头皮银屑病的诊断容不容易?Itdepends!
这个问题取决于皮损是否典型?如果典型,很容易;如果不典型,那就不容易,而且不容易的原因是它还需要和多种疾病相鉴别。
在讨论主要问题前,先讨论一个很小、似乎与本主题无关,但很重要的问题,如何拍好头皮银屑病的皮损图片呢?我们想下面一组图片可供大家参考(图1)。
图1 一例头皮银屑病患者
接下来从以下四个方面来讨论:头皮银屑病的特点、头皮银屑病最需要鉴别的疾病、头皮银屑病常需要鉴别的几种疾病、头皮银屑病需要鉴别的少见疾病。
头皮银屑病的特点
1. 头皮银屑病很常见。西北欧的一项调查显示,头皮银屑病的发病率为1.5%-2%[1]。1998年的一项研究显示,79%[50%-80%]银屑病患者有头皮受累[2]。儿童头皮银屑病也很常见,达47%-88.9%[3]。
2. 头皮常为银屑病的首发部位和最为好发部位,包括各型及各期银屑病[4]。
3. 头皮银屑病常超出头皮之外(同时可累及面部、耳后和项部,图2[5]、图3[6])。超出头皮不仅是简单的超出,更多是给患者带来不良情绪和心理。
图2 头皮银屑病超出发际,累及上颈部、耳后区域
图3 头皮银屑病超出发际,累及上颈部
4. 头皮银屑病常可导致秃发。曾有研究认为,头皮银屑病不引起秃发[7]。但更多的研究显示,头皮银屑可导致秃发,通常是非瘢痕性秃发,但严重的头皮银屑病继发感染时可能会导致瘢痕性秃发[8]。Özkur等[9]报道了一个有趣病例(图4)。这是一位斑块状银屑病患者,先是接受阿达木单抗治疗,2月后出现头皮银屑病和秃发,遂停用阿达木,改为MTX,1月后毛发再生,头皮银屑病的皮损也随之消退。这个病例呈现给我们的是:阿达木单抗导致的反常(矛盾)性银屑病(Paradoxical psoriasis)和秃发(此处的秃发并非银屑病本身所致,而是药物之故,这为我们分析银屑病患者出现秃发时提供了一种新的思路)。
图4 一位斑块状银屑病患者
5. 反常(矛盾)性银屑病。此为TNF-α阻滞剂的不良反应之一。女性略为多见;可见于斑块状、脓疱型或点滴状银屑病治疗过程当中;这种现象的机制和浆细胞样树突状细胞有关,它导致了IFN-α产生增多,进而使T细胞迁移至皮肤,最终诱发银屑病皮损。如反常(矛盾)性银屑病的皮损较轻,可不予处理,如果皮损>5%体表面积,建议停用TNF-α阻滞剂,可外用糖皮质激素和维生素D3衍生物,同时改为传统治疗(如MTX),或改为非TNF-α阻滞剂的生物制剂,如乌司奴单抗[10]。
6. 头皮银屑病继发关节病型银屑病的风险大[4]。
7. 头皮银屑病的五大问题:红斑、鳞屑、脱发、瘙痒、难看。基于这五大问题,我们提出了五个鉴别诊断的线索:头皮、红斑、鳞屑、脱发、瘙痒。
8. 欧洲共识依据皮损面积、皮损及症状将头皮银屑病分为轻度、中度和重度,具体见表1[11]。
表1 头皮银屑病的分级
9. 头皮银屑病常导致患者心理障碍,影响患者的生活质量。有研究显示,31%的头皮银屑病患者伴有焦虑[12]。
最需要鉴别的疾病:脂溢性皮炎
门诊上,我们经常做的一件事就是鉴别头皮银屑病和脂溢性皮炎,有时很容易,但有时并不好鉴别。具体鉴别要点见下表(表2)。近年来,皮肤影像技术的发展,为鉴别这两个疾病提供了新的工具和方法,如皮肤镜和皮肤CT(表3-4、图5-7)[13, 14]。需要提醒的是,无论工具多先进,详细的病史和家族史、皮损部位、形态、其他部位有无典型皮损、有无甲损害、有无黏膜改变(裂纹舌,或地图舌)等仍是这两个疾病鉴别的根本和前提。
表 2 头皮银屑病和脂溢性皮炎的鉴别诊断
表3 银屑病或脂溢性皮炎患者血管模式的出现频率
图5 皮肤镜模式和基本组织学特征的示意图。银屑病中细长的真皮乳头内的曲折和扩张血管表现为红点和小球(a);肾小球样血管(b)和扭曲的红色环(c)。脂溢性皮炎中的树枝状血管(d)和非典型血管(e)代表轻微增生的乳突下血管丛。这种构图方式很好,您觉得呢?如果加上临床图片会更好!
