【孕校素材】小儿支原体肺炎看似用药简单,但要提高治疗效果,家长需做好3点
田老师指导
家长们如临大敌,各种崩溃,咳嗽越来越凶,怎么也停不下来;发热、恶心呕吐、肚子痛、甚至出皮疹、皮下结节等等,基于今年儿童呼吸道疾病中发病率最高的小儿支原体肺炎,今天来说说此病的发病原理、临床症状特征、诊断方法等。家长在家庭治疗中,用药、护理、预后存在问题越来越突出,也有许多误区,在这里我们也给家长做解释。此素材可用于新生儿护理训练营、新手父母训练!教会新手爸妈必须掌握的知识,此类课程能突显医教结合的特色,是新手父母照顾宝宝最实用的课程,也是真正体现人文关怀的课程,配合家长学校开展也不错!!
正值冬季,孩子能经得起这一轮轮的呼吸道感染吗?
所谓高峰期没完没了,新冠病毒还在与人类消磨中,屋漏偏逢连夜雨,我们的孩子们本来免疫力就不及成年人,感冒、鼻炎、咽喉炎、支气管炎和肺炎;现在支原体肺炎又不期而遇,按照此病3~5年一个周期的流行趋势,它真的来了……
支原体是什么病?我家孩子跟撞大运似的,只要啥病流行,他准要中招?
我家宝宝起先是感冒,怎么几天不注意就咳嗽出来了,是感冒拖成了支原体肺炎吗?
孩子咳嗽快一个月了,支原体肺炎怎么那么难治啊,这药要吃到什么时候?孩子何时能上学?
现实的确比较骨感,一提到孩子的支原体肺炎,家长就开始发愁、焦虑;担心为什么感染率强、不易诊断、难治、咳嗽持续时间长。兵来将挡、水来土掩,见招拆招;今天我们按照肺炎支原体感染特征及多年临床经验,对支原体肺炎的临床特征、治疗方法、防护措施,进行梳理。
支原体是什么?肺炎支原体≠支原体肺炎,为什么?
平时,家长们最耳热的就是病毒、细菌这样的名词,对支原体了解并不是很多,其实支原体也是一类微生物,包括肺炎支原体、溶脲脲原体、人型支原体、生殖器支原体等等。
◆支原体:是一种无细胞壁的、真核、介于细菌和病毒之间的一类具有多形性的(似呈丝状及分枝状)及最小的原核细胞(大小仅有50~300纳米)微粒体。
支原体的大小及结构
而肺炎支原体是支原体这个大家庭中的一种类型,它普遍存在于人类和动物体内,一般没有致病性,特殊环境下,它不仅能引起肺炎,也可引起鼻咽部、血液、泌尿、神经等系统的支原体感染。
◆支原体肺炎:我们说肺炎支原体具有致病性,一旦感染会引起机体任何部位感染,当然,最容易感染的部位还是肺部,因为支原体容易种植在呼吸道的黏膜细胞内,而成为支原体肺炎;只不过对于儿童来说,支原体肺炎的发病率占社区获得性肺炎10%~30%的比例,平均每3~5年会有一个周期的流行趋势,今年,看来注定是感染爆发年了。
支原体肺炎是传染病吗?孩子是如何被感染上支原体肺炎的?
同学间说话,呼吸道飞沫传播肺炎支原体
支原体肺炎虽然不是法定传染病,但是,它具有较高的传染性,并且也是通过呼吸道飞沫传播,然后定植于呼吸道,引起支原体血症和肺炎;而且任何年龄段的孩子都可能感染;易反复感染,不具有终身免疫性,因此目前还没有疫苗可以保护。
这就是为什么孩子在学校里,可以一传十、十传百。只要孩子在幼儿园、学校相互之间近距离说话,只要其中有一个孩子感染了肺炎支原体,周围的孩子就会被感染。
支原体肺炎的有哪些临床特征呢?
