膝关节疼,到底是滑膜炎,骨质增生,关节积液,还是关节炎?
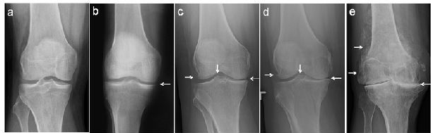
经常会遇到有人发现自己关节疼、肿,到医院拍片,诊断为滑膜炎(图1a,1b)、骨质增生(图1c,1d,1e),还有诊断为关节炎的(图1d,1e)。那到底是那种病?我们对这几种病名分别了解一下。
图1.膝关节的各种X线拍片表现
滑膜炎、关节内积液(关节内积水)
关节肿胀、疼痛、行走困难。到医院一拍片子,关节骨质未见明显异常,常被诊断为滑膜炎。
滑膜为什么发炎了?有很多原因。
1.感染性滑膜炎
病菌感染关节可以引起感染性滑膜炎。这种病现在少见,一般多见于抵抗力低的小孩。受累关节表面发红、肿胀、发热、疼痛。患者血象高(白细胞计数、中性粒细胞百分比高)。感染性滑膜炎可以通过查血,抽取关节液做病菌培养确诊。治疗一般采取限制疼痛关节活动,静脉输注抗生素的方法。
2.风湿免疫病类滑膜炎
还有一类不是由病菌感染引起的非感染性滑膜炎 ,包括风湿性关节炎、类风湿性关节炎、强直性脊柱炎、反应性关节炎以及痛风性关节炎等疾病。这类无菌性炎症造成的滑膜炎也存在受累关节肿胀、疼痛,但通常会有多个关节受累及,而且受累关节一般热度不高,轻度发红或不发红。查血象一般不高,但会有血沉(ESR)和C反应蛋白(CRP)增高;进一步检查抗O(ASO),类风湿因子(RHF),抗CCP(环瓜氨酸肽)抗体、HLA-B27抗体,血、尿酸检查会揭示出这类无菌性滑膜炎的确切病因。
3.关节软骨损伤继发的滑膜炎
还有一类滑膜炎,是由于反复、大量活动引起的关节软骨损伤、发炎。其中一部分人在就诊之前有各种各样造成关节损伤的原因,常见的有:长距离骑自行车、爬山、旅游、学生体育考试前准备、过度锻炼、走长路,等。从关节面磨损下来的关节碎屑刺激滑膜,引起滑膜增生,分泌关节液,引起关节疼痛、肿胀,形成滑膜炎(图2B)。这种是关节软骨损伤继发的滑膜炎 ,多见于中青年。
图2A.正常的关节:可见关节面软骨(轮胎表面)和半月板(垫片)
图2B.关节软骨损伤继发滑膜炎。过度活动、退变导致关节面软骨损伤(a),产生碎屑(b);碎屑刺激关节腔滑膜,滑膜增生变厚,分泌滑液,关节积液,导致滑膜炎(c)
4.退行性骨关节炎伴发的滑膜炎
另一部分是因为年龄增大,关节面逐渐磨损,关节疼痛、积液形成退行性骨关节炎伴发的滑膜炎(图3),这种多见于中老年。
图3. 骨关节炎(Osteoarthritis,OA)伴发滑膜炎
a.关节镜下所见的正常关节软骨;b.骨关节炎病理表现示意图;c.骨关节炎关节镜下所见:关节软骨缺损,软骨下骨暴露;d.磁共振显示关节面软骨缺损,关节腔积液,滑膜增生,提示存在滑膜炎。
从上可见,关节软骨磨损,骨关节炎就会继发滑膜炎。因为在常规X线片上无法观察到明显的关节周围骨质增生(骨赘、骨刺形成),或关节间隙变窄(图1c,1d,1e),因此被称之为滑膜炎。
这种滑膜炎常由过度活动或年龄增大关节退变引起,因此首要的预防与治疗方式就是适当、适量活动。
本文由壹伴编辑器提供技术支
治 疗
1.滑膜炎急性发作期要限制活动,减少活动量,有条件时在家休息。
2.采取理疗,热敷,外敷膏药—氟比洛芬凝胶贴膏(泽普思)/氟比洛芬巴布膏(得百安)(图4)等膏药,以及口服非甾体类抗炎药(塞来昔布,依托考昔,等)来减轻炎症症状。
图4.氟比洛芬凝胶贴膏:泽普思
3.可以佩戴支具(护膝-图5、护踝)限制患有滑膜炎的关节的活动,但每天得松开支具充分活动开关节数次以避免关节僵硬。
图5.护膝(支具)
4.滑膜炎减退期,逐渐加强患有滑膜炎关节的活动量。
5.为增强关节骨质,可以服用骨化三醇(罗盖全,等),或维生素D复合钙剂(钙尔奇D600,迪巧钙,等)。
关节内积液(积水)
1.关节内为什么会积液(积水)?
