擅长伪装,不易察觉!影像医生一定要掌握“癌中之王”胰腺癌的重要影像征象
癌症作为全球一大死亡原因,提起它,如同谈虎色变,那么早预防、早发现、早诊断和早治疗便成了降低癌症发病率和死亡率的重中之重。2024年2月4日是第25个世界癌症日(World Cancer Day)。
有这样一种肿瘤,它非常擅长伪装自己,扰乱我们的视线,它会将自己深深隐藏,不让我们轻易察觉,可是一旦发现,犹如晴天霹雳。它就是素有癌中之王称号的消化道恶性肿瘤——胰腺癌。
目前,胰腺癌的发病率和死亡率在国内外均呈明显的上升趋势。据中国国家癌症中心2021年统计数据显示,胰腺癌位居我国男性恶性肿瘤发病率的第7位,女性第11位,占恶性肿瘤相关死亡率的第6位。胰腺癌多发生于40岁以上的中老年人,男性多于女性,以胰头部好发,其次为胰体和胰尾,其中胰腺导管腺癌(PDAC)是最常见的原发性胰腺恶性肿瘤。胰腺癌具有较高的转移能力以及较快的组织侵袭能力,恶性程度高,进展迅速,预后差。
今天我们来了解一下胰腺癌。
一、 胰腺的位置
胰腺位于中上腹部较深的位置,呈长条形,属于腹膜后位器官,被其他脏器包绕,是人体重要的消化腺。一般情况下,胰腺肿瘤很难直接摸到。
二、 高危因素
胰腺癌的病因尚未完全明确,流行病学调查显示胰腺癌发病与多种危险因素有关,包括个体因素(年龄、遗传易感性、遗传综合征等)、生活方式(吸烟、酗酒、肥胖等)、损伤感染(职业暴露、微生物感染等)、良性疾病(糖尿病、慢性胰腺炎等)、癌前病变等等。
三、临床症状
多数胰腺癌起病隐匿,早期症状和体征不典型,主要临床表现包括如下:
1.腹部不适或腹痛:是常见的首发症状,易与胃肠和肝胆疾病的症状混淆,多数患者表现在上腹部,可向腰背部放射。
2.消瘦和乏力:大多数胰腺癌患者在初期即有消瘦、乏力、体重减轻的症状,与缺乏食欲、焦虑和肿瘤消耗等有关。
3.消化道症状:常为消化不良的表现,如恶心、食欲减退、大便性状改变等,这是由于肿瘤阻塞胆总管下端和胰腺导管时,会导致胆汁和胰液不能进入十二指肠帮助消化和吸收。晚期胰腺癌侵及十二指肠,可引起消化道梗阻或出血。
4.黄疸:是胰头癌的重要临床症状,表现为皮肤、巩膜等黄染,可伴有皮肤瘙痒、深茶色尿和陶土样便,是由于胆道出口梗阻所致。
5.其他症状:如新发糖尿病、偶发胰腺炎等等。
四、影像学检查
对于有高危因素的人群,一旦发现任何风吹草动,建议尽早前往医院就诊,早期CT及MRI检查往往很关键,那么在影像上有哪些征象可以提示胰腺癌呢?
(一)CT:
1.胰腺局部增大并肿块形成:是胰腺癌主要和直接的表现。肿块的密度在平扫时常与周围正常胰腺等密度,如肿瘤较大,其内可发生液化坏死,则表现为肿瘤内不规则低密度区。胰腺癌为乏血供肿瘤,增强扫描时密度增加不明显,周围正常的胰腺组织强化明显,使得肿瘤显示更加清楚。因此CT检查,增强扫描对于发现肿瘤很重要。
2.胰管扩张:胰管阻塞,肿瘤远端的主胰管扩张,甚至形成潴留性囊肿。
3.胆总管扩张:胰头癌早期可侵犯胆总管下端引起胆总管阻塞,致梗阻性黄疸。胰管及胆总管均受累形成的双管征是诊断胰头癌较为可靠的征象。
4.肿瘤侵犯胰腺周围血管:表现为胰腺与血管之间的脂肪间隙消失,肿块包绕血管,血管形态不规则、变细,血管内有癌栓形成甚至完全阻塞,并继发侧支循环形成。
5.肿瘤侵犯周围脏器:如十二指肠、胃窦后壁、大网膜等。十二指肠及结肠受累表现为局部肠管壁增厚、僵硬并引起消化道梗阻和近端肠管扩张;胃窦后壁受累表现为胃和胰腺之间的脂肪间隙消失,胃壁局限性增厚或肿块突入胃腔;大网膜受侵表现为混浊、增厚,形成所谓饼状大网膜。