支原体肺炎特征:咳嗽持续时间长
由于支原体肺炎在症状上并没有什么特征性表现,它有2~3周的潜伏期(更不易发现),而且早期并不咳嗽。因此,单凭观察孩子咳嗽、发热的症状,就很容易把支原体肺炎给漏诊,那么,我们给家长总结了此病的基本特征,就能发现规律,不至于一头雾水:
◆ 早期咳嗽不典型:
支原体肺炎在早期并无咳嗽,往往仅有上呼吸道感染的表现,如鼻塞、流鼻涕、咽痛。因此,家长都会被感冒所蒙蔽。这就给支原体肺炎的早期发现、诊断带来困难。
而我们临床上已经习惯于在发病季节,为了排除支原体感染,做相关病原学筛查,达到早诊断的目的。
◆ 咳嗽持续时间长:
往往持续咳嗽>2~3周,且呈逐渐加重趋势,表现阵发性剧烈单声咳,不喘;很少痰,到后期才有白色或黄色的浓痰,不容易咳出。
◆ 肺部体征与影像学改变不一致:
肺部听不到啰音
所谓肺部体征是指咳嗽非常明显及严重,由于支原体感染往往侵犯的是肺间质,炎症渗出并不在气管、支气管及肺泡内,因此,用听诊器往往听不清有明显的啰音。
通过拍胸片显示:大部分肺下叶的大叶性肺炎及肺间质炎的表现,即呈现不规整的大片状、絮状浸润性阴影,且肺门阴影增大增重,系淋巴结肿大表现。这是诊断支原体肺炎的重要依据之一。也就是说听诊与胸片的表现似乎是矛盾的。
◆ 一般抗生素治疗无效:
在缺乏病原学诊断的情况下,所谓经验用药选择一般抗生素如青霉素类、头孢菌素等β-酰胺酶类治疗没有明显疗效,咳嗽几乎不减轻。
β-酰胺酶类抗生素对支原体无效
反之,选择大环内酯类抗生素如一代红霉素、阿奇霉素及罗红霉素、克拉霉素等,具有敏感性和疗效。坚持2周的疗程,无论是咳嗽症状的改善也好,还是肺部胸片得到明显改善,直至治愈,疗效是显著。
孩子患了支原体肺炎,什么时候需要住院呢?
普通、轻型的咳嗽、发热,而且孩子精神状态比较好的情况下,在确定了支原体肺炎诊断时,会嘱咐家长在家悉心护理、规范用药治疗。但是如果是典型或重症支原体肺炎,是需要住院治疗的,这就需要家长了解孩子的病情轻重缓急,及时去医院住院治疗。
肺炎支原体肺炎住院指征
1、精神及一般情况改变:老话说,孩子不会装病,一般孩子精神萎靡、哭闹、烦躁、甚至激惹,不吃、不睡及少活动,尿少、盗汗等全身表现。
2、呼吸急促或呼吸困难:
所谓呼吸急促即平均呼吸频率(RR)≥40次/分钟,可以称呼吸急促;
具体按年(月)龄依次为:
<2 个月龄>60次/分钟;
2~12 月龄 ≥ 50 次/分钟;
1~5 岁≥ 40 次/分钟;
>5 岁 ≥ 30 次/分钟。
如果5 岁以下的孩子呼吸频率增快则提示可能是肺炎,而且年龄越小,患肺炎就比较严重。
吸气性三凹征
呼吸困难,如果孩子出现呼吸时鼻翼扇动、呼吸性呻吟、呼吸三凹征,即锁骨上窝、肋间隙及胸骨下窝出现吸气性凹陷征。
3、缺氧表现:一般孩子出现呼吸困难时,由于呼吸道阻塞、气体交换障碍,容易出现缺氧表现如发现孩子口周或全身皮肤青紫发绀。
重症支原体肺炎症状、体征的比较
总而言之,当孩子出现以上的表现,尤其精神状态差、尿少,呼吸急促或呼吸困难,或口周发绀的现象,这是负荷住院的标准,而不适宜在家里观察用药治疗,必须住院治疗。
为什么肺炎支原体血清IgM抗体检测经常显示阴性?
