张立婷教授:他汀类药物在肝癌防治中的价值与证据
点击蓝字
关注我们
前言:原发性肝癌是我国常见的恶性肿瘤之一,预后较差。近年来,多项研究发现他汀类药物能降低肝癌发生风险。近日,兰州大学第一医院张立婷教授分享了《他汀类药物在肝癌防治中的价值与证据》,现特将精彩内容整理成文,供临床医生参考。
一、背景及概述
原发性肝癌是全球第6位常见恶性肿瘤和第3位肿瘤死亡病因。2022年,全球近86.5万人患有肝癌,其中最常见类型是肝细胞癌 (HCC)(75%~85%)[1]。
原发性肝癌是目前我国第5位常见恶性肿瘤及第2位肿瘤致死病因,2022年中国肝癌新发病例36.77万,占全球新发肝癌42.5%;死亡病例31.65万,占全球肝癌死亡41.8%。中国癌症患者的5年相对生存率呈总体显著增加的趋势,从2003-2005年的30.9%提高到2019-2021年的43.7%,但肝癌5年相对生存率仅从10.1%提高到14.4%[2,3]。
二、系统抗肿瘤治疗
系统治疗取得了重大突破,免疫联合/新靶向治疗成为一线治疗新标准,我国自主研发药物也为一线治疗提供更多选择。近年来,有关他汀类药物与靶免药物联合抗HCC的研究越来越多。
三、他汀类药物抗HCC最新机制研究
1、他汀类药物的药物特点及作用机理概述
他汀类药物是羟甲基戊二酸单酰辅酶A还原酶抑制剂,通过阻断甲羟戊酸合成,抑制内源性胆固醇生物合成,降低血胆固醇水平,并能通过增加肝细胞表面低密度脂蛋白受体数量,增强低密度脂蛋白的摄取和分解代谢,降低低密度脂蛋白水平。目前主要用于治疗高胆固醇血症及预防心脑血管疾病。近年来,许多研究发现他汀类药物在抗肿瘤方面显示出独特优势。
他汀类药物抗HCC的潜在机制
2、洛伐他汀通过抑制mTORC1通路,促进EGFR和MET自噬降解,抑制HCC进展
胆固醇激活mTORC1通路,抑制Beclin1的磷酸化,而洛伐他汀之作用相反(图A和B)
洛伐他汀抑制mTORC1后通过诱导自噬降低了EGFR、MET和GOLM1的蛋白水平(图F)
洛伐他汀单药或与TKIs联合诱导EGFR、MET和GOLM1自噬,从而抑制MHCC97-H细胞中的EGFR和MET途径(图C)
洛伐他汀和TKIs的联合使用为HCC的治疗提供了一种新的思路[4]。
3、辛伐他汀通过降低HCC中TAZ的表达,抑制胆固醇-TAZ-TEAD2通路,抑制肿瘤生长
胆固醇-TAZ-TEAD2通路可以通过TAZ靶基因ANLN和Kinesin家族成员23介导促进肿瘤细胞的增殖,从而推动HCC的进程。辛伐他汀可以降低HCC中TAZ的表达、抑制肿瘤生长。此外,辛伐他汀在与其他抗肿瘤药物如索拉非尼、PD-1抑制剂或PDL-1抑制剂联合使用时,显示出更强的抗肿瘤效果[5]。
4、瑞舒伐他汀协同达沙替尼抗肝癌作用的新途径:抑制SRC/FAK信号通路
瑞舒伐他汀和达沙替尼联合使用在小鼠肝癌模型中表现出抑制肝癌细胞增殖、诱导细胞凋亡和降低血管内皮生长因子含量的作用,这可能与抑制SRC/FAK信号通路有关[6]。
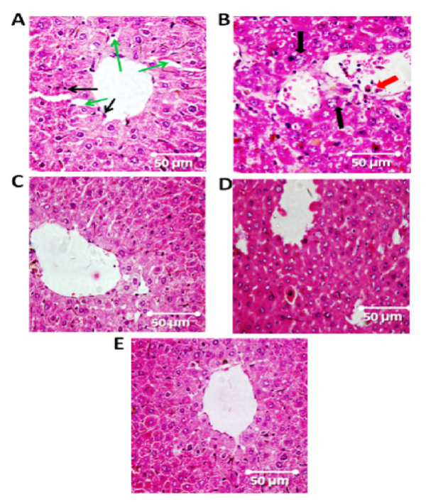
正常对照组(A)切片显示正常的肝细胞核大小。而DEN组(B)切片显示低分化肝细胞癌。达沙替尼组(C)、瑞舒伐他汀组(D)的肝脏对由DEN导致的HCC所有病理损害均有明显恢复。而ROV+DAS联合给药组(E)显示肝脏结构恢复,放射状肝细胞、中心静脉、肝细胞和核大小正常。
与其他组相比,未经处理的DEN组肝脏c-Src、p-Src/p-FAK和下游信号的浓度最高。DAS和ROV及其联合应用21天后,与DEN组相比,它们的浓度显著降低。联合用药的疗效优于单一用药。
