自身免疫性胰腺炎与胰腺癌丨CT鉴别诊断
往期链接
肾上腺功能亢进性病变丨影像表现(CT、MRI、PET-CT)
来源: 熊猫放射
自身免疫性胰腺炎( autoimmune pancreatitis,AIP)属于特殊类型的慢性胰腺炎,部分病变可表现为局灶性肿块( 约50%) ,且常引起主胰管和胆管的不均匀狭窄和继发的扩张,导致与胰腺癌的鉴别诊断困难。而二者的治疗和预后完全不同,前者不需要手术治疗,只要内科激素治疗即可,准确诊断可以减少患者的痛苦。AIP的诊断标准包括影像学、实验室检查、组织学、胰腺外脏器累、激素治疗后的反应。尽管 AIP患者中血清学指标 IgG、IgG4 和自身抗体常会升高,但其特异性、敏感性仍有争议;穿刺活检的特异性不高,且属于有创性的检查。因此影像学在各个诊断标准中发挥了关键性的作用。
病变形态和强化特点
AIP典型表现为胰腺弥漫性肿大呈腊肠样,密 度较均匀,轻度-中度强化,周围可以出现环状低密度包壳。即使在局灶性病变,多数亦可见腊肠样改变和包壳。在病理上,淋巴细胞、浆细胞弥漫浸润胰腺组织,纤维组织高度增生,胰腺周围包壳征可能为胰腺周围积液、蜂窝织炎或纤维化。
胰腺导管腺癌 ( pancreatic ductal adenocarcinoma,PDAC)典型表现为胰腺结节样肿块,继发远端胰管扩张并胰腺实质萎缩。因此出现包壳及腊肠样改变可排除 PDAC 的诊断,而出现胰腺萎缩应注意 PDAC 的可能性。
AIP和PDAC病灶增强扫描各期均表现为相对低密度,但是多数AIP门静脉期和延迟均匀强化,而 PDAC多数未表现出明显的延迟强化且强化不均匀,二者有明显差异。这种差异可能是由于病理上AIP病灶中纤维组织高度增生,导致强化缓慢;闭塞性静脉炎可能会导致对比剂排除受限;而PDAC为乏血供病灶,内部容易出现坏死灶,导致强化不均匀。
门静脉期和延迟期AIP病灶强化程度高于PDAC病灶,且延迟期AIP病灶强化程度接近胰腺实质对鉴别诊断有一定价值。
PDAC病灶位置接近血管或病灶较大,则容易累及到血管,而弥漫性AIP病灶范围较大,也容易累及到血管。
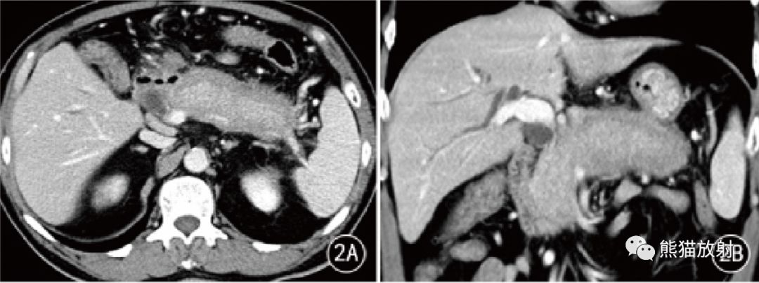
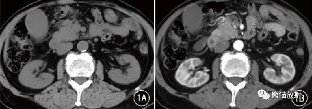
图1 男,75 岁。AIP 胰头部局灶性病变,CT平扫呈稍低密度,增强动脉期和门静脉期渐进性均匀强化。镜下见胰腺导管管壁增厚,周围炎性浸润和纤维化,闭塞性静脉炎( HE × 200)。
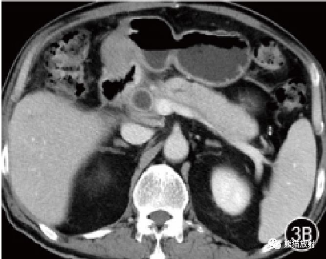
图3 男,63 岁,AIP 胰腺体尾部弥漫性病变并胰头部局灶性病变。CT门静脉期显示胰头部均匀强化病灶和体尾部肿胀呈腊肠样。
胰管和胆管表现
AIP很少出现病变远端胰管扩张,且扩张程度均<0.5 cm,均出现在局灶性病例中,其余病例胰管均未见扩张。很多文献也认为主胰管多发不规则狭窄不伴远端胰管的扩张是 AIP的特征之一。CT后处理技术可以进行沿胰管曲面重组以显示胰管的整体形态,对于胰管扩张者可能有助于更好地显示胰管, 但胰管扩张不明显时难以追踪胰管。
