快速识别婴幼儿皮肤问题(8):婴儿脂溢性皮炎
注意:
1、即使学习了相关内容,仍无法代替专业医生的诊断,无法把握时需及时就医;
2、本文中的图片可能会令你不适。
胎记,顾名思义,就是从娘胎里带来的皮肤印记,有红胎记、青胎记、黑胎记、白胎记等。很多人认为胎记是不需要治疗的,而实际上,有些胎记是某些疾病在皮肤上的表现。
红色胎记
红色胎记的本质是血管出了问题,可以粗分为两类。
一类是血管畸形, 是血管的粗细、分支生长出现了异常,但构成血管壁的细胞没有增生,所以不是肿瘤,代表疾病是单纯性斑痣和鲜红斑痣;
另一类是血管瘤,构成血管壁的细胞出现了增生,代表疾病是婴儿血管瘤、先天性血管瘤,少见的还有丛状血管瘤和卡波西样血管内皮瘤。
(1)单纯性斑痣(新生儿斑痣)Nevus simplex
图源:skinsight.com
这种长在前额或眼睑、后项处的红斑很常见,也叫鲑鱼斑 salmon patches,皮损特点表现为长在身体中线部位的不规则红斑 ,压之褪色,哭闹时候明显。
长在前额的又称为天使之吻 angel kiss,长后项的则称为鹳叼痕 stork bite,其本质是毛细血管暂时性畸形扩张,既没有血管瘤那样的血管内皮细胞增生,也没有鲜红斑痣那样持续的血管畸形生长。
除了颈背部的病变偶可长期保持不变外,本病大多数在出生后数月到数年间逐渐消退(大多在 1~2 岁之间),均不伴其它损害。把它放在第一个讲,是因为它常常被误诊为鲜红斑痣。
(2)鲜红斑痣 nevus flammeus
图源:medicinenet.com
与单纯性斑痣用鲑鱼、鹳的动物命名风格不同,鲜红斑痣的别名叫葡萄酒色斑 port wine stains。
和鲑鱼斑相比,除了边界更清晰,分布更偏单侧之外,最大的特点是不会消退且还可对临近器官组织产生影响。
鲜红斑痣的面积通常随身体发育等比例增大,10 岁前很少出现显著的增生改变,10 岁后可进入增生期,畸形血管随年龄增长逐渐增厚,甚至可呈结节样改变。
鲜红斑痣在面部三叉神经支配区域是高发部位,此外也可出现在四肢和干,单侧发病多见(偶尔也可以双侧),其本质是毛细血管-静脉畸形,也就是说血管的粗细、走向、分支的角度和数量等出现了异常,但单独一截血管的结构还是正常的。
葡萄酒色斑,还可与表皮痣、蒙古斑、黑素细胞痣、贫血痣一起生成四种不同混搭类型的色素血管性斑痣性错构瘤病 phakomatosispigmentokeratotica*。
之后还可按不伴或伴有身体其它损害分为 a、b 两型。
注:斑痣性错构瘤病,又称为神经皮肤综合征,该病的皮肤病变和全身性疾病(通常是神经系统疾病)之间存在共同的遗传因素,包括大名鼎鼎的神经纤维瘤病和结节性硬化病均属于此类,神经与皮肤表现可以合并或先后现。
由于在大多数情况下,全身性疾病的表现多种多样,而且比皮肤病变更严重,因此,让合格的皮肤科医生及时识别特征性的皮肤/黏膜病变,就又机会对这种综合征进行早期诊断及治疗。
累及身体一侧且较大的鲜红斑痣常终身不退,甚至不断生长,如果只影响局部的皮肤、血管,还只属美观的问题,严重的情况可影响邻近组织出现深部血管畸形、软组织及骨肥大,此时称为血管扩张肥大及血管骨肥大综合征 Klippel–Trenaunay syndrome(KT综合征)。
KT 综合征之后还有个 KTW 综合征(Klippel–Trenaunay-Weber syndrome)更严重,是 Parkes Weber 在 KT 综合征之后提出来的,所以又叫 Parkes Weber 综合征,除 KT 综合征的损害特点外还要加上动脉畸形(动静脉瘘)。
图源:dermis.net
KTW 综合征的肢体肥大反而没有 KT 综合征明显,鲜红斑痣的颜色也更淡。动静脉瘘位置不同症状也不同,离躯干近的可以导致肢体远端的缺血改变,末梢发凉、苍白或发黑、坏死,而 KTW 综合征在皮肤上的血管角皮瘤,皮肤血管炎等损害等也比 KT 综合征要明显。
图源:emedicine.medscape.com
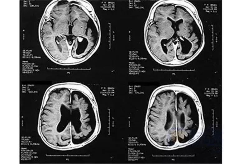
鲜红斑痣长在面部时,若伴发青光眼时则叫脑-三叉神经血管瘤病综合征 Sturge–Weber syndrome(斯-韦二氏综合征),常合并癫痫(75~90%)、智力发育迟缓、大脑同侧多发性血管瘤。
图源:Dr.Lamia Salah Elewa
CT 可显示钙化,脑萎缩,同侧脉络丛扩大和引流静脉畸形。MRI 造影可显示软脑膜血管瘤,甚至新生儿也可显示。
不幸得出鲜红斑痣,就别浪费时间在各种偏方上了,及早进行激光治疗、监测可能的并发症才是王道。
(3)血管瘤 hemangioma
1982 年,Mulliken 和 Glowacki 首先提出用生物学分类法,以血管内皮细胞是否增殖为标志,结合临床表现,将血管性胎记(先天性皮肤血管疾病)分为血管瘤和血管畸形两大类。
前面说的鲜红斑痣/葡萄酒色斑就是血管畸形,真正的血管瘤通常是上图这种草莓状或海绵状的,表面不平坦。
以前对血管瘤的命名以形态学特点来分类,例如草莓状、海绵状血管瘤,但目前这种分类法已淘汰,而以更准确的病变位置分为浅表型( 鲜红色丘疹结节) 、深在型(蓝色球形结节)、混合型(以上两型混合)。
血管瘤本质是血管内皮细胞的增殖,是真正的肿瘤,但大多是良性的,比如常见的婴儿血管瘤一般在生后几周开始出现,然后逐渐长大,到 1 岁后再进入一个长达 5~10 年的消退期。
以往没什么好办法的时候,医生大多会建议等待数年让其自愈。但后来发现某些血管瘤长得太大,愈后也会形成瘢痕、血管扩张、皮肤松弛等后遗症,长在重要器官附近的甚至会影响该器官功能[PHACE(S)综合征],所以最好让医生评估后,有需要就在血管瘤的生长期前治疗。
一线方案包括口服普萘洛尔及外用 0.5% 的马来酸噻吗洛尔软膏(国内可用同成分的凝胶眼水代替),此外激素封闭或平阳霉素注射、冷冻、激光治疗也是常用的方法。
家长应注意观察血管瘤的变化,每个月拍个照片,就诊时交给医生评估。平时注意避免血管瘤部位受伤、磨擦。
相关阅读:
👇点击阅读原文获取更多靠谱课程
