肝癌,胰腺癌,转移瘤……一文理清肝胆胰常见疾病的CT鉴别诊断
1
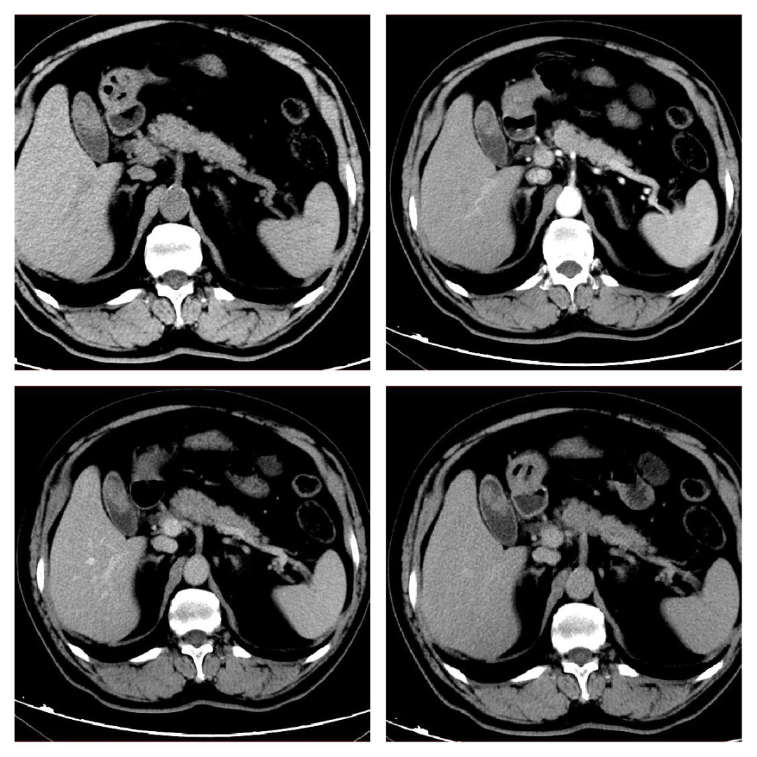
肝细胞肝癌:平扫呈低密度灶,动脉期快速强化,静脉期造影剂快速退出,延迟期可见假包膜。
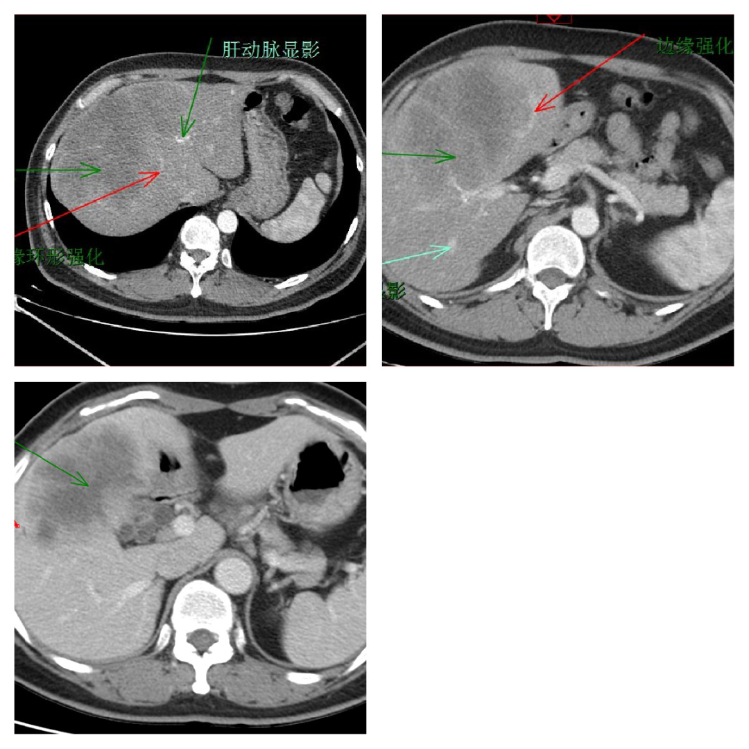
2
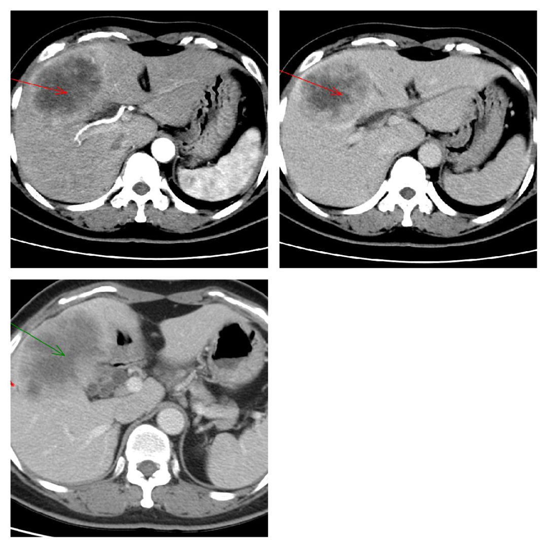
肝内胆管细胞癌:动脉期不规则环形强化,边界不清;静脉期及延迟期造影剂缓慢向肿瘤中心渐入的「延迟强化」。
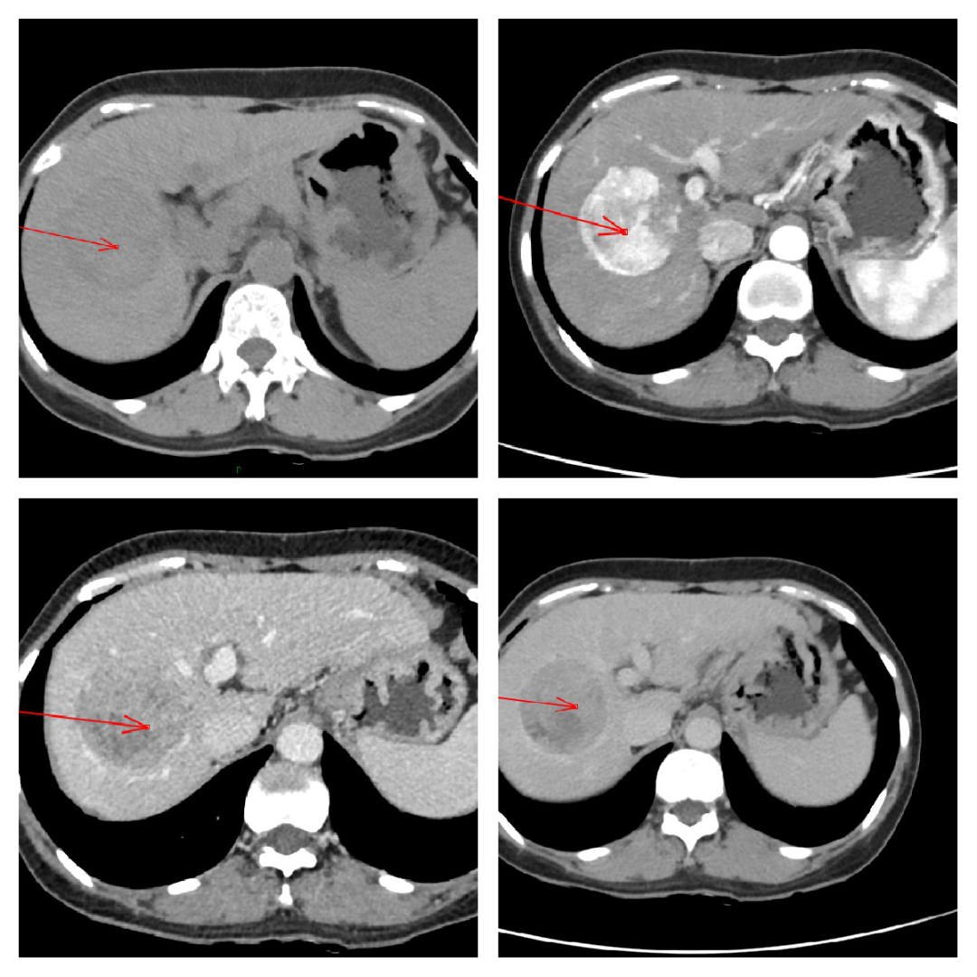
3
