【胰腺癌手册】关于胰腺癌的症状、分期、治疗方案和生存率,这篇文总结全了!
胰腺癌起病隐匿,早期症状不典型,且治疗极其困难,被冠以癌症之王的称号。癌症之王的威名让许多患者胆战心惊,认为胰腺癌已经和死亡划上了等号。
但随着医疗技术的不断发展,胰腺癌的治疗方法也在逐渐增多,目前,针对胰腺癌的治疗也有了新的进展,胰腺癌已经不再是不治之症!
▲图源:创客贴
胰腺癌生存率对比
中国:胰腺癌平均5年生存率为7.2%[1];
日本:胰腺癌的平均5年生存率为12.5%,Ⅰ期为51.8%,Ⅱ期为22.9%,Ⅲ期为6.8%,Ⅳ期为1.4%[2];
美国:胰腺癌的平均5年生存率为11%,早期为42%,中期为14%,晚期为3%[3]。
胰腺癌分类及分期
分类
发病部位:
胰腺分为头、颈、体、尾四个部分,各部分之间并无明显的解剖界限,其中胰头膨大,被十二指肠包绕。根据发病的部位,胰腺癌主要可以分为以下两类:
胰头癌,多见,占70%~80%;
胰体尾部癌。
病理分型:
根据病理分型可分为上皮来源和非上皮来源,起源于腺管上皮的导管腺癌占全部胰腺癌中的80%~90%。另外有比较少见的类型,包括黏液性囊腺癌、腺泡细胞癌、腺鳞癌和神经内分泌肿瘤及各种混合性肿瘤。
分期
AJCC第八版及日本胰腺学会第七版胰腺癌TNM分期
▲图源:参考来源[4]
胰腺癌临床表现
胰腺癌起病隐匿,初发病时没有特殊症状,一旦出现黄疸、消瘦等明显症状时,表明已经进入晚期。
初发症状往往取决于肿瘤的部位和范围,如胰头癌早期便可出现梗阻性黄疸;而早期胰体尾部肿瘤一般无黄疸。
典型症状包括腹部不适或腹痛、黄疸、糖尿病相关症状(新发糖尿病)、消瘦、乏力、消化道症状(没有食欲,腹胀,消化不良,腹泻,或便秘;有的患者可以出现恶心、呕吐;如果肿瘤压迫十二指肠,还会出现消化道梗阻或出血)。
胰腺癌常规检查方法
实验室检查:血淀粉酶、总胆红素和直接胆红素、碱性磷酸酶和转氨酶、肿瘤标志物。
影像学检查:B超、增强CT、MRI及MRCP、PET-CT、内镜超声。
病理学检查:确诊胰腺癌的金标准。除了手术外,获得病理学标本的方法还包括EUS或CT引导下穿刺活检、腹水细胞学检查、腹腔镜探查活检等。
胰腺癌治疗方法
胰腺癌治疗方法包括外科手术、放射治疗、化学治疗、靶向治疗、免疫治疗等。
01
手术治疗
手术切除是胰腺癌患者获得治愈机会和长期生存的唯一有效方法。对于可切除的胰腺癌,临床治疗中常采用胰十二指肠切除术(Whipple手术)、胰体尾部切除术和全胰切除术,不同位置的肿瘤,手术方案不同。
胰头癌:建议胰头癌患者采用根治性胰十二指肠切除术,包括完整切除胰头部及钩突,并行区域淋巴结清扫;术后要求胆管、胃或十二指肠、胰颈和肠系膜上动静脉环周等切缘阴性,也就是达到R0切除标准。
胰体尾癌:推荐胰体尾癌患者采用根治性胰体尾联合脾脏切除术。胰体尾切除联合脾脏切除术一直被认为是治疗胰体尾癌的经典手术方式,近年来随着手术技术的提升,腹腔镜保脾胰体尾切除术(LSPDP)等微创手术已经成功的应用于胰体尾良性及交界性肿瘤的治疗中,有望延长胰体尾癌患者的生存期。
部分胰腺颈部癌或胰腺多中心病灶:对于部分胰腺颈部癌或胰腺多中心病灶的患者,可考虑行全胰腺切除术。全胰腺切除术(TP)是治疗胰腺疾病的重要方式之一,由于其不需要胰空肠吻合来促进重建,可以显著降低胰瘘的风险,更大程度杜绝肿瘤复发的可能性。但是,切除过多的胰腺组织会导致患者内外分泌功能不全,发生脂肪泻以及胰源性糖尿病,影响患者术后生存率和生活质量,因此需要经验丰富的外科医师开展。