5、阿托伐他汀、普伐他汀靶向NNMT/CD44v3轴抑制肝癌细胞的迁移侵袭
在QGY-7701和SMMC-7721细胞中,普伐他汀和阿托伐他汀均以剂量依赖的方式显著下调NNMT蛋白和mRNA水平。
活化的肝星状细胞通过上调HCC中NNMT的表达水平,诱导CD44v3剪接变异,促进HCC的侵袭和转移。阿托伐他汀、普伐他汀可以抑制HCC中NNMT[7]。
6、阿托伐他汀通过TGF-β1/pERK信号通路抑制血管生成,在HCC发展中发挥抗肿瘤作用[8]
六氯苯显著增加了接种Hep-G2细胞的裸鼠皮肤中的血管数量和血管内皮生长因子水平。阿托伐他汀可阻止血管计数和血管内皮生长因子水平的增加。
图A显示,条件培养基(Hep-G2/HCB)使Ea-hy926细胞中的pERK水平增加,而当细胞在阿托伐他汀预处理后,这种影响被有效消除。图B显示,条件培养基(Hep-G2/HCB)同样提升了Ea-hy926细胞中的pERK水平(99%,P<0.001 vs. CG),当内皮细胞用TGF-β 1抑制剂预处理时,这一影响被消除。
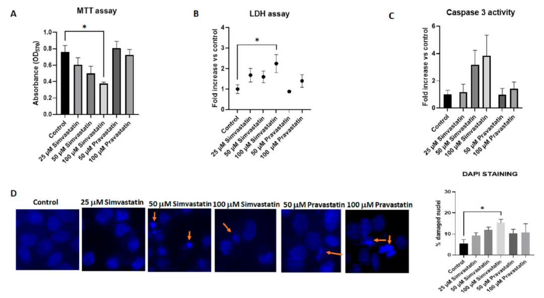
7、亲脂类药物辛伐他汀显著抑制了肝癌细胞的增殖,促进了肝癌细胞的凋亡[9]
通过检测细胞代谢活性的MTT测定法,结果显示,24小时处理后,辛伐他汀诱导的肝癌细胞活力呈现剂量依赖性下降,而普伐他汀对细胞活力无明显影响(图A)。作为细胞死亡的标志物,乳酸脱氢酶在不同处理组中不同:与对照组相比,最高浓度的辛伐他汀(100μM)诱导LDH活性增加了2.2倍,而普伐他汀治疗组的LDH释放增幅最小(图B)。辛伐他汀诱导了caspase-3活性和凋亡特征细胞数量的剂量依赖性增加(图C,图D)。
亲脂性的辛伐他汀而非亲水性的普伐他汀影响肝癌细胞毒性。
8、阿托伐他汀、瑞舒伐他汀和辛伐他汀对肝癌细胞细胞毒作用的比较研究[10]
与亲水瑞舒伐他汀相比,亲脂性他汀类药物阿托伐他汀和辛伐他汀对肝癌细胞的细胞毒作用更为显著。
小结
1、最新研究发现,他汀类药物抗HCC的主要信号通路包括:mTORC1通路、胆固醇-TAZ-TEAD2通路、SRC/FAK通路、NNMT/CD44v3轴以及TGF-β1/pERK通路。
2、其主要效应包括抑制细胞增殖、促进细胞凋亡、抑制血管生成及抑制侵袭和转移。
3、在与靶免药物联合治疗时,他汀类药物可以提高靶向药物治疗HCC的敏感性。
四、他汀类药物对HCC的预防作用
荟萃分析显示:他汀类药物显著降低HCC风险。
研究表明,他汀类药物的使用与HCC风险显著降低相关,多个亚组人群分析,包括慢性乙型病毒性肝炎(HBV)、慢性丙型肝炎(HCV)、非酒精性脂肪性肝病(NAFLD)患者,都发现了这一益处,并且这种降低风险的效果与亲脂性他汀类药物有关,与亲水性他汀类药物无显著联系[11]。
(一)病毒性肝炎相关HCC
1、他汀类药物的使用与慢性HBV感染患者HCC发展的风险降低相关[12]。
对2008年1月至2012年12月期间的7713名慢性HBV感染患者进行了回顾性队列分析,主要结局是HCC的发生。
使用他汀类药物与较低的HCC风险相关(调整HR=0.36,95%CI:0.19-0.68,调整了年龄、性别、肝硬变、糖尿病、高血压、ALT、胆固醇、HBV DNA水平、抗病毒治疗和抗血小板治疗)
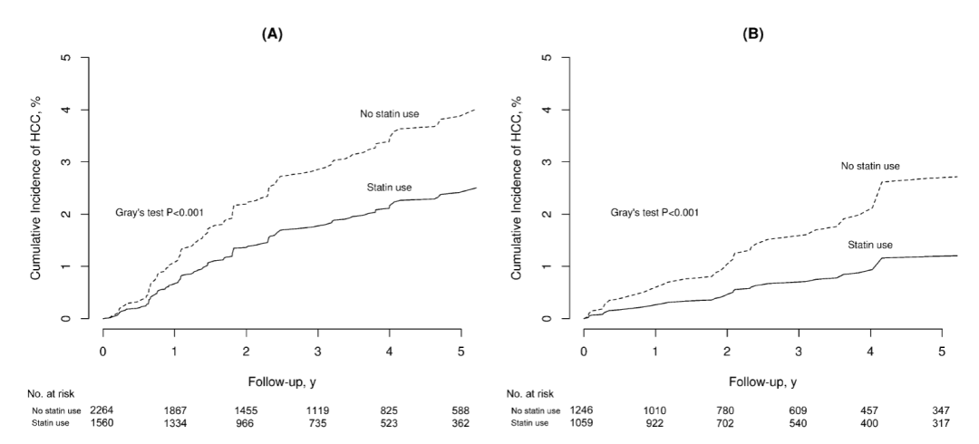
2、全国性的病毒性肝炎队列研究中,亲脂性他汀类药物与HCC发病率降低相关[13]。