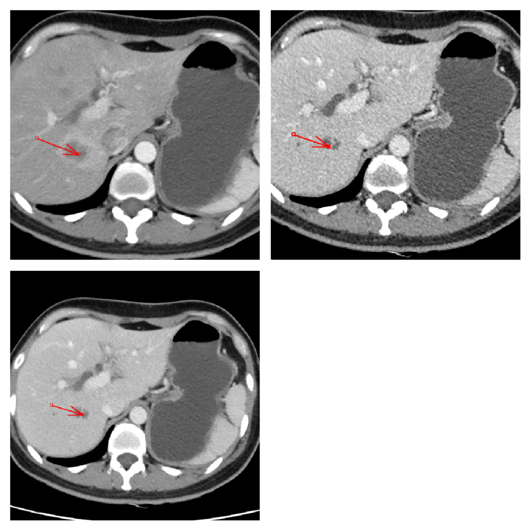
结肠癌肝转移:肝转移瘤一般在动脉期多发,呈「牛眼征」样强化,静脉期及延迟期继续为环形强化;通常与肝内胆管癌需要用 pet-ct、胃肠镜做鉴别诊断。
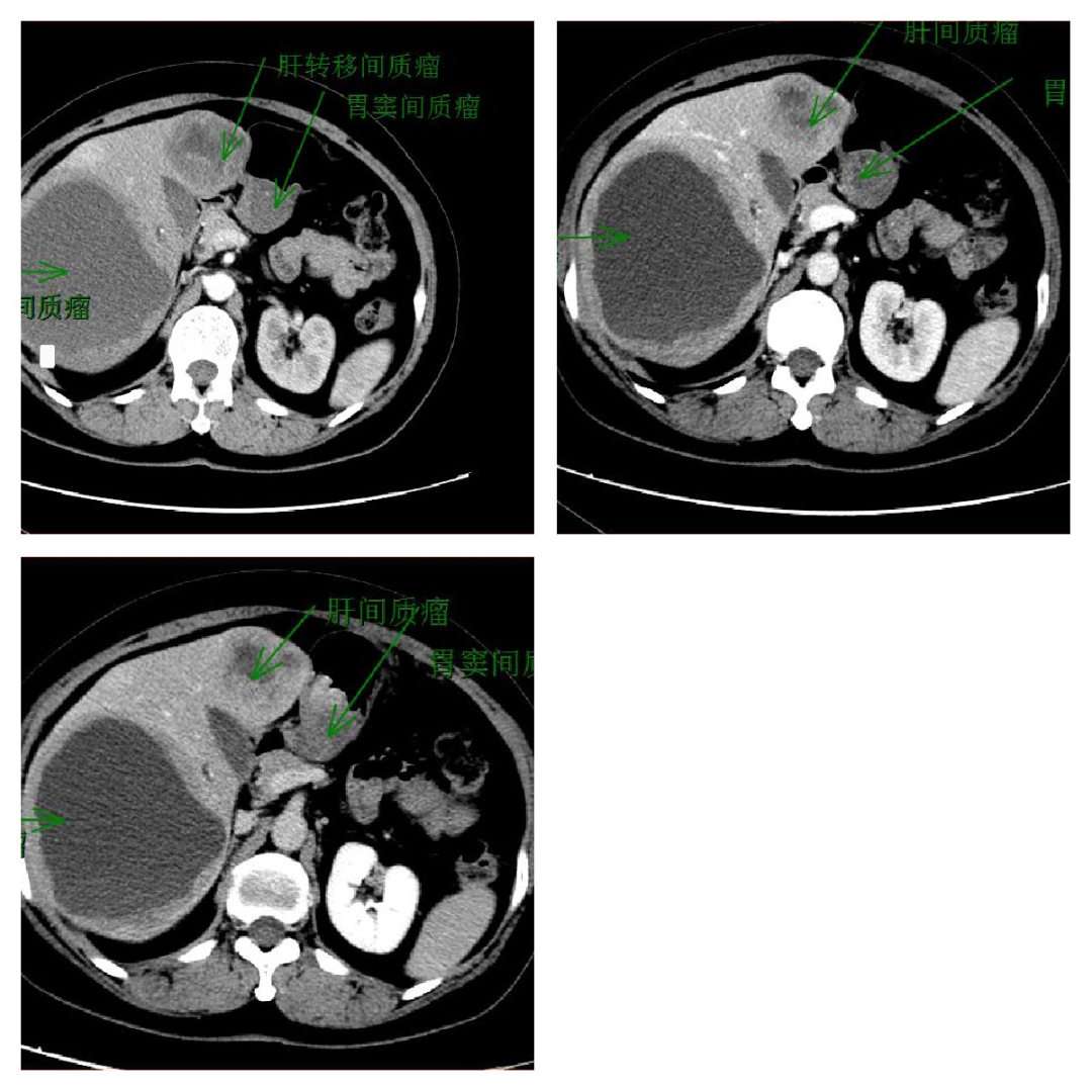
4
肝、胃间质瘤:胃肠比较容易出现间质瘤,肝往往为转移间质瘤;影像学特点是动脉期不均匀强化肿物影,与周围组织分界不清,向周围浸润。
5
肝脓肿:CT 动脉期环形强化,静脉及延迟期界限不清,伴发热,消炎后好转。
6
脉管癌栓:肝细胞肝癌容易发生脉管癌栓,ct 平扫显示为沿门脉走形区增宽;动脉期可见门脉走形区内不规则强化影;静脉期及延迟期强化减低。
7
胆囊癌:胆道系统最常见的恶性肿瘤;常表现为胆囊增大或萎缩,胆囊壁增厚、壁毛糙、动脉期壁不规则增厚、或可见动脉期不规则强化肿物影。
8
十二指肠乳头癌:动脉期十二指肠可见不规则强化肿物影,临床表现为低位胆道梗阻、黄疸等表现。
9
胰腺癌:胰腺是富血供器官、胰腺癌是乏血供肿瘤,因此表现为低信号肿物。
10
胰腺囊腺瘤:常常表现为壁可见强化的囊性肿物,容易与囊肿混淆。
11
脾血管内皮瘤:少见,低度恶性,动脉期强化明显,中央低信号区为瘢痕;静脉期强化程度稍减低,但仍然强化。
排版:张洁
投稿:zhangjie4@dxy.cn
题图 & 插图:作者提供

