【科普】孩子突然腿疼跛行——儿童髋关节滑膜炎?
孩子们活泼好动,总在奔跑中探索这个奇妙的世界。然而,生活中总有些小插曲,让小家伙们不得不暂时停下脚步。其中之一就是儿童髋关节滑膜炎。了解儿童髋关节滑膜炎的超声检查,对于及时发现、诊断和治疗具有重要意义。
一、什么是儿童髋关节滑膜炎?
儿童髋关节滑膜炎,也被称为一过性髋关节滑膜炎或暂时性髋关节滑膜炎,是儿童髋关节部位的一种常见病,是指髋关节内的滑膜发生炎症,导致关节积液、肿胀和疼痛的一种自限性疾病。多为单侧发病,起病急,及时发现并治疗,预后良好。
二、儿童髋关节滑膜炎的病因
该病的发病原因是由于髋关节部位的滑膜组织出现炎症反应,主要病理改变是患侧髋关节囊滑膜充血、水肿及炎性细胞浸润,渗出增多时关节间隙增宽,前隐窝处积液尤为明显,但关节软骨与骨结构未见异常。
常见病因包括髋关节损伤、病毒感染、自身免疫性疾病等。
三、儿童髋关节滑膜炎的症状[1]
1. 疼痛:患侧髋关节出现明显的疼痛感,患儿常表现为行走困难、跛行等。
2. 肿胀:患侧髋关节周围软组织肿胀,触摸时可能有明显的热感。
3. 活动受限:患侧髋关节活动范围减小,运动能力下降。
4. 其他症状:部分患儿可能出现发热、食欲不振等全身症状。
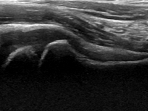
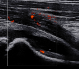
四、超声检查在儿童髋关节滑膜炎中的应用[2]
超声检查是一种无创、无辐射的检查方法,对于儿童髋关节滑膜炎的诊断具有重要价值。通过超声检查,可以观察到髋关节内的积液情况、滑膜的厚度以及关节周围组织的病变情况,为临床诊断提供依据。
五、超声检查的优点与注意事项
优点:
1. 无创、无辐射,对患儿无损伤。
2. 操作简便,检查时间短。
3. 能够观察关节内积液、滑膜厚度和形态等细节,为诊断提供依据。
注意事项:
1. 检查时需保持患儿安静,避免过度活动髋关节。
2. 对于积液较多的患儿,可在超声引导下进行关节穿刺,以减轻关节肿胀和疼痛。
3. 结合其他检查方法,如X线、MRI等,以提高诊断准确性。
六、科学应对儿童髋关节滑膜炎[3]
当发现孩子出现上述症状时,可先给予患肢冷敷、热敷等物理治疗,有助于减轻患处疼痛和肿胀,患侧肢体应进行适当制动,避免过度活动,家长应立即带孩子就医,进行相关检查以明确诊断。
儿童髋关节滑膜炎是一种常见的儿童骨科疾病,通过超声检查可以辅助诊断,只要家长及时发现、科学治疗和精心护理,孩子很快就能康复。在此过程中,家长要给予孩子充分的关爱与支持,帮助孩子树立信心,积极配合治疗。同时,加强预防措施,提高孩子的身体素质,降低疾病的发生率。
参考文献:
[1] 肖雪晶; 石美荣; 林荣; 郑丽英 .高频超声对儿童髋关节滑膜炎诊断价值研究.医药前沿.2017.7(15):62-64
[2] 周钰菡;肖欢;唐毅;杨春江;周娟;朱丽容;徐娟;牟芳婷 .超声对儿童髋关节暂时性滑膜炎的诊断价值.中华医学超声杂志(电子版).2023.20(8):795-800
[3] 高丽萍 .儿童突然腿疼跛行警惕髋关节滑膜炎.家庭医学:下半月.2023(5):34-34
影像科
沙坪坝区妇幼保健院影像科下设超声科、放射科及心电图室,完成日常门诊及住院患者检查工作,同时还承担重大公共卫生及基本公共卫生检查任务,以及对区内一级医院妇产超声医生的培训业务及技术指导。科室拥有医护人员12名,医生7名,其中副高职称1名, 主治医师5名 。科室配备来自美国、韩国的高档专业妇产机机器VOLUSON GE E8、E6、三星WS80A、DR等多台高档仪器,采用全数字化PACS系统,在线存储大量的病例。
开展胎儿畸形筛查、产科超声、妇科超声、新生儿及小儿心脏、颅脑、髋关节、肝胆胰脾肾输尿管膀胱等腹部超声。成人开展了腹部、心血管、乳腺、甲状腺等小器官常规超声检查。
【科室特色项目】
>妇科:妇科常规开展经腹、经阴道、经会阴、经直肠等多种途径的妇科超声检查,妇科还开展三维超声、可进行子宫先天畸形的诊断、女性盆底功能障碍的诊断。进行子宫输卵管超声造影检查。
>产科:产科超声常规开展项目有11 ~ 13+ 6孕周NT 超声检查、I级产科超声、II级产科超声、III级产科超声、高危妊娠超声监测等,为广大产妇提供全孕周期超声检查服务。特别是III级产科超声检查(即中孕大排畸检查)在本区域内率先开展,为科室特色检查项目。
>儿科:小儿发育性髋关节发育不良(DDH)是小儿骨科最常见的发育性疾病之一,是导致儿童髋关节畸形的主要原因,早发现,早治疗是治愈DDH的关键。我科在重庆市内率先开展Graf教授的髋关节超声检查法,已开展婴幼儿髋关节超声检查10余年,工作量达量达4万余例,发现数例异常小儿,到达早发现、早诊断、早治疗的目的。
专家介绍
杨晓琴
主治医师
影像科副主任
重庆市妇幼卫生学会超声诊断与介入治疗专委委员,重庆市沙坪坝区医学会超声医学专业委员会副主任委员,重庆市沙坪坝区优秀青年医师。
从事超声诊断工作近20年,主持开展胎儿系统超声、胎儿四维超声、胎儿NT超声检查、小儿髋关节超声检查、盆底超声、子宫输卵管超声造影、子宫内膜容受性超声检查、产后超声等新技术8项,发表科研论文3篇。
擅长产科、妇科以及儿科常见病的超声诊断,尤其对胎儿产前超声诊断、胎儿心脏超声、妇科疑难疾病、盆底超声及小儿髋关节超声有独到见解。
| 编辑:郑迪、刘一蒙
| 责编:李代琴
| 总编辑:骆蕾
| 免责声明:图片来自网络及各大主流媒体,版权归原作者所有。如认为内容侵权,请联系我们删除。
