“阿奇霉素平替药物”正热议,肺炎支原体耐药有解了?药师:切勿任性
肺炎支原体感染接连刷屏
不但儿科门诊门庭若市
现在不少成年人也顶不住了
感染入院的人不在少数
一周前,治疗支原体肺炎的
主要用药阿奇霉素
就屡次登上微博热搜
原因是一些儿童患者使用阿奇霉素
出现耐药的现象
导致病程延长、久咳不愈
让不少家长揪心不已
而这两天,网上又开始讨论起
一种阿奇霉素的平替药物
在一些网络社交平台上,一款名为盐酸多西环素的药物引起了家长们的关注:
一顿就退烧
很快的
吃三天明显好转
网友说得越来越神,盐酸多西环素治疗肺炎支原体感染真的这么牛吗?
成妇儿药师提醒:盐酸多西环素属于四环素一类的药物,在儿童患者、特别是8岁以下儿童中使用可能引起一系列副作用,不能作为治疗儿童肺炎支原体肺炎(MPP)的首选治疗药物。
如果孩子感染肺炎支原体后,服用包括阿奇霉素在内的一线药物效果不佳,家长也不要随意停药、换药等,仍然应该遵医嘱继续规范治疗。
01
先了解一下:
什么是支原体肺炎?
简单来说,支原体肺炎是由肺炎支原体引起的急性肺部感染性疾病,好发于5岁以上儿童和青少年,主要表现为发热、咳嗽。
肺炎支原体多流行于冷暖季节交替之际,主要通过飞沫传播,在咳嗽、打喷嚏、流鼻涕时的分泌物中均可携带病原体,因此,在一些家庭或班级会出现聚集发病的情况。
02
支原体肺炎
如何对症下药?
肺炎支原体既不是细菌也不是病毒,由于其没有细胞壁,因此以细胞壁为作用位点的抗生素(例如大家所熟悉的青霉素和头孢),对肺炎支原体是没有效果的。
目前,根据国家卫健委颁布的儿童肺炎支原体肺炎诊疗指南(2023年版),大环内酯类抗菌药物为肺炎支原体肺炎(MPP)的首选治疗药物。
表1 抗MPP的大环内酯类药物
药物名
推荐剂量(d=天)
阿奇霉素
轻症:10mg/(kg.d),1次/d,口服或静点,疗程3d或5d;也可第一日10mg/(kg.d),之后5mg/(kg.d),1次/d,连用4d
重症:推荐阿奇霉素静点,10mg/(kg.d),1次/d,连用7d左右,间隔3-4d后开始第2个疗程,总疗程依据病情而定,多为2-3个疗程
克拉霉素
10-15mg/(kg.d),疗程一般为10d左右
乙酰吉他霉素
25-50mg/(kg.d),疗程一般为10-14 d
红霉素
30-45mg/(kg.d),疗程10-14d
罗红霉素
5-10mg/(kg.d),疗程10-14d
03
首选治疗药物发生耐药了
怎么办?
近年来,随着大环内酯类药大量使用,大环内酯类耐药肺炎支原体(MRMP)发生率明显增高,这一趋势在亚洲地区,特别是我国尤为突出,也成为了临床治疗中的难点和热点问题。因此,有许多人说感觉今年支原体很难治。
孩子吃了阿奇霉素没什么效果呢?医生和药师常常会面对家长提出这样的疑问。
当感染了肺炎支原体的儿童采用大环内酯类抗生素治疗后未获得预期效果时,可以考虑为大环内酯类耐药。这时又该选用什么药物呢?
在指南中,一些二线治疗药物,如四环素和喹诺酮类药物,已被考虑用于治疗MRMP肺炎。
注意!为什么这些药物被列为二线用药,就是因为它们有各种副作用,在安全性和疗效上不宜作为首选使用,属于退而求其次的选择。
表2
大环内酯类耐药肺炎支原体的药物选择
药物名
儿童用药安全性
四环素类
多西环素
可能导致牙齿发黄和牙釉质发育不良,仅适用于8岁以上儿童。8岁以下儿童使用属超说明书用药,需充分评估利弊,并取得家长知情同意。米诺环素的作用相对较强,多西环素的安全性较高,在推荐剂量和疗程内,尚无持久牙齿黄染的报道。
米诺环素
喹诺酮类
左氧氟沙星
存在幼年动物软骨损伤和人类肌腱断裂的风险,18岁以下儿童使用属超说明书用药,需充分评估利弊,并取得家长知情同意。
莫西沙星
妥舒沙星
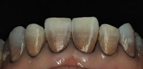
四环素类药物可导致四环素牙?
8岁以下儿童重复使用或使用较长疗程的四环素类药物,可引起永久性牙变色,就是大家俗称的四环素牙。
药师在这里要提醒大家:8岁以下儿童使用四环素类药物属超说明书用药,需经医务人员充分评估利弊,同时需要家长的知情同意方可使用。
喹诺酮类药物可引起软骨损伤?
既往的动物实验显示喹诺酮类药物存在幼年动物软骨损伤的风险,一般需在医生充分评估病情是否需要、是否有替代药物可选、权衡利弊后方可选用。
总之,考虑到四环素和喹诺酮这两类药物的潜在风险,临床医生需要根据患者年龄、合并症、药物不良反应等多方面因素综合评判后,再做出最有利于患者的用药选择。
家长们则需做好预防孩子感染肺炎支原体的工作,少聚集、保持良好卫生习惯、确保室内空气流通,让孩子睡眠充足、营养均衡。
直播预告
肺炎支原体流行季,如何抗支
才能有效保护家人
特别是儿童?
今晚19:00,成妇儿直播间
邀请到了两位儿童呼吸内科医生
和家长一起聊聊,答疑解惑
↓↓也可以点这里一键预约↓↓
参考文献:
1.国家卫生健康委员会,陆权,陈慧中,等.儿童肺炎支原体肺炎诊疗指南(2023年版)[J].全科医学临床与教育, 2023, 21(3):196-202.
2.儿童肺炎支原体肺炎诊治专家共识(2015年版)[J].中华实用儿科临床杂志, 2015(30):1308.
3.赵顺英,陈志敏,刘瀚旻,等.国家卫生健康委员会《儿童肺炎支原体肺炎诊治指南(2023年版)》重点解读[J].临床儿科杂志, 2023, 41(3):224-228.
文:药学部 李柯
编辑:王欢
医学专业审核:吴波 邓毅
审核:向毅
【妇幼健康科普】
