为什么牙疼并不能吃消炎药!
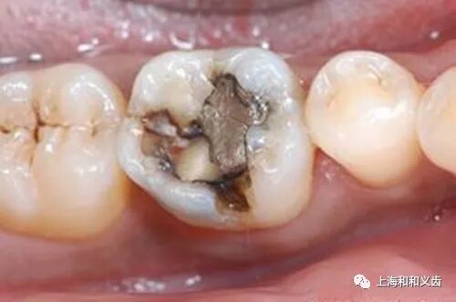
有些朋友牙疼害怕去看牙医,拖着蛀牙不去治疗,结果只吃消炎药,吃了一阵子确实好了很多,可是你不知道这并没有用,反而牙洞变得越深,感觉连牙根都疼,为什么不能吃消炎药?
一般消炎药只作为辅助治疗,并不能彻底治疗牙神经的炎症,当蛀牙引起的牙髓炎复发时,伴有剧烈疼痛,这种情况吃药并没有作用,因为只有少量药物才能通过细小的根尖孔才能到达,大部分消炎药都被全身吸收,即使牙痛吃消炎药是解决不了蛀牙问题。
1、如果消炎药真的一无是处,那还吃干嘛?
并不能这样说,遇到根尖周炎,说明细菌已经入侵根尖部位,刚开始炎症会有点肿,牙齿位置感觉高了,一咬合立马疼到受不了,你可以看到肿痛范围比较小,对于早期炎症这时候消炎药派上用场,服用抗生素等药物效果还是比较明显。
2、面对半夜牙疼,快速止痛才是关键!
第一,按揉合谷穴
很简单,用你的大拇指按着合谷穴,其余四指放在手掌心作为力量支撑,拇指慢慢控制力量从弱到强趋势,按住后1分钟左右即可。
第二,按压曲池穴
全身放松,曲池穴按压10秒后,再重复按压20次左右,上下颌牙齿疼痛会逐渐缓解。
第三,冷敷
装袋冰水捂住肿痛部位,半个小时后疼痛感减弱。
第四,洋葱
切一片洋葱放在牙痛位置,能缓解几个小时的牙痛。
第五,含着盐水
含在嘴里5分钟,立马缓解痛感。
说再多止痛方法也没有用,单纯吃消炎药并不靠谱,根治牙髓炎就得抽掉牙神经,局部麻醉下做根管治疗,长痛不如短痛吧!不要再受牙痛折磨了。
本文为网易自媒体平台网易号作者上传并发布,仅代表该作者观点。转载仅作分享之用,如涉及侵权请告知,本平台会及时做出处理。
=================================
☞锐意进取 勇于探索
☞公司电话:021-66129688
☞公司地址:上海市宝山区振园路128号