另外,对于交界可切除胰腺癌、局部进展期胰腺癌,不建议立即进行手术治疗,应先采用新辅助治疗等手段缩小肿瘤,提高肿瘤的R0切除率。
随着手术技术的不断提高、医疗设备的更新换代,腹腔镜及达芬奇机器人手术系统已广泛应用于临床,通过微创手术进行胰腺癌切除术,更大程度地减轻患者的创伤和痛苦。
1
开腹手术
开腹手术顾名思义就是直接打开腹部切除肿瘤,传统开腹手术须20-25cm切口,患者术后疼痛强烈,伤口7-10天才能慢慢愈合,住院时间长。
2
腹腔镜手术
腹腔镜手术是在腹部的不同部位做数个直径5~12毫米的小切口,通过这些小切口插入摄像镜头和各种特殊的手术器械,将插入腹腔内的摄像头所拍摄的腹腔内各种脏器的图像传输到电视屏幕上,外科医生通过观察图像,用各种手术器械在体外进行操作来完成手术。
与开腹手术相比,腹腔镜手术无论是在手术的彻底性还是患者的长期生存率上均无显著差异,甚至比开放性手术更精确。在效果相差无几的情况下,腹腔镜手术创伤小、恢复快,越来越受到患者的青睐。
2016年的一项研究指出,腹腔镜胰体尾切除术后的中位生存期为 31.3 个月 ,3年和5年精算生存率分别为 42.4% 和 30%,且腹腔镜比影像学更容易发现腹膜及脏器表明的转移灶,并可以探查腹腔以进一步明确肿瘤分期,腹腔有无微小转移灶等,减少了开关腹的发生[5]。
2017年发表的一项研究基于12项胰十二指肠微创手术的研究结果显示,虽然胰十二指肠微创手术需要更长的时间,但微创手术与术中失血量减少、胃排空延迟发生率降低和更短的住院时间有关。同时,研究指出,微创手术与开放手术的术后生存率、胰瘘发生率等没有变化。因此,研究建议在专业的大型胰腺中心由有经验的胰腺外科医师开展微创手术[6]。
3
达芬奇机器人手术
达芬奇机器人手术,是指主刀医生坐在控制台中,位于手术室无菌区之外,使用双手及脚踏板来控制器械和一个三维高清内窥镜来进行的手术。
达芬奇手术机器人系统获得FDA批准,开始在普通外科手术中应用,同年3月日本也开始使用达芬奇外科手术。截止到目前,全世界已有超过775,000名患者接受过达芬奇机器人手术[7]。
▲图源:维基百科
达芬奇机器人手术的优势包括:
手术操作更精确,与腹腔镜(二维视觉)相比,因三维视觉可放大10-15倍,使手术精确度大大增加,术后恢复快,愈合好。
曲线较胸、腹腔镜短。
创伤更小,使微创手术指征更广;减少术后疼痛;缩短住院时间;减少失血量;减少术中的组织创伤和炎性反应导致的术后粘连;增加美容效果;更快投入工作。
达芬奇手术机器人增加视野角度,减少手部颤动,能以不同角度在靶器官周围操作,较人手小,能够在有限狭窄空间工作。
2021年的一项研究针对胰腺癌新辅助化疗后采用机器人与开腹进行胰十二指肠切除术的安全性和效果进行了对比分析。研究结果显示,机器人手术和开腹手术后的5年生存率没有差异(1年生存率:83% vs 86%;3年生存率:36% vs 38%;5年生存率:22% vs 22%),但采用达芬奇机器人手术的住院时间更短,充分淋巴结切除术和接受辅助化疗的比例更高[8]。
02
放射治疗
放射治疗是胰腺癌的重要局部治疗手段之一,贯穿各个分期。
可手术切除局限性胰腺癌,如因内科疾病不耐受手术或拒绝手术,建议采用精准根治性放射治疗结合同期化疗。
临界可手术切除患者可直接接受高剂量放疗或联合化疗,根据治疗后疗效决定是否行手术切除。
局部晚期胰腺癌患者建议采用同期放化疗。
寡转移(转移灶数目及器官有限)的胰腺癌患者,可通过同时照射原发灶、转移灶,实现缓解梗阻、压迫或减轻疼痛以及提高肿瘤局部控制的目的。