表4 皮肤CT特征在SSD与SP两组间的差异分析 例(%)
图6 头皮脂溢性皮炎在皮肤CT下的特征 1a:角化不全;1b:海绵水肿;1c:血管水平扩张;1d :真皮炎症细胞浸润;1e:毛囊内角栓
图7 头皮银屑病在皮肤CT下的特征 2a:角化过度;2b:角化不全;2c:Munro微脓肿;2d :真皮乳头上移;2e:真皮乳头扩张 2f:真皮炎症细胞浸润
此外,有学者提出了脂溢性银屑病(Sebopsoriasis)的概念,即银屑病和脂溢性皮炎共存。其实,关于脂溢性银屑病,目前尚无明确的定义和诊断标准。再给大家介绍一个有意思的病例(图8[15])。这个病例包含了好几个概念:一是依法利珠单抗治疗银屑病有效,但是因为严重的不良反应(进行性多灶性脑白质病)已经退市;二是依法利珠单抗可能诱发银屑病患者面部出现脂溢性皮炎,或者脂溢性银屑病;三是依法利珠单抗改为益赛普后又诱发了面部丹毒,即生物制剂可能导致感染的问题;四是面部丹毒经抗感染治疗后消退,但又出现了新的银屑病皮损,即同位反应,并非同形反应(该文献这样认为)。
图8 A:寻常性银屑病患者,采用依法利珠单抗治疗后皮损好转,但面部出现新的脂溢性损害,故停用依法利珠,改为依那西普;B:15天后面部出现丹毒,遂停用依那西普,改用普那霉素;C:2周后丹毒皮损消退,但之前丹毒的部位出现银屑病的皮损,再用依那西普后银屑病皮损迅速消退。
常需要鉴别的疾病
除了和脂溢性皮炎相鉴别外,头皮银屑病尚需和其他常见的皮肤病相鉴别,如头癣、玫瑰痤疮(有可能累及头皮)、头皮扁平苔藓、特应性皮炎、接触性皮炎、神经性皮炎、秃发等。这些鉴别大家非常熟悉,就不在此一一赘述了。
需要鉴别的少(罕)见疾病
累及头皮少(罕)见疾病很多,接下来举几个例子来加以说明。
我们知道,CARD14基因突变与家族性毛发红糠疹相关,也与部分脓疱型银屑病有关。新近报道的一种罕见的疾病(或现象)也是CARD14基因突变所致,这种疾病(或现象)叫CARD14相关丘疹鳞屑性损害(CARD14-associated papulosquamous eruption,CAPE)(图9[16])。CAPE可能累及头皮,所以在此讨论。简单地说,CAPE是指由CARD14基因突变所致的、临床和病理上同时以银屑病和毛发红糠疹为特点的一种现象(图10[17])。