小儿髋关节一过性滑膜炎——宝宝腿痛的罪魁祸首
前一天还活蹦乱跳的宝宝第二天突然嚷嚷腿痛,甚至不能下地走路了!这在小儿骨科门诊屡见不鲜,其中一大部分小儿突发腿痛的罪魁祸首就是髋关节一过性滑膜炎。
定义
髋关节一过性滑膜炎(transient synovitis of hip,TSH)又称为急性髋关节暂时性滑膜炎(acute temporary synovitis of the hip)、毒性滑膜炎、过敏性髋等,中医俗称"长腿风"。
病因
目前研究认为该病发病原因可能与病毒感染、创伤、细菌感染及变态反应(过敏反应)有关。是感染后某种毒素或其他物质刺激关节囊里面的滑膜发生的无菌性炎症。起病或急或慢。已知的原因按引起的频率由高到低排列首先为上呼吸道感染,特别是起病前半个月左右时间的上呼吸道感染;其次常见于患儿发病前有较大的活动量,由于小儿股骨头发育尚不成熟,关节囊较松弛,下肢一旦过度外展,或由高处向下跳跃,或走路不稳造成下肢外展位扭伤,或过度跑跳劳累使关节囊受到抻伤,或关节囊被挤压等均可引起髋关节滑膜炎。
临床症状
本病好发于3-10岁的儿童,其中以男孩较常见,大多数患儿发病突然。发病高峰3~6岁,右髋多于左髋,双侧髋关节发病的少见。如果是急性损伤,则伤后立即出现髋关节疼痛,有时可出现髋关节前侧的软组织轻微肿胀,行走困难,但也有些患儿在伤后仅仅是感觉到患肢不适,走路跛行,2~3天后患肢疼痛逐渐加重,走路时其跛行也愈来愈严重。活动时疼痛加剧,由于疼痛所致,患儿骨盆常常向患侧倾斜,患侧下肢稍长。少数患儿合并有低烧。其压痛点大多数在患侧腹股沟处,或后侧梨状肌处.或患肢内收肌处。
诊断
该病的临床诊断既往主要依靠临床表现及骨盆平片检查,但常规X线检查对关节间隙变化的显示并不明显,骨盆平片检查正常,诊断价值有限。随着高频超声的发展,对小儿髋关节周围软组织及关节腔的显示越来越来清晰,可明确诊断小儿一过性滑膜炎。
超声表现
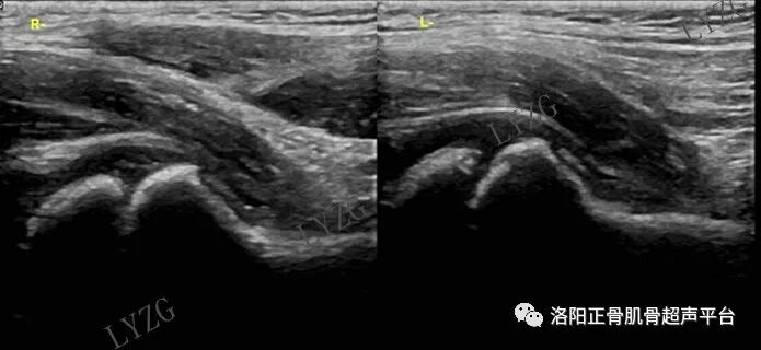
小儿正常髋关节超声表现
双侧髋关节前隐窝内均可见小于2mm的滑液
双侧髋关节前隐窝内均可见细带状滑液
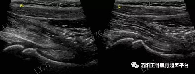
小儿髋关节滑膜炎超声表现
左侧髋关节前隐窝内积液并滑膜增生(呈不规则条带状)
右侧髋关节前隐窝内积液并滑膜增生(呈不规则团块状)
双侧对比,右髋关节前隐窝内未见大于2mm积液,左髋关节前隐窝内积液并可见丝带状滑膜增生
左髋关节前隐窝内及股骨头前方关节腔内均可见积液并可见少量团块状滑膜增生
双侧对比,右髋关节前隐窝内团声状中等回声增生滑膜,未见明显积液;左髋关节前隐窝内未见明显积液及滑膜增生
左髋关节前隐窝内积液并滑膜增生(呈条带状)
双侧对比,右髋前隐窝内积液,未见明显滑膜增生;左髋关节前隐窝内未见大于2mm积液,未见明显滑膜增生
治疗
目前对于小孩儿一过性髋关节滑膜炎的治疗一般采用卧床休息,避免负重。髋关节滑膜炎应卧床免负重直到患儿髋关节疼痛消失,活动范围恢复正常为止(3~7天)。有的医生建议在症状消失后再休息一段时间(7~10天)。对于症状明显,活动受限严重的患儿,可行下肢皮牵引。其他的方法如局部理疗、外敷活血化瘀中药等,中医尚有手法治疗。以减轻髋关节压力为主要目的,防止长期压力过大出现股骨头供血问题。
预后
绝大多数患儿预后良好,不留后遗症,极少数患儿日后可能发生股骨头无菌性坏死,因此,要注意复查和随访。