质子重离子治疗是一种新兴的放疗手段,与传统的放疗方法不同,质子重离子治疗有着独特的物理特性,可以减少放疗对肿瘤周围正常肺组织及其他器官的剂量,将剂量集中在病变处,从而在提高治疗效果的同时减少因放疗带来的副作用。
目前,质子重离子无论是在可切除胰腺癌的术前新辅助放疗还是不可切除胰腺癌的根治性放疗领域都有着突出的效果。
新辅助放疗:世界重离子治疗数量第一的日本QST医院的数据证实,术前采用重离子治疗可以显著提高胰腺癌患者的5年生存率,五年生存率达到52%[9]。
▲重离子治疗胰腺癌效果显著,图源:参考来源[9]
根治性放疗:日本的一项研究针对质子治疗联合化疗治疗局部晚期胰腺癌的效果进行了评估。研究结果显示,质子治疗联合化疗的1年局部控制率和总生存率分别为100%和80%[10]。
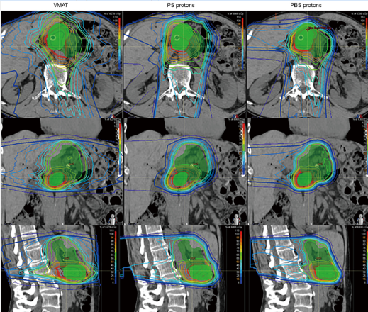
▲传统放疗、被动散射质子治疗和 (PS) 和笔形束扫描质子治疗 (PBS) 胰腺癌的剂量分布图,图源:参考来源[10]
03
化学治疗
化疗是通过使用化学药物杀灭癌细胞达到治疗目的。化疗是目前治疗癌症最有效的方法之一,和手术、放疗一起并称癌症的三大治疗方法。
化疗是一种全身治疗的手段,无论采用什么途径给药(口服、静脉和体腔给药等),化疗药物都会随着血液循环遍布全身的绝大部分器官和组织。因此,对一些有全身播撒倾向的肿瘤及已经转移的中晚期肿瘤,化疗都是主要的治疗手段。
化疗可以应用于各个分期的胰腺癌患者,包括可切除和临界可切除患者的术前新辅助/转化治疗、根治术后患者的辅助治疗、以及局部晚期或转移复发患者的治疗。
04
靶向治疗
分子靶向药物治疗是近年新兴的一种治疗手段,因其具有高度选择性地杀死肿瘤细胞而不杀伤或仅很少损伤正常细胞的特点,安全性和耐受性较好、毒副作用相对较小。
2005年,自世界第一款胰腺癌靶向药Erlotinib获批后,胰腺癌的临床研究不断涌现,让许许多多的胰腺癌患者受益。
目前,已经获批上市的胰腺癌靶向药包括:
Erlotinib(厄洛替尼):研究显示,与对照组相比,Erlotinib+吉西他滨组的胰腺癌1年生存率显著增长(24% vs 19%);无进展生存期显著改善;疾病缓解率显著提高(59% vs 49%)[11]。
Olaparib (Lynparza):研究结果显示,与对照组相比,Lynparza使gBRCAm转移性胰腺癌患者的无进展生存期延长了近一倍(中位PFS:7.4个月 vs 3.8个月)、疾病进展或死亡风险显著降低了47%[12]。
Larotrectinib (Vitrakvi):研究显示,对于年龄为4个月至76岁的患者,针对包括胰腺癌在内的17种不同癌症治疗的总体有效率为75%[13]。
Entrectinib (Rozlytrek):研究显示,治疗NTRK融合阳性实体瘤(包括胰腺癌)的有效率达到57%[14]。
05
免疫治疗
免疫检查点抑制剂可阻断免疫抑制通路,恢复体内免疫细胞对癌细胞的杀伤力,阻断肿瘤抗原性逃逸,因此,以PD-1/PD-L1单抗为代表的免疫检查点抑制剂在多种肿瘤治疗中都大有用武之地。
目前获批用于晚期胰腺癌的免疫药物仅为Keytruda。但近年来已有不少针对双免疫疗法、免疫联合靶向疗法治疗胰腺癌的临床试验正在研究中,有望进一步延长胰腺癌患者的生存期。