因此,临床上如果一例患者既有银屑病皮损,又有毛发红糠疹皮损时,我们当考虑CAPE。CAPE有如下5个特点:①发病早,大多<1岁;②银屑病+毛发红糠疹,可以某一种为主;③易累及面部;④银屑病或毛发红糠疹家族史;⑤对银屑病传统的外用和系统治疗抵抗,乌司奴单抗治疗疗效显著(图11[16])。
图9 面部对称性边界清晰的粉红色斑片或斑块,躯干散在粉红色斑片或斑块,部分融合成片
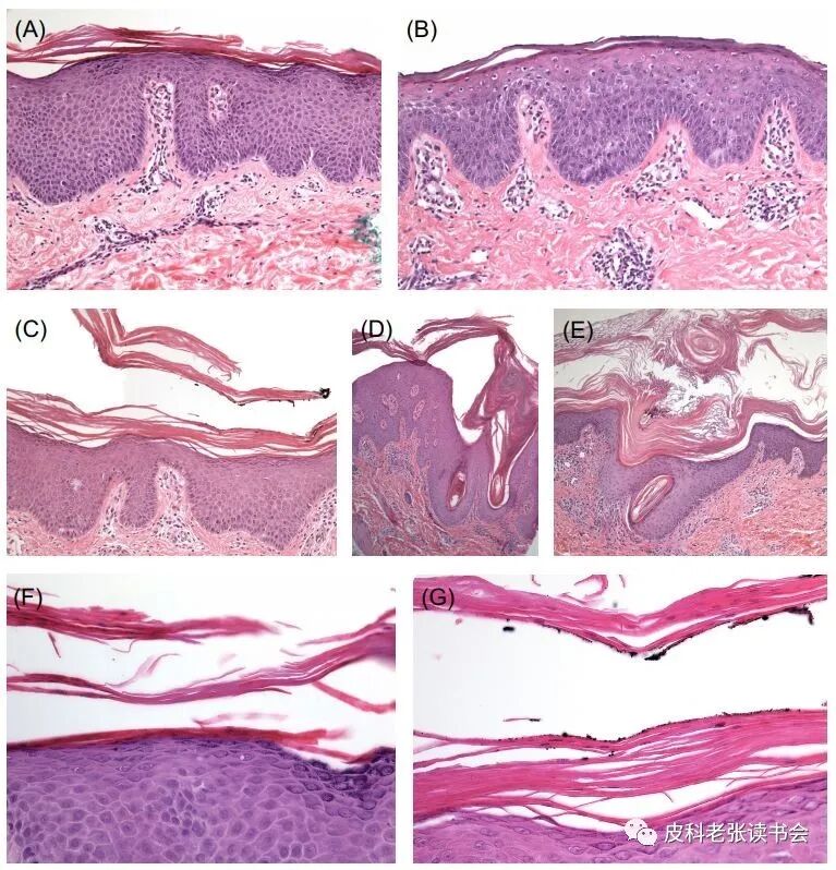
图10 (A)规则性棘层肥厚和交替的棋盘状角化不全和角化过度;(B)规则棘层肥厚合并薄层角化不全;(C)规则棘层肥厚伴片状棋盘状角化不全和角化过度;(D)毛囊堵塞;(E)不规则棘层肥厚并毛囊堵塞;(F,G)高倍镜下角质层显示棋盘状角化不全和角化过度。其他共同特征包括无棘层松解,浅表血管曲折、血管周围淋巴组织细胞浸润。
图11 乌司奴单抗治疗6个月后,皮损基本完全消退
于建斌教授所带领的团队曾报道1例累及头皮的浸润性红斑,伴秃发的患者,最后该患者被确诊为伴毛囊黏蛋白沉积的亲毛囊性蕈样肉芽肿(图12[18])。亲毛囊性蕈样肉芽肿的预后较差,故建议将其作为肿瘤期患者进行治疗。这个病例也提醒大家,头皮银屑病的鉴别不应仅仅局限于炎症性疾病,还要和一些少(罕)见肿瘤性疾病相区别。
图12 图①:头皮红斑、 斑块及脱发;图②:上胸部暗红色斑片及散在毛囊性丘疹;图③:背部红褐色斑片与散在丘疹;图④:毛囊周围致密淋巴细胞浸润;图⑤:毛囊上皮Pautrier微脓肿;图⑥:CD4阳性;图⑦:CD8灶状阳性;图⑧:CD43阳性;图⑨:毛囊内蛋白沉积。
新近公众号皮肤时间以头皮脂溢性皮炎样改变为题介绍了J Dermatol上发表的一个罕见病例(图13[19])。这例患者最终的诊断为转移性乳腺癌伴淋巴浸润。
图13 (a)额部和顶部头皮区域非瘙痒性红斑;(b,c)前额红斑组织病理显示真皮有大量肿瘤细胞浸润;(d,e)免疫组化显示肿瘤细胞雌激素(d)和细胞角蛋白AE1/AE3(e)阳性,淋巴管内可见AE1/AE3阳性的肿瘤细胞(e)。(f)化疗2个月后,红斑和结节几乎消失
通过上面的介绍,您还觉得头皮银屑病的诊断容易吗?
