白蛋白紫杉醇一线治疗晚期胰腺癌病例分享
病例提供者
浙江大学医学院附属第一医院 毛晨宇
简述
患者男,72岁,因腰背部酸胀痛一月就诊。既往有糖尿病史6年,长期胰岛素控制血糖,血糖控制尚可;高血压史3年,口服苯磺酸氨氯地平降压治疗,血压控制可。个人史、婚育史、家族史无殊。入院查体:ECOG 0分,腹平软,稍有压痛,无反跳痛,余体格检查基本无殊。
诊疗经过
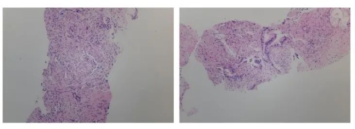
入院后全面检查评估病情:肿瘤标志物CA125 43.2 U/ml、CA199 6297.0 U/ml;肺部CT提示两肺支气管病变、右肺中叶少许炎症、两肺下叶少许间质性改变;胰腺CT平扫+增强提示胰体尾部占位,胰腺癌考虑(图1)。腹腔干及其分支血管、门静脉,脾静脉及肠系膜上静脉受侵,胰源性门脉高压伴侧枝循环开放;肝胆MR平扫弥散+增强提示胰腺颈部、体尾部胰腺癌考虑,侵犯包绕腹腔干动脉及其主要分支、脾动静脉、门脉主干、肠系膜上静脉汇入段,管腔狭窄闭塞;胃周静脉曲张,病灶向腹膜后延伸侵犯。2019-01-02 行B超引导下胰腺肿块穿刺活检(图2),病理提示为(胰腺穿刺)腺癌。
图1 基线影像学评估
图2 胰腺穿刺病理
初步诊断
1. 胰腺癌伴腹腔淋巴结转移 T4aNxM0 Ⅳa期;2. 高血压病;3. II型糖尿病。
改良AG( 白蛋白紫杉醇联合吉西他滨)方案
根据NCCN和CSCO指南,为患者选择AG方案进行一线治疗。考虑到患者高龄且基础疾病较多,因此对AG方案进行了剂量调整。患者于2019-1-18至2019-4-20接受改良AG方案一线治疗5个周期,具体药物和剂量为吉西他滨1000 mg/m2d1/8,q3w联合白蛋白紫杉醇140 mg/m2d1/8,q3w。该患者一线治疗获益较大,最佳疗效是PR。影像评估资料及肿瘤标志物情况如图3、图4所示。
图3 一线治疗影像评估(PR)
图4 肿瘤标志物变化情况
治疗过程中患者耐受性良好,不良反应主要集中在三个方面:骨髓抑制II度,化疗第一周期后出现白细胞II度下降,短效G-CSF对症处理后好转,后续周期均在d8后给予长效G-CSF二级预防,未再出现明显骨髓抑制情况;神经毒性I度,表现为双下肢酸痛,短暂使用非甾体类药物后缓解;脱发I度,为紫杉醇类药物常见不良反应,未予特殊处理。
病例小结及治疗体会
晚期胰腺癌的内科治疗疗效欠佳,是临床治疗难点。单药吉西他滨所带来的的临床获益十分有限,治疗疗效陷入瓶颈难有突破。
发布在2014年ASCO上针对晚期胰腺癌一线治疗的全球大型III期研究MPACT给这一治疗领域带来了新突破。该研究纳入了861例IV期未经治疗的晚期胰腺癌患者, 1:1随机分为AG方案组(白蛋白紫杉醇125 mg/m2,d1/8/15 +吉西他滨1000 mg/m2,d1/8/15,q4w,N=431)和吉西他滨治疗组(吉西他滨1000 mg/m2,d1*7w,q8w,后续d1/8/15,q4w,N=430)。主要终点为OS, 次要终点为PFS、ORR和安全耐受性。试验结果显示,白蛋白紫杉醇+吉西他滨显著延长晚期胰腺癌患者OS至8.5个月,降低死亡风险达28%,显著优于吉西他滨单药组。也正是这样的研究结果,奠定了AG方案在晚期胰腺癌一线治疗中的地位。
本例患者是高龄初治晚期胰腺癌患者,基于对于患者高龄且基础疾病较多的考虑,我们对AG方案进行了调整。患者一线接受了5个周期的改良AG方案(140 mg/m2d1/8+吉西他滨1000 mg/m2d1/d8,q3w),耐受性好,最佳疗效是PR,一线PFS超过15个月,患者从治疗中绝对获益,取得了令人满意的治疗效果。
该病例的成功治疗提示我们,AG(白蛋白紫杉醇+吉西他滨)方案可作为晚期胰腺癌的一线治疗方案首选。鉴于该方案毒副作用的考量,对于高龄或PS评分偏差的患者,三周的改良AG方案更具有实践性,既能保证治疗疗效,又能降低毒副作用,值得在临床上进一步推广和应用。
病例点评
点评专家:浙江大学医学院附属第一医院 徐农
患者男,72岁,胰腺CT提示胰体尾部占位,胰腺癌考虑,肝胆MR提示胰腺颈部、体尾部胰腺癌考虑,侵犯包绕腹腔干动脉及其主要分支、脾动静脉、门脉主干、肠系膜上静脉汇入段,管腔狭窄闭塞。胰腺肿块穿刺活检病理提示为腺癌。诊断:胰腺癌伴腹腔淋巴结转移 T4aNxM0 Ⅳa期。
患者为初治的不可切除胰腺癌患者,无根治性手术机会,化疗是其目前首选的治疗方法。但患者高龄且伴有较多的基础疾病,化疗耐受性较差,故该类患者的治疗难度是较大的。
晚期胰腺癌治疗药物较为局限,既往单药吉西他滨一直是标准治疗方案。近些年来,因一些证据级别较高的循证学依据的支持,以AG方案(白蛋白紫杉醇联合吉西他滨)和FOLFIRINOX方案(奥沙利铂、伊立替康、氟尿嘧啶三药联合)为代表的一些联合治疗方案已被各大指南所推荐用于晚期胰腺癌的一线治疗,其所带来的疗效要远优于既往单药吉西他滨的治疗疗效。然而,在具体的临床实施过程中,三药联合的FOLFIRINOX方案因其较强的骨髓抑制等毒副作用,可耐受人群相对较少,限制了其在临床的广泛应用。AG方案因其疗效明确且副作用相对较轻,已逐步成为临床标准一线治疗方案的首选,CSCO和NCCN指南也都将AG方案作为临界可切除胰腺癌的新辅助治疗以及晚期胰腺癌的一线治疗推荐方案。
本例晚期胰腺癌患者一线采用AG方案,获得了较好的临床疗效,进一步验证了该方案在胰腺癌的治疗价值。考虑到患者高龄且基础疾病较多,化疗耐受性偏差,因此对AG方案进行改良调整,采用d1 d8 q3w的模式,既能保证剂量强度,也一定程度减轻了药物副作用,保证了治疗完成度,是一个治疗成功病例。
该病例的成功实施提示我们:AG方案可作为晚期胰腺癌首选的一线治疗方案,改良的三周AG方案毒副作用相对较小,是一个既能保证疗效又有很好实践性的治疗方案,值得借鉴和推广。