6.肿瘤可发生血行转移及淋巴转移:胰腺癌易经门静脉转移到肝脏。胰腺癌淋巴转移最常见于腹腔干和肠系膜上动脉根部周围的淋巴结。
7.腹水:表现为肝脾外周半月形水样低密度区,可能由门静脉高压所致,或因为肿瘤扩散到小网膜囊或腹膜腔,属于晚期表现。
图1A
图2B
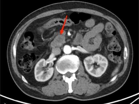
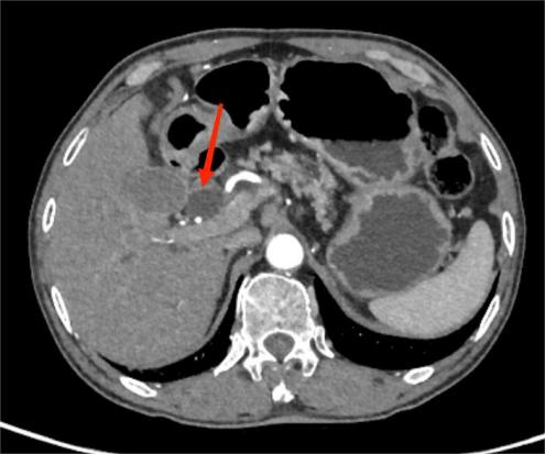
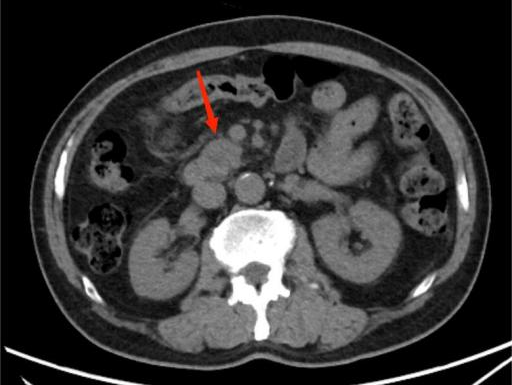
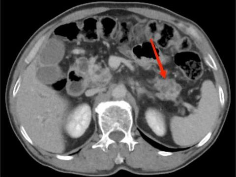
典型病例1:
男,70岁,间断性右腹部疼痛2年,为隐痛,发作无规律,加重1月余。图A:平扫CT示胰腺钩突部团块状稍低密度影,边界不清。图B:增强扫描示病灶呈弱强化。
图2A
图2B
图2C
典型病例2:
男,73岁,无明显诱因出现皮肤、巩膜黄染,尿色加深,伴腹痛,为剑突下隐痛,向腰背部放射,伴腹胀、腹泻。图A:平扫CT示胰尾部肿块,密度不均。图B:增强扫描示病灶呈不均匀强化。图C:可见扩张的胆总管。
图3A
图3B
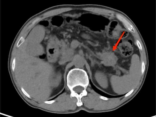
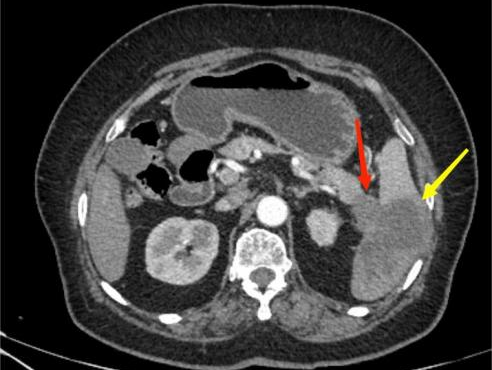
典型病例3:
女,62岁,无明显诱因出现腹痛,为左上腹痛,呈阵发性绞痛,程度剧烈。图A:平扫CT示胰尾部团块状稍低密度影(红箭头),与脾门分界不清;脾脏受侵,实质内见多发低密度影(黄箭头)。图B:增强扫描示胰尾部肿块呈轻度强化,脾脏多发低密度影呈轻度强化。
(二)MRI:
T1WI肿瘤呈低或稍低信号,T2WI肿瘤呈稍高信号;肿瘤内部可发生液化、出血、坏死等;在T2WI上则表现为混杂信号;增强扫描时正常胰腺组织明显强化,肿瘤部分仅轻微强化。MRCP可以清楚地显示胰胆管的走行,判断是否存在狭窄、扩张的情况。早期浸润时,胰周脂肪中可出现条纹状或毛刺状低信号影,晚期则表现为周围脂肪间隙消失。同时MRI对于血管有无受侵的显示要优于CT,尤其是对于紧贴胰腺走行的脾静脉、肠系膜上动静脉等判断准确率高。弥散加权成像(DWI)可以早期检测胰腺癌的发生,并有助于检测肝转移、淋巴结转移等。
图4A
图4B
图4C
图4D
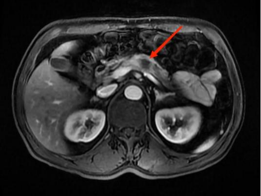
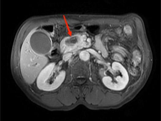
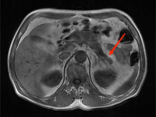
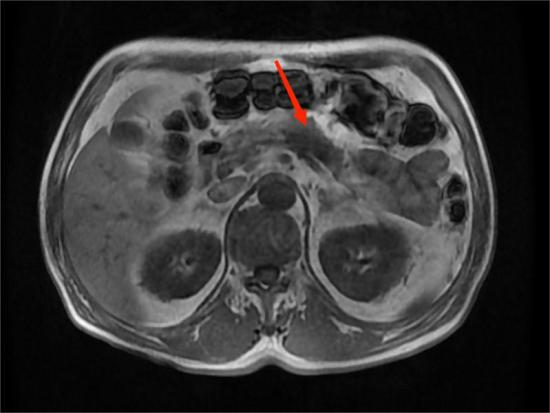
典型病例4:
男性,59岁,间断左中上腹部疼痛2个月,为隐痛,程度较轻,伴夜间痛。图A:T1WI示胰腺体部见团片状稍低信号影,边界不清。图B:增强扫描示病灶呈弱强化。图C:胰腺体尾部实质萎缩。图D:MRCP示远端胰管扩张。
图5A
图5B
典型病例5:
男,60岁,上腹痛。图A:增强T1WI示胰头部团块状弱强化病灶。图B:MRCP示低位胆道梗阻征象,可见肝内外胆管扩张,胆总管扩张,胆囊增大,胰管扩张。
五、治疗