文章内容仅用于学术讨论,仅供医疗专业人士阅读
参与者:
孙钰桢,张涵茵,胡媛,孙莉婷,何江曼,辛伍艳,袁梦瑾,杨潇潇,张阳,石卫华,韦旭华,赵冰洁,张江安
参考文献:
[1] Papp K, Berth-Jones J, Kragballe K, et al. Scalp psoriasis: a review of current topical treatment options. J Eur Acad Dermatol Venereol. 2007;21(9):1151-60.
[2] Van de Kerkhof PC, Steegers-Theunissen RP, Kuipers MV. Evaluation of topical drug treatment in psoriasis. Dermatology. 1998;197(1):31-6.
[3] Oostveen AM, Jong EM, Evers AW, et al. Reliability, responsiveness and validity of Scalpdex in children with scalp psoriasis: the Dutch study. Acta Derm Venereol. 2014;94(2):198-202.
[4] Wozel G, Klein E, Mrowietz U, et al. Scalp psoriasis. J Dtsch Dermatol Ges. 2011;9(1):70-4.
[5] Sticherling M. Psoriasis capitis and seborrhoic eczema of scalp diseases. Hautarzt. 2017;68(6):457-65.
[6] Renton C. Diagnosis and treatment of adults with scalp psoriasis. Nurs Stand. 2014 Feb 26-Mar 4;28(26):35-9.
[7] Christophers E, Krueger GG. Psoriasis. Dermatology in general medicine. New York: McGrawhill BookCo, 1987: 461-91
[8] George SM, Taylor MR, Farrant PB. Psoriatic alopecia. Clin Exp Dermatol. 2015;40(7):717-21.
[9] Ozkur E, Altunay IK, Leblebici C, et al. Adalimumab-induced scalp psoriasis with severe alopecia. Dermatol Ther. 2019;32(5):e13033.
[10] Andrisani G, Marzo M, Celleno L, et al. Development of psoriasis scalp with alopecia during treatment of Crohn’s disease with infliximab and rapid response to both diseases to ustekinumab. Eur Rev Med Pharmacol Sci, 2013;17(20):2831-2836.
[11] Ortonne J, Chimenti S, Luger T, et al. Scalp psoriasis: European consensus on grading and treatment algorithm. J Eur Acad Dermatol Venereol. 2009;23(12):1435-44.
[12] Poyner TF, Fell PJ. Frequency of patients with plaque psoriasis who had not consulted their doctor in the past year. Br J Clin Res 1995; 6: 201-7.
[13] Kim GW, Jung HJ, Ko HC, et al. Dermoscopy can be useful in differentiating scalp psoriasis from seborrhoeic dermatitis. Br J Dermatol. 2011;164(3):652-6.
[14] 王玉兰,李艳,张丽媛等.头皮脂溢性皮炎RCM与皮肤镜特征分析及与头皮银屑病的鉴别[J].中国皮肤性病学杂志,2020,34(03):272-279.
[15] Viguier M, Bachelez H. Successive sebopsoriasis, erysipelas and Koebner phenomenon. CMAJ. 2010;182(6):E252.
[16] Craiglow BG, Boyden LM, Hu R, et al. CARD14-associated papulosquamous eruption: A spectrum including features of psoriasis and pityriasis rubra pilaris. J Am Acad Dermatol. 2018;79(3):487-94.
[17] Ring NG, Craiglow BG, Panse G, et al. Histopathologic findings characteristic of CARD14-associated papulosquamous eruption. J Cutan Pathol. 2020;47(5):425-30.
[18] 李税琪,张江安,于建斌等.伴毛囊黏蛋白沉积的亲毛囊性蕈样肉芽肿1例[J].中国皮肤性病学杂志,2014,28(03):285-286+289.
[19] Oginezawa M, Shinkuma S, Ansai O, et al. Seborrheic dermatitis-like metastatic breast cancer. J Dermatol. 2020;47(12):e440-e2.
扫码关注我们
公众号
皮科老张读书会
