免疫治疗能够持续多久?就算停药,疗效可持续9个月甚至更久!
目前,免疫治疗逐渐应用于临床上多种肿瘤疾病的治疗,还联合手术、化疗、放疗等传统手段,让更多患者有望获得更好的治疗效果。
然而,免疫治疗这种新型治疗方法在起效速度上因人而异,因此,不少患者和家属都迫切地想要了解用多久能起效?如果起效了,能维持多久?等问题。
免疫治疗起效慢?正常!
在临床治疗上,与放化疗等传统治疗手段相比,免疫治疗似乎起效比较慢。
PD-1/PD-L1抑制剂重新激活T细胞
免疫治疗通过激活自身免疫功能攻击肿瘤细胞,而免疫系统的反应速度较慢。化疗等传统治疗则不同,可通过药物直接杀灭肿瘤细胞。
因此,相比于传统的化疗和放疗等治疗方式,抗肿瘤免疫治疗需要更多的时间来发挥作用,需要一定的治疗周期和持续的监测。
免疫治疗多久起效?262例患者数据:3个月!
2019年2月,发表在国际肿瘤学权威杂志《Clinical Cancer Research》一项文章给出了具有指导性的答案。
《Clinical Cancer Research》截图
该研究共纳入了262名患者,156例接受抗PD-1抗体治疗(纳武利尤单抗,n =27;帕博利珠单抗,n=129),106例接受抗PD-L1抗体治疗(阿替利珠单抗,n=47;度伐利尤单抗,n=59),其中93%的患者为晚期实体瘤患者,随访5年。
患者治疗数据
临床结果显示,76名患者的肿瘤明显缩小,在55例患者中观察到部分缓解 (PR),即肿瘤明显缩小,在21例患者中观察到CR,即肿瘤完全消失。
值得注意的是,这76名起效的癌症患者中,48名患者在3个月时呈现客观缓解,且其中位PFS(无进展生存期)为30个月,但中位OS(总生存期)未达到。
21例观察到CR的患者中,中位随访45个月期间,从治疗开始到CR的中位时间为11.5个月,中位crPFS未达到,只有3例患者在3个月时出现CR。
可见,免疫治疗起效相对较慢,很多患者要3个月之后才开始见效。
免疫治疗一旦起效,持续多久?
在上述第一个研究中,76名起效的患者中有39名患者因为各种原因停止了治疗。其中的24位患者,可观察到体内的免疫治疗疗效一直在维持。这表明,免疫治疗有较长的疗效。
A:停药后疾病进展;B:停药后的反应持续时间
其实,越来越多的证据显示由于副作用不耐受而提前停药,似乎不影响疗效。这可能与出现不良反应的患者治疗效果会更好有关。
一项CheckMate 069研究(使用纳武利尤单抗联合伊匹单抗治疗恶性黑色素瘤)的临床数据表明,即使患者由于毒性反应等原因而终止用药,治疗的反应仍可持续一段时间。
其中,66%的患者停止免疫治疗后仍然在持续获益,其中肿瘤的完全缓解率为20%,部分缓解率为46%,病情稳定者为17%。停止免疫治疗的癌症患者的2年存活率和无疾病进展率分别是71%和52%。
上述的临床数据也表明,免疫治疗具有长期、长效的免疫记忆。
免疫治疗具有独特的拖尾效应,这使得患者在接受免疫治疗停药后,肿瘤仍然会继续反应。
根据国内外的指南推荐,一旦PD-1/PD-L1抑制剂起效,使用时间是2年;而根治性治疗(如手术、同步放化疗等)之后,PD-1/PD-L1作为辅助治疗时,使用时间是1年。主要目的是保证免疫治疗的疗效。
临床案例:停药9个月,仍有持续疗效
《J CLIN GASTROENTEROL》截图
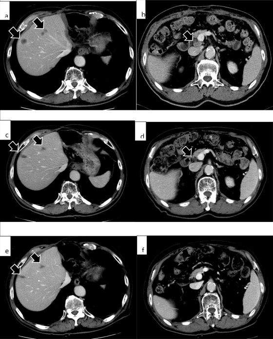
在《J CLIN GASTROENTEROL》期刊上,一篇病例报告公布了肝内胆管癌停止帕博利珠单抗治疗后的持久反应。
这名肝内胆管癌伴肝和淋巴结转移患者接受了帕博利珠单抗治疗。帕博利珠单抗给药四次(三周一次)后,CA19-9血清水平降至正常范围,CT显示转移性肝肿瘤和增大的肝门淋巴结明显变小。
但是,14次用药后出现躯干和四肢瘙痒和皮疹,并被诊断为大疱性类天疱疮。因此停止帕博利珠单抗治疗,开始对大疱性类天疱疮进行治疗。
腹部MRI显示第二次手术后4个月肿瘤复发;停止派姆单抗治疗9个月后复发病变未见变化(e,f)
令人意想不到的是,在停止治疗9个月后,患者仍然存活,没有肿瘤复发,这也意味着即使停用帕博利珠单抗治疗肝内胆管癌多发性转移后,该患者仍有持久的反应。
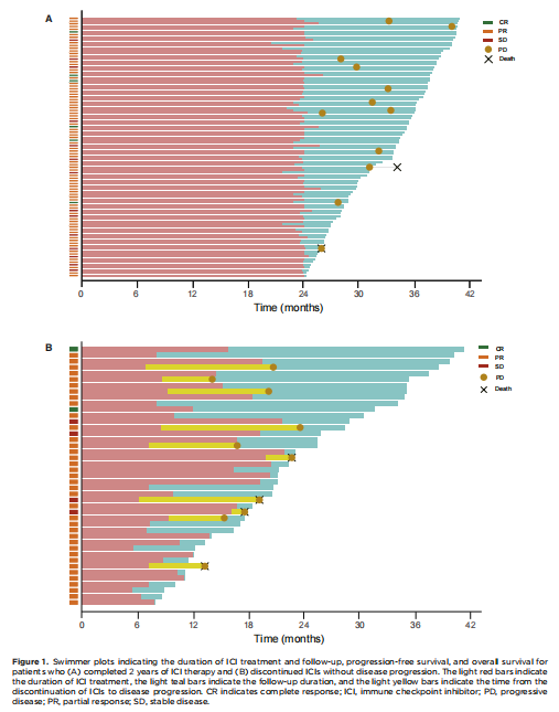
43例患者:无疾病进展6个月后停用,肿瘤持续缓解
Cancer杂志上发表了来自韩国的一项回顾性研究,共纳入139例晚期NSCLC患者。
在完成2年ICI治疗的96名患者中,85.4%的患者出现了缓解。最佳缓解分布如下:完全缓解(CR)6例(6.3%),部分缓解(PR) 76例(79.2%), 病变稳定(SD) 14例(14.6%)。
患者治疗数据
43例治疗超过6个月后停止ICI治疗且无疾病进展的患者中,中位治疗时间10.5个月,90.7%的患者获得缓解,最佳缓解分布:CR 2例(4.7%),PR 37例(86.0%),SD 4例(9.3%)。