支原体检验
√ 血清IgM 抗体检测受多种因素影响,如年龄、发病时间及当时孩子的免疫功能影响;
年龄:婴幼儿免疫识别及免疫调节能力比较差,因此,即使支原体感染,血清抗体生成也是非常不足的,抗体检测阳性率往往很低;
发病时间:机体产生抗原后,刺激免疫产生免疫应答,形成抗体是需要经过一段时间的,而支原体血清抗体IgM一般发病1周左右才开始上升,因此,发病早期病程<1 周的孩子,支原体-IgM抗体因时间差,阳性检出率低,容易漏诊和误诊;
免疫功能:年龄越小的孩子免疫反应越低,支原体-IgM抗体阳性率越低,而且,特异性抗体的检出尚需一段时间,一般病程初期,临床医生是不会以支原体血清 IgM 抗体是作为早期诊断的依据。
那么,医生是怎么诊断支原体肺炎的?
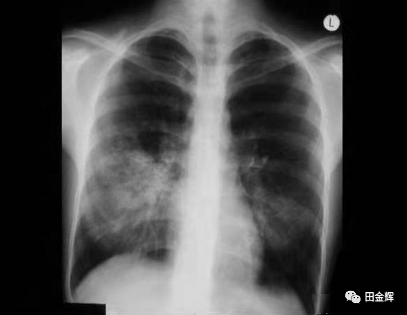
小儿支原体肺炎胸片改变
医生当然不会拿这种非特异性检查作为诊断依据的,
一般是通过询问病史、了解临床特征来初步判断,比如咳嗽持续2~3周、且进行性加重;
一般抗生素治疗均无效,临床咳嗽剧烈而肺部往往听不到啰音。然而,要诊断支原体肺炎就要依据胸片+病原学检测。
利用实验室检测能早期、准确诊断支原体肺炎:
1)血清学检测:可以通过核酸检测(RNA、DNA高通量测序)及联合血清抗原-抗体(IgG、IgM)检测综合判断的。
支原体-SAT技术
2)支原体-SAT技术:随着临床检测技术的不断发展,第三届中华儿科临床检验利用支原体-SAT技术(扩增检测):更加有利于早期诊断,与上述血清学方法结合具有互补作用,诊断更及时、准确。
家长对支原体肺炎的疑惑:
问题一:现在阿奇霉素用法很多,那么,具体怎么用才算正确、有疗效?
支原体肺炎的治疗
答:在《小儿支原体肺炎的临床诊疗指南》明确指出,一般β-酰胺酶类抗生素是抑制细菌细胞壁,从而达到抗炎作用,而我们知道了,肺炎支原体感染是缺乏细胞壁且能独立生存的微生物,大量临床用药效果研究发现,大环内酯类抗菌药物经过足量、足疗程的应用,可以获得显著效果,具体用法是:
1、药物选择:根据儿童用药安全性、有效性的原则,临床选择一代的红霉素或阿奇霉素;
红霉素疗效显著,但应用中的副作用较多,胃肠道反应、输液血管炎(疼痛)、疗程长,一般输液10~14天,孩子不容易耐受。
因此,对6个月以上的孩子,临床采用阿奇霉素,虽然总疗程也是7~14天,但是,由于其药物半衰期长,血药浓度在血液中存留时间长,因此兼顾了疗效及安全性,采用服药3天停4天的方法,孩子都可以接受。
2、疗程:《儿科学》 指出,支原体肺炎应用大环内酯类药物不得少于7~14日;
3、用法:
阿奇霉素口服:一般是按每公斤体重10mg计算,一日一次,连续服药3天,然后停4天;第二周如法炮制,总疗程足14天;或阿奇霉素首剂每公斤体重10mg,之后减为每公斤体重5mg,连续服药5天,以此类推。
阿奇霉素序贯疗法:如果有肺炎支原体血症(血清IgG、IgM持续阳性),或咳嗽不好,我们可以采用序贯疗法,即首先阿奇霉素静脉给药2天,之后再口服阿奇霉素,总疗程为 7-10 天,剂量依然是每公斤体重10mg。
问题二、阿奇霉素何时能停药?是否一定要等血清IgG、IgM阴性才能停药?