而 PDAC患者多数累及胰管并出现病变远端胰管扩张,其中多数扩张程度≥0.5cm,多数出现胰腺萎缩。
胆管是AIP胰腺外累及最常见的部位,常累及胆总管下端,引起胆管壁增厚以及管腔光滑向心性狭窄,狭窄区细长,病理上同样是由淋巴细胞、浆细胞浸润,纤维组织增生引起,同时周围胰腺组织因炎症增大,使管道受压变窄,有别于胰腺癌所致胆总管下段的浸润性狭窄。
多数AIP累及胆总管,表现为渐进性狭窄,伴有胰腺段以上多发的胆管壁增厚以及远离胰头部的局灶性病变仍可累及胆总管,可能对于AIP有较大的鉴别诊断意义。
而 PDAC 位于胰头部时才会累及胆总管,多数呈截断样狭窄,壁不光滑。
图 2 男,63岁。AIP 胰腺弥漫性病变, CT门静脉期胰腺弥漫性肿胀呈腊肠样,周围见包壳,胰管未见扩张,脾静脉变细狭窄;门静脉期冠状位重组胰腺段胆管狭窄,管壁增厚 。
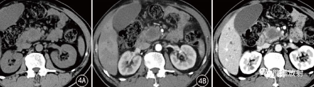
图4 男,65 岁。PDAC 胰头钩突部中分化导管腺癌。CT平扫显示略低密度肿块,增强扫描动脉期肿块轻度不均匀强化,门静脉期和延迟期渐进性强化不明显。冠状MPR示胰腺、尾部萎缩,胰管扩张,胆总管下端受侵、变窄,其上方胆内外胆管明显扩张。
合并其他脏器病变
AIP可累及胰腺外多种脏器,包括胆管 ( 77%) 、肾脏( 35%) 、淋巴结( 33%) 、胆囊( 16%) 、 腹膜后、肠系膜、甲状腺、泪腺、眼眶、唾液腺、肺、胃肠道、血管等,其病理基础均为浆细胞浸润、纤维母细胞增生。
而 PDAC常见的胰腺外表现为对邻近脏器的压迫侵犯,如十二指肠、胃、邻近血管,可出现腹腔或腹膜后淋巴结的转移,晚期可出现远隔脏器转移,常见部位包括肝脏、肺等。
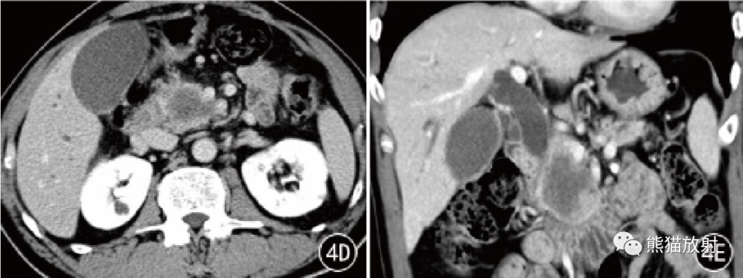
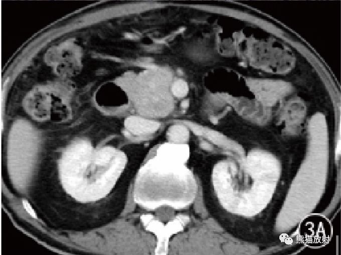
图5 男,81岁。AIP 胰腺体尾部弥漫性病变, CT门静脉期胰腺体尾部弥漫性肿胀,周围见包壳,胰管未见扩张;左肾实质多发低强化区。门静脉期冠状位MPR示胰腺段胆管狭窄,管壁增厚,继发肝内外胆管扩张。
图6 男,58岁。AIP 合并髂总动脉病变,管壁明显增厚,右侧为著。
对于局灶型AIP病灶,与 PDAC病灶鉴别可能较困难。前者平扫均表现为略低密度,增强扫描后出现延迟强化, 强化密度均匀,可伴有胰周包壳,且胰腺萎缩不明显。
对于鉴别困难的病例,可以借助MRI及MRCP、 相关生化指标以帮助诊断。MRCP对胰胆管形态的显示优于CT,能更好地显示胰管或胆管的多发不规则狭窄,支持AIP的诊断,而PDAC仅表现为病灶处胰管的明显狭窄。
另外, PDAC在临床常伴有 CA199、 CEA等生化指标的升高,而AIP多不伴有这些指标的异常。
综上所述, AIP更常见的CT表现为胰腺腊肠样改变、包壳、延迟强化、胰腺段胆管的渐进性狭窄,而PDAC更常见病变远端胰管扩张伴胰腺萎缩、受累胆管的截断性狭窄。
感谢大家对熊猫的关注和支持!
你的阅读就是知识存在的意义!
你的经验就是医者仁心的基石!
