYRP1形成、在内质网中的保留以及泛素-蛋白酶体降解系统的增强来提高TYR、TYRP1稳定性(图8)。
图8 EB提高TYR和TYRP1稳定性
7、EB改善小鼠单苯酮诱导的色素脱失
最后,作者建立了40%莫诺苯宗诱导的色素脱失模型,并同时用EB处理小鼠,探讨EB是否对单苯酮处理的小鼠体内具有再色素沉着功能,结果发现用单苯酮和EB共同治疗的小鼠在不同程度上明显改善了脱色的背毛形成,此外,单苯宗对皮肤TYR活性具有抑制作用,而与EB联合治疗可以促进皮肤TYR活性,此外,TYR、TYRP1、DCT和PMEL的mRNA水平被证实不受单苯宗影响,强调单苯宗诱导的脱色与转录调控无关。同时,EB增加了皮肤TYR、TYRP1、DCT和PMEL的mRNA表达。因此,EB可以改善经单苯酮处理的C57BL/6小鼠的TYR降解和色素脱失(图9)。
图9 EB改善小鼠单苯酮诱导的色素脱失
总结
研究发现EB在体内外表现出良好的色素合成效果,其机制研究为:1)EB通过调节GSK3β/β-catenin、p-p70S6激酶、MAPK等信号通路增加TYR的表达,并增加黑素体数量和促进黑素体成熟;2)EB促进TYR的活性;3)EB抑制泛素-蛋白酶体途径增强TYR和TYRP1的稳定性。这表明EB可靶向TYRs发挥色素合成作用(图10)。
图10 EB可靶向TYRs发挥色素合成作用
参考文献
Hong C, Zhang Y, Yang L, Xu H, Cheng K, Lv Z, Chen K, Li Y, Wu H. Epimedin B exhibits pigmentation by increasing tyrosinase family proteins expression, activity, and stability. J Pharm Anal. 2024 Jan;14(1):69-85. doi: 10.1016/j.jpha.2023.09.006. Epub 2023 Sep 9. PMID: 38352950; PMCID: PMC10859565.