儿科环境
支原体肺炎的治疗,服药,前面已经介绍,应当坚持足量、足疗程的原则不变,那么何时停药呢?假如疗程到了,孩子还在咳嗽,是否停药呢?那么在这里我们有判断疗效的标准:
1、咳嗽停止或偶尔咳嗽几声,不影响正常生活、精神情绪及睡眠正常;
2、体温正常一周以上;
3、血常规(白细胞总数及分类正常)及C反应蛋白恢复正常;
4、最重要的:X线胸片肺纹理正常或稍许增多,肺门正常。
血清抗原、抗体(IgG、IgM)的检测不能作为停药的指征,因为血清IgG、IgM在血液中的 存留时间很长,一般3~6个月,因此,即使你复查血清抗原-抗体也会是阳性,临床现在已经不作为停药的指征了。
问题三、为什么支原体肺炎总是不好,反反复复?
很多家长问,为什么我获准每年都要中招一次支原体肺炎,为什么老是去不了病根?其实支原体肺炎的预后是肯定的,如果没有严重的并发症,只要用药足量、足疗程,是不会留下所谓病根的;那么为什么此病总会反复呢?原因为以下:
1、肺炎支原体不能获得永久性免疫:也就是得了一次,还会再得;肺炎支原体能独立存活,一般肃清需要较长的时间,它不像有些病毒感染,感染一次就能获得永久性免疫。因此,目前没有疫苗的保护。
因此,当再次遇上感染高峰的时候,孩子很容易被再次感染。这就提醒我们家长,平时一定要养成良好的卫生习惯,洗手、戴口罩和保持距离。
2、孩子可能有其他过敏诱因:孩子如果反复咳嗽,一般家长得考虑得周全一些,比如孩子本身是过敏体质,如果经常有湿疹、过敏性鼻炎、咳嗽变异性哮喘,那么病情就比较复杂,不能总是盯着咳嗽这个问题,要去医院查明原因,才能综合性的治疗,有的放矢。
孩子生病及时去医院检查
综上所述:小儿支原体肺炎也是小儿呼吸道常见病,发病率较高,其临床特点是呼吸道症状往往不典型,但是,咳嗽时间长、治疗难度大,容易反复,因此,希望家长阅读此篇文章,将抓住重点、关键点,其实,也可以让支原体肺炎问题迎刃而解。
推荐阅读:
2、秋季肺炎高发期,孩子得肺炎有什么症状?家长们要提高警惕!
7、教您如何安全度过敏高发季,鼻塞、鼻痒、涕流不止……都不是事儿
8、宝宝鼻涕清、浓、白、黄、黑是怎么回事?鼻塞的N种处理办法,你知道吗?
11、感冒、腹泻、便秘、溃疡,宝宝生病期间的辅食该怎么吃?妈妈必知
13、湿疹、咳嗽、腹泻、发烧……3岁以前宝宝常见疾病护理这篇全有了
15、婴幼儿发烧,定义,原因,应对,儿科医师对新生儿及婴幼儿发烧的处理
16、102个育儿锦囊,带你远离育儿误区,轻松带娃,新妈妈收藏
18、儿科医生8个真实案例2000字救命文,字字痛心!值得每个家长了解!
20、秋季咳嗽猛如虎,一不小心就中招?赶紧试试这10款润肺止咳食疗单
23、秋冬季孩子咳嗽不要怕,多给娃煮这3种水果,比打针、吃药效果好
想了解更多?那就赶紧来关注我
长按二维码 关注我
戳原文,【孕校素材】!