与不使用他汀类药物的患者相比,使用亲脂类他汀类药物的患者的10年累积HCC发病率显著降低[8.1% VS 3.3%;调整HR:0.56;95%Cl 0.41-0.79)]。与不使用他汀类药物的患者相比,使用亲水性他汀类药物的患者的10年累积HCC发病率并未显著降低[8.0% VS 6.8%:调整HR:0.95;95%Cl 0.86-1.08)]。这些结果在单独分析HBV和HCV感染患者的队列中也得到了相似的结果。
3、他汀类药物与HBsAg血清清除的慢性乙肝患者的良好临床结局相关[14]。
收集1986-2017年间发生HBsAg血清学清除的慢性乙型肝炎患者共913名,主要结局是肝硬化/HCC,次要结果是肝脏失代偿、与肝脏相关的死亡/移植和全因死亡。在倾向评分匹配的队列中,他汀类药物使用者肝硬化/HCC风险更低,全因死亡率更低;使用他汀类药物的患者中没有出现肝脏失代偿或肝脏相关的死亡/移植。
他汀类药物与较低的肝硬化/HCC风险相关(调整HR:0.44;95%CI 为0.20-0.96);倾向评分匹配产生一致的结果(调整HR:0.30;95%CI 为0.10-0.86)。他汀类药物与降低全因死亡风险相关(调整HR:0.21;95%CI 0.08-0.53)。倾向评分匹配产生一致的结果(调整HR:0.33;95%CI 0.13-0 87)。
4、使用他汀类药物与慢性乙型或丙型肝炎透析患者发生HCC的风险降低相关[15]。
在韩国国家医疗保险数据库中,共筛选出6165名慢性乙型或丙型肝炎透析患者,主要结局是首次诊断为HCC。未使用非他汀类药物使用患者的累积HCC发病率显著高于他汀类药物使用者。
在慢性乙肝感染者中,非他汀类药物使用者的累积发病率显著高于他汀类药物使用者(P<0.001),在慢性丙型肝炎患者中也发现了类似的结果。
5、他汀类药物可能对胆固醇水平升高的慢性乙型肝炎患者具有预防HCC的作用
来自韩国国民健康保险服务数据中,筛选出2915名血清胆固醇水平升高且使用他汀类药物的慢性乙型肝炎患者,以及8,525名血清胆固醇水平升高但未使用他汀类药物的慢性乙型肝炎患者,分析了HCC发生、肝脏相关死亡率和全因死亡率。
随访期间,207名参与者发生HCC。他汀类药物使用组的HCC发病率为0.2/1000人年,非他汀类药物使用组为0.3/1000人年。他汀类药物使用组相比非他汀类药物使用组发生HCC风险下降44%。他汀类药物使用组相比非他汀类药物使用组的肝脏相关死亡率下降41%。全因死亡率两组相比无统计学意义。
对于伴有血脂升高的慢性乙型肝炎患者,应积极考虑使用他汀类药物。
6、他汀类药物可降低抗病毒治疗失败的慢性丙型肝炎患者的肝细胞癌风险[16]
纳入了T-COACH研究中抗病毒治疗失败的慢性丙型肝炎患者。通过与我国台湾地区2003年至2019年的癌症登记数据进行链接,追踪了这些患者在治疗后1.5年内HCC的发病情况。
图A:高脂血症患者的5年累积HCC发病率显著低于非高脂血症患者。(4.8% vs.12.5%, Gray’ sP<0.001)。
图B:非高脂血症患者、高脂血症他汀类药物服用者和高脂血症他汀非服用者的5年累积发病率分别为12.5%、3.8%和10.1%。高脂血症他汀类药物使用者的HCC风险显著低于非高脂血症患者,但不使用他汀类药物的高脂血症患者与使用他汀类药物的高脂血症患者之间没有差异。
在抗病毒治疗失败的情况下,对于高脂血症的慢性丙肝患者,使用他汀类药物比未使用他汀类药物HCC风险更低。(二)非酒精性脂肪性肝病相关HCC
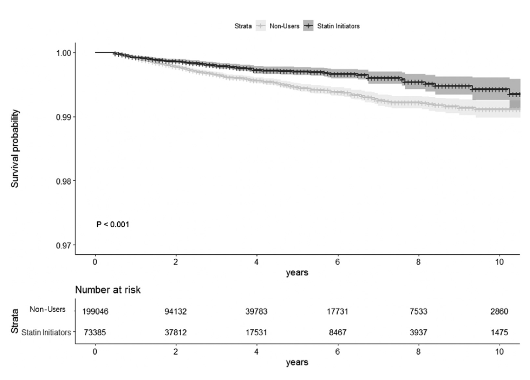
1、他汀类药物的使用与非酒精性脂肪性肝病患者发生HCC的风险降低有关[17]
他汀类药物使用者发生HCC的风险比未使用他汀类药物者低53%(HR,0.47;95%CI,0.36-0.60)。