胰腺癌的治疗方法主要包括手术治疗、放射治疗、化学治疗、介入治疗和最佳支持治疗等。医生要根据不同患者的患病情况,有计划、合理地应用现代诊疗手段,以求最大幅度地根治、控制肿瘤,减少并发症的发生,提高患者的生活质量。
(图片来源于网络)
六、怎样预防胰腺癌的发生?
在日常生活中,我们要倡导戒烟、戒酒,避免高动物蛋白高脂肪高糖饮食,多补充维生素,选择健康的生活方式,坚持体育锻炼,提高免疫力,减少接触有害化学物质,降低环境污染,加强防癌意识,学习相关卫生知识,定期进行体检,预防胰腺癌的发生。
癌中之王≠不治之症(无药可救)
无论何时都不要放弃希望,相信随着医疗技术的不断发展与进步,未来会有越来越多的方法,帮助癌症患者们延长生命周期、提高生活质量,让癌症可防可控可诊治。
(图片来源于网络)
虽然世界癌症日只有一天,但预防癌症、关爱健康应落实到我们生活中的每一天。
参考文献
[1]中国抗癌协会胰腺癌专业委员会.中国抗癌协会胰腺癌整合诊治指南(精简版)[J].中国肿瘤临床,2023,50(10):487-496.DOI:10.12354/j.issn.1000-8179.2023.20221544.
[2]国家卫生健康委办公厅.胰腺癌诊疗指南(2022年版)[J].临床肝胆病杂志,2022,38(5):1006-1015.DOI:10.3969/j.issn.1001-5256.2022.05.007.
[3]Frank H,Miller,Camila,Lopes Vendrami,Nancy A,Hammond,Pardeep K,Mittal,Paul,Nikolaidis,Anugayathri,Jawahar.Pancreatic Cancer and Its Mimics.[J].Radiographics : a review publication of the Radiological Society of North America, Inc,2023,43(11):e230054.DOI:10.1148/rg.230054.
[4] Elena M,Stoffel,Randall E,Brand,Michael,Goggins.Pancreatic Cancer: Changing Epidemiology and New Approaches to Risk Assessment, Early Detection, and Prevention.[J].Gastroenterology,2023,164(5):752-765.DOI:10.1053/j.gastro.2023.02.012.
[5]Jonathan D,Mizrahi,Rishi,Surana,Juan W,Valle,Rachna T,Shroff.Pancreatic cancer.[J].Lancet (London, England),2020,395(10242):2008-2020.DOI:10.1016/S0140-6736(20)30974-0.
[6]陈靖,赵翠翠.胰腺癌流行现状与病因机制分析[J].国际生物医学工程杂志,2022,45(4):340-344,349.DOI:10.3760/cma.j.cn121382-20220305-00410.
作者简介
全跃
大连医科大学附属第一医院放射科
社会规培学员
审核:
刘静红,大连医科大学附属第一医院放射科腹组组长,主任医师,教授,在读博士。
版权声明:本文图文由作者提供,如需转载请与本公众号联系。