研究表明,在完成2年ICI治疗的患者中,有相当高比例的患者继续出现长期 PFS。即使在无疾病进展的患者6个月后停用ICI,它们也可能获得持久的缓解,并促进长期生存。
免疫细胞治疗:单次NK疗法,可形成至少长达36周的长期免疫记忆
NK细胞与其他免疫细胞
同样属于免疫治疗范畴的免疫细胞治疗,疗效能持续多久呢?对于免疫细胞治疗,其免疫记忆一般能够维持48小时至15天。
接下来,用NK疗法举例。iNKT癌症治疗(NK疗法的一种)是继NKT细胞疗法之后,日本相关医学人员又开发出更新一代的癌症治疗方法,具有特异性及非特异性双向抗肿瘤作用,可以同时激活先天免疫与获得性免疫。
在此情况下,NK疗法一旦奏效,获得性免疫可以激活免疫记忆细胞,被活化的免疫记忆细胞可以残留在体内,发挥长期免疫记忆作用。
从理论上说,单次的NK疗法(一个疗程2次注射),可形成至少长达36周的长期免疫记忆。
iNKT癌症治疗
具体的疗效因人而异,对病情的缓解情况也不相同,其中包括肿瘤完全消失、长期不变、减缓癌症进展、降低放、化疗的副作用。
因此,对于免疫细胞治疗,应根据检查结果等的基础上,决定之后治疗方案,可以重复治疗周期或结束治疗,以保证和巩固疗效。
小结
随着免疫药物治疗、免疫细胞治疗的逐步应用,为众多肿瘤患者带来新的希望,尤其是为晚期患者提供了多一个选择,能够发挥延长患者生命、提升生活质量、减少复发等作用。
如今,我们已经不能将癌症与绝症直接划上等号,肿瘤逐渐成为可治愈、可控的慢性病。对于免疫治疗的时间、效果等,应严格进行评估,坚持用药,从而保证最大获益。
参考资料:
[1]Gauci ML, Lanoy E, Champiat S, Caramella C, Ammari S, Aspeslagh S, Varga A, Baldini C, Bahleda R, Gazzah A, Michot JM, Postel-Vinay S, Angevin E, Ribrag V, Hollebecque A, Soria JC, Robert C, Massard C, Marabelle A. Long-Term Survival in Patients Responding to Anti-PD-1/PD-L1 Therapy and Disease Outcome upon Treatment Discontinuation. Clin Cancer Res. 2019 Feb 1;25(3):946-956. doi:10.1158/1078-0432.CCR-18-0793. Epub 2018 Oct 8. PMID: 30297458.
[2]Eguchi S, Shinkawa H, Sato Y, Nakai K, Takemura S, Tanaka S, Amano R, Kimura K, Ohira G, Nishio K, Kinoshita M, Tauchi J, Miyazaki T, Ishihara A, Shirai D, Kubo S. Durable response after discontinuation of pembrolizumab therapy for intrahepatic cholangiocarcinoma: a case report. Clin J Gastroenterol. 2021 Jun;14(3):858-865. doi: 10.1007/s12328-021-01396-5. Epub 2021 Apr 2. PMID: 33811313.
[3]Kim H, Kim DW, Kim M, Lee Y, Ahn HK, Cho JH, Kim IH, Lee YG, Shin SH, Park SE, Jung J, Kang EJ, Ahn MJ. Long-term outcomes in patients with advanced and/or metastatic non-small cell lung cancer who completed 2 years of immune checkpoint inhibitors or achieved a durable response after discontinuation without disease progression: Multicenter, real-world data (KCSG LU20-11). Cancer. 2022 Feb 15;128(4):778-787. doi: 10.1002/cncr.33984. Epub 2021 Oct 27. PMID: 34705268; PMCID: PMC9297884.
[4]https://www.sohu.com/a/622775051_120376170
声明:本文仅作健康科普,不能替代医院的检查和治疗。如有相关疾病,请及时去正规医疗机构就诊,谨遵医嘱。
如需咨询夏建川教授团队
请扫码添加专家助手号