2、在非酒精性脂肪性肝炎相关肝硬化患者中使用他汀类药物可显著降低HCC风险
使用亲脂性他汀类药物的患者HCC风险显著降低(校正HR 0.31, 95%CI 0.17-0.56),而使用亲水性他汀类药物的患者风险无显著降低,且他汀类药物累积限定剂量每增加365次,HCC风险降低23.6%[18]。
(三)HCC根治术后复发
Kaplan-Meier曲线显示(左)他汀类药物的使用与HCC患者的无复发生存期(RFS)改善相关。Kaplan-Meier曲线显示(右)他汀类药物的使用与HCC患者的总生存期(OS)无显著关联。在多因素分析中,他汀类药物的使用 (HR: 0.354;95%C1:0.210-0.599)显著降低了HCC复发的风险。
2、接受根治性肝切除的HCC患者在围术期使用他汀类药物与RFS的改善相关[20]
Kaplan Meier曲线显示,他汀类药物使用者的RFS、OS均有显著改善,但在多因素分析中,他汀类药物的使用与RFS的改善显著相关(HR, 0.42;95%C1,0.25-0.71),但与OS无关。
3、他汀类药物对肝癌切除术后预后的影响[21]
对2002年1月至2017年12月期间接受肝切除术的21470例患者的全国队列进行分析,以及对2010年1月至2018年12月期间接受肝切除术的3366例极早期或早期HCC患者的医院队列进行分析。比较他汀类药物使用者和非使用者的RFS和OS。(A)倾向评分匹配的全国队列的无复发生存率。
(B)倾向评分匹配的全国队列的总生成率。
(C)倾向评分匹配验证队列中无复发生存率。
(D)倾向评分匹配验证队列的总生成率。
在倾向评分匹配的全国队列中,他汀类药物使用者表现出更好的RFS (HR, 0.60; 95%CI,0.56-0.64) 和OS (HR, 0.49;95%CI, 0.45-0.53)。在倾向评分匹配的医院队列中验证,发现他汀类药物治疗与更好的RFS (HR, 0.73;95%CI,0.59-0.90)和OS (HR,0.48; 95%CI, 0.32-0. 72)显著相关。在以人群为基础的肝切除术后HCC患者队列中,他汀类药物的使用与更好的预后相关,这在以医院为基础的大型队列中得到了进一步验证。
4、在肝移植患者中,使用他汀类药物与HCC复发风险降低相关[22]
Kaplan-Meier曲线显示,他汀类药物使用超过1个月对预防HCC复发具有显著益处。在进行时间相关的Cox回归分析时,将维持他汀类药物治疗超过3个月的患者划分为他汀类药物治疗组。结果显示,他汀类药物治疗仍与较低的复发率显著相关(HR, 0. 32;95%CI, 0.11-0.89)。
5、他汀类药物的使用显著降低了HCC复发的风险,并改善了接受肝移植治疗的HCC患者的存活率[23]
他汀类药物的使用显著降低了HCC复发率全因死亡率、HCC相关死亡率。
(四)饮酒与HCC
1、在酒精性肝病相关肝硬化患者中,连续使用5年他汀类药物可降低HCC发生风险[24]
在使用他汀类药物治疗组中,5年的HCC发生风险为2.1%,而对照组为3.2%(左)。相对风险为0.67(95%CI:0.45-0.91)(右),连续使用他汀类药物5年可使HCC的相对风险降低33%。然而,由于观察性研究中难以避免的混杂因素存在,这可能导致可能高估这种保护作用。
2、他汀类药物的使用与酒精使用障碍(酒精成瘾)患者HCC的风险降低相关[25]
在HCC研究中,使用他汀类药物可减低60%HCC发生风险(调整HR,0.40;95%CI,0.31-0.51),这种效果呈现剂量依赖性。
(五)本团队正在进行的研究
他汀类药物与HCV相关HCC发生的关联:
收集2017年1月至2021年12月于兰州大学第一医院住院的慢性丙型病毒性肝炎患者共392例,随访至2024年7月1日,结局指标为发生HCC。
研究流程图
结果发现:共35名患者发生HCC(8.9%),其中33名患者未使用他汀类药物,2名患者使用他汀类药物。他汀类药物使用组患者累积HCC发生率为2.7%,非他汀类药物使用组累积HCC发生率为10.3%。与未使用他汀类药物的患者相比,他汀类药物使用患者累积HCC发生率更低(χ2=5.418, P=0.020)。他汀类药物使用是HCC发生的保护性因素(HR=0.21,95%CI:0.05-0.93)。因此,他汀类药物对HCV相关HCC发生可能有预防作用。
小结
1、最新的临床研究发现,在病毒性肝炎、NAFLD、HCC根治性肝切除/移植术后、酒精性肝硬化、酒精使用障碍等人群中,使用他汀类药物后可观察到HCC风险降低的效果。
2、他汀类药物预防作用与其使用剂量和使用时间呈正相关。
3、亲脂性他汀类药物的预防效果似乎优于亲水性他汀类药物。
4、然而,由于观察性研究的局限性,存在一些混杂因素影响。例如,晚期肝病患者通常较少出现高胆固醇血症,并且常规使用他汀类药物,同时在研究设计时可能没有充分考虑时变混杂因素。这些因素可能导致我们得出有利于干预措施的结论。
他汀类药物在HCC的化学预防中可能发挥重要作用,但在临床常规使用之前,仍需在随机对照试验中进行验证。
1、他汀类药物通过靶向胆固醇代谢失调及相关分子通路来发挥抗HCC作用,大部分研究表明,他汀类药物对HCC具有预防作用,并可改善预后,但也有少数研究得出了阴性结果。
2、目前纳入的研究大多数为回顾性研究,证据级别相对较低。因此在推荐使用他汀类药物进行HCC预防和治疗之前,亟需设计更加严谨的研究方案,并纳入更多来自高证据级别的RCT的证据。
3、未来,我们还应进一步探索他汀药物的种类、剂量、安全性、适用人群及其与靶免药物联合治疗的效果。
目前将他汀类药物用于HCC的防治为时尚早,但值得关注。
总
结
参考文献 向上滑动阅览
[1] Bray F, Laversanne M, Sung H, et al. Global cancer statistics 2022: GLOBOCAN estimates of incidence and mortality worldwide for 36 cancers in 185 countries [J]. CA Cancer J Clin, 2024, 74(3): 229-63.
[2] Zeng H, Chen W, Zheng R, et al. Changing cancer survival in China during 2003-15: a pooled analysis of 17 population-based cancer registries [J]. Lancet Glob Health, 2018, 6(5): e555-e67.
[3] 中华人民共和国国家卫生健康委员会医政司. 原发性肝癌诊疗指南(2024年版) [J]. 协和医学杂志, 2024, 15(3): 532-58.
[4] Shao W Q, Zhu W W, Luo M J, et al. Cholesterol suppresses GOLM1-dependent selective autophagy of RTKs in hepatocellular carcinoma [J]. Cell Rep, 2022, 39(3): 110712.