2017年5月,Keytruda获美国FDA批准,成为第一个基于微卫星不稳定性高(MSI-H)/错配修复缺陷(dMMR)生物标志物的抗癌药物,用于治疗MSI-H或dMMR实体瘤(包括胰腺癌)患者,无论肿瘤类型如何。2020年,美国FDA再次扩大适应症,批准Keytruda应用于高肿瘤突变负荷的癌症患者(包括胰腺癌)[15]。
06
介入治疗
胰腺癌的介入治疗主要包括:针对胰腺癌及胰腺癌转移瘤的介入治疗及胰腺癌相关并发症的治疗,主要治疗手段包括经动脉灌注化疗、消融治疗(HIFU刀、射频消融)等。
总而言之,随着治疗方案的不断增多,胰腺癌治疗的效果也在稳步提升。目前,日本、美国凭借稳居世界前列的医疗水平、更加准确的诊断结果以及严谨规范的治疗过程,使胰腺癌的生存率不断提升,成为了胰腺癌患者海外就医的优选。
截止到目前,厚朴方舟已经帮助无数胰腺癌患者预约日本、美国专家,制定了个体化治疗方案,实现生存期的显著延长:
40岁的王先生(化名)体检时查出胰腺癌,医生建议先进行新辅助治疗,等到合适的时机再考虑是否能手术,但因为手术难度较大,国内可能无法顺利完成手术,需要寻找手术技术更娴熟的专家。为了寻求手术机会,同时获得多方治疗意见,王先生通过厚朴方舟预约了三井纪念医院的院长、权威的肝胆胰外科诊疗专家川崎教授以及全球重离子治疗数量第一的日本QST医院进行会诊评估。会诊中,专家指出,应优先采用手术治疗,且王先生对当前化疗方案不敏感,需要及时更换化疗方案。推荐阅读:胰腺癌的十字路口,手术、重离子还是保守治疗?日本肝胆胰专家会诊答疑
被诊断为胰腺癌肝转移,直接宣判死刑的林先生(化名)怀着最后一丝期望寻求赴日治疗。在了解到林先生的就医需求后,厚朴方舟为林先生预约了日本权威肝胆胰癌症诊治专家幕内雅敏教授,并安排了林先生及家属的赴日就医。幕内教授全面评估林先生的病情后,给出了肝脏转移灶开胸手术+原发病灶射波刀放疗+化疗的治疗方案。在日本历时40天的全部治疗顺利完成后,林先生的病情得到了显著改善。推荐阅读:【厚朴案例】胰腺癌肝转移无生存希望?日本专家开胸+射波刀扭转局势
王先生(化名)在刚确诊胰腺癌刚被发现时就已出现多处转移,为了寻求更好的治疗方案,王先生找到了厚朴方舟。在厚朴方舟的帮助下,王先生预约了日本权威胰腺癌专家进行远程会诊。胰腺癌专家根据患者状况制定出了周密的治疗方案。推荐阅读:【厚朴案例】到达晚期的癌王的胰腺癌还能否治疗?虽无限艰难日本专家仍给出权威答案
今年61岁的孙先生(化名)因为总是腹胀腹痛决定前往医院检查,经过一系列检查,孙先生被确诊为胰腺体尾部恶性肿瘤,并且已经多发转移。为了获得更好的预后效果,孙先生儿子找到知名海外医疗服务机构——厚朴方舟预约了在日本权威胰腺癌专家进行远程会诊。会诊中,专家给出了孙先生详细的诊疗方案。推荐阅读:【厚朴案例】胰腺癌晚期患者日本远程会诊,获治疗多方案
厚朴方舟作为国内知名海外医疗服务机构的佼佼者,与日本、美国多家权威癌症治疗医院均有着深入的合作关系,可以为胰腺癌患者预约世界级专家诊治,量身定制治疗方案。如果希望了解更多胰腺癌治疗内容,或有意向寻求胰腺癌专家诊治的,可以拨打热线400-081-6600或添加微信DrHopeNoah联系我们。
参考来源:
[1] Zeng H, Chen W, Zheng R, et al. Changing cancer survival in China during 2003–15: a pooled analysis of 17 population-based cancer registries[J]. The Lancet Global Health, 2018, 6(5): e555-e567.