关节软骨损伤、磨损会掉下来小的碎屑,这些碎屑会刺激关节滑膜增生,分泌滑液(关节液),引起关节内积液(积水),关节肿胀。
2.关节穿刺、抽液(抽水)有用吗?
关节滑膜受刺激,分泌产生滑液,会使关节肿胀,不适,行走困难。穿刺抽取滑液可减轻关节内部的张力,使关节肿胀、不适的感觉缓解。但是不久以后关节滑膜分泌的滑液又会使关节肿胀,因此穿刺抽液意义不大。只有关节内炎症缓解,滑膜分泌滑液减少,关节内积液才会逐渐吸收、减少。
3.关节打封闭有效吗?
所谓的关节封闭,一般是向关节周围痛点或关节腔内注射局麻药和激素。当时的效果是很明显的。向关节腔内注射激素,是国际上被认可的退行性骨关节炎(degenerative osteoarthiritis)的一种治疗方法。但,必须保持无菌操作!不注意严格无菌操作的反复关节穿刺抽积液会导致关节腔感染,形成化脓性关节炎,很难治愈。
骨质增生(骨刺))
患者关节肿痛,拍片子后看到报告单上描述的骨质增生,同时观察到X线片上关节(股骨或胫骨)周缘或髁间棘处增生的骨质(图1c,1d,1e左侧和中间白箭头),就断定自己得了骨质增生(有了骨刺)。
其实,骨质增生只是对关节内骨赘形成这一病变形态的描述,根本就不是一个诊断。因为这一描述无法确切的说明发病原因,因而进一步的治疗也就无从下手。打个比方,就像说某人个子高了,我们并没有办法知道这个人的个子高到什么程度了,也无法知道她(他)的个子为什么高了。既然无法确切的诊断关节肿痛的原因,治疗也就无从谈起。
关节炎
从前面我们可以知道,过度活动或年龄增大会造成关节磨损。轻度的关节损伤会造成滑膜炎;重度的关节损伤或年龄增大造成关节磨损会导致退行性骨关节炎,也就是常说的关节炎(图1c,1d,1e)。
关节磨损了,怎么办?
█1.第一得省着用,即适当、适量活动。年纪大的人锻炼对增强心、肺功能,降低血糖、血脂好,但费关节。
适当的活动包括马步静蹲(不是上上下下的起来下去)、健身操、慢跑、低强度的游泳以及广场舞;严禁爬山、爬楼梯或远距离穿越。适量即出汗就可以停止,半小时就够了。这样既可以发挥锻炼的好处,又可以避免伤关节。
█2.减轻体重--体重较大的,可考虑适当减轻体重以减轻关节的压力和磨损。
█3.配带护具(护膝或护踝),可以起到保暖和体外韧带装置的保护作用。
█4.可以补充活性维生素D制剂(骨化三醇,罗盖全,等)和维生素D-钙复合制剂(钙尔奇D600,迪巧钙,等)以增强软骨下骨质,保护关节面。
█5.服用氨基葡萄糖(Schiff Move Free-旭福维骨力,可选择红色标签的基础版,见图6; 或 伊索佳,等)(相当于吃啥补啥),或关节内注射透明质酸钠(玻璃酸钠,阿尔治-图7;施沛特,等)(相当于给关节内搞油),以增加关节软骨修复的营养来源。
图6.氨基葡萄糖:Schiff Move Free, 旭福维骨力
图7透明质酸钠(玻璃酸钠):阿尔治
█6.理疗,毛巾热敷,外敷红花油,按摩均可以起到促进局部血液循环,促进关节修复,减轻症状的作用。通则不痛。
█7.疼痛时可以外敷膏药—氟比洛芬凝胶贴膏(泽普思-图4)、氟比洛芬巴布膏(得百安)等膏药,口服非甾体类抗炎药(塞来昔布,依托考昔,等)和有活血化瘀功效的中成药(筋骨痛消丸、复方三七片,等)来减轻症状。
█8.对于关节内软骨剥脱形成游离体,以及半月板撕裂产生卡压、交锁症状的患者可以考虑膝关节镜下清理游离体(图8)和增生的滑膜组织,或镜下微创缝合损伤撕裂的半月板(图9)。前(后)交叉韧带断裂的可行关节镜下的韧带重建手术(图10)。
图8.膝关节镜清理游离体
图9.关节镜下半月板撕裂缝合手术(a.关节镜下所见撕裂的半月板;b.磁共振显示的半月板撕裂;c.半月板缝合示意图;d.关节镜下缝合撕裂的半月板)
图10.关节镜下前交叉韧带重建手术。(a.正常的前交叉韧带;b.常见损伤;c.损伤机制;d.断裂的前交叉韧带;e.重建示意图;f.磁共振显示重建完成的前交叉韧带。
█9.对于晚上疼痛,难以入睡;以及因为关节疼痛无法出门,生活质量极差的骨关节炎患者(图1e)可以考虑关节置换(图11)。
图11.膝关节表面置换
编辑:朱尔曼
审核:王 睿
- End -