[5] Saito Y, Yin D, Kubota N, et al. A Therapeutically Targetable TAZ-TEAD2 Pathway Drives the Growth of Hepatocellular Carcinoma via ANLN and KIF23 [J]. Gastroenterology, 2023, 164(7): 1279-92.
[6] El Sayed I, Helmy M W, El-Abhar H S. Inhibition of SRC/FAK cue: A novel pathway for the synergistic effect of rosuvastatin on the anti-cancer effect of dasatinib in hepatocellular carcinoma [J]. Life Sci, 2018, 213: 248-57.
[7] Li J, You S, Zhang S, et al. Elevated N-methyltransferase expression induced by hepatic stellate cells contributes to the metastasis of hepatocellular carcinoma via regulation of the CD44v3 isoform [J]. Mol Oncol, 2019, 13(9): 1993-2009.
[8] Deza Z, Caimi G R, Noelia M, et al. Atorvastatin shows antitumor effect in hepatocellular carcinoma development by inhibiting angiogenesis via TGF-β1/pERK signaling pathway [J]. Mol Carcinog, 2023, 62(3): 398-407.
[9] Glebavičiūtė G, Vijaya A K, Preta G. Effect of Statin Lipophilicity on the Proliferation of Hepatocellular Carcinoma Cells [J]. Biology (Basel), 2024, 13(6).
[10] Dautović E, Rustemović-Čorbić M, Srabović N, et al. Some pleiotropic effects of statins on hepatocellular carcinoma cells: Comparative study on atorvastatin, rosuvastatin and simvastatin [J]. Adv Med Sci, 2023, 68(2): 258-64.
[11] Zeng R W, Yong J N, Tan D J H, et al. Meta-analysis: Chemoprevention of hepatocellular carcinoma with statins, aspirin and metformin [J]. Aliment Pharmacol Ther, 2023, 57(6): 600-9.
[12] Goh M J, Sinn D H, Kim S, et al. Statin Use and the Risk of Hepatocellular Carcinoma in Patients With Chronic Hepatitis B [J]. Hepatology, 2020, 71(6): 2023-32.