[2]院内がん登録生存率集計結果閲覧システム
https://hbcr-survival.ganjoho.jp/graph?year=2013-2014&elapsed=5&type=c11h-title
[3]Survival Rates for Pancreatic Cancer
https://www.cancer.org/cancer/pancreatic-cancer/detection-diagnosis-staging/survival-rates.html
[4]杨尹默. AJCC第八版及日本胰腺学会第七版胰腺癌TNM分期的更新要点及内容评介 [J] . 中华外科杂志,2017,55 (01): 20-23. DOI: 10.3760/cma.j.issn.0529-5815.2017.01.006
[5]Laparoscopic distal pancreatectomy for pancreatic ductal adenocarcinoma: results of a multicenter cohort study on 196 patients | SpringerLink
https://link.springer.com/article/10.1007/s00464-015-4623-x
[6] Minimally invasive versus open pancreatoduodenectomy—systematic review and meta-analysis | SpringerLink
[7]About the daVinci Surgical System | UC Health
https://www.uchealth.com/services/robotic-surgery/patient-information/davinci-surgical-system/
[8]Nassour I, Tohme S, Hoehn R, Adam MA, Zureikat AH, Alessandro P. Safety and oncologic efficacy of robotic compared to open pancreaticoduodenectomy after neoadjuvant chemotherapy for pancreatic cancer. Surg Endosc. 2021 May;35(5):2248-2254. doi: 10.1007/s00464-020-07638-w. Epub 2020 May 21. PMID: 32440928.
[9]膵臓がんに対する重粒子線治療について|山田滋 - QST病院(旧放射線医学総合研究所病院)|重粒子線治療(がん治療)
https://www.nirs.qst.go.jp/hospital/professionals/doctor04.php
[10] Proton beam radiotherapy for pancreas cancer - Rutenberg - Journal of Gastrointestinal Oncology
https://jgo.amegroups.com/article/view/27773/html
[11] FDA Approves Tarceva(R) in Combination with Gemcitabine Chemotherapy for Treatment of Locally Advanced, Inoperable or Metastatic Pancreatic Cancer; Tarceva Now Approved for Advanced Non-Small Cell Lung Cancer and Pancreatic Cancer
[12] WANG Y, HU GF, ZHANG QQ, et al. Efficacy and safety of gemcitabine plus erlotinib for locally advanced or metastatic pancreatic cancer:a systematic review and meta-analysis[J]. Drug Des Devel Ther, 2016, 6(10): 1961-1972.
[13] Lynparza granted orphan drug designation in Japan for BRCA-mutated metastatic pancreatic cancer
[14] FDA approves larotrectinib for solid tumors with NTRK gene fusions
[15]Keytruda Use Expanded for Pancreatic Cancer Patients
- END -
版权声明:本文为厚朴方舟原创内容,版权归厚朴方舟所有,欢迎转发朋友圈,任何公众号或其他媒体转载必须注明来源于【厚朴方舟】(ID:hope-noah)或者后台联系小编开白名单。
往期精彩回顾
1
重磅!美国儿童医疗水平标杆,2023-2024年度美国最佳儿童医院排行出炉!
2
3
如何提高口咽癌患者生活质量与生存率?肿瘤学绿皮书新研究给出答案!
免责声明:本公众号内容仅作交流参考,不作为诊断及医疗依据,专业医学问题请咨询专业人士或专业医疗机构。
