此藓(xiǎn)非彼“癣(xuǎn)”,口腔里长的“苔藓”,你认识吗?
说起癣(xuǎn),
大家可能首先想到的是手足癣、股癣
这些由真菌感染引起的皮肤病。
但当医生说你长了口腔扁平苔藓时,
是不是就有些懵?
别急,此藓(xiǎn)非彼癣(xuǎn)
也非真的苔藓
今天咱们就来聊聊
口腔扁平苔藓这个腔黏膜疾病。
本文指导医生
乐从医院口腔科副主任医师 张琪乐
口腔扁平苔藓:一种慢性炎性疾病
口腔扁平苔藓,其实是一种常见的口腔黏膜慢性炎性疾病,患病率为0.5%~2%。它特别偏爱中年人群,且女性患者多于男性。
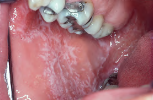
口腔扁平苔藓可发生于口腔黏膜的任何部位,常多个部位同时发生,以颊部最为常见,其次为舌、唇、牙龈、腭部等,大多左右对称。
主要表现为小疹子连成的线状白色、灰白色花纹,看起来确实有点像苔藓,但其实只是病损的一种表现形式。
患者可能会有局部黏膜粗糙感、烧灼感。当吃辛辣、热、酸、咸味食物时,可能会感到局部灼痛。除口腔黏膜表现外,口腔扁平苔藓还可累及皮肤、生殖器黏膜及指甲、趾甲。
▲ 口腔扁平苔藓典型表现
扁平苔藓在皮肤上的表现
病因复杂:多因素交织的谜团
癣,是真菌感染引起的,会传染,皮肤上会出现红斑、水疱等,显微镜下还能看到真菌的身影。
而口腔扁平苔藓呢,它并非由真菌感染引起,而是一种与自身免疫相关的疾病。
它的病程多呈慢性迁延反复波动过程,可持续数月至数年,甚至数十年或更长,亦可间歇发作,并有较长的缓解期。
不过口腔扁平苔藓是门诊较为常见的口腔黏膜疾病,但它的病因和发病机制目前尚不明确。
可能与免疫因素、精神因素、内分泌因素、感染因素等多种致病因素有关,甚至有报道发现扁平苔藓与糖尿病、肝炎、高血压、消化功能紊乱、心血管药物的使用有关。
治疗策略:对症下药+综合管理
因此,口腔扁平苔藓治疗的主要目的是对症治疗,如促进糜烂病损的愈合、缓解疼痛和其他不适症状、防止癌变。
可通过全身治疗(免疫调节剂、中医药)、局部治疗(去除局部刺激因素、肾上腺皮质激素局部用药)、心理治疗及调整饮食作息习惯、定期复诊来控制和缓解病情。
无症状扁平苔藓不需要治疗,仅需以预防作为重点,定期复诊,保持口腔卫生,去除口腔内残根残冠,以及不良修复体等局部刺激,预防治疗全身疾病,防止日常精神压力过大。
一旦症状明显,患者需及时就医,接受综合治疗。医生会根据患者的发病过程、自觉症状、治疗经过以及消化道感染情况等因素,找出诱因并制定个性化的治疗方案。
温馨提示
最后要提醒大家,虽然口腔扁平苔藓大多是良性的,但WHO将口腔扁平苔藓归为口腔潜在恶性疾患,其癌变率为0.44%~2.28%,长期充血糜烂溃疡不愈的病损有癌变的可能。
因此,患者需定期复诊、严密追踪观察病情。如有必要,医生可能会建议进行活检以明确诊断,确保患者的健康安全。
文章 | 口腔科 张琪乐
编辑 | 何婉仪
初审 | 劳燕如
审核 | 何淑华
终审 | 余南生
*部分文字及图片来源于网络等公开渠道,感谢支持用于健康科普。如有侵权,请联系删除。