[13] Simon T G, Duberg A S, Aleman S, et al. Lipophilic Statins and Risk for Hepatocellular Carcinoma and Death in Patients With Chronic Viral Hepatitis: Results From a Nationwide Swedish Population [J]. Ann Intern Med, 2019, 171(5): 318-27.
[14] Cheung K S, Mak L Y, Lam L K, et al. Statins associate with better clinical outcomes in chronic hepatitis B patients with HBsAg seroclearance [J]. Hepatol Int, 2021, 15(4): 881-91.
[15] Kim H W, Joo Y S, Kang S C, et al. Association of statin treatment with hepatocellular carcinoma risk in end-stage kidney disease patients with chronic viral hepatitis [J]. Sci Rep, 2022, 12(1): 10807.
[16] Tsai P C, Huang C F, Yeh M L, et al. Metformin and statins reduce hepatocellular carcinoma risk in chronic hepatitis C patients with failed antiviral therapy [J]. Clin Mol Hepatol, 2024, 30(3): 468-86.
[17] Zou B, Odden M C, Nguyen M H. Statin Use and Reduced Hepatocellular Carcinoma Risk in Patients With Nonalcoholic Fatty Liver Disease [J]. Clin Gastroenterol Hepatol, 2023, 21(2): 435-44.e6.
[18] Pinyopornpanish K, Al-Yaman W, Butler R S, et al. Chemopreventive Effect of Statin on Hepatocellular Carcinoma in Patients With Nonalcoholic Steatohepatitis Cirrhosis [J]. Am J Gastroenterol, 2021, 116(11): 2258-69.
[19] Yang S Y, Wang C C, Chen K D, et al. Statin use is associated with a lower risk of recurrence after curative resection in BCLC stage 0-A hepatocellular carcinoma [J]. BMC Cancer, 2021, 21(1): 70.
[20] Nishio T, Taura K, Nakamura N, et al. Impact of statin use on the prognosis of patients with hepatocellular carcinoma undergoing liver resection: a subgroup analysis of patients without chronic hepatitis viral infection [J]. Surgery, 2018, 163(2): 264-9.
[21] Jeon D, Cha H R, Chung S W, et al. Association between statin use and the prognosis of hepatocellular carcinoma after resection: a nationwide cohort study [J]. EClinicalMedicine, 2023, 65: 102300.
[22] Cho Y, Kim M S, Nam C M, et al. Statin Use is Associated with Decreased Hepatocellular Carcinoma Recurrence in Liver Transplant Patients [J]. Sci Rep, 2019, 9(1): 1467.
[23] Lee H L, Lee S W, Jang J W, et al. Anticancer Effect of Statins in Patients Undergoing Liver Transplantation for Hepatocellular Carcinoma [J]. Liver Transpl, 2022, 28(3): 397-406.
[24] Kraglund F, Christensen D H, Eiset A H, et al. Effects of statins and aspirin on HCC risk in alcohol-related cirrhosis: nationwide emulated trials [J]. Hepatol Commun, 2023, 7(1): e0013.
[25] Chiu W C, Shan J C, Yang Y H, et al. Statins and the risks of decompensated liver cirrhosis and hepatocellular carcinoma determined in patients with alcohol use disorder [J]. Drug Alcohol Depend, 2021, 228: 109096.
张立婷 教授
兰州大学第一医院
▪博士、主任医师、兰州大学教授 、硕士研究生导师
▪兰州大学第一医院副院长、东岗院区院长
▪兰州大学第一医院门脉高压研究所(中心)所长(主任)
▪中华医学会肝病学分会终末期肝病及营养再生医学学组;肝纤维化、肝硬化学组;遗传代谢性肝病协作组全国委员
▪中华医学会感染病学分会全国肝衰竭与人工肝学组常委
▪甘肃省医学会肝病专业委员会副主任委员;甘肃省中西医结合学会副会长等
▪《中华临床感染病杂志》、《临床肝胆杂志》、《肝脏病杂志》、兰州大学学报医学版编委等
(来源:肝癌在线)
声明:本文仅供医疗卫生专业人士了解最新医药资讯参考使用,不代表本平台观点。该信息不能以任何方式取代专业的医疗指导,也不应被视为诊疗建议,如果该信息被用于资讯以外的目的,本站及作者不承担相关责任。
