6个不同部位毛囊炎的症状表现,你能分清吗在线查看毛囊炎症状
深圳肤康导读
毛囊炎系由金黄色葡萄球菌感染毛囊引起的炎症类皮肤疾病,本病好发于头部、项部、臀部、肛周或身体其他部位,且有复发倾向,常多处发生,性质顽固,而且不同部位的毛囊炎症状表现不同,所以很多人搞不清症状,走入治疗误区。今天就带大家好好了解毛囊炎的症状有哪些。
深圳肤康皮肤科医师温馨提示:毛囊炎要及时诊治,不可私自用药或拖延不治,会带来严重的危害,影响患者日常生活与工作。深圳肤康治毛囊炎,中西医结合分型诊治,更专业更规范。
不同部位毛囊炎的症状表现
头部毛囊炎
头皮毛囊炎是较为常见的类型,是化脓性球菌侵犯毛囊口周围的一种炎性改变。毛囊炎初起为红色充实性丘疹。以后迅速发展成丘疹性脓疮,发于头部的就称为头皮毛囊炎,头皮毛囊炎对患者危害比较大。
面部毛囊炎
面部毛囊炎是金黄色葡萄球菌从皮肤上的汗毛孔进入导致的。皮肤上可看到针头大的脓疱,如附近的几个毛囊同时受到金黄色葡萄球菌感染,皮肤上可看到绿豆或者黄豆般大的脓疱。
胸部毛囊炎
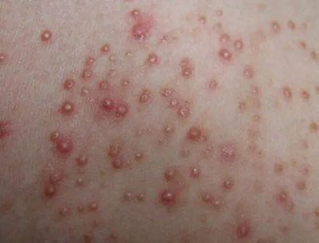
胸部毛囊炎的引发和饮食不规律密切相关。经常喝酒,吃辛辣刺激性食物可能会导致胸部毛囊炎的发生。毛囊炎最忌讳的就是酒精和辛辣的刺激,从而引发了毛囊炎的病原菌感染;最初以小脓疱的形成出现数个,周围有炎性红晕、脓疱干涸、脓疱破裂后可排出少量脓血,脓疱散在出现不融合。
背部毛囊炎
背部毛囊炎在皮肤科当中也是很常见的。这种病属于一种细菌性的皮肤病,背部毛囊炎的产生多是由于皮肤清洁不够而导致的。最初的时候是以小脓疱的形成出现数个,周围有炎性的红晕,脓疱干涸、脓疱破裂后可排出少量脓血,脓疱散在出现不融合。
臀部毛囊炎
臀部毛囊炎多是由维生素摄取量不足而导致的,通常情况下在不清洁、挠抓及人体抵抗力低下时很容易感染葡萄球菌,出现脓疱疮,红斑性丘疹,,中间会有毛发穿过,周围会有炎性红晕,有些病人由于挠抓,脓疱破溃后流出泛黄脓液并夹杂着少量脓血,但是经过数日后会结疤结痂。
项部硬结性毛囊炎
又称瘢痕疙瘩性毛囊炎、发际疮和项部毛疮等。多发于中老年男性,尤其是患有痤疮及瘢痕疙瘩体质者容易患本病。病初起时,项部发际处出现红色小丘疹或小脓疱,互相融合,逐渐发展成瘢痕疙瘩性硬结,有圆形、卵形和不规则形。一般发于项后毛发部位,患处头发稀少或完全脱落,病程缓慢,常可数年不愈。
日常该如何预防毛囊炎?
1. 饮食调整:饮食要均衡,多摄入富含维生素和矿物质的食物,如新鲜水果、蔬菜和全谷类食品,避免摄入过多的油脂和糖分,保持身体健康。
2. 避免过度摩擦:避免过度搔抓头皮和面部,避免刮胡子时刮伤皮肤,减少摩擦和刺激,有助于预防毛囊炎的发生。而且不断的抓挠会加重病情,加大治疗的成本和难度。
3. 及时治疗:一旦发现皮肤出现红肿、疼痛和脓包等症状,应及时就医,接受专业的治疗和护理,避免毛囊炎的恶化和扩散。
4. 保持个人卫生:定期清洁皮肤,特别是头发生长的部位,使用温和的洗发水和护发素,避免使用刺激性的化妆品和沐浴露。
版权声明:以上图片来源于网络,版权归原作者所有,仅作分享之用。如有侵权,请留言私信小编,我们会及时审核及删除,谢谢合作!
往
期
回
顾
青春痘
荨麻疹
湿疹
脱发
