胰腺癌综合治疗系列丨初次发现往往就是晚期,为什么胰腺癌被称为癌中之王?
随着医学科技的不断进步,大部分癌症的生存率在近十余年间都获得了显著提高,例如乳腺癌,结直肠癌等。但是,总有一个例外,那就是胰腺癌,胰腺癌的生存率一直停滞不前,胰腺癌的五年生存率只有5%至10%,绝大部分患者在诊断胰腺癌半年内死亡,是所有的恶性肿瘤中,生存率最差、死亡率最高的疾患。所以,胰腺癌被称为癌中之王,是21世纪最后待攻克的癌症堡垒。
初次发现往往就是晚期,为什么胰腺癌被称为癌中之王?
胰腺癌恶性程度极高
癌症也分三六九等,不同的癌症,恶性程度完全不一样。胰腺癌就是恶性程度最高,生物学行为最坏的那个肿瘤。也就是穷凶极恶的坏人,坏人里面的杀人犯。胰腺癌细胞容易侵犯周围的淋巴结和血管,如果癌细胞包绕大的血管,手术难度非常大,容易造成大出血,造成死亡。胰腺癌细胞更容易发生远处转移,导致一经发现就丧失手术机会。
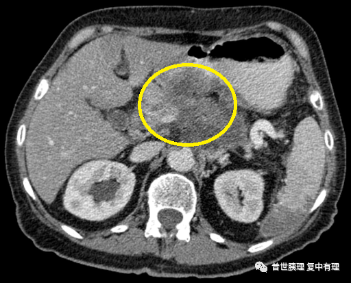
位置深在并且起病隐匿
胰腺位于腹膜后,周围环绕着几个比胰腺本身更大的器官。胰头与肝、胆囊及十二指肠前部相近,而胰体在胃的后方,胰尾位于脾脏附近。由于隐藏的位置太深,而内脏痛觉定位非常模糊,所以早期胰腺癌没有特异的症状,例如腹胀不适、腰背痛等常常被忽视,等到出现腹痛,黄疸,消瘦等症状,往往已经是胰腺癌的中晚期了。
由于胰腺的位置深在,前方被肠管挡住,做彩超检查不容易发现胰体尾的占位,因为彩超最怕肠道气体的干扰,超声通常看不清楚。想要准确的筛查,胰腺癌需要做更高级的增强CT或者增强核磁共振检查,同时还要进行外周血肿瘤标记物检查。这就是为什么大多数临床医生在怀疑胰腺疾病时往往需要依赖影像学检查联合外周血肿瘤标记物检查来诊断的原因。
有效的筛查手段少
胰腺癌的筛查往往需要依靠更高级的增强CT或者增强核磁共振检查联合肿瘤标记物等。
但是这几种筛查手段又存在各自的局限性,增强CT和核磁共振不能作为常规筛查项目;而CA19-9现阶段是对胰腺癌敏感性最高的肿瘤标志物,但有约10%的胰腺癌患者的CA19-9不会升高,称之为CA19-9假阴性的胰腺癌。因为这些患者体内的Lewis抗原是阴性,不能合成CA19-9,所以这部分患者即使胰腺癌癌灶很大,分期很晚,CA19-9仍无明显升高。
症状不典型,难以早期发现
胰腺癌在早期通常没有任何典型症状,并且它的症状可能与其他常见健康问题的症状重叠,例如,胰腺癌患者通常会有腹胀、食欲不振、消化不良等症状,但这些症状也可能是胃肠疾病的结果。部分较为显著的症状也往往是由于肿瘤侵犯周围器官所致。例如,胰头部的肿瘤可能会压迫胆管而导致梗阻性黄疸,患者在筛查黄疸原因的时候才发现自己得了胰头癌。这些不典型的症状很有可能误导诊断,血糖增高误以为是糖尿病,腰背痛误以为是腰椎疾患,从而使患者失去早期发现的机会。
胰腺癌手术难度大
胰腺的周围有胆管,十二指肠,胃,胆囊,小肠,肝脏,结肠,肠系膜等等。而且,癌细胞还特别容易侵犯淋巴结,大血管。胰腺手术包括切除和重建两个步骤:
以胰十二指肠切除术为例(见下图),需要切除胰头,十二指肠,胆管,胆囊,部分胃,空肠起始部等;重建吻合口多,需要重新完成胰肠吻合,胃肠吻合,胆肠吻合,每一个过程都在钢丝上行走,手术风险大极大,手术难度极大,术后恢复慢,手术死亡率比较高。胰腺癌的根治手术,是外科手术中难度最大,耗时最长的手术之一。
胰腺癌缺乏有效的辅助治疗手段
肿瘤的治疗手段包括手术、放疗、化疗、靶向治疗、免疫治疗、介入治疗等。除了手术治疗,其他的治疗手段也是非常重要的。
然而,对于胰腺癌来说,始终缺乏有效的辅助治疗手段。胰腺癌细胞恶性程度极高,生物学行为极差,生长速度极快,并且癌细胞对放疗、化疗、免疫治疗均不敏感,这些治疗的效果差;还缺乏特异的靶点,靶向治疗也无法做到有的放矢。所以,除了手术治疗,其他的治疗手段效果都相对比较差。但是,也只有较早发现的胰腺癌存在根治性手术机会。
综上所述
想要提高胰腺癌的治愈率,需要患者早期发现肿瘤,并且通过开展高质量的临床试验探索出更有效的综合治疗方案,不论是放化疗也好,靶向和免疫治疗也好,我们希望在综合治疗方面能够取得突破。在目前的阶段,对付癌王最好的手段依旧是早期筛查,正如刘亮教授执笔的《未来提高胰腺癌临床诊治效果的十大方向》一文中提到:首诊即为晚期是导致胰腺癌预后极差的一个重要原因,早诊早治是改善胰腺癌诊治效果的关键。我们将在后面的内容里为大家详述胰腺癌早期筛查的相关内容。
